



















Preview text:
lOMoAR cPSD| 46342985
GIÁ TRỊ CỦA SIÊU ÂM
TRONG ĐÁNH GIÁ HẠCH ÁC TÍNH VÙNG CỔ lOMoAR cPSD| 46342985 MỤC LỤC Trang ĐẶT VẤN ĐỀ
CHƯƠNG I TỔNG QUAN TÀI LIỆU...............................................................3
1.1. Hạch ác tính vùng cổ.................................................................................3
1.2. Siêu âm đánh giá hạch di căn....................................................................3
1.3. Siêu âm đánh giá ung thư hạch (Lymphoma)..........................................11
1.4. Một số nghiên cứu trên thế giới và tại Việt Nam.....................................15
CHƯƠNG II ĐỐI TƯỢNG VÀ PHƯƠNG PHÁP NGHIÊN CỨU.................19
2.1. Đối tượng nghiên cứu..............................................................................19
2.2. Phương pháp nghiên cứu.........................................................................19
2.3. Thời gian và địa điểm nghiên cứu...........................................................19
2.4. Phương pháp nghiên cứu.........................................................................19
2.5. Nội dung nghiên cứu...............................................................................20
2.6. Xử lí số liêu.............................................................................................22̣
2.7. Đạo đức y học trong nghiên cứu..............................................................22
CHƯƠNG III DỰ KIẾN KẾT QUẢ.................................................................23
3.1. Đặc điểm chung của đối tượng nghiên cứu.............................................23
3.2. Tỷ lệ nghi ngờ ác tính trên kết quả siêu âm hạch vùng cổ.......................23
3.3. Kết quả bằng giải phẫu bệnh...................................................................23
3.4. Đặc điểm hình ảnh trên siêu âm 2D và trên Doppler..............................25
3.5. Đặc điểm hình ảnh trên siêu âm đàn hồi..................................................26
CHƯƠNG IV KẾ HOẠCH THỰC HIỆN.........................................................28 TÀI LIỆU THAM KHẢO lOMoAR cPSD| 46342985 1 ĐẶT VẤN ĐỀ
Hạch ác tính vùng cổ gồm hạch di căn (metastases) và ung thư hạch
(lymphoma). Di căn hạch vùng cổ thường gặp ở bệnh nhân mắc ung thư ở vùng
đầu cổ, đánh giá hạch rất quan trọng do điều này ảnh hưởng đến kế hoạch điều trị
và tiên lượng. Hạch vùng cổ cũng là vị trí phổ biến của ung thư hạch và việc chẩn
đoán chính xác là cần thiết vì điều trị nhóm bệnh này khác với các nguyên nhân
khác của bệnh lý hạch vùng cổ.
Ở bệnh nhân ung thư vùng đầu cổ, di căn hạch một bên làm giảm 50% tỷ
lệ sống 5 năm, trong khi di căn hạch hai bên làm giảm tỷ lệ sống 5 năm xuống
còn 25%. Các hạch di căn vùng cổ từ ung thư đầu cổ thường là vị trí đặc hiệu cho
vị trí của khối u nguyên phát. Vì vậy, việc đánh giá sự phân bố của hạch di căn ở
bệnh nhân có bệnh lý không rõ nguyên nhân có thể cung cấp gợi ý cho vị trí của
khối u nguyên phát. Ngoài di căn, ung thư hạch cũng là bệnh lý ác tính thường
gặp, liên quan đến đầu cổ cũng tương đối phổ biến. Trên lâm sàng, ung thư hạch
vùng cổ khó phân biệt với các nguyên nhân của bệnh lý hạch khác như các hạch
di căn. Do đó, đánh giá hình thái hạch vùng cổ có vai trò rất quan trọng để dự
đoán tiên lượng, phân giai đoạn và theo dõi điều trị, đặc biệt đối với bệnh nhân
ung thư. Siêu âm thông thường với ưu điểm là độ phân giải cao đã được sử dụng
rộng rãi để đánh giá hình thái hạch. Siêu âm đàn hồi (UE) sử dụng bản đồ màu
hoặc tốc độ sóng biến dạng có thể chứng minh một cách không xâm lấn độ cứng
và tính đồng nhất của cả vỏ và tủy của hạch, từ đó có thể phát hiện sớm sự thâm
nhiễm ác tính. Siêu âm đặc biệt nhạy hơn so với khám lâm sàng (lần lượt là 96,8%
và 73,3%) ở bệnh nhân ung thư đầu cổ trước đó bị xơ hóa vùng cổ sau xạ trị. Khi
kết hợp với chọc hút tế bào bằng kim nhỏ (fine needle aspiration cytology-
FNAC), độ đặc hiệu của siêu âm lên tới 93%.
Trên thế giới và trong nước, đã có nhiều tác giả nghiên cứu về siêu âm
trong đánh giá hạch cổ, tuy nhiên số lượng còn hạn chế [4],[18]. Dựa trên thực tế lOMoAR cPSD| 46342985 2
lâm sàng tại khoa Chẩn Đoán Hình Ảnh của bệnh viện, đề tài “Đánh giá vai trò
của siêu âm trong chẩn đoán hạch ác tính vùng cổ” được thực hiện với 2 mục tiêu: -
Mô tả được đặc điểm hình ảnh của hạch ác tính vùng cổ trên siêu âm
tạikhoa CĐHA - Bệnh viện Nhật Tân. -
Đánh giá vai trò của siêu âm trong chẩn đoán hạch ác tính vùng cổ
tạikhoa CĐHA - Bệnh viện Nhật Tân. lOMoAR cPSD| 46342985 3
CHƯƠNG I TỔNG QUAN TÀI LIỆU
1.1. Hạch ác tính vùng cổ
Hạch ác tính vùng cổ gồm hạch di căn (metastases) và ung thư hạch
(lymphoma). Trong đó, ung thư hạch (lymphoma) là sự phân chia mất kiểm soát
của các tế bào bạch cầu lympho, gây ảnh hưởng đến các các cơ quan trong hệ
thống bạch huyết cũng như cơ quan khác trong cơ thể. Bao gồm 2 loại chính: u
lympho không Hodgkin (khoảng 90%) và u lympho Hodgkin. Nhìn chung u
lympho không Hodgkin có tiên lượng xấu và điều trị khó khăn hơn so với u lympho Hodgkin.
