















Preview text:
lOMoAR cPSD| 45469857
Họ và tên: Hồ Thúc Phương Anh
Trường ĐH Y dược TP HCM Lớp: Y19A-03
Bệnh viện Chợ Rẫy MSSV: 111190026
BM: Ngoại Thần kinh
BỆNH ÁN NGOẠI KHOA I. HÀNH CHÍNH: Họ tên BN: Quách Hoàng H Tuổi: 40 tuổi (1983) Giới tính: Nam Dân tộc: Kinh Nghề nghiệp: Nông dân
Địa chỉ: Ấp 05, Tân Lộc Bắc Thới Bình, Cà Mau
Ngày vào viện: 02h51phút ngày 25/12/2023
Khoa Cấp cứu bệnh viện Chợ Rẫy
Hiện đang nằm Khoa Ngoại Thần Kinh (3B3) giường L3 phòng 03 II.
LÝ DO VÀO VIỆN: bất tỉnh sau tai nạn sau tai nạn giao thông giờ thứ 6 III. BỆNH SỬ:
BN và vợ là người khai bệnh
Cách nhập viện 6 giờ (20h00p), BN đang lưu thông tên đuờng nhựa bằng xe vẫn máy
(hiệu Wave), bệnh nhân không chở ai, không đội mũ bảo hiểm, trước đó có sử
dụng rượu lượng nhiều nên lái xe không vững, bệnh nhân chạy với vận tốc 40km/h, vì
say rượu nên bệnh nhân đánh trật tay lái, ngã đập đầu (P) xuống mặt đường. Sau tai
nạn, bệnh nhân than đau nhói vùng đầu, chóng mặt, có vết thương chảy máu lượng
vùng đầu (P). Bệnh nhân được người thân đưa đến bệnh viện đa khoa tỉnh Cà Mau, tại
bệnh viện, bệnh nhân lơ mơ nhận ra và nói chuyện với người thân được 15ph, bệnh
nhân nhớ được cơ chế chấn thương, sau đó bệnh nhân bất tỉnh, bệnh nhân được khâu
cầm máu vết thương ở đầu, chụp CT-Scan sọ não và chẩn đoán: Nứt sọ thái dương (P),
gãy xương hàm (P), gãy thành ngoài hốc mắt, gãy thành xoang hàm (P)=> Chuyển Cấp Cứu Chợ Rẫy.
Trong quá trình tai nạn, bệnh nhân không ói mửa sau chấn thương, không co giật,
không khó thở, than đau đầu, chóng mặt nhiều, chảy máu mũi 2 bên, ý thức giảm.
Tình trạng lúc nhập viện: lOMoAR cPSD| 45469857
Xử trí CC: BN hôn mê, Glasgow 8đ (E2V2M4), spO2 86% -> nhập Hồi sức ngoại TK, đặt NKQ thở máy FiO2: 60%, f: 16l/p
PEEPL 5cmH20, Vt 400ml, I/E:1/2
Nhét Mechè mũi bằng sonde foley Hút đàm nhớt
TTM NaCl 0.9% 500ml 1 chai , SAT 1500 UI 1A (TB) Ceftriaxone 21 lọ (TMC)
Mắc monitor theo dõi liên tục M: 90l/p HA: 130/80mmHg Nhiệt độ: 37 độ Niêm hồng Tim đều, không âm thổi Phổi không rale Bụng mềm Cầu bàng quang (+) Tuyến giáp không to Khớp không biến dạng
Đồng tử # 2mm 2 bên, PXAS (+)
Xây xát nhiều vị trí vùng đầu mặt, đã băng bó vết thương đỉnh đầu (P)
Bầm máu quanh mắt (P), phù nề, tụ máu mô mềm hàm mặt IV. TIỀN SỬ: 1. Bản thân:
a) Nội khoa: chưa ghi nhận tiền căn THA, ĐTĐ2, rối loạn đông máu, động kinh, bệnh lí tim mạch…
b) Ngoại khoa: chưa ghi nhận tiền căn chấn thương truớc đây hay phẫu thuật. c) Thói quen sinh hoạt:
- Thường xuyên sử dụng rượu bia (4 đơn vị cồn/ tuần). lOMoAR cPSD| 45469857 - Không hút thuốc lá
d) Dị ứng: chưa ghi nhận
e) Thuốc: hiện không sử dụng thuốc kháng đông, ức chế kết tập tiểu cầu…
Gia đình: Chưa ghi nhận tiền căn gia đình về bệnh lí tim mạch, ác tính, tâm thần V.
