



















Preview text:
lOMoAR cPSD| 39651089
CÁC BIẾN CHỨNG MUỘN CỦA GÃY XƯƠNG
Mục tiêu học tập
1. Nắm vững các triệu chứng, diễn tiến lâm sàng và điều trị của nhiễm trùng sau gãy xương
2. Nắm vững cơ chế lành xương và các yếu tố ảnh hưởng lành xương
3. Nêu được phân loại và hướng điều trị không lành xương
4. Nêu được tiêu chuẩn chẩn đoán và nguyên tắc điều trị hội chứng đau vùng phức hợp (CRPS) 1. NHIỄM TRÙNG 1.1. ĐẠI CƯƠNG
Nhiễm trùng là một biến chứng đáng lo ngại sau gãy xương. Nguyên nhân
nhiễm trùng có thể là do vi khuẩn bên ngoài xâm nhập lúc bị tai nạn (gãy hở), trong
lúc kết hợp xương hay sau khi phẫu thuật. Lúc đầu là nhiễm trùng cấp tính nhưng
một khi vi khuẩn đã hình thành một vùng xương hoại tử thì lúc đó trở thành viêm
xương mãn tính và chỉ có phẫu thuật cắt lọc tích cực mới giải quyết được, kháng sinh
chỉ giữ vai trò hỗ trợ.
1.2. MỘT SỐ ĐỊNH NGHĨA TRONG NHIỄM TRÙNG
Nhiễm trùng nông: là nhiễm trùng vết mổ chỉ giới hạn ở lớp da và dưới da,
có thể điều trị khỏi bằng chăm sóc vết thương và kháng sinh (uống hay tĩnh mạch),
không cần phải mổ cắt lọc.
Nhiễm trùng sâu: là nhiễm trùng qua lớp cân, có thể diễn ra ở lớp cơ hay
xương và thông vào ổ gãy. Nhiễm trùng sâu cần phải mổ cắt lọc vết thương. lOMoAR cPSD| 39651089
v Thời gian bắt đầu nhiễm khuẩn không thể biết được nên chúng ta chỉ có thể xác
định được thời điểm xuất hiện những biểu hiện đầu tiên của nhiễm trùng.
Theo đó có các loại nhiễm trùng sau:
Nhiễm trùng cấp biểu hiện sớm: khi xuất hiện trong vòng 2 tuần sau mổ.
Nhiễm trùng cấp biểu hiện trì hoãn: khi xuất hiện trong vòng 2 đến 10 tuần
sau mổ. Nhiễm trùng diễn tiến âm thầm, khiến bệnh nhân và bác sĩ không nhận ra
lúc đầu. Có một số vi khuẩn thường biểu hiện trì hoãn như coagolase negative staphylococci.
Nhiễm trùng cấp biểu hiện muộn: khi xuất hiện sau 10 tuần.
Viêm xương: nhiễm trùng làm hoại tử xương, tạo ra hình ảnh hủy xương, xương tù, xương chết.
Viêm xương mãn: tình trạng viêm xương diễn ra âm ỉ, tiến triển chậm và mô
học cho thấy bạch cầu lympho tăng cao.
Nhiễm trùng sau kết hợp xương: vi khuẩn bám vào lớp biofilm- lớp
hydrated mucopolysaccharide trên bề mặt dụng cụ kết hợp xương. Lớp này giúp vi
khuẩn không bị tiêu diệt bởi các loại kháng sinh. Do đó sẽ làm nhiễm trùng tái đi tái lại nh i ề u l ầ n. a b
a. S t a ph y l oco cc u s a u r e u s , b . S ta ph . b á m vào l ớ p b io f i lm lOMoAR cPSD| 39651089 1.3. LÂM SÀNG
Vùng chi bị nhiễm trùng sẽ có các triệu chứng như sưng, nóng, đỏ, đau. Đau
là triệu chứng thường gặp nhất. Sốt là một tiêu chí đáng quan tâm với độ nhạy 89%,
độ đặc hiệu là 57%. Bệnh nhân có thể bị sốt, rét run và đổ mồ hôi ban đêm. Ngoài
ra, túi mủ có thể hình thành và nếu bị vỡ, mủ sẽ chảy ra ngoài từ chỗ tổn thương.