Hạch cổ di căn từ ung thư đầu, mặt, cổ là vị trí đặc trưng. Các vị trí di căn
hạch phổ biến từ ung thư đầu cổ là: -
Hầu họng, thanh quản, thực quản, ung thư biểu mô nhú tuyến giáp
dicăn hạch dọc theo tĩnh mạch cảnh trong (internal jugular chain). -
Các khối u trong khoang miệng di căn đến hạch các vùng dưới hàm
vàcổ trên, nhưng ung thư biểu mô lưỡi có thể di căn ở vùng cổ dưới. -
Ung thư nguyên phát vùng dưới đòn từ vú và phổi di căn đến hạch
ở hốthượng đòn và tam giác cổ sau. -
Ung thư biểu mô vòm mũi họng (nasopharyngeal carcinoma) thường
dicăn đến hạch vùng cổ trên và tam giác cổ sau.
1.2. Siêu âm đánh giá hạch di căn
1.2.1. Siêu âm 2D
1.2.1.1. Kích thước (Size)
Kích thước hạch là một trong các tiêu chuẩn được sử dụng để phân biệt
hạch di căn với hạch phản ứng. Mặc dù các hạch lớn hơn xu hướng có tỷ lệ ác
tính cao hơn, hạch phản ứng có thể cũng lớn như hạch di căn. Do đó, có nhiều
ngưỡng khác nhau của kích thước hạch để phân biệt hạch phản ứng với hạch di lOMoAR cPSD| 46342985 4
căn đã được báo cáo (5mm, 8mm và 10mm). Tuy nhiên, khi sử dụng ngưỡng thấp
hơn của kích thước hạch thì độ nhạy của chẩn đoán tăng lên trong khi độ đặc hiệu
giảm xuống và ngược lại. Tuy nhiên, kích thước của hạch hữu ích trong hai trường
hợp lâm sàng: (1) tăng kích thước hạch khi kiểm tra liên tục ở bệnh nhân ung thư
biểu mô đã biết là rất đáng ngờ vì có liên quan đến di căn; (2) giảm kích thước
hạch liên tục là chỉ số hữu ích trong theo dõi bệnh nhân đáp ứng điều trị [3], [14].
1.2.1.2. Hình dạng (Shape)
Hạch di căn có xu hướng hình tròn với tỷ lệ trục ngắn/dài (tỷ lệ S/L) lớn
hơn 0,5 trong khi hạch phản ứng hoặc hạch lành tính có hình bầu dục (tỷ lệ S/L
<0,5). Mặc dù hình dạng tròn giúp xác định hạch di căn nhưng điều này không
nên được sử dụng làm tiêu chuẩn duy nhất để đánh giá hạch vì hạch dưới hàm và
tuyến mang tai cũng có hình tròn. Bất kể kích thước, phì đại vỏ hạch làm rốn hạch
lệch tâm (eccentric cortical hypertrophy) do sự xâm lấn khu trú của khối u trong
hạch, là dấu hiệu hữu ích để xác định hạch di căn [25],[29].
1.2.1.3. Đường bờ (Border)
Trái với suy nghĩ thông thường, các hạch di căn xu hướng có đường bờ rõ
nét, trong khi các hạch lành tính thường biểu hiện đường bờ không rõ nét. Đường
bờ rõ nét trong hạch di căn do sự xâm lấn của khối u trong hạch dẫn đến sự khác
biệt trở kháng âm giữa mô xung quanh hạch và cấu trúc bên trong hạch. Tuy
nhiên, hạch di căn ở giai đoạn tiến triển có thể biểu hiện đường bờ không rõ nét,
cho thấy sự lan rộng ra ngoài vỏ bao hạch. Do vậy, đường bờ của hạch đơn thuần
không phải là một tiêu chuẩn đáng tin cậy để phân biệt hạch bình thường và hạch
bất thường trong thực hành lâm sàng hằng ngày. Tuy nhiên, sự hiện diện của
đường bờ không rõ nét trong hạch di căn đã được chứng minh cho thấy sự lan
rộng ra ngoài vỏ bao hạch và hữu ích trong dự đoán tiên lượng bệnh nhân [23]. lOMoAR cPSD| 46342985 5
Hình 1.1. Siêu âm trắng đen cho thấy hạch di căn tăng kích thước, hồi âm kém, đường bờ rõ
nét và mất rốn hạch (mũi tên)
1.2.1.4. Độ hồi âm (Echogenicity)
Hạch di căn hầu hết có hồi âm kém tương đương với các cơ kế cận. Tuy
nhiên, hạch di căn từ ung thư biểu mô nhú tuyến giáp thường có hồi âm dày (Hình
2) và điều này được cho là có liên quan đến sự lắng động thyroglobulin trong
hạch có nguồn gốc từ khối u nguyên phát [30].
Hình 1.2. Siêu âm trắng đen cho thấy hạch di căn từ ung thư biểu mô nhú tuyến giáp (mũi
tên). Lưu ý thành phần hồi âm dày trong hạch có thể liên quan đến sự lắng đọng
thyroglobulin (đầu mũi tên).
1.2.1.5. Độ hồi âm của rốn hạch (Echogenic hilus)
Trên siêu âm, độ hồi âm của rốn hạch biểu hiện echo dày, liên tục với mô
mỡ kế cận, gồm các nhánh nhỏ của mạch lympho, động – tĩnh mạch, mỡ tạo nên.