KHÁM BỆNH: (11h00 26/12/2023 tại 3B1 khoa ngoại Thần kinh) 1. Tổng trạng:
- Bệnh nhân tỉnh GCS E4V4M6, lú lẫn, nói nhiều, kích động phải cố định tay chân o - Sinh hiệu o
Huyết áp: 120/80 mmHg o Mạch: 72 lần/phút o Nhiệt độ: 37 C
o Nhịp thở: 17 lần/phút o
SpO2: 98% thở oxy qua cannula 6l/p o Cân
nặng: 63 kg o Chiều cao: 170 cm
⇨ BMI: 21.7 kg/m2 => thể trạng trung bình theo IDI & WPRO -
Da, niêm mạc hồng. Móng hồng, bóng, chi ấm, CRT < 2 giây.
- Môi không khô, lưỡi không dơ. - Tuyến giáp không to.
- Hạch ngoại vi không sờ chạm.
- Không xuất huyết dưới da, không phù, không có tổn thương. 2. Đầu mặt cổ: 2
- Vết thương vùng đỉnh đầu bên (P) 5x5 cm đã khâu, không đỏ chân chỉ, không
chảy dịch hay máu, khô, sưng nhẹ, nhiều máu đông.
- Nhiều vết xây xát vùng da mặt, hàm (P) 3x3cm2 đã khô, đóng mài
- Không chảy dịch qua mũi, tai
- Không có dấu kính râm, không có dấu battle sign - Hàm mặt không lệch
3. Khám chức năng thần kinh cao cấp
- Bệnh nhân tiếp xúc được, GCS 14 điểm (E4V4M6)
- Ngôn ngữ: hiểu và trả lời đúng câu hỏi, thực hiện được các y lệnh, thỉnh thoảng
mất tập trung, không trả lời hay thực hiện y lệnh.
- Tư thế dáng bộ: đi lại được
- Định hướng không gian/thời gian: Bệnh nhân có định hướng không gian, thời gian và bản thân. lOMoAR cPSD| 45469857
- Trí nhớ: Bn nhớ được tên người thân, vợ, con, quên ngược chiều (không nhớ hôm tai nạn say rượu)
- Khám 12 đôi dây thần kinh sọ: o
Dây I: ngửi thấy được, nhận diện được mùi
o Dây II: không soi đáy mắt, không mất thị lực, thị trường đối chiếu không bất
thường, thị trường hai bên ước lượng trong giới hạn bình thường. o Đồng tử
kích thước # 3mm tròn đều 2 bên, phản xạ ánh sáng đáp ứng tốt.
o Dây III, IV, VI: không sụp mi, nhìn các hướng tốt o Không có xoay mắt đầu. o
Dây V: Nhai cắn bình thường, cảm giác V1, V2, V3 bình
thường. o Dây VII: Nhắm kín mắt, còn nếp nhăn trán, nếp nhăn mũi má 2 bên. o
Dây VIII: Nghe rõ, không giảm thính lực. o Dây IX, X:
vòm họng cân đối không có dấu vén màng, còn phản xạ nôn. o Dây
XI: cơ ức đòn chũm, cơ thang cân đối hoạt động bình thường.
o Dây XII: lưỡi không teo, không rung giật cơ lưỡi. - Vận động: o
Không ghi nhận teo cơ, rung giật cơ.
o Trương lực cơ: bình thường o Kích động tay chân nhiều, đập phá đồ đạc
nên được cố định vào thành giường bệnh.
o Không khám được sức cơ khách quan - Khám phản xạ: o Phản xạ gân
cơ nhị đầu, tam đầu, cánh tay quay, gối, gót đều 2 bên. o Còn phản xạ da bụng. o Babinski (-).
- Khám cảm giác: cảm giác đau, nhiệt, sờ, vị thế, rung âm thoa chưa ghi nhận bất thường.
- Khám các dấu màng não: cổ mềm, Kernig âm tính, Brudzinski âm tính. 4. Lồng ngực:
- Lồng ngực cân đối, di động theo nhịp thở, không u cục, không dấu sao mạch,
không tuần hoàn bàng hệ, không sẹo mổ cũ.
- Không co kéo cơ hô hấp phụ, khoang liên sườn không dãn rộng. * Tim mạch: 2
- Mỏm tim ở khoang liên sườn V đường trung đòn trái, diện đập 2x2 cm -
Không ổ đập bất thường, không ghi nhận dấu Harzer, không rung miêu. -
Nhịp tim đều, T1 T2 rõ, tần số 72 lần/phút * Hô hấp: - Rung thanh đều 2 bên.