Đối với nhiễm trùng có biểu hiện sớm thì rõ nhất là rối loạn quá trình lành vết
thương: tấy đỏ, hoại tử mép vết thương, tụ dịch và rỉ dịch kéo dài. Đối với các viêm
xương mạn thì đôi khi chỉ thấy lỗ dò.
H ì n h ả n h lâm s à n g n h i ễm t r ù n g s a u k ết h ợ p x ư ơ n g 1.4. CẬN LÂM SÀNG
1.4.1. Xét nghiệm máu
Trong nhiễm trùng thì bạch cầu, tốc độ máu lắng VS và CRP tăng, trong đó lOMoAR cPSD| 39651089
CRP có độ nhạy cao hơn cả. CRP được tổng hợp ở gan trong quá trình đáp ứng với
nhiễm trùng, có thể dùng để chẩn đoán và theo dõi quá trình đáp ứng với điều trị.
CRP tăng trong vòng 6 giờ sau nhiễm trùng, đạt đến đỉnh sau 2 ngày và giảm sau 1
tuần nếu điều trị nhiễm trùng hiệu quả.
1.4.2. Hình ảnh học: -
Siêu âm: giúp xác định các khối máu tụ, thanh dịch hay áp xe. Hiệu quả
trong các trường hợp nhiễm trùng sâu. -
X quang quy ước: trong giai đoạn đầu của nhiễm trùng hầu như không
có sự thay đổi. Sau 3 đến 4 tuần thì bắt đầu xuất hiện các dấu hiệu như: phần mềm
sưng, khe gãy rộng ra do sự tiêu xương, lỏng vít. Sau đó là các dấu hiệu hủy xương,
xương chết, xương tù, phản ứng màng xương, đặc biệt là dấu hiệu cal xương bắc cầu
ở một bên xương và nhiễm trùng ở phía bên kia. -
CT scan, MRI: giúp xác định mức độ lan rộng của nhiễm trùng trong tủy
xương và phần mềm, xác định các mảnh xương chết. Phương pháp này thường chỉ
áp dụng cho các vùng khó xác định bằng X quang quy ước như cột sống, khung chậu…
1.4.3. Xét nghiệm vi khuẩn:
Xét nghiệm vi khuẩn giúp xác định chính xác nguyên nhân gây nhiễm trùng
và loại kháng sinh hiệu quả. Tuy nhiên, lấy đúng mẫu có chứa vi khuẩn không phải
là vấn đề đơn giản. Khi dùng tăm bông quẹt vào vết thương, dịch tiết nhiễm trùng
hay lỗ dò mủ đôi khi không tìm được hay chỉ tìm thấy những vi khuẩn thường trú
trên da. Nên dùng currette nạo hay cắt một vài mảnh mô ở nơi nhiễm trùng sẽ giúp
xác định vi khuẩn dễ hơn. lOMoAR cPSD| 39651089
Các d ấ u h iệ u nh i ễ m t r ù n g t r ê n X q u a n g 1.
CÁC YẾ U TỐ NGUY CƠ N H I Ễ M TR ÙN G 5.
1.5.1. Tổn thương phần mềm và xương
Mức độ tổn thương phần mềm và xương là yếu tố nguy cơ nhiễm trùng lớn
nhất trong gãy xương hở và phân độ gãy hở của Gustilo đã khẳng định điều này.
Vào năm 1976, trong báo cáo nghiên cứu về 1025 TH gãy hở xương dài,
Gustilo và Anderson đã giới thiệu bảng phân loại như sau:
· Độ I: vết thương dưới 1 cm, thường do đầu xương gãy đâm ra, sự vấy bẩn và
tổn thương mô mềm tối thiểu, xương gãy ngang hoặc chéo ngắn.
· Độ II: là vết thương trên 1 cm, tổn thương mô mềm mức độ trung bình, xương
gãy ngang hoặc chéo ngắn.
· Độ III: tổn thương phần mềm nặng, bao gồm da, cơ, mạch máu, thần kinh.
