



















Preview text:
HỆ TIẾT NIỆU ThS. BS. HOÀNG KC HƯƠNG EMAIL: hoangkchuong@pnt.edu.vn 1 MỤC TIÊU
1. Mô tả cấu tạo và chức năng của hệ tiết niệu
2. Biết cấu tạo mô học vùng vỏ, vùng tủy thận
3. Nêu được cấu tạo và chức năng đơn vị cấu tạo của thận
4. Hiểu được cơ chế hình thành nước tiểu
5. Mô tả được cấu tạo niệu quản, bàng quang, niệu đạo 2 CẤU TẠO • THẬN • NIỆU QUẢN • BÀNG QUANG • NIỆU ĐẠO 3 CHỨC NĂNG • Điều hòa pH máu
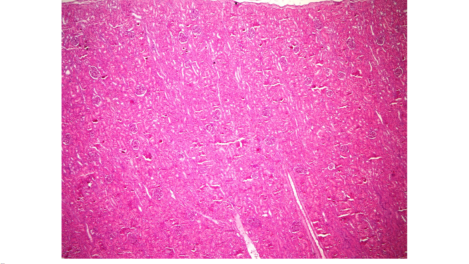
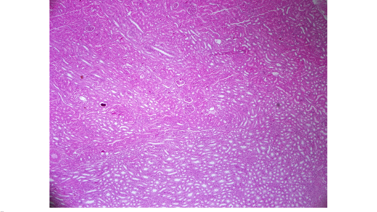
DUY TRÌ NỘI • Chuyển hóa và đào thải chất MÔ • Hệ thống lọc • Erythropoietin NỘI TIẾT • Renin • Chuyển hóa vitamin D 4 THẬN Vỏ ngoài Collagen I, III, nguyên bào sợi Bao xơ Vỏ trong Nguyên bào sợi cơ > Collagen I, III, Trụ Bertin Vỏ Tia tủy Nhu mô Tiểu thể thận, ống Tủy Tháp thận, đài thận Rốn thận 5
Histology_ A Text and Atlas_ With Correlated Cell an Molecular Biology 6
Histology_ A Text and Atlas_ With Correlated Cell an Molecular Biology THẬN •Vùng vỏ:
o Tiểu cầu thận, ống thận
o Tia tủy ( tia Ferrein): ống góp và đoạn thẳng của quai Henle
o Trụ Bertin( trụ thận): nằm giữa các tháp thận 7 BỘ MÔN MÔ- PHÔI- PNT 9 BỘ MÔN MÔ- PHÔI- PNT 10 THẬN •Vùng tủy:
Tháp thận # nhú thận(8- 18)
Thùy thận tiểu thùy
thận ( có trục là tia tủy)
Đài thận bé đài thận
lớn bể thận rốn thận ( niệu quản) Renal medulla: tủy thận Renal pelvis: bể thận Renal cortex: vỏ thận Renal papilla: nhú thận
Junqueira's Basic Histology Text and Atlas 15e Renal pyramid: tháp thận Minor calyx: đài thận bé 11 Renal column: trụ thận
Major calyx: đài thận lớn 2 triệu nephron – 100 km Nephron
Đơn vị cấu tạo & chức năng Tiểu cầu thận Hệ thống ống thận - Cầu thận - Ống lượn gần - Bao Bowman - Quai Henle - Ống lượn xa
