



















Preview text:
GIẢI PHẪU HÌNH ẢNH ỐNG TIÊU HÓA
ThS.BS. Nguyễn Phạm Bảo Ngọc
Bộ môn Chẩn đoán hình ảnh, Khoa Y, ĐHYD TPHCM
Bộ môn Chẩn đoán hình ảnh, ĐHYD TPHCM 1 MỤC TIÊU
Nhận diện được hình ảnh bình thường của ống tiêu hóa trên
các kỹ thuật hình ảnh. Bệnh v B iệ ộ môn n Nh Chẩ i Đồng n đoán 1
hình ảnh, ĐHYD TPHCM 2 Đại cương
Ruột là một ống rỗng liên tục. Từ lòng ống ra ngoài, gồm có:
• Niêm mạc bao gồm biểu mô, mô liên
kết lỏng lẻo hay lamina propria, cơ niêm. • Lớp dưới niêm
• Lớp cơ với cơ vòng ở trong, cơ dọc ở ngoài • Dưới thanh mạc • Thanh mạc. Bệnh v B iệ ộ môn n Nh Chẩ i Đồng n đoán 1
hình ảnh, ĐHYD TPHCM 3 Siêu âm
• Không quan sát được toàn bộ ống tiêu hóa trên siêu
âm do hơi trong lòng, OTH dài và gập khúc.
• Khảo sát OTH ngả thành bụng hay siêu âm qua nội soi
(thực quản-dạ dày, hậu môn-trực tràng).
• Phát hiện bệnh lý dự trên biến đổi bề dày thành ruột và
khẩu kính (viêm, u, tắc nghẽn,…) Bệnh v B iệ ộ môn n Nh Chẩ i Đồng n đoán 1
hình ảnh, ĐHYD TPHCM 4 Kỹ thuật siêu âm
* Nhòn ñoùi (giaûm hôi vaø thöùc aên) * Đaàu doø:
• cong 3.5 – 5 MHz: khaûo saùt toång quaùt,
• thaúng 5 – 10 MHz (Doppler): khu truù toån thöông
* Uoáng nöôùc / thuït nöôùc, tröôùc vaø sau tieåu
* Kyõ thuaät eùp ñaàu doø:
• Tính xeïp: bình thöôøng OTH xeïp khi eùp
• Ñau: bình thöôøng khoâng ñau khi eùp nheï nhaøng, töø töø.
* Thay ñoåi tö theá beänh nhaân . Bệnh v B iệ ộ môn n Nh Chẩ i Đồng n đoán 1
hình ảnh, ĐHYD TPHCM 5 Kỹ thuật siêu âm
• Bề dày trung bình thành: 3-5mm • Chất chứa: thay đổi • Nhu động ruột
Siêu âm: Hình cắt ngang ống tiêu hóa, phát hiện bệnh lý. Bệnh v B iệ ộ môn n Nh Chẩ i Đồng n đoán 1
hình ảnh, ĐHYD TPHCM 6 Siêu âm
Trên siêu âm có thể thấy được 3-5 lớp:
• Niêm mạc phản âm dày • Cơ niêm phản âm kém
• Lớp dưới niêm phản âm dày • Lớp cơ phản âm kém
• Lớp thanh mạc phản âm dày. Bệnh v B iệ ộ môn n Nh Chẩ i Đồng n đoán 1
hình ảnh, ĐHYD TPHCM 7 Siêu âm 1. Niêm mạc 2. Cơ niêm 3. Lớp dưới niêm 4. Lớp cơ 5. Thanh mạc Bệnh v B iệ ộ môn n Nh Chẩ i Đồng n đoán 1
hình ảnh, ĐHYD TPHCM 8 SA: thực quản cổ Thực quản cổ: có thể nhận ra nhờ vào cấu trúc ống tiêu hóa hoặc cho bệnh nhân nuốt quan sát hơi di chuyển. Cắt dọc Cắt ngang
Thực quản nằm sau tuyến giáp (TG), phía trong động mạch cảnh (ĐMC) Bệnh v B iệ ộ môn n Nh Chẩ i Đồng n đoán 1
hình ảnh, ĐHYD TPHCM 9
SA: Thực quản - tâm vị .