Một số dạng đặc biệt gồm: tổn thương do hoả khí, ở nông trại hay bất kỳ gãy hở nào
có tổn thương mạch máu cần phải khâu nối. lOMoAR cPSD| 39651089
Năm 1984, sau khi nghiên cứu 75 TH gãy hở độ III, Gustilo và Anderson chia
thêm độ III thành 3 nhóm nhỏ:
· Độ IIIA: còn đủ phần mềm che phủ xương mặc dù tổn thương phần mềm rộng
hay lóc da, hoặc tổn thương do năng lượng cao bất kể kích thước vết thương.
· Độ IIIB: Tổn thương phần mềm rộng, bong tróc màng xương và lộ xương,
phải cần vạt che phủ xương; thường đi kèm nhiễm khuẩn nặng.
· Độ IIIC: có tổn thương động mạch chính cần khâu nối.
Bảng Phân loại gãy hở Gustilo-Anderson Phân độ Đặc điểm I II IIIA IIIB IIIC Kích thước (cm) < 1 >1 >1 >1 >1 Năng lượng Thấp Trung bình Cao Cao Nhiễm bẩn
Tối thiểu Trung bình Nặng Nặng Tổn thương mô mềm
Tối thiểu Trung bình Nặng Nặng Bất kỳ Nhiễm bẩn ổ gãy
Tối thiểu Trung bình Nặng Nặng Lóc màng xương Không Không Có Có Mức độ che phủ Đủ Đủ Đủ Không
Tổn thương mạch máu chính Không Không Không Không Có Tỉ lệ nhiễm khuẩn 0% - 2% 2% - 7% 7% 10 - 50% 25 - 50%
1.5.2. Vị trí gãy xương: Tỷ lệ nhiễm trùng trong gãy xương hở ở chi dưới cao
gấp ba lần so với chi trên.
1.5.3. Vai trò của bất động ổ gãy: Bất động vững chắc trong gãy xương hở có
nhiều lợi ích bao gồm: không làm mô mềm bị tổn thương thêm do mảnh gãy, dễ
dàng chăm sóc vết thương, thúc đẩy lành vết thương, giúp vận động và tập phục lOMoAR cPSD| 39651089
hồi chức năng sớm, từ đó làm giảm tỷ lệ nhiễm trùng. Worlock đã nghiên cứu
thực nghiệm và chứng minh rằng: khi bất động vững chắc ổ gãy thì tỉ lệ nhiễm trùng giảm 50%.
1.5.4. Các yếu tố nguy cơ toàn thân: Các yếu tố liên quan đến sức khỏe toàn
thân của bệnh nhân cũng làm tăng nguy cơ nhiễm trùng trong gãy xương hở.
Bảng Cierny cải tiến gồm 14 yếu tố liên quan đến các bệnh lý nội khoa và miễn
dịch của bệnh nhân và xếp làm 3 nhóm: A, B và C. Tỷ lệ nhiễm trùng tăng lên
đáng kể theo từng nhóm nguy cơ A, B, C (4%, 15%, 30%).
Bảng các yếu tố tiên lượng nguy cơ nhiễm trùng sau gãy hở
Các bệnh lý nội khoa và miễn dịch Xếp loại nguy cơ ·Tuổi ≥ 80 · Nhóm A: không có ·Nghiện rượu
· Nhóm B: 1 – 2 yếu tố
·Viêm da hoặc viêm mô tế bào mãn tính hoạt động · Nhóm C: ≥ 3 yếu tố
·Đặt đường truyền dưới da lâu ngày
·Suy dinh dưỡng mạn (Albumin ≤ 30 g/dl) ·Hút thuốc lá
·Đái tháo đường (cần thuốc hạ đường huyết)
·Suy chức năng gan (xơ gan)
·Sử dụng thuốc ức chế miễn dịch
·Bệnh lý ác tính (tiền căn hoặc hiện tại)
·Suy giảm chức năng hô hấp (SpO2 < 60%)
·Suy thận cần chạy thận
·Bệnh tự miễn (viêm đa khớp dạng thấp, Lupus)
·Bệnh suy giảm miễn dịch mắc phải (AIDS) 1.6. ĐIỀU TRỊ: lOMoAR cPSD| 39651089
Điều trị nhiễm trùng sau gãy xương là một vấn đề rất khó, có thể kéo dài nhiều
tháng, nhiều năm và rất tốn kém. Do đó cần đòi hỏi có kế hoạch điều trị rõ ràng và
đội ngũ phẫu thuật viên có nhiều kinh ngiệm. Việc đầu tiên là phải giải thích rõ cho
bệnh nhân tình trạng nhiễm trùng và yêu cầu sự phối hợp trong suốt quá trình điều trị
như bỏ thuốc lá, bỏ rượu, tăng cường dinh dưỡng, giữ vệ sinh …
1.6.1. Nhiễm trùng nông:
Săn sóc vết thương: vết thương hở cần được tưới rửa và thay băng mỗi ngày,
vết thương khâu kín cần được cắt bỏ mối chỉ, không để ứ dịch bên dưới.
