












Preview text:
lOMoAR cPSD| 22014077
THỰC HÀNH ĐỌC PHIM X QUANG TIM PHỔI
I. TRIỆU CHỨNG TỔN THƯƠNG PHỔI TRÊN X QUANG 1.
Tổn thương mờ: (màu trắng trên phim X quang âm bản) có thể khu trú (đơn độc)
hoặc lan tỏa (số lượng nhiều).
Kích thước lấy chiều dài nhất tổn thương so với chiều cao 1 khoang gian sườn (~2,5 – 3cm). 1.1.
Nốt mờ nhỏ (hạt kê): là tổn thương có kích thước ≤ 3mm, do quan sát bằng
mắt thường nên nếu có số lượng nhiều sẽ thấy các tổn thương có kích thước đều nhau. lOMoAR cPSD| 22014077 1.2.
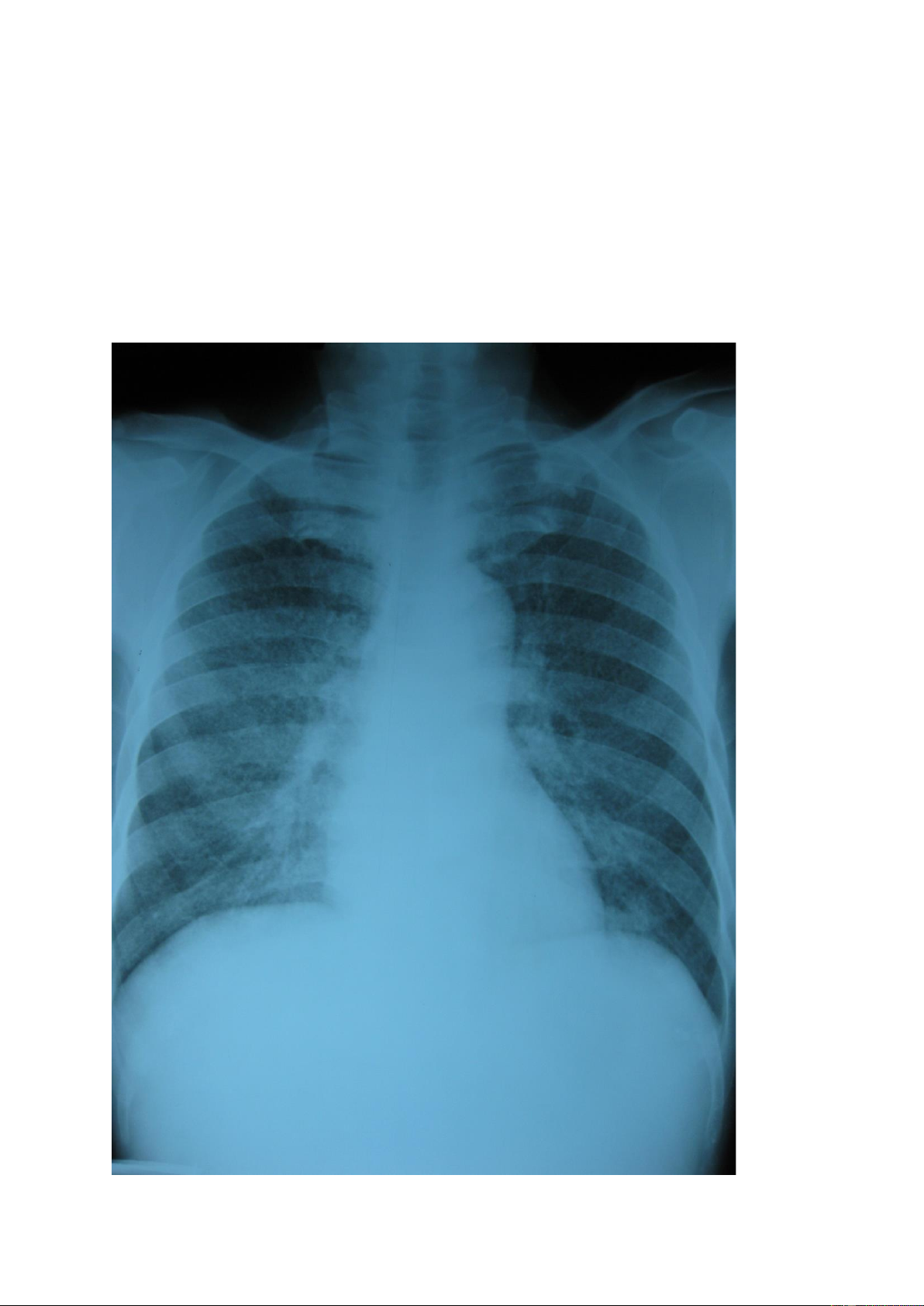
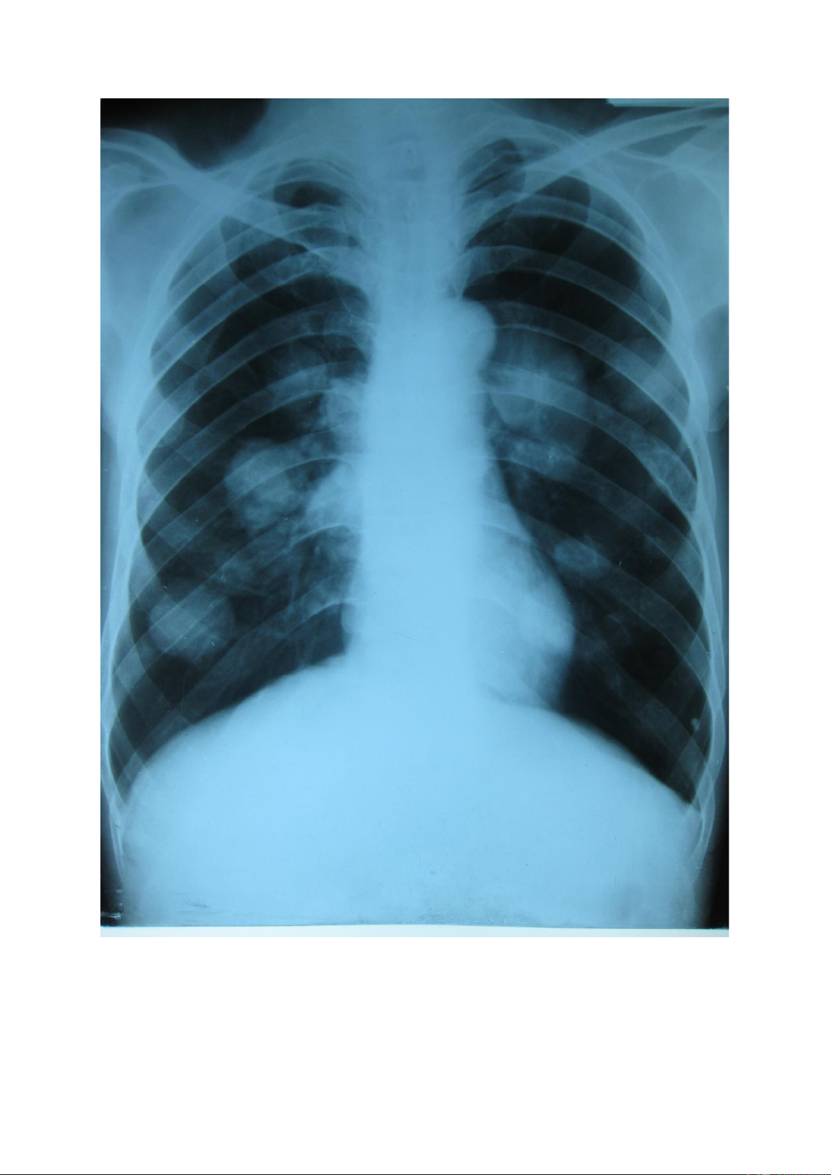
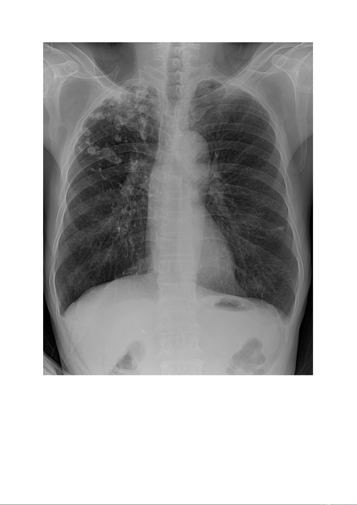
Nốt mờ lớn: là tổn thương có kích thước >3mm và < 3cm, số lượng có thể đơn
độc hoặc nhiều, kích thước có thể đều hoặc không đều, đậm độ cản quang khác nhau. lOMoAR cPSD| 22014077 lOMoAR cPSD| 22014077 1.3.
