



















Preview text:
HỆ THẦN KINH
BM Mô phôi – Khoa Y – ĐH Y khoa Vinh MỤC TIÊU BÀI HỌC
1. Mô tả cấu tạo mô học của tủy sống
2. Kể tên các lớp và thành phần tế bào của vỏ tiểu não và đại não
3. Mô tả cấu tạo của màng não tủy
4. Mô tả cấu tạo mô học của các phần thuộc hệ thần kinh ngoại biên HỆ THẦN KINH - Hệ TK trung ương: não và tủy sống - Hệ TK ngoại vi: hạch TK, dây TK và đầu tận cùng TK
1. HỆ THẦN KINH TRUNG ƯƠNG
- Gồm nơron và mô TK đệm chống đỡ, mạch máu, gần như không có MLK - Chia thành 2 phần:
+ Chất xám: thân nơron và sợi TK trần, tập trung
ở vỏ não, nhân xám dưới vỏ, trung tâm tủy sống.
+ Chất trắng: tập trung các sợi TK, phần lớn là có myelin 1.1. TỦY SỐNG Chất xám: Chất trắng: Gồm thân các nơron Gồm các sợi TK có đa cực, TBTK đệm, sợi myelin (do tb ít nhánh bao TK không myelin, một ít bọc) và TBTK đệm sợi có myelin mảnh, mạch máu 1.1. TỦY SỐNG Chất xám:
Nơron riêng lẻ hoặc tập trung thành đám: nhân xám tủy sống
Sừng sau: nhân cảm giác, nhân lưng
Sừng bên: nhân thực vật giữa bên, giữa trong
. Sừng trước: nhân vận động 1.1. TỦY SỐNG Chất xám:
Căn cứ vào vị trí và mối liên hệ, có 2 loại nơron: nơron
rễ và nơron liên hợp
. Nơron rễ: đa cực, lớn, ra khỏi tủy sống
. Nơron liên hợp: sợi trục ngắn, không ra khỏi tủy sống
. Chức năng: nơron nối, nơron mép, nơron liên hợp, nơron bó 1.1. TỦY SỐNG Chất trắng:
. Những sợi thần kinh có myelin tập trung thành từng bó không r. rệt
. Đường liên lạc ngắn là các sợi cùng chức năng: các bó
căn bản trước, bên và sau của các cột tủy trước, bên, sau
. Các đường căn bản dài giữa tủy và não như các đường
vận động mà đại diện là các bó tháp, bó Goll, bó Burdach
ở cột tủy sau, bó tiểu n.o thẳng ở cột tủy trước bên 1.2. TIỂU NÃO
Đơn vị cấu tạo: lá tiểu não.
Gồm: chất xám nằm ngoại vi,
chất trắng nằm ở trung tâm - Chất xám:
+ Vỏ tiểu não: 3 lớp + Các nhân xám dưới
vỏ: 4 cặp nhân xám là: răng, mái, cầu, nút.
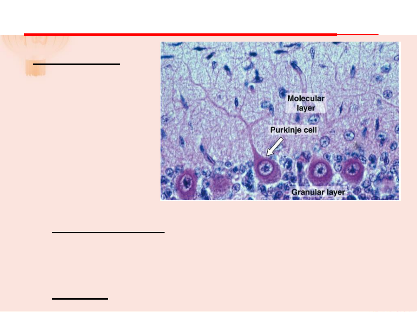
- Chất trắng: gồm những sợi TK có myelin VỎ TIỂU NÃO Lớp phân tử: Thân nơron nhỏ, sợi TK không myelin, TB giỏ, TB sao. Sợi trục TB giỏ ôm lấy TB Purkinje
Lớp TB Purkinje: TB hình trái lê, sợi nhánh hướng về
lớp phân tử, sợi trục xuyên qua lớp hạt vào chất trắng, tận
hết ở nhân răng. Chỉ gồm 1 hàng tế bào, tế bào đặc trưng, kích thước lớn.
Lớp hạt: nhiều nơron nhỏ, đa cực VỎ TIỂU NÃO VỎ TIỂU NÃO VỎ TIỂU NÃO
NHÂN XÁM DƯỚI VỎ
. Bốn cặp nhân xám vùi trong chất trắng của tiểu
não: nhân răng, nhân mái, nhân cầu, nhân nút
. Nơi các đường dẫn truyền thần kinh chuyển tiếp các nơron
. Nhân răng lớn nhất, nơi tiếp nhận và chuyển tiếp
thông tin từ các tận cùng sợi trục của tế bào Purkinje.
CHẤT TRẮNG TIỂU NÃO
. Sợi thần kinh có myelin: sợi trục của tế bào
Purkinje, sợi trục của các nơron từ những vùng
khác nhau của trục não tủy đi đến và tận cùng trong tiểu não . 2 loại:
. Sợi rêu: tận cùng lớp hạt, tạo synap với tế bào hạt
. Sợi leo: tận cùng lớp phân tử, tạo synap với
sợi nhánh tế bào Purkinje, thân tế bào giỏ 1.3. ĐẠI NÃO
- Chất xám: * Vỏ não: có 6 lớp
* Các nhân xám dưới vỏ:
+ Đồi thị: gồm 3 nhân xám chứa các nơron đa cực
+ Vùng dưới đồi: nhiều nhân xám, nơron chế tiết
+ Thể vân: gồm nhân đuôi và nhân đậu
- Chất trắng: gồm nhiều sợi TK có myelin 1.2. ĐẠI NÃO 1.3. ĐẠI NÃO VỎ ĐẠI NÃO
A. Nhuộm Nissl B. Nhuộm ngấm bạc C. Nhuộm thể hiện sợi thần kinh 1.4. MÀNG NÃO-TỦY
- Màng mềm (màng nuôi): bao mặt ngoài của não
& tủy sống, bọc lấy các mạch máu, biểu mô lát đơn
lợp 2 mặt. Giữa màng mềm và mạch máu có khoang Virchow-Robin.
- Màng nhện: giàu sợi LK, không mạch máu, cách
với màng mềm bởi khoang dưới nhện
- Màng cứng: màng LK xơ rất chắc chắn
Có 2 khoang: khoang ngoài màng cứng và khoang
dưới màng cứng (khoang ảo ngăn cách giữa màng cứng & màng nhện) 1.4. MÀNG NÃO-TỦY