Dùng kháng sinh: dùng kháng sinh phổ rộng trước (đường uống hay tĩnh
mạch). Sau đó dùng kết quả kháng sinh đồ để lựa chọn kháng sinh phù hợp.
Cần theo dõi thật sát để phát hiện sớm tình trạng nhiễm trùng tấn công xuống
lớp cân, cơ và trở thành nhiễm trùng sâu. Lúc đó phải tiến hành mổ cắt lọc vết thương.
1.6.2. Nhiễm trùng sâu:
Khi đã xác định nhiễm trùng sâu, nghĩa là nhiễm trùng đã thông vào ổ gãy thì
nên tiến hành mổ cắt lọc sớm, không nên trì hoãn bằng cách săn sóc vết thương và dùng kháng sinh.
Cắt lọc: cắt lọc để lấy hết các máu tụ, dịch mủ, mô hoại tử (mép vết thương,
mô dưới da, cân và cơ) và xương tù, xương chết. Khi nhiễm trùng đã lan vào lòng
tuỷ, cần đục mở rộng lòng tuỷ để cắt lọc làm sạch. Cắt bỏ mọi ngóc ngách, cắt bỏ
mô mềm xơ hóa quanh đường dò (có thể bơm xanh methylene vào lỗ dò trước để
chỉ dẫn). Nếu cần thiết có thể cắt lọc nhiều lần cách 24-48 giờ cho đến khi khống
chế được nhiễm trùng.
Dùng kháng sinh: Kháng sinh phổ rộng đường tĩnh mạch được dùng trước
khi có kết quả cấy khuẩn. Sau đó, dùng kết quả kháng sinh đồ để lựa chọn kháng sinh phù hợp. lOMoAR cPSD| 39651089
1.6.3. Nhiễm trùng sau kết hợp xương:
Nhiễm trùng sau KHX là một biến chứng nặng nề và rất khó điều trị. Khi dụng
cụ KHX được gắn vào cơ thể sẽ có một quá trình kết dính sinh học giữa các tế bào
của cơ thể chủ tạo một màng phủ lên dụng cụ. Có những vi khuẩn như Staphylococci
cũng có thể bám dính vào bề mặt dụng cụ và “chiến đấu” với tế bào cơ thể chủ để
chiếm đóng bề mặt này. Một khi đã bám dính được, các vi khuẩn này sẽ tạo nên lớp
màng sinh học biofilm (glycocalyx) và dần dần biến đổi kiểu hình và trở nên đề kháng
với miễn dịch của cơ thể cũng như với kháng sinh. Hơn nữa, bản thân dụng cụ kim
loại cũng gây nên những suy giảm đặc hiệu về chức năng của hệ thống miễn dịch tại
chỗ làm giảm khả năng chống nhiễm trùng. Khi đặt nẹp, dù cho đặt đúng kỹ thuật và
bảo vệ màng xương tối đa thì vẫn có một vùng xương vô mạch dưới nẹp. Vùng xương
hoại tử có giới hạn này sẽ được tái tạo dần dần. Lúc này nếu có nhiễm trùng, nó sẽ
lan rộng toàn bộ bề mặt dưới nẹp, đặc biệt là khi KHX không vững. Cuối cùng các
mảnh xương nhiễm trùng sẽ hoại tử dần và ổ gãy ngày càng mất vững.
