













Preview text:
Siêu âm buồng trứng, tử cung, tuyến vú I. Kỹ thuật -
Sử dụng một đầu dò có tần số 7-10MHZ để đánh giá buồng trứng và tử cung ở chó và
mèo. Ở những con cái đang mang thai hoặc những giống chó có kích thước lớn, đầu
dò 5 MHz là đủ để đánh giá tử cung. a. Buồng trứng -
Con vật có thể được đặt ở tư thế nằm ngửa hoặc nằm nghiêng (nằm nghiêng bên phải
đối với buồng trứng trái và nằm nghiêng bên trái đối với buồng trứng phải). Việc kiểm
tra cũng có thể được thực hiện với bệnh súc ở tư thế đứng, tư thế này thích hợp hơn
đối với các giống chó lớn. Ưu tiên thực hiện kiểm tra với con vật ở tư thế nằm nghiêng. -
Để con vật nằm nghiêng, đặt đầu dò lên thận (trái hoặc phải) với điểm đánh dấu hướng vào đầu (Hình 1)
Hình 1: Vị trí của đầu dò để xác định thận trái. Đầu dò được di chuyển lên 2 cm về phía đuôi và xòe về
phía bụng để xác định buồng trứng trái. Kỹ thuật này tương tự đối với thận phải, với con vật ở tư thế
nằm nghiêng bên trái. -
Sau khi xác định được thận, hãy quét khu vực dài tới 2 cm về phía đuôi, quạt đầu dò
theo hướng lưng bụng để xác định buồng trứng (Hình 2)
Hình 2: Đầu dò được quạt theo hướng từ lưng đến bụng, cách thận trái 2 cm để xác định buồng trứng trái. -
Sau đó, mỗi buồng trứng được đánh giá theo cả mặt phẳng dọc và mặt phẳng ngang
bằng cách quạt đầu dò dọc theo toàn bộ chiều dài và chiều rộng của cơ quan. b. Tử cung -
Con vật có thể được đặt ở tư thế nằm ngửa hoặc nằm nghiêng hoặc ở tư thế đứng. Kỹ
thuật này tương tự bất kể vị trí. -
Với con vật ở tư thế nằm nghiêng bên phải, chân sau bên trái được nâng lên và đầu dò
được đặt ở đường giữa, ngang tầm bàng quang, theo hướng ngang và song song với
mặt bàn với điểm đánh dấu hướng về phía mặt bàn (Hình 3)
Hình 3: Đầu dò được đặt ở đường giữa và song song với mặt bàn để xác định tử cung. Để định hướng
hình ảnh chính xác trên màn hình, điểm đánh dấu của đầu dò sẽ trỏ đến mặt bàn (nếu điểm đánh dấu ở bên trái màn hình). -
Xác định bàng quang và đại tràng rồi trượt đầu dò về phía sau (Hình 4). Tử cung (hoặc
gốc tử cung nếu con cái đã triệt sản) nằm giữa bàng quang và kết tràng (Hình 5 và 6).
Hình 4: Sau khi xác định bàng quang và kết tràng, đầu dò được di chuyển về phía sau để xác định tử cung hoặc
gốc tử cung nằm giữa bàng quang và kết tràng.
Hình 5: Hình ảnh cắt ngang của tử cung . Thân tử cung giảm âm được nhìn thấy giữa bàng quang và đại tràng.
Hình 6: Hình ảnh dọc (a) và ngang (b) của cuống tử cung (*) ở chó lai đã được triệt sản. Gốc tử cung được nhìn
thấy ở phía sau bàng quang. UB: bàng quang tiết niệu; C: đại tràng. -
Khi đã xác định được tử cung, đầu dò sẽ xoay 90° theo chiều kim đồng hồ để đánh giá
cơ quan theo chiều dọc (Hình 6a). -
Tử cung (hoặc gốc tử cung nếu con cái đã triệt sản) được kiểm tra theo cả hướng ngang
và hướng dọc bằng cách trượt đầu dò theo chiều dọc và chiều dọc.