Junqueira's Basic Histology Text and Atlas 15e - Ống góp
Renal corpuscle: tiểu cầu thận
Distal convoluted tubule: ống lượn xa Glomerulus: cầu thận Collecting duct:ống góp
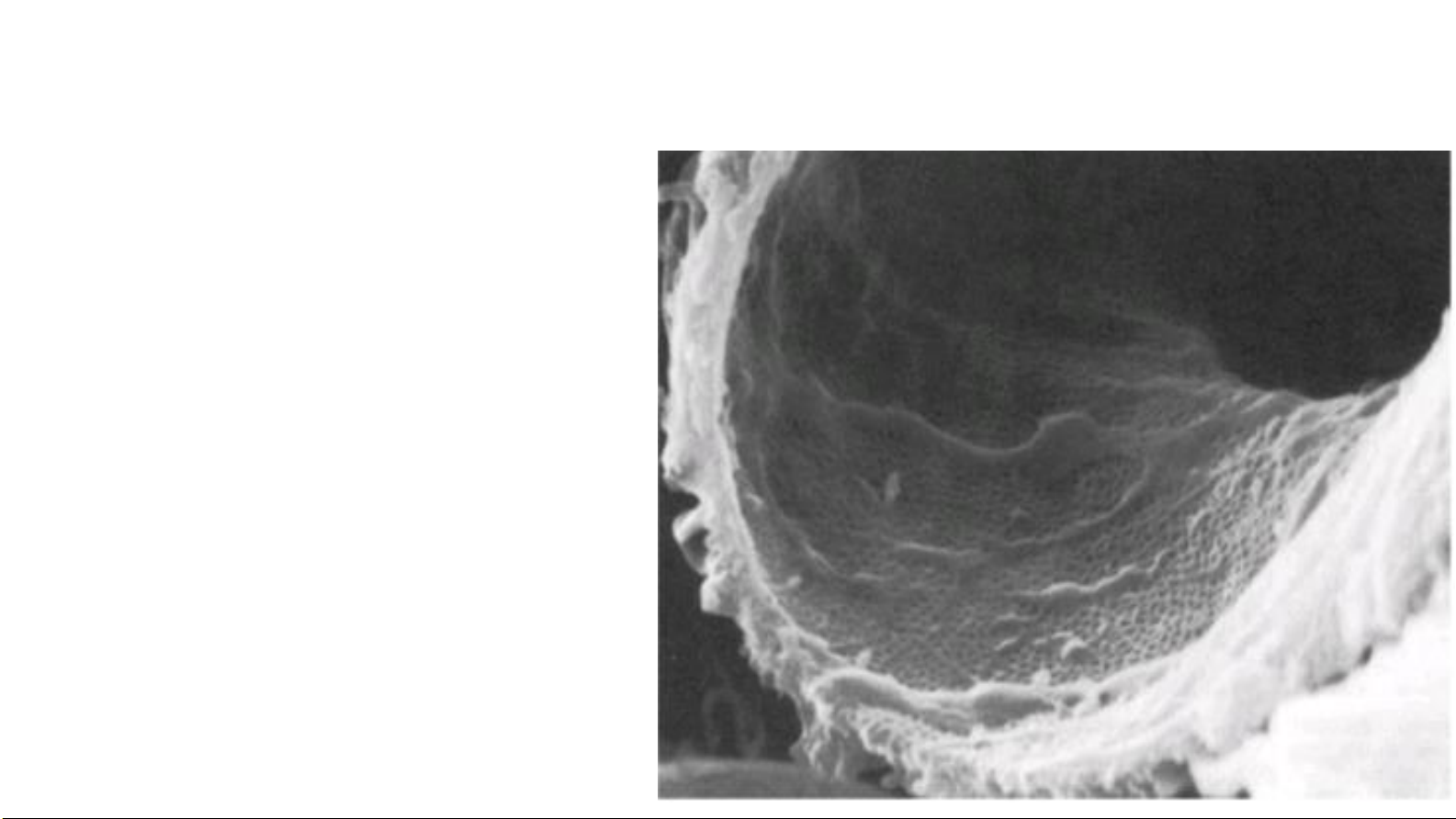
Proximal convoluted tubule: ống lượn gần 12 • Tiểu cầu thận Cầu thận ( 10-20 cuộn mao mạch tiểu cầu ) Bao Bowman Cực mạch Cực niệu BỘ MÔN MÔ- PHÔI- PNT 13 Mao mạch tiểu cầu
• Tế bào nội mô có lỗ ( d lỗ # 70-90 nm), nhiều
• Màng đáy: dày 300-370nm
hòa nhập bào tương tb nội mô và tb có chân • Tế bào gian mao mạch 14
Histology_ A Text and Atlas_ With Correlated Cell an Molecular Biology
Tế bào gian mao mạch • Tế bào co thắt • Thực bào • Tăng sinh- tổng hợp chất căn bản 16
Junqueira's Basic Histology Text and Atlas 14e
Tế bào gian mao mạch • Làm sạch màng đáy • Nâng đỡ mao mạch
• Kiểm soát dòng máu đến
• Chế tiết IL1, PGE2, PDGF ( khi viêm- chấn thương)
• Đáp ứng với angiotensin II 17
Histology_ A Text and Atlas_ With Correlated Cell an Molecular Biology Bao Bowman • Biểu mô Lớp lát đơn thành Khoang Bowman • Tế bào có Lớp chân tạng 18
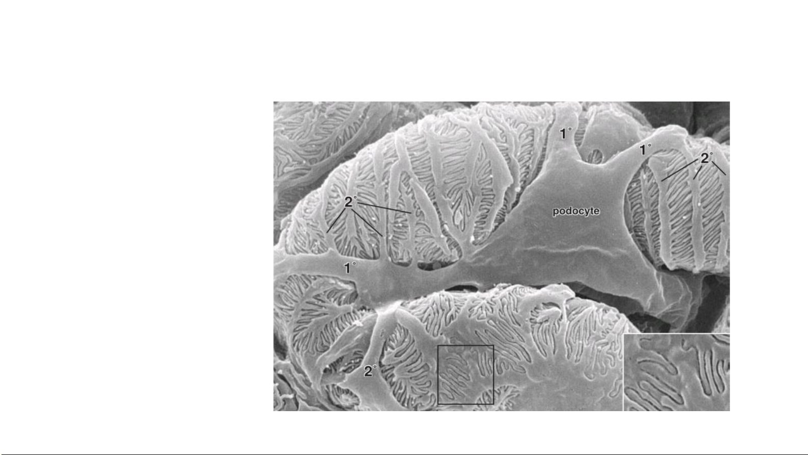
Histology and cell biology Abraham 4th Tb có chân 20
Junqueira's Basic Histology Text and Atlas 14e Tế bào có chân • Thân • Nhánh chính (1) • Nhánh thứ cấp (2) 21
Histology_ A Text and Atlas_ With Correlated Cell an Molecular Biology
• Hàng rào lọc nước tiểu: Tế bào nội mô Màng đáy Tế bào có chân, gian mao mạch 22
Histology_ A Text and Atlas_ With Correlated Cell an Molecular Biology • Khe lọc: khoảng cách giữa các nhánh thứ cấp # 25nm B • C Màng khe lọc: 6nm màng nối các nhánh thứ phát A F E A: tb nội mô B: tb có chân C: khe lọc D: màng khe lọc E: lổ thủng tb nội mô D F: màng đáy 23
Junqueira's Basic Histology Text and Atlas 14e