Vùng cổ bình thường, khoảng 90% hạch có đường kính ngang tối đa > 5mm sẽ lOMoAR cPSD| 46342985 6
thấy được rốn hạch có hồi âm trên siêu âm độ phân giải cao. Hạch di căn thường
không thấy rốn hạch và sự hiện diện của rốn hạch trong hạch trước đây được xem
là dấu hiệu lành tính. Tuy nhiên, các nghiên cứu cho thấy rằng rốn hạch cũng có
thể được tìm thấy trong hạch ác tính. Do đó, có hay không có rốn hạch không thể
được sử dụng làm tiêu chuẩn duy nhất trong đánh giá hạch cổ [12],[21].
1.2.1.6. Hoại tử trong hạch (Intranodal necrosis)
Hoại tử trong hạch có thể được xem như là tạo nang (hoại tử tạo nang hoặc
hóa lỏng) hoặc vùng có hồi âm (hoại tử cô đặc) trong hạch. Hoại tử tạo nang là
hình thức hoại tử trong hạch hay gặp hơn, xuất hiện dưới dạng một vùng hồi âm
trống (echolucent) trong hạch. Hoại tử cô đặc là dấu hiệu ít gặp, xuất hiện dưới
dạng vùng hồi âm kém khu trú trong hạch nhưng không liên tục với mỡ xung
quanh hạch và không có bóng lưng. Hoại tử trong hạch có thể được tìm thấy trong
hạch di căn hoặc hạch lao và bất kể kích thước hạch, sự xuất hiện hoại tử trong
hạch nên được coi là bệnh lý [21].
Hình 1.3. Siêu âm trắng đen mặt cắt dọc cho thấy hạch cổ di căn (mũi tên) với hoại tử tạo
nang trong hạch, vùng hoại tử này biểu hiện ranh giới không rõ và hồi âm trống
1.2.1.7. Vôi hóa (Calcification)
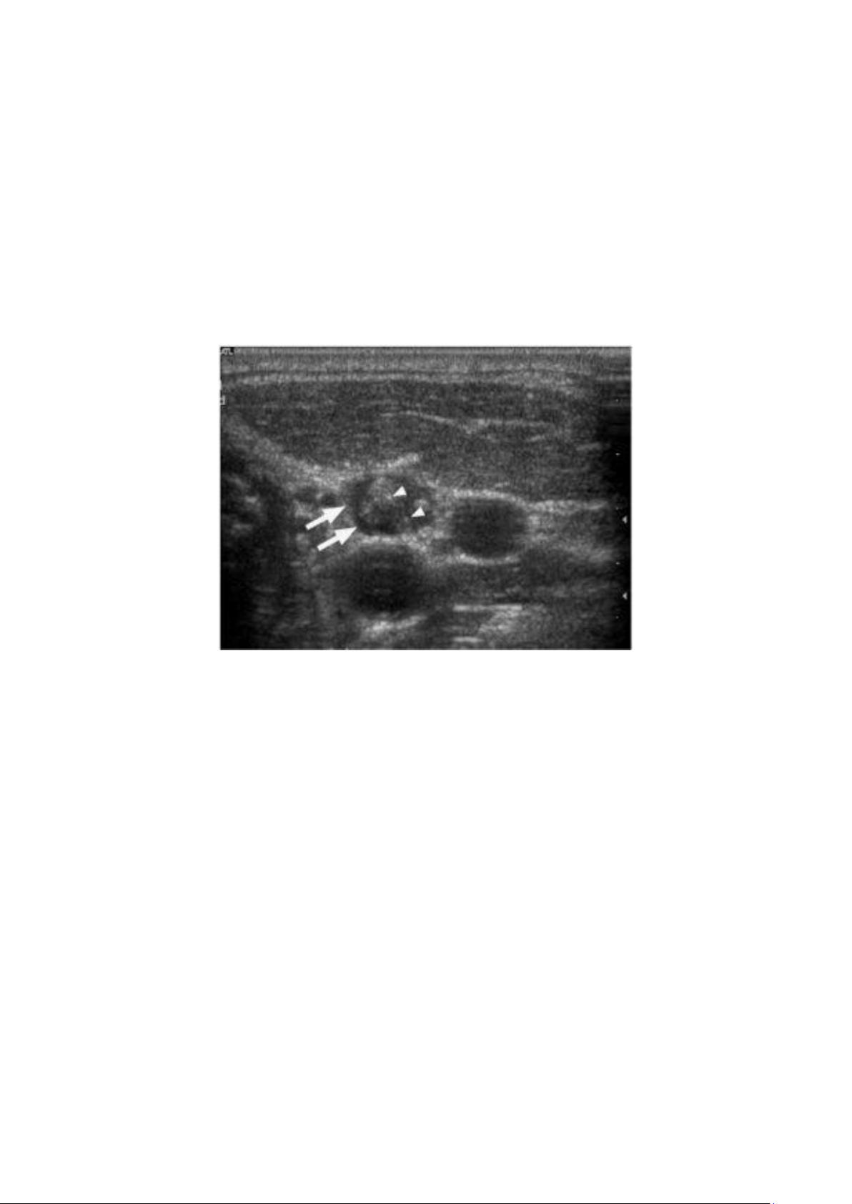
Vôi hóa trong hạch thường không phổ biến, tuy nhiên, hạch cổ di căn từ
ung thư biểu mô nhú tuyến giáp có xu hướng biểu hiện vôi hóa trong hạch (Hình lOMoAR cPSD| 46342985 7
4). Sự vôi hóa trong các hạch này thường biểu hiện dưới dạng chấm, nằm ở ngoại
vi có bóng lưng khi sử dụng đầu dò có độ phân giải cao. Tỷ lệ vôi hóa tương đối
cao hơn trong các hạch di căn từ ung thư biểu mô nhú tuyến giáp, làm cho đặc
điểm này trở nên hữu ích trong tiên đoán bản chất của bệnh lý tuyến và hướng
dẫn tìm kiếm khối u nguyên phát ở tuyến giáp. Mặc dù hạch di căn từ ung thư
biểu mô thể tủy tuyến giáp cũng có thể có vôi hóa nhưng tỷ lệ thấp hơn đáng kể
so với hạch di căn từ ung thư biểu mô nhú tuyến giáp [24].
