















Preview text:
lOMoAR cPSD| 47206521
BỆNH ÁN NỘI KHOA I. HÀNH CHÁNH: Họ tên: BÙI THỊ C. Giới tính: Nữ. Tuổi: 80.
Nghề nghiệp: Già (dệt may)
Địa chỉ: Phường Vĩnh Hội, TP. Hồ Chí Minh.
Ngày nhập viện: 05h09’ ngày 20/09/2025.
Ngày làm bệnh án: 19h00’ ngày 22/09/2025. II.
LÝ DO NHẬP VIỆN: Khó thở.
III. BỆNH SỬ:
- Cách nhập viện 1 tuần, BN đang nằm nghỉ thì xuất hiện khó thở 2 thì tăng dần, VAS#4đ,
kéo dài liên tục, giảm khi ngồi dậy, thở khò khè, nói ngắt quãng, kèm cảm giác nặng ngực
cường độ 2/10 sau xương ức, không lan, nặng ngực hơn khi hít vào, không ghi nhận tư
thế làm giảm. BN ho khạc đờm trắng xanh lượng vừa (khoảng nửa hũ sữa chua) không
lẫn máu, không yếu tố tăng giảm → Người nhà đưa BN đi phòng khám tư, được chích
thuốc không rõ loại, tình trạng ho và khó thở có cải thiện.
- Tối cùng ngày nhập viện, BN sốt liên tục (không rõ nhiệt độ) kèm vã mồ hôi, không lạnh
run, khó thở với tính chất tương tự nhưng nặng hơn VAS#6đ, không giảm ho, nặng ngực
→ Người nhà cho BN nhập BV 115.
- Trong quá trình bệnh, BN không buồn nôn hay nôn, không đau đầu hay chóng mặt, không
sụt cân, tiêu tiểu bình thường.
Tình trạng lúc nhập cấp cứu (05h09’ ngày 20/09/2025):
- BN tỉnh, tiếp xúc được.
- Sinh hiệu: Mạch: 100 lần/phút Nhiệt độ: 37oC Huyết áp: 110/70 mmHg Nhịp thở: 20 lần/phút SpO2: 98% - Tim đều
- Phổi rale ngáy, rít 2 phế trường - Bụng mềm, ấn không đau.
- Cổ mềm, không dấu thần kinh khu trú.
- Cân nặng: 65kg Chiều cao: 165 cm
→ BMI: 23.9 kg/m2 → Thể trạng thừ a cân theo IDI & WPRO
→ Chẩn đoán lúc NV: Đợt cấp hen phế quản Xử trí lúc NV:
- Besmate 2.5ml 1A x 2 pha nước cất đủ 5ml (PKD) x 2 cử cách nhau 20 phút
- Methylprednisolon 4 mg 1 ống (TMC) lOMoAR cPSD| 47206521 - Chăm sóc cấp II
Diễn tiến từ lúc NV đến lúc khám: Thời gian Diễn tiến Y lệnh
20/09/2025 Khoa hô hấp nhận và khám bệnh (1) Methylprednisolon 40mg 1A 6h45 BN tỉnh, tiếp xúc tốt (TMC) lúc 10h Mạch: 92 lần/phút
Zencombi 2.5mg 1 ống pha nước cất Huyết áp: 120/70 mmHg
5ml (PKD) x 3 cử cách nhau 15 phút SpO2: 99% Pulmicort 2A x 3 (PKD) Thở khò khè Chăm sóc cấp II Tim đều Phổi ran rít 2 bên Dự trù 21, 22/09 Bụng mềm
Zencombi 2.5mg 1 ống pha nước cất
5ml (PKD) x 3 cử cách nhau 15 phút Pulmicort 2A x 3 (PKD)
20/09/2025 BN khò khè nhiều, khó thở, ho đàm
(1) Levofloxacin 0.75g 01 túi (TTM) L 9h50 trắng đục giọt/phút SpO2 98%
Magie sulfate 15% 2 ống pha Sodium Phổi ran rít 2 bên
clorid 0.9% 100ml x 1 lấy 70ml (TTM) XX giọt/phút
Zencombi 2.5mg 1 ống pha nước cất
5ml x 3 (PKD) mỗi 20 phút sau đó
tăng liều Zencombi ngày thành 1A x 6/4h Thêm 21/09 + 22/09
(2) (3) Levofloxacin 0.75g 01 túi (TTM) L giọt/phút