Sừng tử cung không phải lúc nào cũng nhìn thấy rõ ràng và có thể không thể kiểm tra
toàn bộ, đặc biệt là trong thời kỳ động dục. II.
Hình ảnh bình thường a. Buồng trứng
Hình ảnh siêu âm của buồng trứng thay đổi trong suốt chu kỳ động dục: -
Ở giai đoạn nghỉ và tiền động dục, buồng trứng gần như hình bầu dục, giảm âm nhẹ và
khó phân biệt với các mô xung quanh (Hình 7). Vỏ và tủy không thể phân biệt được bằng siêu âm.
Hình 7: Buồng trứng bên phải bình thường (giữa các mũi tên) trong giai đoạn động dục. Buồng trứng giảm
âm nhẹ đối với mạc treo xung quanh. -
Các nang có thể được xác định từ ngày 1 đến ngày thứ 7 trong thời kỳ động dục và xuất
hiện dưới dạng các cấu trúc nang có thành mỏng, không có tiếng vang với sự tăng âm
ở phần xa (Hình 8). Nhiều u nang nhỏ có thể không được xác định riêng lẻ và buồng
trứng có thể xuất hiện tăng âm lan tỏa.
Hình 8: (a) Có thể nhìn thấy hai nang nhỏ không có tiếng vang (*) trong buồng trứng trái. (b) U nang
nang lớn (*) ở buồng trứng trái. -
Nang phát triển cho đến khi rụng trứng. Cần phải quét hàng ngày để phát hiện giai đoạn này. -
Sự rụng trứng dẫn đến sự phát triển của một khối xuất huyết, sau đó được tiêu hủy,
tạo thành hoàng thể giảm âm. b. Tử cung
Tử cung bình thường không có thai xuất hiện dưới dạng một cấu trúc giảm âm nhỏ (xem Hình 5 và 6). -
Nội mạc tử cung và nội mạc tử cung không thể phân biệt được bằng siêu âm. -
Lòng tử cung thường trống hoặc chứa một lượng nhỏ chất nhầy xuất hiện dưới dạng
một đường tăng âm nhỏ. Trong thời kỳ động dục, lòng tử cung có thể chứa một lượng rất nhỏ chất lỏng. -
Sừng tử cung có thể được xác định từ phần đầu tử cung đến phần chia đôi của thân tử
cung (Hình 9). Việc kiểm tra từ chỗ phân nhánh đến từng buồng trứng tương ứng có thể gặp khó khăn.
Tử cung có thể được phân biệt với một quai ruột non vì không có sự phân lớp thành
ruột hoặc chuyển động nhu động. Ngoài ra, không có khí hoặc chất lỏng hiện diện trong
lòng tử cung bình thường.
Hình 9: Hình dáng của tử cung từ chỗ chia đôi của tử cung đến hai sừng tử cung (Hình 7) . Có thể nhìn thấy
phần đầu của sừng bên phải (RH) và sừng bên trái (LH). III.
Những biến đổi so với bình thường a. Buồng trứng -
Bệnh u nang buồng trứng xuất hiện dưới dạng tổn thương dạng nang ở buồng trứng
với hình ảnh không phản xạ và tăng âm ở phần xa. Có thể khó phân biệt bệnh u nang
buồng trứng với nang trứng bình thường. -
Các khối u buồng trứng (Hình 10) có thể được xác định là các khối của một hoặc cả hai
buồng trứng. Chúng có thể ở dạng rắn, dạng nang hoặc kết hợp. Khối u buồng trứng
lớn có thể xuất hiện ở giữa bụng và thậm chí có thể nằm ở phía bụng dưới. Khi phát
hiện một khối trong ổ bụng, nguồn gốc buồng trứng nên được xem xét dựa trên vị trí
của khối và sự thiếu liên kết với các cơ quan có thể nhìn thấy. Không thể phân biệt loại
u buồng trứng bằng siêu âm. -
U hạt gốc buồng trứng có thể phát triển sau dây nối của cuống buồng trứng. Nó xuất
hiện dưới dạng một khối có kích thước, hình dạng và kết cấu âm vang thay đổi. Bệnh
súc có u hạt gốc buồng trứng nên được đánh giá tình trạng tắc niệu quản đồng thời.