Thực quản tâm vị: hình
target hay mắt bò ở lỗ tâm vị trên cơ hoành trái,
trước trái cột sống, động mạch chủ bụng và ngay
sau gan trái, phía trên là buồng tim.
Siêu âm mặt cắt dưới
sườn – mũi kiếm xương Thực quản đoạn cuối - tâm vị (mũi tên)
ức chếch lên phía trên Bệnh v B iệ ộ môn n Nh Chẩ i Đồng n đoán 1
hình ảnh, ĐHYD TPHCM 10 SA: Dạ dày .
Trên siêu âm có thể khó thấy dạ dày nếu chứa nhiều hơi
Độ dày bình thường của thành dạ dày: <5-6mm. Dạ dày (mũi tên) Bệnh v B iệ ộ môn n Nh Chẩ i Đồng n đoán 1
hình ảnh, ĐHYD TPHCM 11 SA: Dạ dày
Phình vị và thân vị thường có .
dạng túi dịch lớn, dễ nhầm lẫn ổ
tụ dịch dưới hoành trái. Phân biệt
= luồng dịch chuyển động khi nuốt.
Phần ngang và hang vị thường xẹp khi nằm ngửa
Môn vị và hành tá tràng: dễ thấy
khi đầy dịch và nằm nghiêng phải, có nhu động.
Dạ dày (phình vị và thân vị) Bệnh v B iệ ộ môn n Nh Chẩ i Đồng n đoán 1
hình ảnh, ĐHYD TPHCM 12 SA: Dạ dày . Bệnh v B iệ ộ môn n Nh Chẩ i Đồng n đoán 1
hình ảnh, ĐHYD TPHCM 13 CT: dạ dày
.• Dạ dày đã làm căng dày < 6mm.
• 5 lớp/mô học # ≤ 3 lớp/ CT
• CT là phương tiện trong
đánh giá giai đoạn ung thư dạ dày Bệnh v B iệ ộ môn n Nh Chẩ i Đồng n đoán 1
hình ảnh, ĐHYD TPHCM 14 SA: ruột non . Siêu âm ống tiêu hóa (ruột non)cho thấy các lớp niêm mạc, dưới niêm, cơ và thanh mạc Cắt ngang Cắt dọc Bệnh v B iệ ộ môn n Nh Chẩ i Đồng n đoán 1
hình ảnh, ĐHYD TPHCM 15 SA: ruột non
• Ruột non thường chỉ quan .
sát được từng đoạn và không
xác định được vị trí trừ đoạn cuối hồi tràng. • Tùy trạng thái:
✓ Xẹp hoàn toàn: thấy rõ hai thành với lớp dịch mỏng ở trung tâm.
✓ Có chứa dịch tiêu hóa lẫn khí và nhu động
✓ Hơi có từng mảng dài, vô định hình.