(2) (3) Methylprednisolon 40mg 1A
(TMC) pha nước cất 10ml x 1 TMC lOMoAR cPSD| 47206521
21/09/2025 BN tỉnh, tiếp xúc được
Thực hiện y lệnh thuốc đã dự trù 6h45 -
Thở mệt, co kéo cơ hô hấp phụ
Chăm sóc cấp II, theo dõi sinh hiệu LS 8h00 Mạch: 110 lần/phút Huyết áp: 140/80 mmHg SpO2: 97%/KT Nhiệt độ: 37oC Chi ấm, mạch rõ Nhịp tim đều Phổi ran rít 2 bên Bụng mềm
21/09/2025 BN tỉnh, tiếp xúc được Agi - tyfedol 0.5g 1 viên 13h00 Nhiệt độ: 38oC Lau mát tích cực
22/09/2025 BN tỉnh, tiếp xúc được
Thực hiện y lệnh thuốc đã dự trù 8h00 Da niêm hồng Bổ sung thêm Mạch: 100 lần/phút
Magie sulfate 15% 2 ống pha Sodium Huyết áp: 130/70 mmHg
clorid 0.9% 100ml x 1 lấy 70ml (TTM) SpO2: 97%/ KT XX giọt/phút Nhiệt độ: 37oC
Bromhexin 8mg 1 viên x 3 ( Sáng - Nhịp tim đều Chiều - Tối) Phổi ran rít 2 bên
(4) Hydrocortisol 100mg 1A (TMC) Bụng mềm (Chiều) Bệnh nhân than táo bón
Zencombi 2.5mg 1 ống pha nước cất 5ml x 3 (PKD) mỗi 20 phút Amlodac 5mg 1 viên (Sáng)
Chăm sóc cấp II, Theo dõi sinh hiệu LS
IV. TIỀN CĂN: 1. Bản thân: a. Nội khoa:
- Hen phế quản được chẩn đoán #70 năm tại bệnh viện Chợ Rẫy, được điều trị cắt cơn bằng
Ventolin 1 nhát, hiện đã tự ý ngưng thuốc.
+ BN từng nhập BV 115 1 lần vì đợt cấp hen phế quản cách đây 1 năm, được điều trị
ngoại trú bằng Ventolin 1 nhát để cắt cơn, trung bình sử dụng 3-4 nhát/tuần, hiện đã tự ý ngưng thuốc. lOMoAR cPSD| 47206521
- Khó thở trong sinh hoạt cá nhân:
+ BN ngủ gối đầu 1 gối
+ BN khó thở khi gắng sức
- Đái tháo đường type 2 được chẩn đoán #10 năm tại bệnh viện 115, được điều trị bằng
Insulin chích 1 lần/ngày, không rõ đường máu hằng ngày, đường máu cao nhất, chưa ghi
nhận tiền căn nhập viện vì đái tháo đường.
- Chưa ghi nhận tiền căn chàm, lao, tăng huyết áp, suy tim, GERD.
b. Ngoại khoa: Chưa ghi nhận
c. Thói quen: Không rượu bia, chồng sống chung nhà hút thuốc lá thường xuyên
d. Dị ứng: Không ghi nhận dị ứng với thức ăn , bụi, lông chó mèo, mùi hương,...
2. Gia đình: Có bố và em trai bị hen phế quản V.
LƯỢC QUA CÁC CƠ QUAN:
1. Tai – mũi – họng: không chảy dịch mũi, nhìn mờ, ù tai.
2. Hệ hô hấp : không đau ngực, còn khó thở, ho khạc đàm trắng đục, khò khè.
3. Hệ tim mạch : không hồi hộp, đau ngực, tím tái.
4. Hệ tiêu hóa : không chán ăn, buồn nôn, nôn, đau bụng.
5. Hệ tiết niệu –sinh dục : không tiểu gắt, tiểu buốt, tiểu lắt nhắt.
6. Hệ vận động : không đau cơ, đau khớp.
7. Hệ thần kinh : không đau đầu, yếu, liệt, tê, dị cảm.
8. Khác : không ghi nhận bất thường
VI. KHÁM (19h ngày 22/09/2025): 1. Tổng quát:
- Dấu hiệu sinh tồn: Mạch: 100 lần/phút, Huyết áp: 130/70 mmHg, Nhiệt độ: 37 độ C, Nhịp thở: 20 lần/phút.