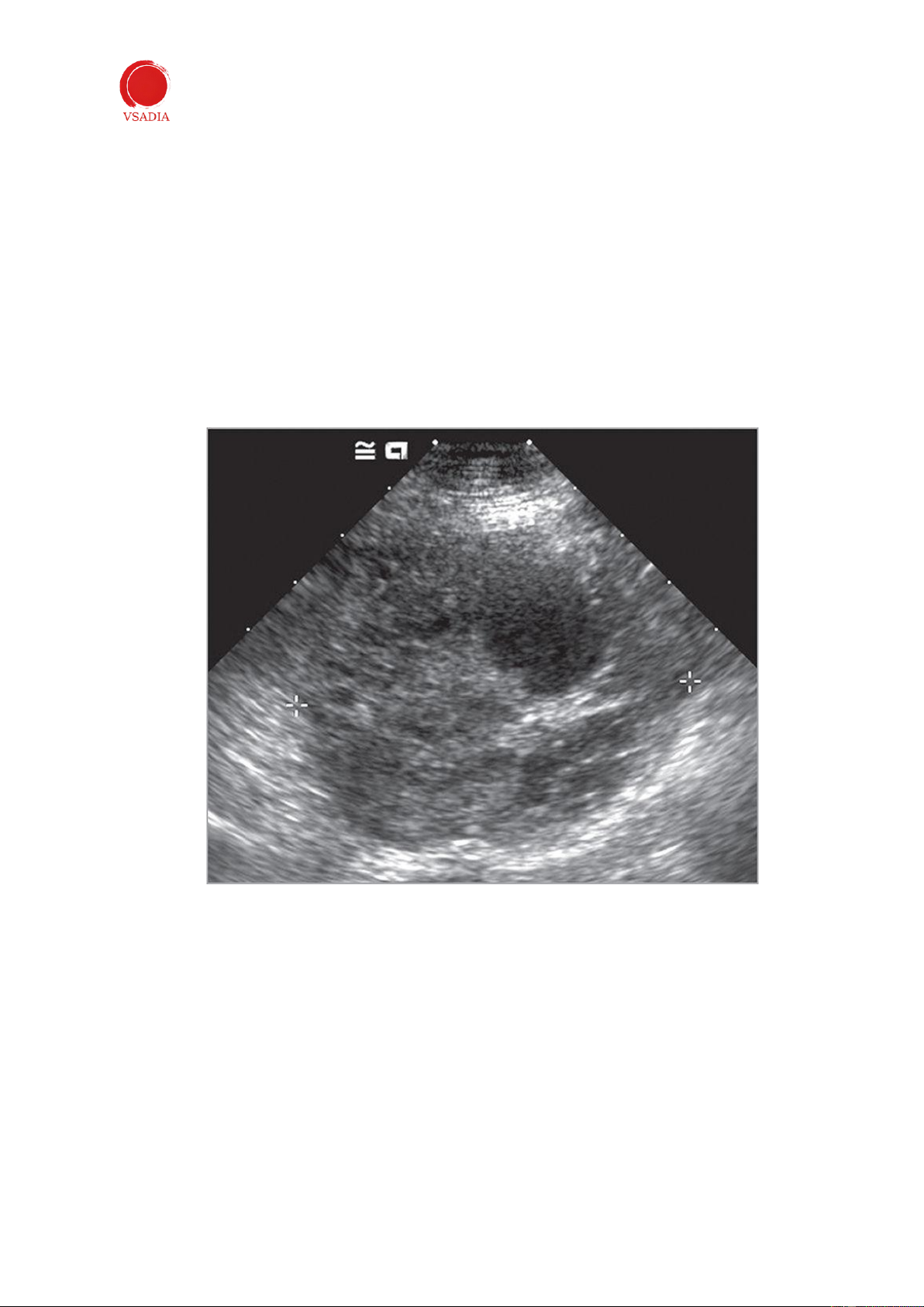
Hình 10: Ung thư biểu mô buồng trứng ở chó. Buồng trứng trái tròn, có độ phản âm hỗn hợp và chứa các
vùng nang không phản âm. b. Tử cung -
Tăng sản nội mạc tử cung dạng nang (CEH) thường xảy ra trước mủ tử cung và xuất
hiện trên siêu âm dưới dạng nội mạc tử cung dày lên chứa các cấu trúc nang không có tiếng vang (Hình 11).