- Gõ trong 2 phế trường. lOMoAR cPSD| 45469857
- Rì rào phế nang êm dịu 2 phế trường, không rale bệnh lý
5. . Tiêu hóa:
- Bụng cân đối, di động theo nhịp thở, không u cục, không tuần hoàn bàng hệ, không sẹo mổ cũ.
- Rốn không lồi, không rỉ dịch.
- Bụng mềm, không điểm đau khu trú, không đề kháng thành bụng.
- Gan, lách không sờ chạm. - Chiều cao gan: 10 cm
- Gõ trong bụng, không mất diện đục trước gan, không gõ đục vùng thấp -
Nhu động ruột 5 lần/phút.
6. Tiết niệu – sinh dục:
- Cầu bàng quang âm tính.
- Chạm thận âm tính, bập bềnh thận âm tính, rung thận âm tính - Không điểm đau niệu quản.
7. Cơ – xương – khớp:
- Cân đối, không lệch trục chi, không biến dạng
- Vết thương ngoài da dạng trợt vùng gối (T), đã đóng mài. - Không teo chi,
mạch ngoại biên bắt rõ.
- Không giới hạn vận động các khớp.
8. Các cơ quan khác: Chưa ghi nhận bất thường. VI. TÓM TẮT BỆNH ÁN: lOMoAR cPSD| 45469857
Bệnh nhân nam, 40 tuổi, nhập viện vì bất tỉnh sau tai nạn giao thông giờ thứ sáu, qua
hỏi bệnh và thăm khám ghi nhận: * Triệu chứng cơ năng:
o Bất tỉnh có khoảng tỉnh sau tai nạn giao thông o Đau đầu sau
tai nạn giao thông o Sử dụng rượu bia lượng nhiều * Triệu
chứng thực thể: o Hôn mê GCS 8 điểm
o Vết thương rách da vùng đỉnh đầu (P) chảy máu lượng nhiều o
Nhiều vết xây xát vùng đầu mặt (P), gối (P)
o Chảy máu mũi 2 bên được cầm bằng mechè qua sonde foley o
Bầm máu quanh mắt (P), phù nề, tụ máu mô mềm hàm mặt o Cầu bàng quang (+)
* Cận lâm sàng: (CT-Scan sọ não) o
Nứt sọ thái dương (P) o Gãy thành ngoài
hốc mắt, cung gò má, gãy thành xoang hàm (P), xoang bướm 2 bên o Tụ máu các xoang cạnh mũi
o Tụ khí nội sọ rải rác VII. ĐẶT VẤN ĐỀ:
1) Chấn thương sọ não sau tai nạn giao thông giờ thứ 6 mức độ nặng
2) Vết thương hở vùng đầu mặt VIII. CHẨN ĐOÁN SƠ BỘ:
Đa chấn thương do tai nạn giao thông sau say rượu giờ thứ 6- chấn thương sọ não mức độ
nặng, theo dõi chấn thương cột sống IX. BIỆN LUẬN CHẨN ĐOÁN:
1. Có chấn thương sọ não không?
BN nam, 40 tuổi, nhập viện vì tình trạng hôn mê sau tai nạn giao thông giờ thứ 6. Bệnh
sử ghi nhận BN ngã đập đầu xuống nền cứng sau TNGT, có khoảng tỉnh, có vết thương
vùng đầu chảy máu, trước khi hôn mê BN thấy đau đầu và chóng mặt. Thăm khám
thấy vết thương vùng đỉnh bên (P) 5x5 cm2 đã khâu, tình trạng nhập viện mất tri giác
sau chấn thương, nên nghĩ nhiều BN có chấn thương sọ não cấp
o Ngoài ra BN có Mạch 52 lần/phút, Huyết áp 120/70 mmHg (có thể tăng so HA nền của BN)
nên có thể có tam chứng Cushing => nghi ngờ có tăng áp lực nội sọ lOMoAR cPSD| 45469857
o BN đã được CT-Scan sọ não và ghi nhận: Nứt sọ thái dương (P), Gãy thành ngoài hốc mắt,
cung gò má, gãy thành xoang hàm (P), xoang bướm 2 bên, Tụ máu các xoang cạnh mũi, Tụ khí nội sọ rải rác
2. Mức độ: nặng vì GCS sau chấn thương: 8đ
3. Nguy cơ: trung bình vì BN có mất ý thức sau chấn thương, chấn thương vùng mặt nghiêm trọng X.
ĐỀ NGHỊ CẬN LÂM SÀNG:
1. Cận lâm sàng chẩn đoán: CT-Scan sọ não không cản quang , Ct scans cột sống cổ-
ngực-thắt lưng không cản quang
2. Cận lâm sàng theo dõi: Tổng phân tích tế bào máu ngoại vi, PT, APTT, INR, BUN,
Creatinin, AST, ALT, tổng phân tích nước tiểu, đường huyết, Ion đồ, X quang ngực thẳng, ECG XI.