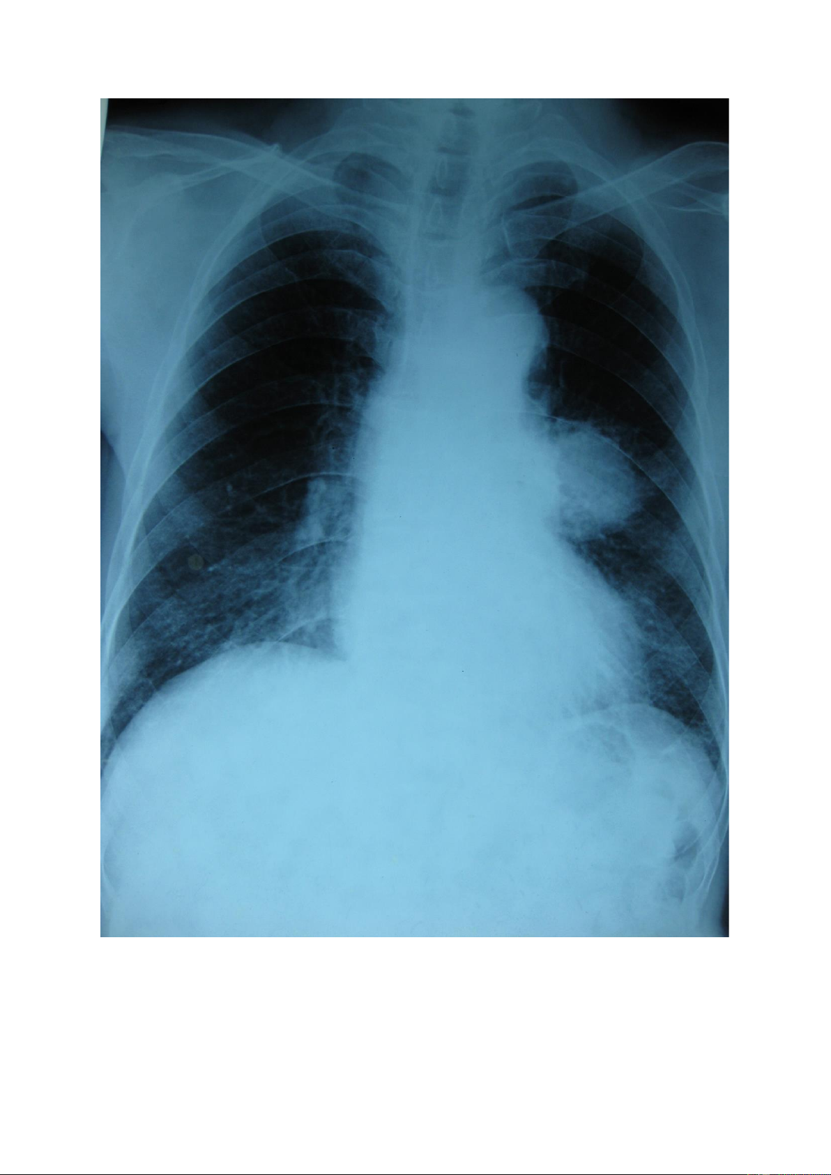
Khối mờ: là tổn thương có kích thước ≥ 3cm; số lượng có thể đơn độc có thể
nhiều. Nếu số lượng nhiều sẽ thấy các khối kích thước đều hoặc không đều nhau, đậm độ cản quang khác nhau. lOMoAR cPSD| 22014077 lOMoAR cPSD| 22014077 1.4.