Hình 1.4. Siêu âm trắng đen mặt cắt ngang của hạch di căn từ ung thư biểu mô nhú tuyến
giáp (mũi tên) với các chấm vi vôi hóa có hồi âm (đầu mũi tên).
1.2.1.8. Các đặc điểm phụ khác (Ancillary features)
Trên siêu âm trắng đen, có hay không có các đặc điểm phụ như hạch có
ranh giới không rõ và phù nề mô mềm kế cận cũng nên được đánh giá. Mặt dù
ranh giới không rõ và phù nề mô mềm kế cận thường gặp trong hạch lao (hạch
tạo chùm do viêm mạch bạch huyết xung quanh hạch) nhưng cũng có thể gặp
trong hạch di căn lan rộng ra ngoài vỏ bao, xâm lấn mô mềm kế cận và gây phù
nề mô mềm; bệnh nhân được xạ trị vùng cổ trước đó có thể cũng biểu hiện phù
mô mềm sau xạ trị và có ranh giới không rõ [6]. lOMoAR cPSD| 46342985 8
1.2.2. Siêu âm Doppler (Doppler evaluation of metastatic nodes)
1.2.2.1. Phân bố mạch máu (Vascular distribution)
Đánh giá sự phân bố mạch máu trong hạch cổ đã được báo cáo là rất đáng
tin cậy với độ lặp lại (repeatability) là 85%. Trên siêu âm Doppler năng lượng,
gần 90% hạch bình thường có đường kính ngang tối đa lớn hơn 5mm sẽ biểu hiện
mạch máu ở rốn hạch. Các hạch bình thường hoặc phản ứng thường biểu hiện
mạch máu ở rốn hạch hoặc không có mạch máu rõ ràng. Tuy nhiên, mạch máu ở
ngoại biên hay hỗn hợp (mạch máu hiện diện ở cả rốn hạch và ngoại biên) thường
phổ biến trong hạch di căn. Do đó, sự hiện diện mạch máu ở ngoại biên trong
hạch là đặc điểm hữu ích của hạch ác tính (Hình 5). Phân bố mạch máu ở ngoại
biên trong hạch di căn được cho là có liên quan đến sự xâm lấn khối u của hạch,
các tế bào của khối u sản xuất yếu tố tạo mạch cho khối u (tumour angiogenetic
factor-TAF), dẫn đến hình thành các mạch máu và tập trung các mạch máu ở ngoại
biên. Mạch máu phân bố hỗn hợp được thấy trong các hạch ác tính do sự hình
thành các mạch máu phân bố ngoại biên và mạch máu vùng rốn hạch có trước đó
được bảo tồn cho đến khi chúng bị phá hủy bởi các tế bào khối u ở giai đoạn sau [5].
Hình 1.5. Siêu âm Doppler năng lượng của hạch di căn với mạch máu phân bố ngoại biên (đầu mũi tên). lOMoAR cPSD| 46342985 9
Hình 1.6. Hạch nhỏ di căn: a. hạch hình bầu dục, echo kém, mất rốn hạch, bờ rõ, không
phù nề mô xung quanh, tăng sinh mạch máu ở rìa, có 2 vùng không tưới máu (mũi tên). b,c:
đại thể và giải phẫu bệnh tương ứng với 2 vùng di căn.
1.2.2.2. Sức cản mạch máu (Vascular resistance)
Với việc sử dụng siêu âm Doppler xung có thể đánh giá chỉ số sức cản
mạch máu (resistive index-RI) và chỉ số đập của mạch máu (pulsatility indexPI).
Tuy nhiên, giá trị của sức cản mạch máu trong việc phân biệt hạch ác tính với
hạch lành tính vẫn chưa rõ ràng. Một số báo cáo đã chứng minh rằng sức cản
mạch máu của hạch di căn là cao hơn hạch phản ứng trong khi những báo cáo
khác cho rằng hạch di căn có sức cản mạch máu thấp hơn hoặc tương tự với hạch
lành tính. Giá trị ngưỡng khác nhau của RI (0,6; 0,7 và 0,8) và PI (1,1; 1,5 và 1,6)
với độ nhạy khác nhau (RI, 47-81%; PI, 55-94%) và độ đặc hiệu (RI, 81-100%;
PI, 97-100%) trong việc phân biệt các hạch di căn và hạch viêm phản ứng đã được báo cáo [11].
Hình 1.7. Siêu âm Doppler xung đo chỉ số trở kháng (sức cản) RI và chỉ số đập PI của hạch
di căn. Đo vận tốc đỉnh tâm thu (peak systolic velocity-PSV) và vận tốc cuối tâm trương (end
diastolic velocity-EDV) cũng được thực hiện. Lưu ý các phép đo thu được từ ba dạng sóng liên tiếp. lOMoAR cPSD| 46342985 10
1.2.3. Siêu âm đàn hồi
Các tế bào ung thư tăng sinh nhanh chóng, gây áp lực bên trong và làm
tăng độ cứng mô ở hạch cổ. Do đó, cấu trúc đàn hồi của hạch cổ có sự thay đổi
so với hạch cổ phản ứng viêm. Thông thường, các ung thư biểu mô biệt hóa tốt
ban đầu xâm nhập vào hạch cổ một cách giới hạn (tập trung cứng hơn và cứng
hơn), trong khi ung thư biểu mô không biệt hóa dẫn đến sự thâm nhiễm lan tỏa
(chủ yếu hoặc hoàn toàn cứng hơn và ít di động hơn) (Hình 6).