BIỆN LUẬN KẾT QUẢ CẬN LÂM SÀNG:
1. Công thức máu: Ngày 25/12/2023 3:09
• HGB 101 g/L, MCH 31.0pg, MCV 91.2fL => thiếu máu mức độ trung bình nghĩ
do mất máu sau chấn thưong đầu mặt
• WBC 22.4 G/L, Neu# 19.6 g/l, Neu 87.6% => BC tăng cao ưu thếu NEU, nghĩ do
phản ứng viêm sau đa chấn thương, theo dõi dấu hiệu shock nhiễm trùng (BN
không sốt, không môi khô lữoi dơ, tuy nhiên hôn mê, cần theo dõi sát các vết
thương đầu mặt, toàn thân)
• PLT 223 G/L => tiểu cầu bình thường
Theo dõi công thức máu, tình trạng thiếu máu sau 24h
2. Rượu (ethanol) 160mg/dL > 0.86mg/dl: nồng độ cồn cao 3. Sinh hoá (26/12/2023): •
Glucose: 129 mg/dl, ALT: 43 U/L, AST: 54 U/L, BUN: 20 mg/dl, Creatinin:
0.62 mg/dl, eGFR: 119,8 ml/ph/1.73 m2 da => đường huyết tăng nghĩ do nhiễm độc rượu
4. Ion đồ: Na 135mmol/L, K 3.1 mmol/L, Cl 105 mmol/L : giảm K nhẹ
5. CTScan sọ não (25/12/2023 tại cấp cứu bv Chợ Rẫy):
• Không thấy máu tụ nội sọ
• Tụ khí nội sọ rải rác lOMoAR cPSD| 45469857
• Nứt sọ thái dương (P)
• Gãy xương hàm trên (P)
• Gãy thành ngoài hốc mắt, cung gò má, gãy thành xoang hàm (P), xoang bướm hai bên
• Tụ máu các xoang cạnh mũi
• Phù nề, tụ máu mô mềm hàm mặt, quanh mắt (P) lOMoAR cPSD| 45469857 lOMoAR cPSD| 45469857
Chụp lại CT scans sọ não 27/12/2023 (2 ngày sau chấn thương) Kết luận:
Tụ máu ngoài màng cứng vùng trán-đính (P)
Tụ máu dưới màng cứng lớp mỏng vùng trán (P) dọc lều tiểu não
Dập não xuất huyết trán (P), thái dương (P)
Xuất huyết dưới nhện rải rác bán cầu (P), não thất bên (P) bị chèn ép và di lệch đường giữa qua (T) nhẹ
Nứt sọ đính 2 bên trán (P) lOMoAR cPSD| 45469857
Dãn nhẹ đường khớp vành
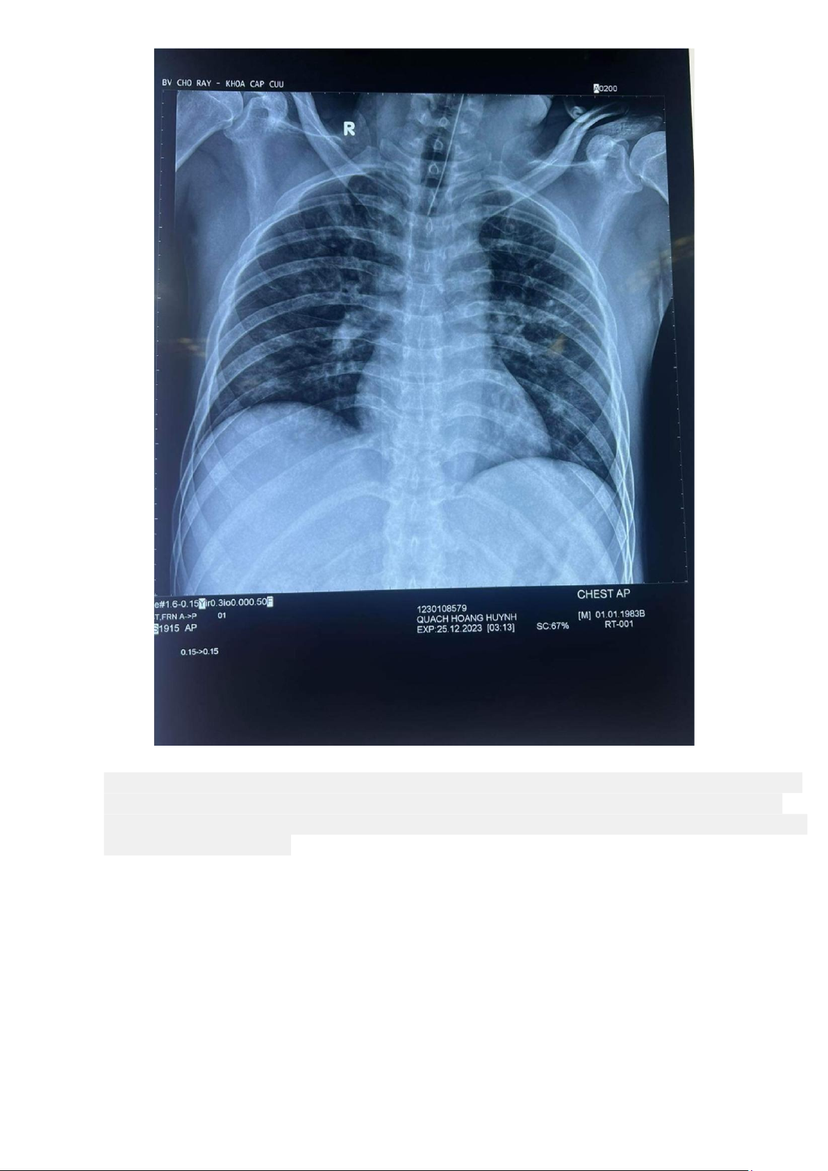
6. Xquang ngực thẳng 25.12.2023
Tổn thương phế nang dạng mô kẽ rải rác hai phổi, đặt NKQ đúng vị trí