Cắt lọc vết thương: tương tự như nhiễm trùng sâu. Tuy nhiên nếu giữ lại dụng
cụ kết xương như nẹp vít thì cần đỏi hỏi cắt lọc tỉ mĩ hơn nữa, loại trừ lớp màng bao quanh dụng cụ.
Tháo nẹp vít: Khi nhiễm trùng làm lỏng vít, lỏng nẹp thì tháo nẹp và thay thế
bằng bất động ngoài là điều bắt buộc. (Lưu ý không dùng đinh nội tuỷ hay kim K nội
tuỷ thay thế vì sẽ đẩy vi khuẩn đi dọc lòng tuỷ. Bên cạnh đó cũng không được chỉ
dùng nẹp bột vì bất động vững ổ gãy là yếu tố rất quan trọng trong chống nhiễm
trùng). Tuy nhiên nếu nẹp vít còn bất động ổ gãy vững chắc, thì có tháo nẹp khi cắt
lọc ổ nhiễm trùng hay không là điều vẫn còn bàn cãi. Trước đây quan niệm chủ yếu
là loại bỏ hết dụng cụ tại ổ gãy để không còn hiệu ứng dị vật nhưng ngày nay nhiều
tác giả lại cho rằng không nên tháo nẹp cho đến khi nào xuất hiện can bắc cầu. lOMoAR cPSD| 39651089
Dùng kháng sinh: Kháng sinh tĩnh mạch theo kháng sinh đồ. Thời gian sử
dụng kháng sinh phải kéo dài 12 tuần nếu còn dụng cụ KHX và 6 tuần sau khi tháo
dụng cụ. Thường sử dụng kháng sinh đường tĩnh mạch trong 2 tuần đầu, sau đó dùng
kháng sinh uống tiếp theo. Để đạt hiệu quả, kháng sinh phải được sử dụng liên tục đủ
thời gian và đủ liều. Cần xét nghiệm CRP định kỳ để theo dõi đáp ứng điều trị. Riêng
Staphylococci, một khi đã bám vào lớp glycocalyx thì rất khó tiêu diệt. Một số nghiên
cứu gần đây cho thấy Rifampicine có hiệu quả tốt trong điều trị Staphylococci vì làm
giảm khả năng tăng trưởng và bám dính của vi khuẩn. Tuy nhiên, để giảm nguy cơ
kháng thuốc phải dùng kết hợp với thuốc khác. Nhóm Quinolone là một lựa chọn tốt,
đặc biệt là các thuốc mới hơn như moxi- floxacin, levofloxacin hay gatifloxacin.
2. KHÔNG LÀNH XƯƠNG 2.1. ĐẠI CƯƠNG
Lành xương là một quá trình bao gồm một loạt các giai đoạn phức tạp và liên
tiếp để phục hồi xương bị gãy về tình trạng trước đó.
Không lành xương được định nghĩa là tình trạng xương không lành và sẽ không
diễn tiến đến lành nếu không có can thiệp gì.
Chậm lành xương được định nghĩa là tình trạng xương không lành sau thời
gian mong đợi. Thời gian lành xương bình thường (mong đợi) phụ thuộc vào: loại
xương gãy, vị trí gãy, tuổi và tình trạng bệnh nhân, phương pháp bất động ổ gãy.
Chậm lành xương có thể diễn tiến đến lành xương hay không lành xương.
Trên lâm sàng, vẫn có thói quen dùng từ khớp giả (pseudarthrosis) để thay cho
từ không liền xương. Tuy nhiên, đúng bản chất thì từ khớp giả chỉ dành cho một
dạng không lành xương đặc biệt, chỗ gãy còn cử động bất thường rõ, không đau, có
túi hoạt dịch ở giữa và hai đầu xương gãy được bao phủ bằng mô xơ sụn.
2.2. CƠ CHẾ LÀNH XƯƠNG
Có 2 cơ chế lành xương: trực tiếp và gián tiếp lOMoAR cPSD| 39651089
2.2.1. Lành xương thì đầu (trực tiếp): Lành xương do tạo trực tiếp mô xương.
Hệ thống ống Havers trực tiếp sửa chữa và xương mọc qua ổ gãy, không thông qua
mô nào khác. Cơ chế này còn được gọi là lành xương nội mạc (intramembranous
healing). Kiểu lành này thường là kết quả của bất động ổ gãy vững tuyệt đối (lực
căng cơ học tại ổ gãy <2%).