- Cân nặng: 65kg, chiều cao: 165cm → BMI: 23.9 → Thể trạng thừ a cân theo IDI & WPRO.
- Co kéo cơ hô hấp phụ.
- Môi không khô, lưỡi không dơ. - Da niêm hồng. - Không phù.
- Hạch ngoại biên không sờ chạm. 2. Đầu mặt cổ:
- Đầu: Không sang thương, không chảy máu, không chảy dịch bất thường.
- Mặt: Mặt tròn, củng mạc mắt không vàng, không sang thương, không xuất huyết.
- Cổ: TM cổ tư thế 45o (-). 3. Ngực: lOMoAR cPSD| 47206521 a. Lồng ngực - phổi:
- Nhìn : lồng ngực không hình thùng, di động đều theo nhịp thở, thở co kéo cơ hô hấp phụ,
không u cục, không biến dạng, không sẹo mổ cũ.
- Sờ: không điểm đau khu trú, rung thanh đều hai bên. - Gõ: trong.
- Nghe: ran rít, ran ngáy 2 bên phế trường. b. Tim
- Nhìn, sờ: Không ổ đập bất thường, không rung miu, Harzer (-), sờ thấy mỏm tim ở KLS
V đường trung đòn trái.
- Nghe: o Tim đều, 100l/ph, T1,T2 đều rõ. o Không âm thổi, không tiếng cọ màng tim. 4. Bụng: a. Nhìn:
- Bụng cân đối, không sẹo mổ cũ.
- Di động đều theo nhịp thở, rốn không lồi. -
Không tuần hoàn bàng hệ, không dấu
sao mạch - Không rạn da, bụng không chướng.
b. Nghe: Nhu động ruột 6 lần/ phút, không âm thổi động mạch chủ, không âm thổi động mạch thận.
c. Gõ: Gõ trong khắp bụng, gõ đục vùng thấp (-), không mất vùng đục trước gan. d. Sờ:
- Bụng mềm, ấn không đau, không cảm ứng phúc mạc, không đề kháng thành bụng.
- Gan lách không sờ chạm.
- Bập bềnh thận (-), chạm thận (-), rung thận (-), cầu bàng quang (-)
5. Tứ chi - cột sống: a. Da - lông - móng:
- Không có sang thương da.
- Không ngón tay dùi trống, không tím tái, không xuất huyết dưới móng. - Chi ấm, CRT<2s.
- Không lòng bàn tay son, không nốt Osler, không dấu sang thương janeway, không dấu
Quincke. - Không phù tứ chi.
b. Mạch máu: Mạch tứ chi đều, rõ 2 bên, tần số 90 lần/phút. c. Cơ: - Không teo cơ, sưng cơ.
- Không giảm trương lực cơ. - Sức cơ: 5/5.
d. Khớp: Không biến dạng, không sưng nóng đỏ đau, không lệch trục.
e. Cột sống: Không gù, không vẹo, không điểm đau khu trú. lOMoAR cPSD| 47206521 6. Thần kinh:
- Cổ mềm, không dấu thần kinh định vị.
- Không giới hạn vận động.
VII. TÓM TẮT BỆNH ÁN:
- BN nữ 80 tuổi, nhập viện vì khó thở, qua hỏi bệnh và thăm khám ghi nhận các bất thường: - TCCN:
+ Khó thở 2 thì tăng dần + Ho đàm trắng xanh + Khò khè + Nặng ngực - TCTT: + Sốt kèm vã mồ hôi
+ Co kéo cơ hô hấp phụ + Ran rít,
ran ngáy 2 phế trường - Tiền căn:
+ Hen phế quản đã bỏ điều trị.
+ ĐTĐ type 2 hiện điều trị ổn bằng Insulin chích 1 lần/ngày.
+ Chồng sống chung nhà hút thuốc lá thường xuyên
+ Có bố và em trai bị hen phế quản
VIII. ĐẶT VẤN ĐỀ:
- Hội chứng suy hô hấp cấp
- Hội chứng tắc nghẽn đường hô hấp dưới.
