



















Preview text:
Module S2.8
LEC 6 – GIẢI PHẪU TỦY SỐNG BS. NGUYỄN QUANG ANH Mục tiêu
• Mô tả được giải phẫu và các cấu trúc liên quan đến tủy sống (cột sống)
• Xác định được vị trí giải phẫu, phân đoạn của tủy sống và các cấu trúc liên
quan trên ảnh cắt lớp vi tính và cộng hưởng từ 1. Giải phẫu
• Cột sống: 4 đoạn chính • Cổ: C1-7 • Ngực: T1-12 • Thắt lưng: L1-5 • Cùng: S1-5 1. Giải phẫu
• Tủy sống: là phần nối dài của hệ thần kinh trung ương (bao gồm não bộ và tủy sống) • Dài ~45cm, hình trụ
• Bắt đầu từ hành tủy và kết thúc ở nón/ chóp tủy • Ngang mức C1 → L1
• Chóp tủy phình, có nhiều rễ thần kinh đi ra (đuôi ngựa)
• Dịch não tủy bao quanh tủy sống
• Ba lớp màng bảo vệ: màng cứng, màng nhện, màng mềm (màng nuôi)
2. Các phương pháp thăm khám • Xquang
• Chụp tủy sống (myelography) • Cắt lớp vi tính • Cộng hưởng từ 2a. Xquang 2a. Xquang Ứng dụng • Xquang thường quy:
• Đánh giá chủ yếu cột sống
• Các bệnh lý thoái hóa, u, chấn thương (các đường cạnh sống), dị tật…
• Có thể chụp cùng thuốc cản quang trong tủy sống •
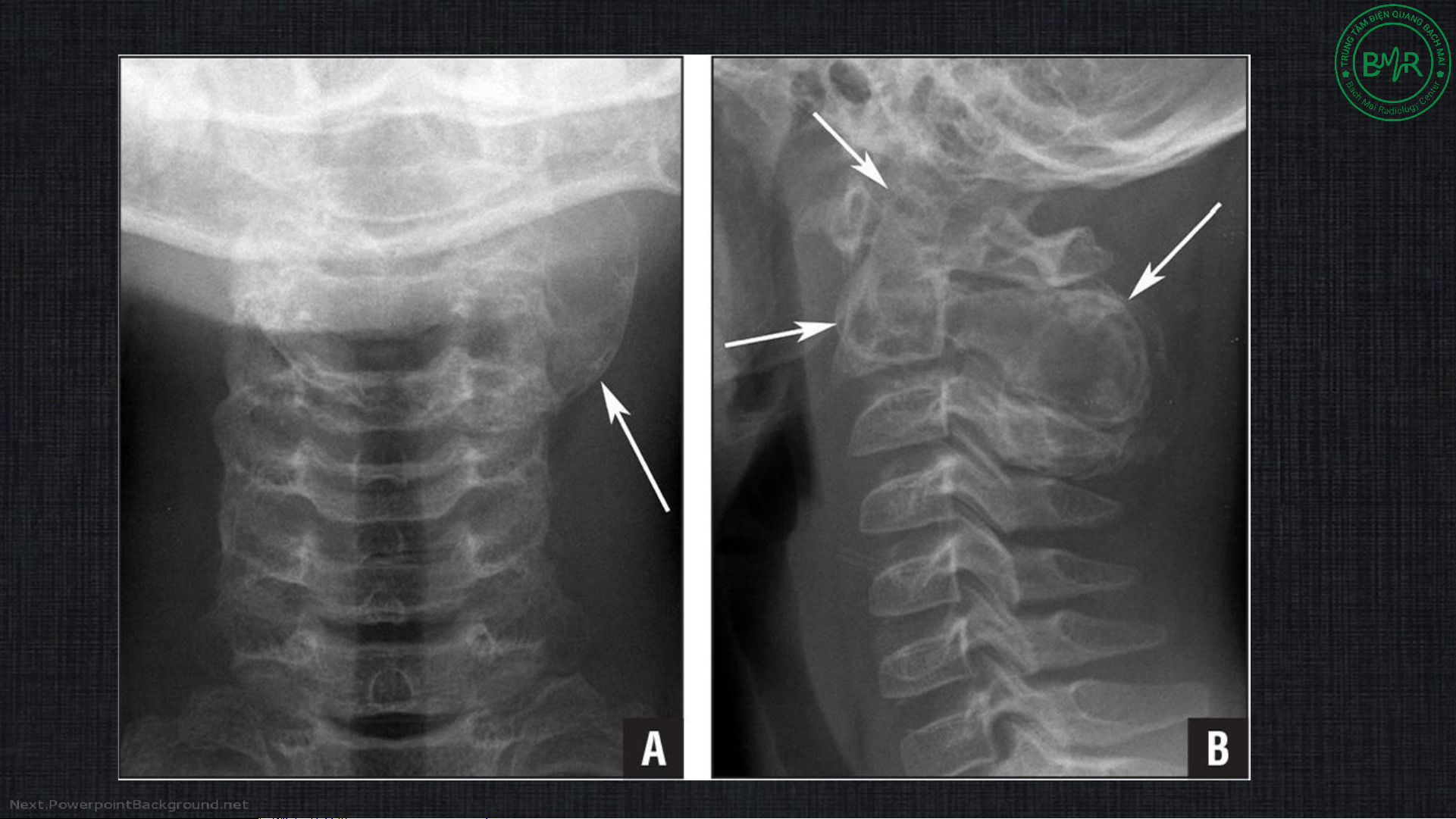
Ponticulus posticus (bất thường Kimmerle) •
Hình thành cầu xương nhỏ phía
sau do vôi hóa màng chẩm – đội •
Hẹp đoạn V3 ĐM đốt sống khi đi qua C1
2b. Chụp cắt lớp vi tính • Sử dụng tia X
• Dựng hình đa mặt phẳng (axil, coronal, sagittal)
• Có thể đánh giá tổ chức phần mềm tốt hơn Xquang (đo tỷ trọng)
• Cửa sổ xương và phần mềm
• Đánh giá cột sống và cấu trúc xương tốt hơn
• Độ phân giải không gian kém/ nhiễu ảnh do xương → hạn chế đánh giá tủy
sống, phần mềm so với cộng hưởng từ
• Ít xâm lấn, có thể chụp cùng thuốc cản quang trong tủy sống (myelography) Cửa sổ xương Cửa sổ phần mềm Tụ máu NMC Nhiễu ảnh
2c. Chụp tủy sống (myelography)
• Xâm lấn, kết hợp Xquang/ CLVT đánh giá tủy sống tốt hơn X quang CLVT CLVT X quang
2c. Chụp cộng hưởng từ
• Sử dụng từ trường, không nhiễm xạ
• Dựng hình đa mặt phẳng (axil, coronal, sagittal)
• Độ phân giải không gian tốt
• Đánh giá tủy sống, phần mềm, dây chằng, đĩa đệm (tiêu chuẩn vàng)
• Thay thế hoàn toàn chụp tủy sống nếu không có chống chỉ định (máy tạo nhịp, dụng cụ kim loại…)
• Đánh giá chảy máu và tổn thương xương cần kinh nghiệm và những chuỗi xung đặc hiệu