Hình 1.8. Hạch di căn thâm nhiễm ung thư biểu mô. Đo độ đàn hồi cho thấy vùng LN thường
cứng hơn (màu xanh) so với các mô xung quanh (màu xanh lá cây); hệ số biến dạng = 2,74
(A). Định lượng hình ảnh mô cảm ứng ảo dựa trên sóng biến dạng cho thấy vùng cứng hơn
(màu đỏ) trong hạch di căn và tốc độ sóng biến dạng tối đa (6,37 m/s) cao hơn nhiều so với
các mô xung quanh (2,96 m/s) (B).
Siêu âm đàn hồi mô nén (Strain Elastography-SE): Một số nghiên cứu thí
điểm đã đánh giá khả năng của SE để phát hiện hạch di căn ở cổ hoặc nách (11,
14, 20–22, 27). Cả điểm đàn hồi và SR (strain ratio-tỷ số mức biến dạng) đều đã
được nghiên cứu, cho thấy SE và siêu âm thông thường có thể đóng vai trò bổ
sung trong việc phân biệt các hạch di căn và đánh giá nguy cơ di căn của chúng [9], [13].
Siêu âm đàn hồi sóng biến dạng (Shear Wave-Based Elastography-SWE):
về mặt lâm sàng và lý thuyết, SWE dường như là một công cụ định lượng, hiệu
quả để chẩn đoán phân biệt các hạch ác tính và lành tính trong nhiều nghiên cứu,
đặc biệt là ở các hạch nhỏ. Dựa trên các nghiên cứu trước đây, tỷ lệ SWV tối đa
(2,93 m/s) và giá trị đàn hồi có thể được sử dụng làm chỉ số đáng tin cậy để dự lOMoAR cPSD| 46342985 11
đoán các hạch bạch huyết lành tính và ác tính. Kılıç A và cộng sự. đã thực hiện
một nghiên cứu tiền cứu so sánh siêu âm thông thường với định lượng VTI
(VTIQ) và khi sử dụng giá trị ngưỡng là 3,03 m/s, VTIQ phân biệt LN ác tính với
LN lành tính với độ chính xác 75%, độ nhạy 93% và độ đặc hiệu 59% [22] .
1.3. Siêu âm đánh giá ung thư hạch (Lymphoma)
Ung thư hạch vùng đầu cổ có thể được phân loại thành Hodgkin và loại phổ
biến hơn là không Hodgkin. Các hạch liên quan thường được tìm thấy ở vùng
dưới hàm, cổ trên và tam giác cổ sau. Do có một nhóm hạch lympho ác tính tăng
sinh không đồng nhất nên hình thái lâm sàng và các loại bệnh lý của ung thư hạch
rất khác nhau, đặc biệt đối với ung thư hạch không Hodgkin. Nhưng tỷ lệ mắc
bệnh ung thư hạch chiếm khoảng 4% và các bệnh ung thư mới được chẩn đoán
tăng lên mỗi năm; hơn nữa, ung thư hạch thường thấy phổ biến hơn ở các nước
phát triển, điều này có thể gây nguy hiểm nghiêm trọng cho sức khỏe con người.
Kiến thức về đo độ đàn hồi trong ung thư hạch rất hạn chế. Cho đến nay, các u
lympho khác nhau không thể phân biệt được.
1.3.1 Siêu âm 2D
1.3.1.1. Kích thước (size)
Kích thước hạch ung thư thay đổi đáng kể. Mặc dù hạch ung thư có xu
hướng lớn với đường kính ngang lớn hơn hoặc bằng 10mm nhưng kích thước
hạch không là tiêu chuẩn duy nhất đánh giá chính xác để phân biệt hạch ung thư
với hạch bình thường hoặc hạch bệnh lý khác. Tuy nhiên, tương tự như hạch di
căn, kích thước hạch giảm dần và đáng kể là một thông số hữu ích để chỉ ra đáp
ứng điều trị tốt [16].
1.3.1.2. Hình dạng, đường bờ, hồi âm, rốn hạch
Trên siêu âm trắng đen, hạch ung thư có xu hướng có hình dạng tròn, đường
bờ rõ, hồi âm kém và thường không có rốn hạch, các đặc điểm tương tự như hầu
hết các hạch di căn. Vì vậy, hình dạng hạch, đường bờ rõ, sắc nét, độ hồi âm và lOMoAR cPSD| 46342985 12
có hoặc không có rốn hạch có thể không phải tiêu chuẩn siêu âm hữu ích để phân
biệt hạch ung thư với hạch di căn [7].
1.3.1.3. Cấu tạo hình mắt lưới trong hạch (Intranodal reticulation)
Các nghiên cứu trước đây đã gợi ý rằng biểu hiện hình ảnh giả nang và tăng
âm phía sau là đặc điểm đặc trưng của hạch ung thư, đặc biệt trong ung thư hạch
không Hodgkin. Họ tin rằng đặc điểm giả nang có liên quan đến cấu trúc mô học
đồng nhất và lan tỏa của ung thư hạch không Hodgkin, cho phép sóng âm truyền
qua dễ dàng và tạo ra hình ảnh hồi âm kém và tăng âm phía sau (6790%). Tuy
nhiên, với việc sử dụng đầu dò độ phân giải cao mới hơn (newer high-resolution
transducers), sự xuất hiện giả nang trong ung thư hạch không Hodgkin thường
không được thấy, trong khi cấu trúc dạng mắt lưới trong hạch (cấu trúc hồi âm
với nhiều nốt nhỏ – micronodular echopattern) thường được thấy trong ung thư hạch.