Hình 11:Tăng sản nội mạc tử cung dạng nang . Thân tử cung (UT) có thể nhìn thấy được từ phía sau bàng
quang (UB). Nó có đường kính to hơn và thành tử cung chứa nhiều u nang nhỏ. -
Khi có mủ tử cung, tử cung và sừng tử cung to ra và chứa đầy dịch (Hình 12). Sự mở
rộng này thường đối xứng, mặc dù những thay đổi khu trú hoặc từng đoạn cũng có thể
được xác định. Nội dung tử cung có thể không có tiếng vang hoặc tiếng vang. Mủ tử
cung phải được phân biệt với niêm mạc, máu tích tụ và nước, có hình dạng siêu âm tương tự (Bảng 1).
Hình 12: Mủ tử cung ở một con chó. Tử cung (*) có vẻ giãn ra và chứa đầy dịch. UB: bàng quang tiết niệu.
Bảng 1. Đặc điểm siêu âm của dịch trong tử cung: mủ, nước, niêm mạc và máu trong tử cung.
Sự xuất hiện chất lỏng trong tử cung Nghi ngờ
Vùng giảm âm (Không có âm dội về) Nước Chất nhầy tử cung Mủ tử cung Máu tử cung
Vùng tăng âm ( Sóng dội về nhiều) Mủ tử cung Máu tử cung Chất nhầy tử cung
Không thể phân biệt giữa mủ tử cung, niêm mạc, huyết khối và nước chỉ dựa trên hình
ảnh siêu âm của dịch trong lòng tử cung. -
U tử cung (Hình 13) rất hiếm gặp ở chó và mèo. Tuy nhiên, u tuyến, ung thư biểu mô
tuyến, u cơ trơn là những loại thường thấy nhất. Chúng xuất hiện dưới dạng khối hoặc
nốt có kích thước thay đổi, độ phản âm và kết cấu phản âm. Chất lỏng trong lòng tử
cung cũng có thể có mặt.
Không thể phân biệt giữa các tổn thương tân sinh và không tân sinh chỉ dựa trên hình ảnh siêu âm của chúng.
Hình 13: Ung thư biểu mô tử cung ở mèo. Một khối hồi âm hỗn hợp có thể nhìn thấy được bao quanh bởi
dịch khu trú trong lòng ống. Di căn được xác định ở gan và lá lách. -
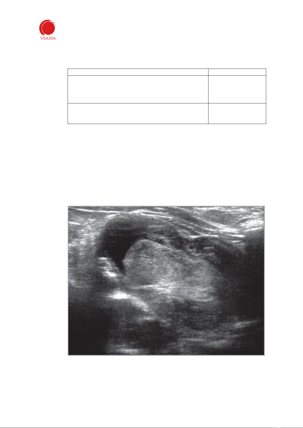
Ở những con cái đã triệt sản, u hạt ở cuống tử cung xuất hiện dưới dạng một khối lớn (Hình 14).
