



















Preview text:
lOMoAR cPSD| 45470709
BÀI GIẢNG: PHỤC HỒI CHỨC NĂNG
CHO BỆNH NHÂN ĐỘT QUỴ MinhdatRehab PHCN-Online.com I. ĐẠI CƯƠNG
1. 1. Định nghĩa đột quỵ:
Đột quỵ (stroke) (c n gọi là tai biến mạch máu não) là các thiếu
sót thần kinh trung ương xảy ra đột ngột với các triệu chứng khu
trú hơn là lan toả, các triệu chứng tồn tại quá 24 giờ hoặc tử vong
trong 24 giờ, nguyên nhân do tổn thương mạch máu não (Warlow
C và cộng sự. Stroke. Lancet, 2003)
1.2. Dịch tể học:
Đột quỵ là bệnh lý thần kinh thường gặp nhất (chiếm >50%
trường hợp nhập viện vì bệnh thần kinh cấp), là nguyên nhân
hàng đầu gây bệnh tật, tử vong và giảm khả năng.
Theo thống kê gần đây của TCYTTG, tỉ lệ hiện mắc của đột quỵ
ở các nước đã phát triển thay đổi từ 500-600 người/100.000 dân.
Theo Lê Văn Thành và cộng sự (1994), tỷ lệ hiện mắc của đột
quỵ là 416/100.000 dân, tỷ lệ mới mắc là 152/100.000 dân.
Theo các ước tính gần đây nhất, đột quỵ là nguyên nhân đứng
hàng thứ hai gây tử vong trên thế giới và là nguyên nhân đứng
hàng thứ ba ở các nước phát triển. Mỗi năm, đột quỵ gây khoảng
5,54 triệu trường hợp tử vong trên thế giới, hai phần ba con số
này xảy ra ở những nước kém phát triển. lOMoAR cPSD| 45470709
đột quỵ là nguyên nhân chính gây giảm chức năng trầm trọng, lâu
dài. Khoảng 1/2 bệnh nhân sống sót 3 tháng sau đột quỵ sẽ sống
được 5 năm, và một phần ba sẽ sống được 10 năm. Xấp xỉ 60%
người sống sót phục hồi khả năng tự chăm sóc, và 75% có thể tự
đi lại. Khoảng 20% cần được chăm sóc lâu dài ở các viện, số c n
lại sẽ cần sự giúp đỡ của gia đình, người thân. Một điểm cần lưu
ý là giảm chức năng về tâm lý c n phổ biến hơn giảm chức năng về thể chất.
Là một nguyên nhân lớn gây giảm chức năng lâu dài, đột quỵ có
tác động kinh tế-xã hội và tình cảm rất lớn đến bệnh nhân, gia
đình và dịch vụ y tế. Ở Anh, gánh nặng chi phí của đột quỵ được
ước tính gần bằng 2 lần gánh nặng chi phí của bệnh mạch vành.
1.3. Các yếu tố nguy cơ:
1.3.1. Các yếu tố nguy cơ không thay đổi được:
-Tuổi tác, nguy cơ tăng gấp đôi mỗi 10 năm sau tuổi 55. - Giới tính (nam>nữ)
- Chủng tộc (da đen>da trắng>da vàng) - Tiền sử gia đình
1.3.2. Các yếu tố nguy cơ thay đổi được
- Tăng huyết áp (yếu tố nguy cơ cho cả nhồi máu não và xuất
huyết não, tăng nguy cơ gấp 7 lần)
- Tiền sử đột quỵ/thiếu máu não thoáng qua trước đó
- Bệnh tim (suy tim, bệnh mạch vành, bệnh van tim, rung nhĩ…)
- Đái đường (tăng nguy cơ gấp 2 lần) - Hút thuốc lá lOMoAR cPSD| 45470709
- Sử dụng thuốc ngừa thai
- Các tình trạng tăng đông (tăng hồng cầu, thiếu protein S và C,
ung thư…) - Tăng lipid máu… 1.4. Phân loại:
Đột quỵ xảy ra có thể do thể nhồi máu não hoặc chảy máu não.
1.4.1. Nhồi máu não:
Xảy ra khi một mạch máu não bị tắc hoặc nghẽn, làm cho vùng
não bị thiếu máu (đột quỵ thiếu máu cục bộ) và dẫn đến hoại tử
(nhồi máu). Loại tai biến này chiếm 80%. Trong nhóm đột quỵ
do nhồi máu não, 50% là do xơ vữa động mạch, 25% là do bệnh
các mạch máu nhỏ trong não (nhồi máu ổ khuyết), 20% là do
thuyên tắc từ tim, 5% c n lại do những nguyên nhân hiếm gặp.