Hình 1.9. Siêu âm trắng đen cho thấy nhiều hạch ung thư có hồi âm kém. Đầu mũi tên chỉ
ra hình mắt lưới trong hạch, thường thấy trong hạch ung thư khi sử dụng đầu dò độ phân giải cao.
1.3.1.4. Vôi hóa và hoại tử trong hạch (Intranodal necrosis and calcification)
Hạch ung thư hiếm khi biểu hiện hoại tử tạo nang trừ khi bệnh nhân được
xạ trị hoặc hóa trị trước đó hoặc bị bệnh tiến triển. Tương tự, vôi hóa trong hạch
là không phổ biến trong hạch ung thư. Tuy nhiên, vôi hóa có thể được thấy trong lOMoAR cPSD| 46342985 13
hạch ung thư sau khi điều trị và vôi hóa trong hạch này thường đặc (dense) với bóng lưng phía sau.
1.3.2. Siêu âm Doppler
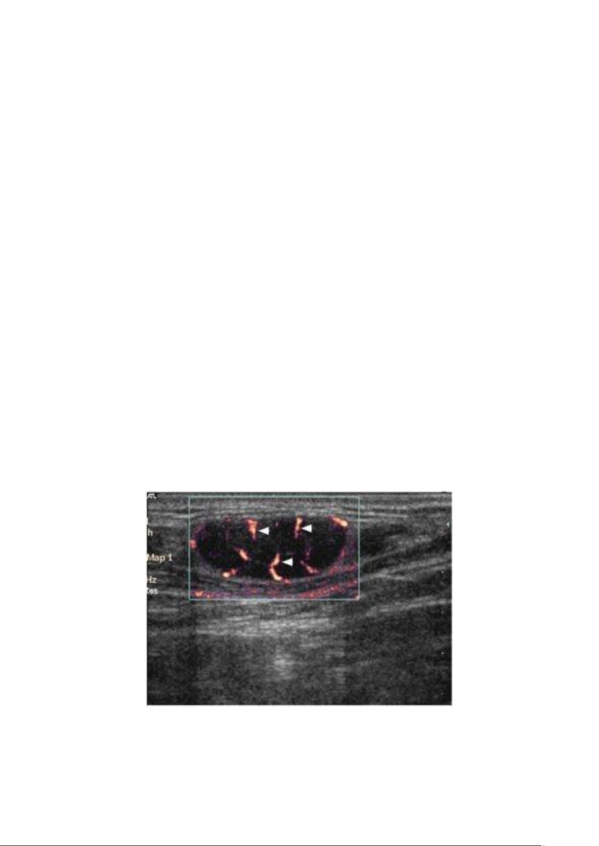
1.3.2.1. Phân bố mạch máu (vascular distribution)
Trên siêu âm Doppler năng lượng, hạch ung thư có xu hướng phân bố mạch
máu ở rốn và ngoại biên (62-90%). Không giống như hạch di căn, sự hiện diện
mạch máu ở ngoại biên đơn thuần không phổ biến trong hạch ung thư (5%) [31].
Hình 1.10. Siêu âm Doppler năng lượng định hướng cho thấy hạch ung thư với mạch máu
phân bố cả rốn hạch (mũi tên) và ngoại biên (đầu mũi tên), thường thấy trong ung thư hạch.
1.3.2.2. Sức cản mạch máu (Vascular resistance)
Tương tự như hạch di căn, vai trò của sức cản mạch máu trong đánh giá
hạch ung thư là không rõ ràng vì không đủ thông tin trong y văn và các nghiên
cứu không nhất quán với nhau. RI và PI của hạch ung thư được báo cáo thay đổi
lần lượt từ 0,64 đến 0,84 và từ 1,2 đến 2,2. Tuy nhiên, người ta thường tin rằng
RI và PI của hạch ung thư cao hơn so với hạch phản ứng, hạch lao và hạch bình
thường và thấp hơn so với hạch di căn [31].
Đánh giá siêu âm Doppler rất hữu ích trong việc theo dõi đáp ứng điều trị
của hạch ung thư. Trên siêu âm Doppler màu hoặc năng lượng, giảm nhanh sự
phân bố mạch máu trên hạch là dấu hiệu nhạy cho đáp ứng điều trị tích cực và
hữu ích trong việc dự đoán tiên lượng bệnh nhân. Sau hoá trị, bệnh nhân có giảm
sự phân bố nhanh chóng mạch máu trên hạch có xu hướng bệnh thuyên giảm lOMoAR cPSD| 46342985 14
trong khi bệnh nhân có mạch máu trên hạch nhiều, kéo dài có xu hướng tái phát
sau hóa trị. Do RI và PI không tương quan đáng kể với đáp ứng hóa trị nên việc
đánh giá sức cản mạch máu sau hóa trị của hạch ung thư có giá trị tiên lượng hạn chế [31].
1.3.3. Siêu âm đàn hồi
Kinh nghiệm ban đầu cho thấy thâm nhiễm hạch lympho khu trú là biểu
hiện của ung thư hạch nang mức độ thấp, trong khi thâm nhiễm hạch lan tỏa và
đồng nhất thường thấy ở ung thư hạch mức độ cao.
Hình 1.11. Non-Hodgkin lymphoma. Đo độ đàn hồi cho thấy một vùng cứng hơn (màu xanh)
khu trú trong hạch bạch huyết (A) và một vùng cứng hơn (màu xanh) lan tỏa trong hạch bạch huyết (B).