7. CT scans cột sống cổ không cản quang 25/12/2023 lOMoAR cPSD| 45469857 lOMoAR cPSD| 45469857 lOMoAR cPSD| 45469857
- Không gãy xẹp thân sống, không trượt cột sống cổ
- Gãy mõm ngang bên (T) C6 tụ dịch vùng hầu họng
8. Xquang ngực thẳng- cẳng tay- đùi
Tim phổi trong giới hạn bình thường
Gãy đầu dưới xương quay (P)
Bó bột vùng cẳng tay (P) hạn chế khảo sát đường
Gãy phức tạp di lệch và có mảnh rời 1/3 giữa xương đùi (T) lOMoAR cPSD| 45469857
XII. CHẨN ĐOÁN XÁC ĐỊNH :
Đa chấn thuơng sau TNGT giờ thứ 6 - chấn thương sọ não nặng- Tụ máu ngoài màng cứng vùng
trán-đính (P), Tụ máu dưới màng cứng lớp mỏng vùng trán (P) dọc lều tiểu não, Dập não xuất
huyết trán (P), thái dương (P), Xuất huyết dưới nhện rải rác bán cầu (P), Gãy mõm ngang bên (T)
C6 tụ dịch vùng hầu họng
XIII. ĐIỀU TRỊ: 1. Nội khoa o Tiếp cận BN : ABCDE, hồi sức tích
cực o Xử lí vết thương, sát trùng và theo dõi o Nằm đầu cao 30
- 45 độ, Thở oxy cannula 3l/ph o NaCl 0.9% 500ml (TTM) XXg/ph o
Giảm đau: Paracetamol 500mg (TTM) C g/ph x2 o Chống nôn
o Kháng sinh dự phòng: Oxacllin 500mg (TMC) 2. Ngoại khoa: hiện chưa có chỉ định
phẫu thuật do o Khối máu tụ đã diễn tiến tăng kích thước nhưng đã ngưng diễn tiến và V# 12ml < lOMoAR cPSD| 45469857
30ml o Đường giữa chỉ lệch 2cm < 5cm mặc dù bề dày d# 19mm o Máu tụ không xoá
mất hay đẩy lệch não thất 4 và chỉ nằm ở vùng đỉnh - thái dương => không nằm ở hố sau XIV. TIÊN LƯỢNG:
1. Tiên lượng sớm: chấn thương sọ não mức độ nặng và có nguy cơ trung bình ,
BN hôn mê sau chấn thương, lúc tỉnh BN kích động nhiều, nói lú lẫn, CT
scans ghi nhận xuất huyết dưới nhện, nứt sọ, dập não xuất huyết: tiên lượng kém
2. Tiên lượng lâu dài: Trung bình do không ghi nhận khiếm khuyết thần kinh sau chấn thương