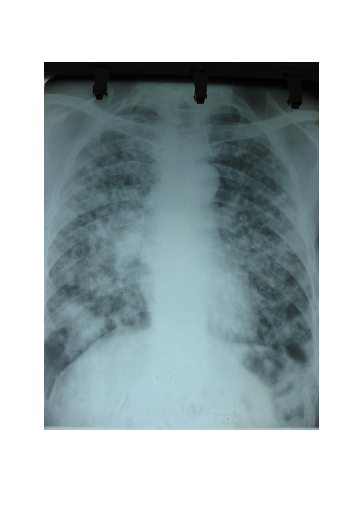
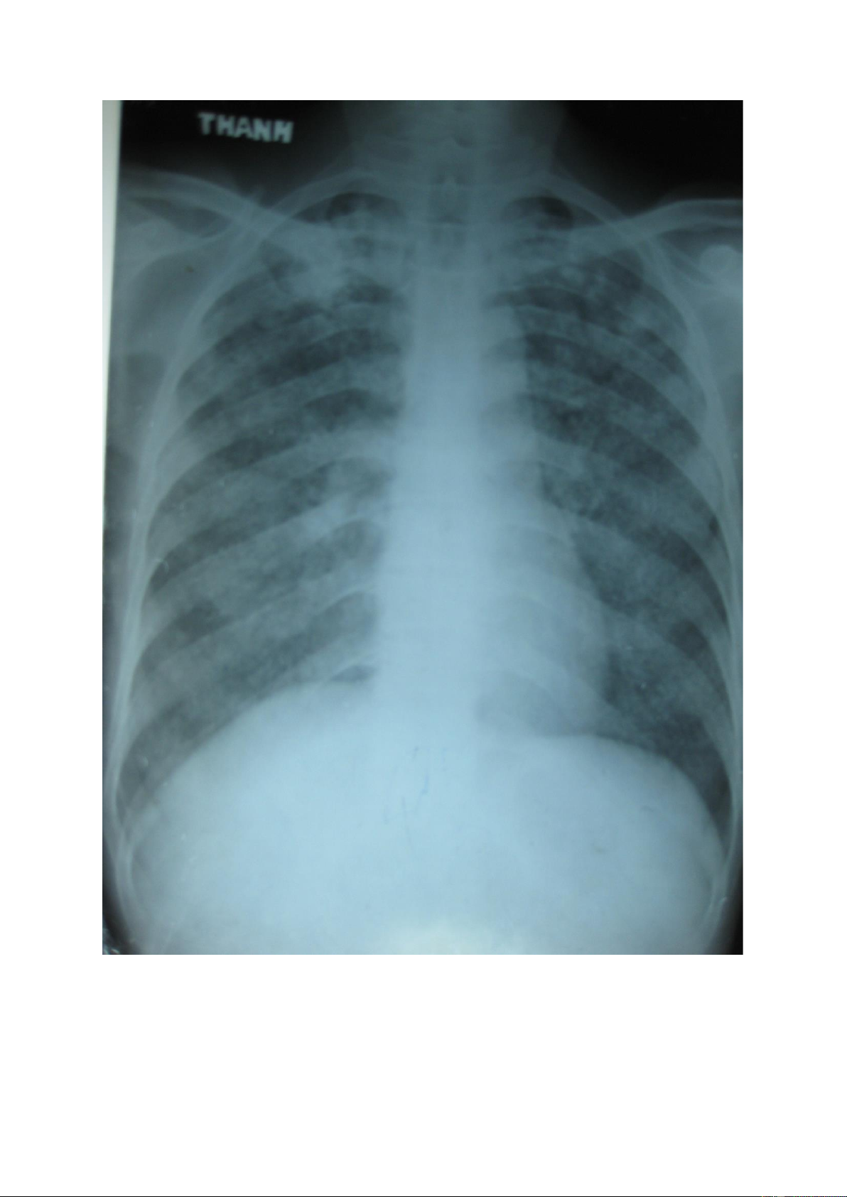
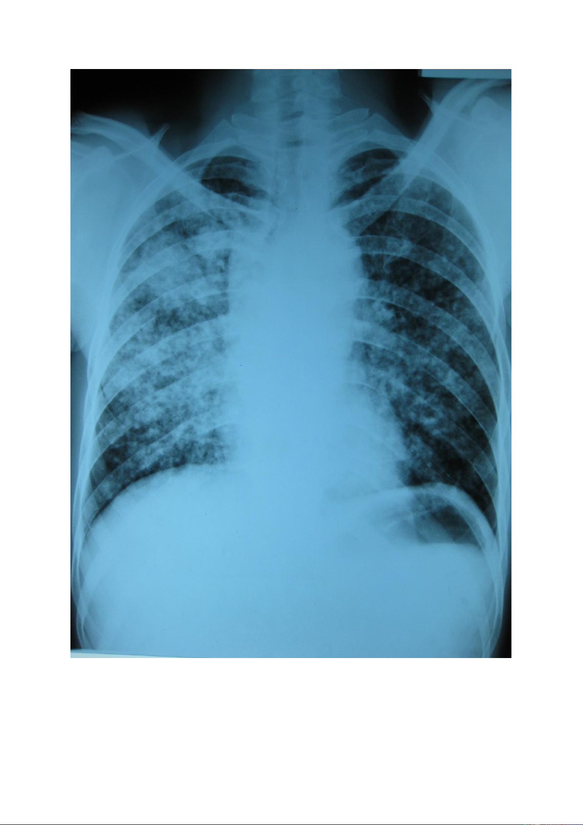
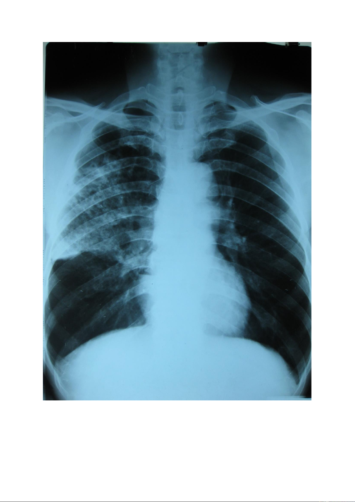
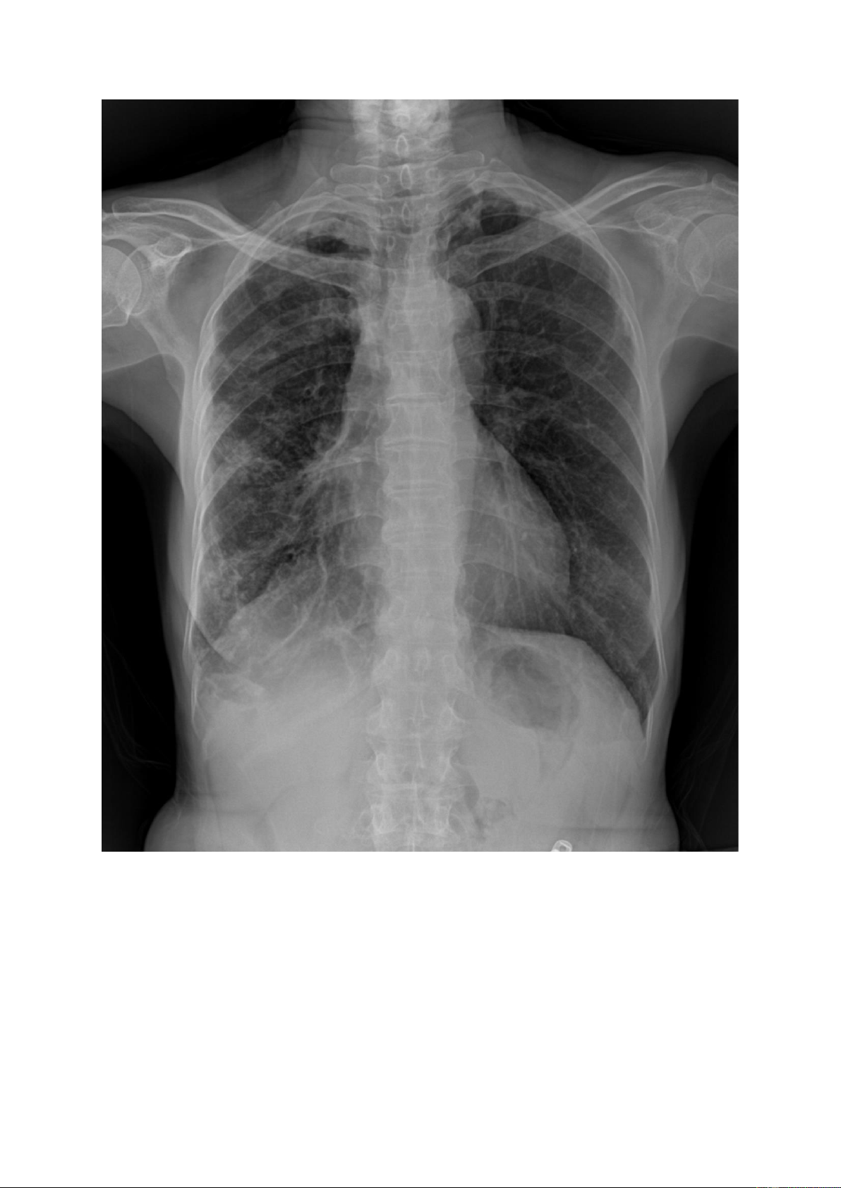
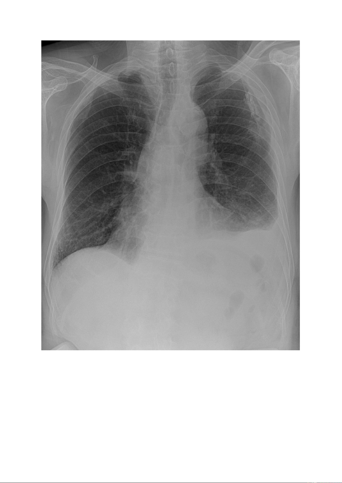
Đám mờ: là tổn thương có sự tập trung của các nốt mờ theo vùng tạo thành
hình ảnh vùng mờ không đồng đều, không rõ bờ của vùng tổn thương đó. lOMoAR cPSD| 22014077 1.5.