Siêu âm đàn hồi mô nén (Strain Elastography-SE): một số nghiên cứu đã
báo cáo về việc đánh giá ung thư hạch bằng SE. Với thang đánh giá 5 điểm của
biểu đồ đàn hồi hạch của Hoa Kỳ, Acu et al. báo cáo rằng hầu hết ung thư hạch
biểu hiện kiểu 1 và 2. Về mặt lâm sàng và lý thuyết, mức độ cứng của ung thư
hạch khác với hạch di căn và lành tính. Trong hầu hết các nghiên cứu, độ cứng lOMoAR cPSD| 46342985 15
của ung thư hạch thấp. Do đó, khi di căn và ung thư hạch được coi là dương tính,
hạch phản ứng viêm được coi là âm tính trong chẩn đoán phân biệt; và độ nhạy,
độ đặc hiệu và độ chính xác theo thang đánh giá điểm của siêu âm đồ đàn hồi bị
ảnh hưởng. Với phân tích định lượng SE, chỉ số biến dạng thông số đàn hồi cho
thấy độ chính xác chẩn đoán cao để phân biệt ung thư hạch với viêm hạch; giá trị
ngưỡng của chỉ số căng của LN cổ so với cơ ức đòn chũm đã được báo cáo là
1,18 trong một nghiên cứu gần đây. Mặc dù rất khó để phân biệt các loại u lympho
khác nhau nhưng việc đánh giá hiệu quả điều trị bằng SE trong bệnh Hodgkin có
thể hữu ích. Trong nghiên cứu về hiệu quả của bệnh Hodgkin dai dẳng và tái phát,
người ta đã chứng minh rằng độ cứng của một số nốt ung thư hạch thay đổi theo
hiệu quả điều trị. Nó chỉ ra rằng SE có thể đáng tin cậy để theo dõi đáp ứng điều
trị đối với bệnh ung thư hạch Hodgkin [10],[27].
Siêu âm đàn hồi sóng biến dạng (Shear Wave-Based Elastography-SWE):
Hiện nay, có rất ít nghiên cứu đánh giá ung thư hạch bằng SWE. Số lượng bệnh
ung thư hạch được ghi danh trong các nghiên cứu này là nhỏ, bao gồm một số báo
cáo trường hợp. Soo và cộng sự. bản đồ tốc độ cắt được phân loại định tính trong
tổng số năm mẫu SWE ở hạch cổ: mẫu 1, vùng không có hoặc rất nhỏ màu đỏ
(cứng); mẫu 2, vùng màu đỏ rải rác nhỏ, nghĩa là tổng diện tích màu đỏ dưới 45%;
mẫu 3, diện tích màu đỏ lớn, bằng hoặc lớn hơn 45%; mẫu 4, vùng màu đỏ ngoại
vi và vùng màu xanh lá cây trung tâm (mềm), gợi ý hoại tử trung tâm; và mẫu 5,
khu vực gần như màu đỏ có hoặc không có viền màu xanh lá cây. Không có ung
thư hạch nào biểu hiện kiểu 4 và kiểu 5; và các giá trị và tỷ lệ tuyệt đối của cả độ
đàn hồi và tốc độ ở u lympho thấp hơn đáng kể so với LN di căn [10],[15].
1.4. Một số nghiên cứu trên thế giới và tại Việt Nam
1.4.1. Trên thế giới
Không có tiêu chuẩn cụ thể nào trên siêu âm để phân biệt hạch ác tính với
hạch lành tính với độ chính xác 100%. lOMoAR cPSD| 46342985 16
Năm 2020, Ehab Ali Abdelgawad và cộng sự đã thực hiện nghiên cứu đánh
so sánh giữa siêu âm B-mode, Doppler màu và siêu âm đàn hồi trong đánh giá
hạch cổ sâu mở rộng, ghi nhận kết quả tỷ lệ hạch bạch huyết lành tính là 26 trên
84 (31%). Hạch lympho là 22/84 (26,2%), trong khi hạch di căn là 36/84 (42,8%).
Đánh giá Doppler màu mô hình mạch máu hạch có độ nhạy cao (91,7%), độ đặc
hiệu (80,8%) và độ chính xác (88,6%) để phân biệt hạch di căn và hạch lành tính
(giá trị P < 0,001). Có sự khác biệt đáng kể giữa điểm đàn hồi của hạch bạch huyết
lành tính và ác tính (P <0,001). Điểm thường gặp nhất ở nhóm ác tính là 3 (21/27)
(77,8%) trong khi điểm hay gặp nhất ở nhóm lành tính là 2 (5/11) (45,5%). Tỷ lệ
biến dạng trung bình (chỉ số biến dạng) đối với các hạch bạch huyết ác tính (trung
bình 3,2 ± 0,8) lớn hơn đáng kể so với các hạch bạch huyết lành tính (trung bình
1,1 ± 0,8). Tác giả cũng kết luận rằng siêu âm đàn hồi với độ nhạy và độ đặc hiệu
cao là một cải tiến hữu ích ở siêu âm để đánh giá các hạch bạch huyết cổ, trong
đó nên thực hiện sinh thiết [2].
Năm 2022, Vineela và cộng sự nhận định rằng trong số tất cả các thông số
siêu âm, rốn hạch được cho là có độ chính xác chẩn đoán cao nhất (73%), tiếp
theo là mô hình mạch máu (70%). Việc sử dụng kết hợp tất cả các thông số siêu
âm mang lại độ nhạy (90%), độ đặc hiệu (88%) và độ chính xác chẩn đoán (89%)
tốt hơn so với các thông số riêng lẻ. Thang điểm 5 trong siêu âm đàn hồi có độ
nhạy 83%, độ đặc hiệu 97% và độ chính xác chẩn đoán 89%. Trong nghiên cứu
hiện tại, việc sử dụng giới hạn chỉ số cut-off là 2 cho thấy độ nhạy là 93%, độ đặc
hiệu là 96% và độ chính xác chẩn đoán là 94%. Cùng với nhau, siêu âm và đo độ
đàn hồi đạt được độ nhạy 96%, độ đặc hiệu 94% và độ chính xác chẩn đoán là 95% [26].