- Hội chứng nhiễm trùng đường hô hấp dưới.
- Hen phế quản bỏ điều trị. Gia đình có người bị hen. IX.
CHẨN ĐOÁN SƠ BỘ:
Cơn hen - mức độ nặng - nghĩ do nhiễm trùng - có nguy cơ tử vong do cơn hen - Hen - mức
độ nhẹ - không kiểm soát - có yếu tố nguy cơ tiên lượng hen xấu - ĐTĐ 2, THA X.
CHẨN ĐOÁN PHÂN BIỆT:
Viêm phổi cộng đồng - mức độ không nặng theo ATS, CRB-65 1 điểm chưa biến chứng -
Hen phế quản, ĐTĐ 2, THA.
Thuyên tắc phổi - Hen phế quản, ĐTĐ2, THA. XI.
BIỆN LUẬN LÂM SÀNG (LÚC NHẬP VIỆN)
BN nữ 80 tuổi, nhập viện vì khó thở cấp, sau hỏi bệnh và thăm khám lâm sàng nghĩ đến các nguyên nhân sau: lOMoAR cPSD| 47206521 1. Khó thở do tim:
- BN không phù chi, gan không to, không tĩnh mạch cổ nổi, Harzer âm tính, không Gallop
T3 => Ít nghĩ có hội chứng suy tim phải.
- BN lớn tuổi, có giảm khó thở khi ngồi tuy nhiên không có khó thở kịch phát về đêm,
mỏm tim không lệch, không nghe thấy ran ẩm, không nghe âm thổi bất thường ở tim =>
Ít nghĩ có hội chứng suy tim trái
=> Đề nghị NT-pro BNP để loại trừ khó thở do tim ở bệnh nhân
- BN có nặng ngực khi nghỉ, không giảm khi nghỉ ngơi những BN than nặng ngực hơn khi
hít vào nên ít nghĩ hội chứng vành cấp nhưng chưa thể loại trừ => đề nghị ECG, Troponin T-hs
- Thuyên tắc phổi: BN khó thở 2 thì tăng dần, cải thiện khi ngồi dậy kèm khò khè, không
đau ngực kiểu màng phổi, không ho ra máu, có hạn chế vận động, lớn tuổi, có tiền căn hút
thuốc lá thụ động trong thời gian dài, chưa ghi nhận tiền căn phẫu thuật hay bất động >4
tuần, sinh hiệu lúc nhập viện ghi nhận không tụt huyết áp, SpO2 = 98%, khám ghi nhận
ran ngáy, ran rít 2 phế trường, và mạch >=100 lần/phút → phân tầng nguy cơ thấp theo
thang điểm Wells → đề nghị D-Dimer để loại trừ
2. Khó thở do phổi.
BN có những vấn đề sau:
a. Hội chứng suy hô hấp: BN có khó thở kèm co kéo cơ hô hấp phụ, nói ngắt quãng, sinh
hiệu lúc nhập viện của bệnh nhân ngoài mạch 100 lần/phút ngoài ra chưa ghi nhận bất
thường (Nhịp thở 20 lần/ phút; SpO2: 98 % KT) => Theo dõi biến chứng suy hô hấp cấp
=> Đề nghị làm khí máu động mạch.
b. Hội chứng tắc nghẽn đường hô hấp dưới: BN khó thở 2 thì, khò khè, ran rít ran ngáy hai
phế trường. BN có hội chứng tắc nghẽn đường hô hấp dưới, hội chứng suy hô hấp cấp,
tiền căn hen phế quản => Phù hợp với Hen phế quản, đề nghị X-quang ngực thẳng.
+ Mức độ cơn hen: BN khó thở đột ngột về đêm, giảm khi ngồi, khám ghi nhận ran ngáy
ran rít, ho nhiều kèm tình trạng lúc nhập viện BN co kéo cơ hô hấp phụ nhiều, khám
thấy ran ngáy, ran rít ở phổi nhiều khắp 2 phế trường => Cơn hen cấp mức độ nặng.
+ Yếu tố thúc đẩy: BN không tiếp xúc dị nguyên, không có tiền căn dị ứng, cùng ngày
nhập viện BN có sốt, khạc đàm trắng xanh lượng vừa => nghĩ nhiều đến hội chứng
nhiễm trùng hô hấp dưới => yếu tố khởi phát cơn hen.