L àn h xư ơ n g t h ì đ ầ u
2.2.2. Lành xương thì hai (gián tiếp): Lành xương qua nhiều giai đoạn thay đổi
chất liệu cấu trúc mô, gồm 4 giai đoạn: máu tụ-viêm, cal sụn sợi, cal xương và tu
chỉnh xương. Cơ chế này còn được gọi là lành xương nội sụn (enchondral healing).
Kiểu lành này thường là kết quả của bất động ổ gãy vững tương đối (lực căng cơ học tại ổ gãy 2-10%). lOMoAR cPSD| 39651089
L à nh xư ơ n g t h ì h ai 2
2.3.1. Các yếu tố tại ổ gãy
Cung cấp m áu nuô i
· Khi gãy xương thì ban đầu lưu lượng máu giảm do mạch máu bị đứt. Sau vài giờ
đến vài ngày thì lưu lượng máu tăng lên, đạt đỉnh sau 2 tuần và bình thường sau 3-5 tháng.
· Máu nuôi đến từ 2 nguồn: màng ngoài xương cung cấp khoảng 1/3 và màng
trong tuỷ xương cung cấp khoảng 2/3). Khi phẫu thuật, bóc tách màng xương
hay khoang lòng tuỷ đều làm tổn thương nguồn cung cấp máu.
Yếu tố c ơ họ c:
· Độ vững của bất động/ lực căng cơ học tại ổ gãy: thuyết Perren
· Phần xương có mô mềm nhiều sẽ lành xương hơn · Vị trí gãy · Mức độ mất xương lOMoAR cPSD| 39651089
· Kiểu gãy: gãy 2 tầng hoặc gãy mảnh cánh bướm có nguy cơ không lành do ảnh
hưởng đến việc cung cấp máu cho khoảng giữa các mảnh
v Thuyết lực căng Perren: Độ căng là sự biến dạng tương đối của vật liệu (ví
dụ: mô hạt trong khe hở) khi tác dụng một lực nhất định. Độ căng (𝜀) thông thường
được biểu thị bằng tỷ số giữa sự thay đổi chiều dài (∆l) so với chiều dài ban đầu
(l) khi tác dụng một lực nhấ"t định, tức là 𝜀 = !". Xương có khả năng chịu độ căng
bình thường là khoảng 2% (lớn hơn sẽ bị gãy), trong khi mô hạt có khả năng chịu
biến dạng là 100%. Cal xương sẽ không mọc ra khi 𝜀 >2% - tức là trên khả năng
chịu lực căng của xương. Tuy nhiên nếu 𝜀 không lớn hơn 10% thì cơ thể tự giải
quyết vấn đề này bằng cách tăng thể tích của cal sụn xương (tạo cal bắt cầu). Điều
này dẫn đến giảm sức căng mô ở ngoại vi của cal đến mức cho phép hình thành
cal xương. Xương mọc bắc cầu qua khe gãy ở ngoại vi của cal và quá trình lành
xương diễn ra từ ngoại vi về phía trung tâm khi sức căng giảm dần.
Cuối cùng, khi 𝜀 lớn hơn 10% thì không thể lành xương, chỉ dừng lại ở mô sợi.
T huyết l ự c c ăng P e r r e n lOMoAR cPSD| 39651089
v Khái niệm “kim cương” (diamond concept)
Những thập kỷ gần đây có một khái niệm mô tả các yếu tố sinh lý và cơ sinh
học ảnh hưởng đến quá trình lành xương được đề cập khá nhiều, đó là khái niệm
“kim cương”. Trong khái niệm này, ngoài 2 “đỉnh” là sự cung cấp máu và các yếu
tố toàn thân, 4 “trụ cột” là: độ vững của bất động, các tế bào tạo xương, các cảm ứng
xương (osteoinductive), dẫn nhập xương (osteoconductive).