Hình 14: (a) Hình ảnh cắt ngang của u hạt gốc tử cung (pyometra) ở chó. Có thể nhìn thấy gốc tử cung
giữa bàng quang và đại tràng. (b) Hình ảnh mặt cắt của mủ tử cung của một chú chó. Cuống tử cung
xuất hiện dưới dạng một khối hang tạo âm hỗn hợp ở phía sau bàng quang (UB). IV. Thai kỳ -
Việc mang thai có thể được chẩn đoán sớm nhất là 10–11 ngày sau khi thụ tinh; tuy
nhiên, chẩn đoán mang thai là đáng tin cậy nhất sau 30 ngày kể từ lần giao phối cuối
cùng ở chó và 15–20 ngày sau lần giao phối cuối cùng ở mèo. -
Việc phát hiện sớm có thể khó khăn do kích thước tử cung và túi thai nhỏ (Hình 15).
Túi thai có thể được phát hiện 18–19 ngày sau khi hormone luteinizing (LH) đạt đỉnh.
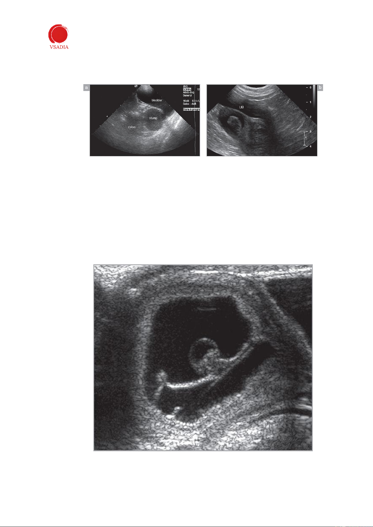
Hình 15: Mang thai ba tuần ở một con mèo. Phôi có thể nhìn thấy ở trung tâm. -
Tim ở chó được phát hiện sớm nhất là 23 ngày sau khi đạt đỉnh LH, trong khi ở mèo,
nó được phát hiện vào 18–25 ngày.
Nhịp tim bình thường của thai nhi xấp xỉ gấp đôi nhịp tim của mẹ. Nhịp tim giảm là dấu
hiệu thai nhi đang bị căng thẳng. -
Ở chó, đầu và cơ thể của thai nhi có thể được nhìn thấy vào ngày thứ 28, các chi và
chuyển động của thai nhi vào ngày thứ 35–36 và bộ xương của thai nhi vào ngày thứ
33–39 (Hình 16). Bàng quang và dạ dày được xác định vào ngày thứ 35–39. Thận được
nhìn thấy vào ngày thứ 39–47 và bốn buồng tim có thể được phân biệt vào ngày thứ
40. Ở bào thai, phổi có độ phản âm giống như gan cho đến ngày thứ 38–42. Sau ngày
thứ 42, phổi trở nên tăng âm đối với gan. Có thể nhận biết được ruột sau khoảng 60 ngày (+/- 3 ngày). -
Ở mèo, có thể quan sát được đầu và thân vào ngày thứ 19–20, có thể quan sát được
tim vào ngày thứ 18, có thể quan sát được dạ dày vào ngày thứ 27 trong khi có thể
quan sát được chi trước và chân sau vào ngày thứ 24.
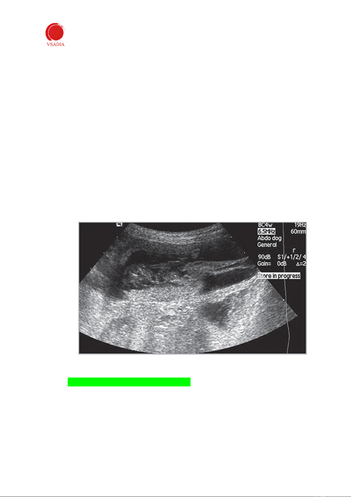
Hình 16: Mang thai năm tuần ở một con chó. Các chi có thể được nhìn thấy và có chuyển động trong thời gian thực.