+ Yếu tố nguy cơ tử vong do cơn hen: BN từng nhập viện 1 lần vì cơn hen nặng trong 1
năm qua, BN không tuân thủ điều trị hen phế quản => BN có yếu tố nguy cơ tử vong do cơn hen.
+ Mức độ: BN được chẩn đoán hen #70 năm, điều trị cắt cơn bằng Ventolin 1 nhát (trong
thời gian >3 tháng), ngoài ra không điều trị gì thêm => Hen mức độ nhẹ.
+ Tình trạng kiểm soát hen: BN nhập viện vì cơn hẹn nặng vào ban đêm, hạn chế vận
động, khó thở khi gắng sức, đã từng sử dụng thuốc giãn phế quản ngắn >2 lần/tuần
=> Hen không kiểm soát. lOMoAR cPSD| 47206521
+ BN có tiếp xúc thụ động với khói thuốc lá trong thời gian dài + từng nhập viện vì cơn
hen nặng trong 1 năm qua => Bn có yếu tố nguy cơ tiên lượng hen xấu.
XII. CẬN LÂM SÀNG ĐỀ NGHỊ:
1. Thường quy: CTM, ion đồ, AST, ALT, Bun, creatinin, tổng phân tích nước tiểu, glucose máu. 2. Theo vấn đề: - ECG, Troponin T-hs - NT-pro BNP - D-Dimer - X-quang ngực thẳng - Khí máu động mạch. - Hô hấp kí. - Cortisol 8h
- Cấy đàm tìm vi khuẩn điển hình - Procalcitonin.
XIII. KẾT QUẢ CẬN LÂM SÀNG
1. Tổng phân tích tế bào máu: Ngày 20/09/2925: Xét nghiệm Khoảng tham chiếu Đơn vị WBC K/uL 4.43 4.01 - 11.42 NEU K/uL 2.31 2.5 - 7.0 NEU% % 52.0 44 - 66 LYM K/uL 1.70 1.0 - 4.8 LYM% % 38.4 23 - 43 MONO K/uL 0.37 0.0 - 0.9 lOMoAR cPSD| 47206521 MONO% % 8.4 0 - 10 BASO K/uL 0.01 0.0 - 0.2 BASO% % 0.2 0.0 - 0.25 ESO K/uL 0.02 0.0 - 0.7 ESO% % 0.5 0.0 - 7.0 IG K/uL 0.02 IG% % 0.5 RBC M/uL 4.47 4.0 - 5.4 HGB g/dL 10.7 12.2 - 15.4 HCT % 35.2 38 - 54 MCV fL 78.7 80 - 98 MCH Pg 23.9 27 - 33.6 MCHC g/dL 30.4 32.3 - 35.7 RDW-CV % 15.7 11.6 - 14.8 RDW-SD lOMoAR cPSD| 47206521 PLT K/uL 187 150 - 400 MPV fL 9.6 5 - 9