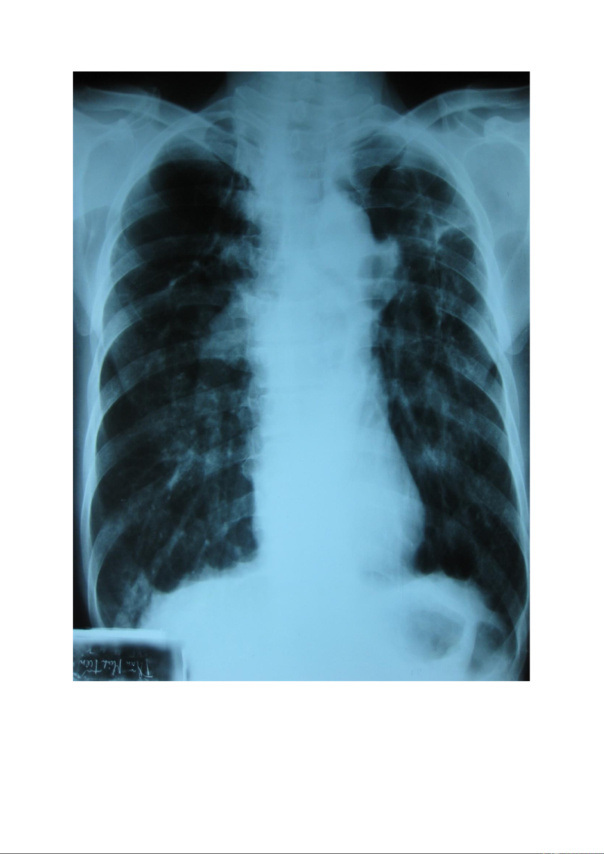
Dải mờ - dải xơ: dải mờ là tổn thương mờ tạo thành một hoặc nhiều vệt (màu
trắng) dài ngắn khác nhau, dải xơ thường là di chứng để lại của dải mờ khi hồi phục
nên đậm độ cản quang cao hơn dải mờ. lOMoAR cPSD| 22014077 lOMoAR cPSD| 22014077 1.6.
Vôi hóa: là tổn thương có đậm độ cao (trắng đậm trên phim), tổn thương có
thể đơn độc hoặc lan tỏa (nhiều). lOMoAR cPSD| 22014077 lOMoAR cPSD| 22014077
2. Tổn thương quá sáng
Là hình ảnh tổn thương có màu đen hơn mô phổi lành xung quanh. Nếu tổn thương có nhìn
thấy mạch máu đi qua chứng tỏ thuộc vùng mô phổi, nếu tổn thương sát với bờ ngoại vi phổi
không thấy phân bố mạch máu bên trong thường gặp trong tràn khí khoang màng phổi. lOMoAR cPSD| 22014077
2.1. Quá sáng vùng nhu mô lOMoAR cPSD| 22014077
2.2. Quá sáng do tràn khí màng phổi