✓ Nếp niêm mạc vòng đồng tâm, mỏng và nhặt (ruột căng ứ dịch). Bệnh v B iệ ộ môn n Nh Chẩ i Đồng n đoán 1
hình ảnh, ĐHYD TPHCM 16 SA: ruột thừa . Cấu trúc ống tiêu hóa xuất phát từ manh tràng, có đầu tận, không nhu động. Cắt dọc Cắt ngang RT: ruột thừa (mũi tên). MT: manh tràng TM: tĩnh mạch chậu Bệnh v B iệ ộ môn n Nh Chẩ i Đồng n đoán 1
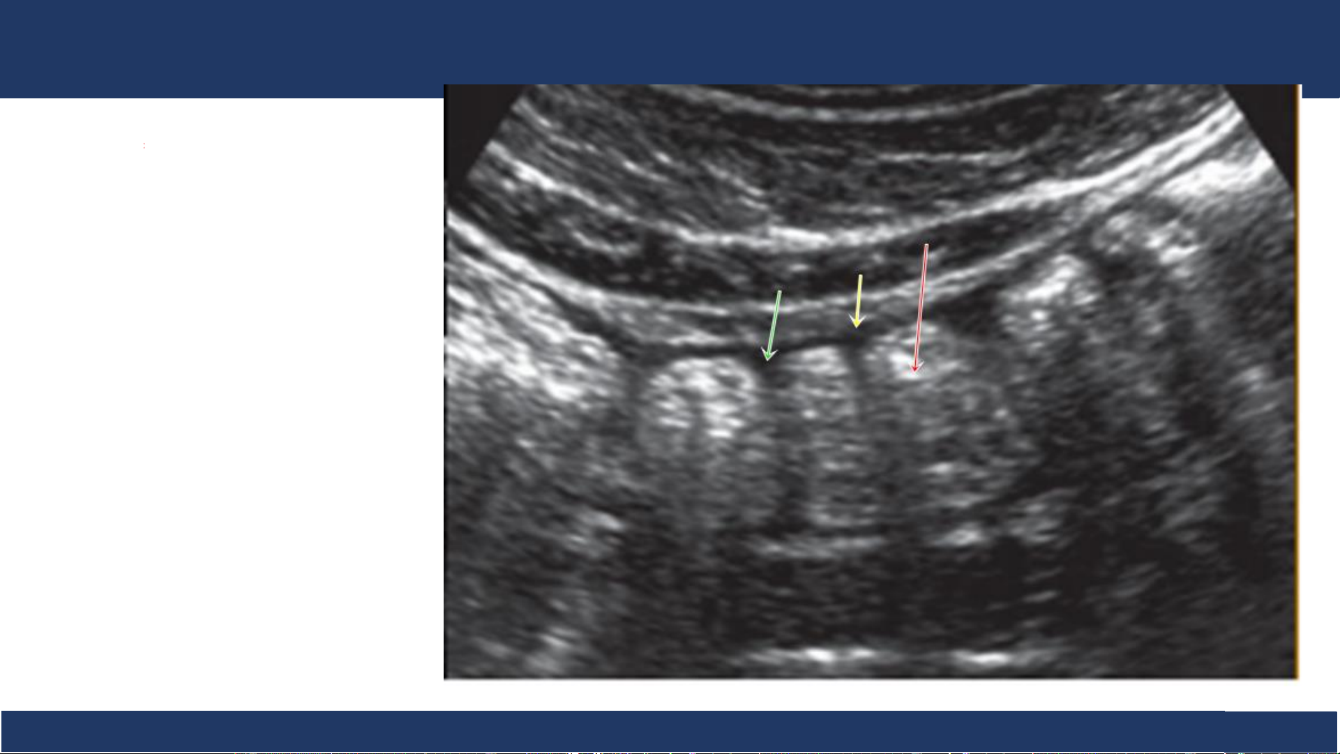
hình ảnh, ĐHYD TPHCM 17 SA: đại tràng Đại tràng . - Lòng chứa hơi (mũi tên đỏ) cho bóng lưng dơ) - Thành (mũi tên vàng) - Có nếp bán nguyệt (mũi tên xanh) Bệnh v B iệ ộ môn n Nh Chẩ i Đồng n đoán 1
hình ảnh, ĐHYD TPHCM 18 SA: đại tràng
Đại tràng quét ngang và dọc .
theo khung đại tràng, đi từ
manh tràng đến trực tràng.
+ Nhiều phân hơi, ít nhu động:
xếp thành từng ngấn ở ngoại
vi ổ bụng (đặc trưng trên mặt cắt dọc)
+ Nếp van hình bán nguyệt,
thưa thớt (nếu có nhu động) Bệnh v B iệ ộ môn n Nh Chẩ i Đồng n đoán 1
hình ảnh, ĐHYD TPHCM 19 SA: trực tràng
- Trực tràng: nằm phía sau .
bàng quang và tiền liệt tuyến. - Lòng chứa hơi. Bệnh v B iệ ộ môn n Nh Chẩ i Đồng n đoán 1
hình ảnh, ĐHYD TPHCM 20