BN có HGB giảm, Hct giảm, MCH giảm, MCV giảm -> BN có thiếu máu hồng cầu nhỏ
nhược sắc mức độ nhẹ 2. Sinh hóa máu Ngày 20/09/2025: Xét nghiệm Đơn vị Khoảng tham chiếu Glucose 3.9 - 6.4 mmol/L 6.64 Creatinin 80.8 62 - 106 umol/L eGFR 63.59 mL/min/1.73 Na+ 141.5 135 - 150 mmol/L K+ 3.69 3.5 - 5.1 mmol/L Cl- 106.9 96 - 107 mmol/L Ngày 22/09/2025: Xét nghiệm Kết quả Đơn vị
Trị số tham chiếu AST 32.3 U/L <31 ALT 24.6 U/L <31 3. Miễn dịch lOMoAR cPSD| 47206521 Ngày 20/09/2025: Xét nghiệm Kết quả Đơn vị
Trị số tham chiếu NT PRO BNP 227.0 pg/ml <125.0
Bệnh nhân có NT pro BNP cao hơn trị số tham chiếu, tuy nhiên chưa đạt được điểm cắt để nghĩ
khó thở do suy tim cấp (300pg/ml) -> Không nghĩ bệnh nhân khó thở do tim Ngày 22/09/2025: Xét nghiệm Kết quả Đơn vị
Trị số tham chiếu PCT 0.057 ng/mL <0.5 4. Vi sinh Ngày 22/09/2025: Xét nghiệm Kết quả BK AFB: âm tính
5. Siêu âm ổ bụng Ngày 22/09/2025: KẾT LUẬN: Gan nhiễm mỡ. Sỏi túi mật. Nang thận trái. 6. Siêu âm tim Ngày 20/09/2025 KẾT LUẬN:
- Buồng tim không dày dãn
- Chức năng tâm thu thất trái EF # 70%
- Không rối loạn vận động vùng - Van tim xơ hóa - Hở van 2 lá 1.5/4 - Hở van 3 lá 2/4 lOMoAR cPSD| 47206521
- Tăng áp động mạch phổi PAPs # 40mmHg
- Không tràn dịch màng ngoài tim
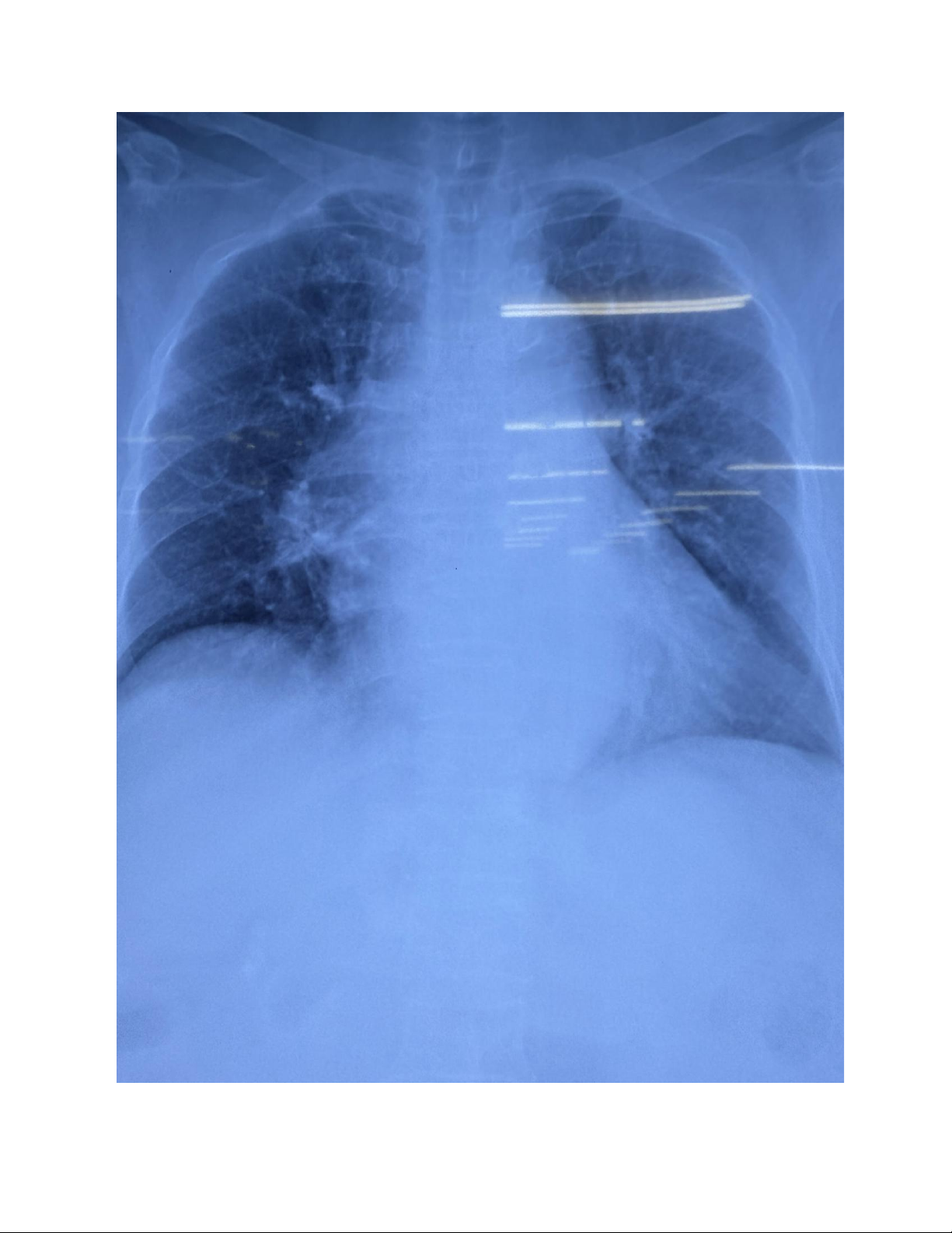
7. X-quang ngực thẳng Ngày 20/09/2025: lOMoAR cPSD| 47206521 lOMoAR cPSD| 47206521 ● Hành chính:
- Tên bệnh nhân: BÙI THỊ C. - Tuổi: 80.