Các cảm ứng xương (osteoinductive) là các chất trung gian được giải phóng
từ các tiểu cầu và đại thực bào trong giai đoạn viêm-máu tụ, có ảnh hưởng đến quá
trình lành xương. Trong đó quan trọng nhất là các chất ảnh hưởng trực tiếp đến các
tế bào tiền thân để biệt hóa tạo xương bao gồm yếu tố tăng trưởng có nguồn gốc từ
tiểu cầu (PDGF), yếu tố tăng trưởng nguyên bào sợi (FGF), yếu tố tăng trưởng giống
insulin (IGF) và yếu tố tăng trưởng biến đổi protein beta (TGFβ), bao gồm protein hình thái xương (BMP).
Dẫn nhập xương (osteoconductive) là chất nền ngoại bào tạo xương, hoạt động
như một “giàn giáo”, thúc đẩy sự di chuyển và kết dính của các tế bào tạo xương, dẫn
đến xương mới được tạo ra ở vị trí gãy xương. Nếu không có đủ dẫn nhập xương tự
nhiên, thì có thể sử dụng xương ghép thay thế.
K h ái n i ệm “ k i m cươ n g” t ro n g qu á t rì n h là n h x ươ n g lOMoAR cPSD| 39651089
2.3.2. Yếu tố toàn thân C hế độ ă n
· Vitamin D và Calci: 84% bệnh nhân không lành xương có các vấn đề về chuyển
hóa và hơn 66% những bệnh nhân này bị thiếu hụt vitamin D
· Thiếu protein làm giảm độ cứng của cal. Bổ sung axit amin sẽ giúp tăng hàm
lượng protein cơ và khoáng hóa cal xương
· Bệnh nhân cắt dạ dày: sự hấp thụ Calci bị ảnh hưởng do bypass qua tá tràng,
dẫn đến giảm nồng độ Calci/ Vitamin D, cường cận giáp (thứ phát) và tăng hấp thu Calci từ xương.
Đ ái t h á o đ ườn g: ảnh hưởng đến việc sửa chữa và tu chỉnh xương: giảm
tế bào của cal, làm chậm quá trình cốt hoá nội sụn, giảm độ cứng của cal. Thời
gian lành xương ở bệnh nhân tiểu đường kéo dài hơn 1,6 lần so với bình thường. N ic o tin
· Giảm tỷ lệ lành xương
· Ức chế sự phát triển của các mạch máu mới
· Giảm độ cứng của cal
· Thời gian lành xương ở người hút thuốc lá kéo dài hơn khoảng 70% so với bình thường. HIV
· Tăng tỷ lệ gãy xương và chậm lành xương
· Các yếu tố góp phần: thuốc chống virus, tuần hoàn trong xương kém, thiếu hụt
TNF-Alpha và dinh dưỡng kém lOMoAR cPSD| 39651089 T huốc
· Bisphosphonates: là nguyên nhân gây ra gãy xương không điển hình
(atypical fracture) khi sử dụng lâu dài · Corticosteroid toàn thân
· NSAID: kéo dài thời gian lành xương do ức chế COX
· Quinolon: độc đối với chondrocytes và làm giảm quá trình tu chỉnh xương. 2.4. CHẨN ĐOÁN
2.4.1. Chẩn đoán lành xương:
L â m s àng : Các dấu hiệu lâm sàng nhận thấy được sớm nhất, biểu hiện
bằng sự mất hết tất cả các dấu hiệu gãy xương:
· Hết cử động bất thường.
· Không còn đau khi vận động hay chịu lực. X-q uang :
· Không còn thấy khe gãy (lành xương thì đầu)
· Cal xương bắt cầu (lành xương thì hai)
Trong những năm gần đây đã có rất nhiều nghiên cứu mong tìm được những dấu
hiệu rõ hơn và cụ thể hơn để đánh giá chính xác thời điểm lành xương, từ các marker
sinh học đến các phương tiện chẩn đoán hình ảnh hiện đại như CT, PET... Tuy nhiên
cho đến nay thì X quang vẫn được xem là một phương pháp hữu hiệu và có giá trị thực tế tốt.
2.4.2. Chẩn đoán chậm liền xương: L â m s àn g:
· Đau dai dẵng tại ổ gãy · Ổ gãy không vững lOMoAR cPSD| 39651089
· Không chịu lực được · Teo cơ
X-q uan g cho thấy có cal bắt cầu nhưng còn khe gãy và ống tủy các đầu gãy không bị bít kín lại.