Các phép đo thai nhi để ước tính tuổi thai
- Các phép đo thích hợp nhất phụ thuộc vào giai đoạn của thai kỳ. Ở giai đoạn
đầu của thai kỳ, đường kính túi thai thường được sử dụng. Chiều dài đầu mông
của thai nhi có thể được đo và sử dụng nếu có thể thu được hình ảnh trục dài
của thai nhi. Ở giai đoạn sau của thai kỳ, đường kính đầu và đường kính cơ thể được sử dụng.
a. Ước tính tuổi thai ở chó
- Ở chó, chiều dài đầu mông và đường kính của túi thai được sử dụng để ước tính
tuổi thai cho đến khoảng ngày thứ 40 (Hình 17).
( 6 × ĐƯỜNG KÍNH TÚI THAI + 20 = TUỔI THAI +/– 3 NGÀY )
- Sau khoảng ngày thứ 40, kích thước ngang của hộp sọ (đường kính đầu) và kích
thước ngang của cơ thể ở mức gan sẽ được sử dụng.
( 15 × ĐƯỜNG KÍNH ĐẦU + 20 = TUỔI THAI +/– 3 NGÀY )
Hình 17: Túi thai ở chó. Tuổi thai ước tính: 30 +/- 3 ngày (6 × 1,7 + 20). Cách ngày sinh 35 +/- 3 ngày (65-30)
b. Ước tính tuổi thai ở mèo -
Ở mèo, cả đường kính túi thai và chiều dài đầu-đuôi đều có thể được sử dụng để đánh
giá tuổi thai sớm (trước 30 ngày). Sau 40 ngày, đường kính đầu và đường kính thân
được sử dụng phổ biến.
( 25 x Đường kính đầu + 3 = tuổi thai +/ 2 ngày ) -
Mặc dù siêu âm rất nhạy trong chẩn đoán thai kỳ, nhưng nó không chính xác để xác
định số con vì rất dễ đếm sai, chẳng hạn như đếm 1 thai nhi nhiều hơn một lần. Khi cần
xác định chính xác số lượng thai nên chụp X quang bụng. -
Sự co lại của thời kỳ hậu sản xuất hiện khi độ dày thành tử cung và thể tích dịch trong
lòng tử cung giảm dần. Thông thường thời gian này mất tới 28 ngày ở chó và 24 ngày ở mèo.
Mang thai bất thường -
Nếu phôi chết trong thời kỳ đầu của thai kỳ thì phôi sẽ bị tiêu hủy hoàn toàn. Ở thai kỳ
lớn hơn, phôi chết sẽ nhỏ hơn những phôi khác, không có nhịp tim và nước ối phản âm. -
Thai chết muộn trong thai kỳ có thể được nhận biết bằng nhịp tim không đều, thai nhi
thiếu chuyển động, tư thế thai nhi bất thường, tăng độ hồi âm của dịch và khí tích tụ trong thai nhi. -
Xoắn tử cung được đặc trưng bởi sự tăng độ dày của thành tử cung, tăng độ vang của
thành tử cung và dịch thai nhi, và các dấu hiệu thai chết. -
Các khuyết tật bẩm sinh cũng có thể được chẩn đoán bằng siêu âm. V. Tuyến vú -
Các khối u ở vú (Hình 18) có kích thước khác nhau và thường xuất hiện dưới dạng khối
với độ phản âm hỗn hợp. Loại khối u vú không thể được xác định chỉ dựa trên các dấu
hiệu siêu âm. Các hạch bạch huyết khu vực phải luôn được đánh giá các dấu hiệu di căn. -
Viêm vú (Hình 19) xuất hiện dưới dạng mô vú giảm âm và phì đại. Áp xe cũng có thể được nhìn thấy.
Hình 18: Đã xác nhận ung thư biểu mô tuyến vú xuất hiện dưới dạng khối phản âm hỗn hợp ở tuyến vú
thứ 5 bên phải của chó. (b) Áp xe dạng ung thư biểu mô tuyến vú từ tuyến vú thứ 3 của cùng một con vật.
Các vùng hang chứa nhiều chất với các ổ phản âm nhỏ
Hình 19: Tuyến vú có độ hồi âm hỗn hợp dày ở chó