- Ngày tháng chụp: ngày 20/09/2025. ● Kỹ thuật:
- Tư thế chụp: AP (2 xương bả vai trong phế trường, không bóng hơi dạ dày, tuần hoàn
phân bố đều trên dưới).
- Chất lượng phim tốt, cường độ tia trung bình, tư thế nằm, bệnh nhân hít đủ sâu).
● Đọc X-Quang: khảo sát theo ABCDE. . Airway: - Khí quản không lệch.
- Gốc Carina bình thường. . Breathing:
- Khí quản thông thoáng, không hẹp hay tắc nghẽn.
- Tổn thương dạng đông đặc, gần rốn phổi hai bên. Hình ảnh thâm nhiễm dạng lưới/ nốt tập
trung rải rác 2 phế trường.
- Hình ảnh giãn phế quản hai bên.
. Cardiac: quan sát được góc sườn hoành, không có bóng hơi dạ dày.
- Kích thước và hình dạng tim:
+ Chỉ số bóng tim/lồng ngực > 0.6 => Bóng tim lớn. . Diaphragm:
- Chưa ghi nhận bất thường. . Else:
- Khoang liên sườn giãn rộng.
KẾT LUẬN: Tổn thương dạng đông đặc gần rốn phổi 2 bên kèm thâm nhiễm dạng lưới/nốt rải
rác 2 phế trường, giãn phế quản. 8. ECG: lOMoAR cPSD| 47206521 KẾT LUẬN: Nhịp xoang
Nhịp không đều, tần số tim 100 lần/phút
Trục điện tim bình thường
Sóng P thời gian 0.08s, biên độ 0.5mm
Khoảng PR kéo dài >0.2s
Phức bộ QRS bình thường
Sóng T âm ở chuyển đạo dIII, avR
-> Nghĩ nhiều bệnh nhân có block AV độ I
XIV. CHẨN ĐOÁN XÁC ĐỊNH:
Cơn hen - mức độ nặng - do nhiễm trùng - có nguy cơ tử vong do cơn hen - Hen - mức độ
nhẹ - không kiểm soát - có yếu tố nguy cơ tiên lượng hen xấu - Thiếu máu thiếu sắt mức độ
nhẹ - ĐTĐ 2, THA - Theo dõi biến chứng tâm phế mạn. XV. ĐIỀU TRỊ: 1. Cơn hen:
- Salbutamol phun khí dung liên tục trong giờ đầu, sau đó mỗi 3 giờ trong ngày đầu. Khi
bệnh nhân ổn sẽ cách ra mỗi 4 giờ, sau đó mỗi 6 giờ.
- Methylprednisolone 40mg TTM. lOMoAR cPSD| 47206521
- Magnesium sulfate (ống 10% 10ml): liều duy nhất 2g truyền tĩnh mạch trong 20 phút.
2. Nhiễm trùng hô hấp:
- Levofloxacin 0.75g 01 túi (TTM) L giọt/phút 3. Hen phế quản:
- Duy trì liều thấp ICS/LABA, kết hợp với hướng dẫn dùng thuốc, giáo dục tuân thủ.
- Hạn chế tiếp xúc với khói thuốc lá. 4. Tăng huyết áp:
- Amlodipin 5mg 1 lần/ngày.
- Phối hợp sử dụng thêm thuốc nếu ức chế men chuyển nếu không đạt được huyết áp mục tiêu.
5. Đái tháo đường type 2:
- Tiếp tục tiêm Insulin 1 lần/ngày