2.4.3. Chẩn đoán không lành xương
L â m s àng : ổ gãy còn cử động bất thường nhưng không đau khi vận động hay chịu lực.
X quang cho thấy còn khe gãy và ống tủy các đoạn bị bít kín ở các mặt gãy. lOMoAR cPSD| 39651089
Theo FDA (1986), không lành xương được định nghĩa là tình trạng xương
không liền sau tối thiểu 9 tháng và không có tiến triển gì trên X quang trong 3 tháng
liên tiếp. Vì các xương có thời gian lành rất khác nhau mà định nghĩa này chỉ đưa ra
một mốc thời gian chung là 9 tháng nên còn một số ý kiến không tán đồng. Tuy
nhiên cho đến nay, đây là định nghĩa duy nhất có đề cập đến mốc thời gian cụ thể
nên vẫn được sử dụng rộng rãi, đặc biệt là trong các nghiên cứu.
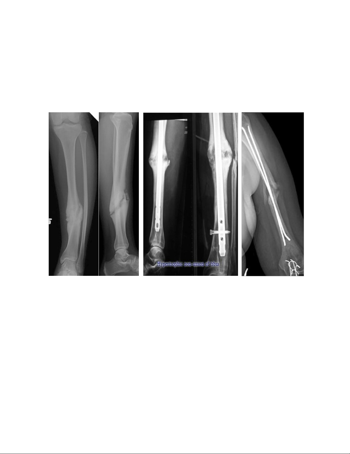
X Q u a n g k h ô n g là n h xư ơ n g 2.5.
PHÂN LOẠI KHÔNG LÀNH XƯƠNG
Không lành xương được chia làm 2 loại chính: nhiễm trùng và không nhiễm
trùng, với hướng điều trị và tiên lượng hoàn toàn khác nhau.
2.5.1. Phân loại Weber – Cech
Đối với các trường hợp không nhiễm trùng, Weber là phân loại được sử dụng
phổ biến nhất với các thuật ngữ như thể phì đại chân voi, thể teo đét, khớp giả… vẫn lOMoAR cPSD| 39651089
được sử dụng rộng rãi đến nay dù đã được giới thiệu từ năm 1976. Theo phân loại
này, không lành xương có 2 nhóm chính là hữu mạch và vô mạch:
N h ó m hữu mạ ch gồm: thể phì đại chân voi, móng ngựa và thiểu dưỡng.
Các đầu xương gãy vẫn được mạch máu nội tủy phong phú nuôi dưỡng đến tận sát
vùng cal sụn của ổ gãy. Nguyên nhân chủ yếu là xương gãy bất động chưa vững
chắc, làm cho các mạch máu không xuyên qua vùng cal sụn của khe gãy được. Điều
trị phù hợp là phẫu thuật cải thiện bất động chỗ gãy và ghép xương có thể không cần thiết.
N h ó m vô m ạ ch gồm: gãy xoắn, nhiều mảnh, mất xương và thể teo.
Nguồn gốc của tình trạng vô mạch là do sự phá hủy mạch máu nuôi các mảnh xương,
có thể do chấn thương hoặc do phẫu thuật. Điều trị là phẫu thuật bất động ổ gãy và phải có ghép xương.
v Khớp giả: là loại không lành xương do chuyển động nhiều và dai dẳng tại ổ
gãy, phá hủy mô lành xương ban đầu và dẫn đến hình thành khớp giả với “chất lỏng
hoạt dịch” ở khe hở. Các đầu xương được bịt kín bằng xương xốp, bao phủ bằng mô
xơ sụn và không còn mô lành xương bình thường nào giữa chúng. lOMoAR cPSD| 39651089
P h â n l o ạ i kh ô n g l à nh x ư ơ n g t h eo We b e r - Ce c h
K h ô n g là n h xư ơ n g t h ể “K h ớ p g i ả”
2.5.2. Phân loại theo yếu tố cơ học và sinh học
Theo phân loại Weber thì các kiểu gãy như: gãy xoắn, nhiều mảnh, nhiều
tầng được coi là vô mạch nhưng các nghiên cứu gần đây chứng minh rằng đó