Lyshchik và cộng sự đã công bố một trong những nghiên cứu lâm sàng đầu
tiên đánh giá hứa hẹn chẩn đoán của đo độ đàn hồi căng bằng cách kiểm tra 141
hạch bạch huyết, trong đó 98 hạch được xác nhận là lành tính và 43 hạch được
xác nhận là ác tính bằng mô bệnh học. Họ phân loại các nút theo hình ảnh, độ lOMoAR cPSD| 46342985 17
sáng so với các cơ lân cận và mức độ đều đặn của đường viền. Sử dụng giá trị
giới hạn tỷ lệ biến dạng >1,5, phép đo độ đàn hồi biến dạng cho thấy các giá trị
độ nhạy, độ đặc hiệu và độ chính xác lần lượt là 85%, 98% và 92% [20].
Theo một phân tích tổng hợp gần đây của chín nghiên cứu đo độ đàn hồi
căng bao gồm 50-155 hạch bạch huyết cổ hoặc nách, các giá trị độ nhạy và độ
đặc hiệu gộp để phát hiện khối u ác tính là 74% (khoảng tin cậy [CI] 95%, 66%
đến 81%) và 90% (KTC 95%, 82% đến 94%) cho thang đo độ đàn hồi và 88%
(KTC 95%, 79% đến 93%) và 81% (KTC 95%, 49% đến 95%) sử dụng chủng tỷ
lệ tương ứng. Thang đo độ đàn hồi 4 điểm được sử dụng thường xuyên nhất để
phát hiện các hạch bạch huyết ác tính. Nhìn chung, các hạch bạch huyết di căn
biểu hiện độ cứng cao hơn so với các hạch bạch huyết lành tính, do đó, thang
điểm đàn hồi 1-2 cho thấy các hạch bạch huyết lành tính và điểm đàn hồi 3-4 cho
thấy các hạch bạch huyết ác tính. Để giải thích khả năng hoại tử nội hạch ở các
hạch bạch huyết di căn có thể gây nhiễu thang đo đàn hồi, một số nhà nghiên cứu
đã sửa đổi hệ thống tính điểm định tính của họ để phân loại các hạch có dạng biến
dạng cụ thể (sử dụng thang điểm 5), biến dạng thấp ngoại vi (thể hiện bằng độ
cứng cao). ), hoặc biến dạng cao ở trung tâm (thể hiện bằng độ cứng thấp) [19],[28].
Ishibashi và cộng sự đã đánh giá thang đo độ đàn hồi bằng thang điểm 5 và
ghi nhận rằng phép đo độ đàn hồi kết hợp với siêu âm thông thường cho thấy các
giá trị độ nhạy, độ đặc hiệu và độ chính xác lần lượt là 90,3%, 80% và 84,5% [17].
Tương tự, Alam et al đã sử dụng thang điểm 5 cho đánh giá siêu âm đàn
hồi và báo cáo các giá trị độ nhạy, độ đặc hiệu và độ chính xác lần lượt là 83%, 100% và 89% [8]. lOMoAR cPSD| 46342985 18
1.4.2. Tại Việt Nam
Năm 2020, Nguyễn Thanh Thuỷ và cộng sự đã thực hiện nghiên cứu đăc ̣
điểm hình ảnh của hạch cổ ác tính trên siêu âm và giá trị siêu âm trong chẩn đoán
hạch cổ ác tính, ghi nhận kết quả như sau: trong số 85 bênh nhân với 85̣ hạch
được thực hiên, đối chiếu với kết quả giải phẫu bệ nh có 56 hạch di căn, 4̣ hạch u
lympho, 1 hạch u tương bào, 18 hạch viêm không đăc hiệ u, 1 hạch viêṃ mủ và
5 hạch viêm u hạt do lao. Đô nhạy, độ đặ c hiệ u, độ chính xác phương ̣ pháp siêu
âm 2D kết hợp siêu âm Dopper lần lượt là 95,08%, 79,2 %, 92%, 86% và 90,6%.
Trong nghiên cứu này, siêu âm 2D kết hợp siêu âm Doppler màu có giá trị rất cao
trong chẩn đoán hạch cổ ác tính. Viêc thực hiệ n siêu âm đánh giá ̣ hạch cổ góp
vai trò giảm thiểu nhu cầu chọc tế bào/sinh thiết hạch cổ lành tính [1].
CHƯƠNG II ĐỐI TƯỢNG VÀ PHƯƠNG PHÁP NGHIÊN CỨU
2.1. Đối tượng nghiên cứu
Bênh nhân đến khám hạch cổ nghi ngờ hạch ác tính trên siêu âm hay lâṃ
sàng nghi ngờ hạch ác tính được thực hiên siêu âm 2D, Dopper hoặc siêu âṃ đàn
hồi; có kết quả giải phẫu bênh (FNA hoặ c sinh thiết) khẳng định hạch ác ̣ tính hay lành tính.
2.2. Phương pháp nghiên cứu
Nghiên cứu mô tả hàng loạt ca với cỡ mẫu thuận tiện.
2.3. Thời gian và địa điểm nghiên cứu
Từ tháng 01/2024 đến tháng 12/2024, tại khoa Chẩn đoán hình ảnh thuộc Bệnh viện Nhật Tân.
Thiết bị được sử dụng: LOGIQ P7, LOGIQ P9, LOGIQ P10.
2.4. Phương pháp nghiên cứu
Sử dụng máy siêu âm LOGIQ P7, LOGIQ P9, LOGIQ P10 với đầu dò
Linear tần số 7-11Hz. Bênh nhân nằm ngửa, vùng cổ được bộ c lộ hoàn toàn.̣ Các
cài đặt đã được chuẩn hóa và các bộ lọc tường, tần số lặp lại xung, độ tăng màu