1.4.2. Chảy máu não:
Xảy ra khi mạch máu bị vỡ, máu chảy vào nhu mô não và các não
thất. Loại tai biến này chiếm 20% (15% chảy máu trong não- liên
quan đến huyết áp cao và dị dạng động tĩnh mạch; 5% chảy máu
dưới nhện- liên quan đến vỡ phình động mạch não).
Chảy máu não thường có biểu hiện rất cấp tính, rầm rộ, toàn thể,
có thể gây rối loạn ý thức nhanh, hôn mê và tử vong do đó cần
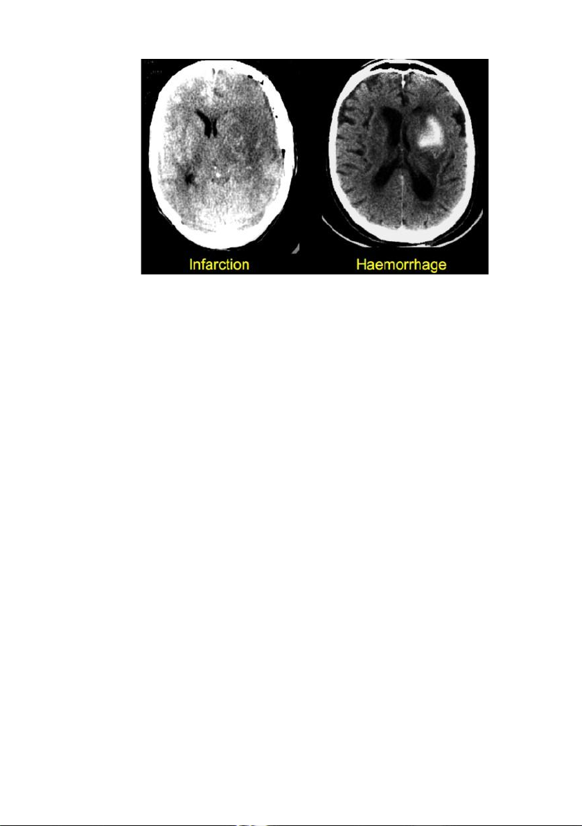
phải xác định sớm bằng xét nghiệm hình ảnh học (CT cấp cứu). lOMoAR cPSD| 45470709
Nhồi máu não chảy máu não
Hình 1. Hình ảnh CT của đột quỵ
II. BIỂU HIỆN LÂM SÀNG, DIỄN TIẾN, HẬU QUẢ CỦA ĐỘT QUỴ
2.1. Biểu hiện lâm sàng:
Đột quỵ là một bệnh lý thần kinh xuất hiện cấp tính (giây, phút,
giờ), biểu hiện lâm sàng đa dạng tùy theo nguyên nhân, mức độ,
vị trí tổn thương, thường là khu trú hơn là lan tỏa.
Biểu hiện lâm sàng quan trọng thường gặp nhất của đột quỵ là
liệt nửa người - yếu hoặc liệt một tay, một chân (do tổn thương
bó tháp), kèm liệt mặt.
Các biểu hiện khác, rất đa dạng, tuỳ theo nguyên nhân, vị trí, mức độ tổn thương:
- rối loạn ý thức: lơ mơ, hôn mê, thường gặp hơn trong chảy
máu não, có thể dẫn đến tử vong.
- rối loạn về tâm thần kinh (dễ khóc, dễ cười hoặc buồn bã, trầm cảm), lOMoAR cPSD| 45470709
rối loạn cảm giác (tê, buồn, đau, rát, nhức bên liệt, giảm cảm giác),
- rối loạn về thị giác: giảm hoặc mất thị lực, bán manh
- rối loạn về miệng họng và ngôn ngữ: khó nói (dysarthria),
rối loạn nuốt (dysphagia) hoặc thất ngôn (aphasia) (trường
hợp tổn thương bán cầu não trội).
- rối loạn về cảm nhận không gian và định vị cơ thể (tổn
thương bán cầu não phải kèm liệt nửa người trái): không chú ý một bên (neglect)
- các dấu hiệu tổn thương thần kinh sọ não, rối loạn tiểu não
nếu đột quỵ ở vị trí thân não hoặc tiểu não.
- Các dấu hiệu màng não (đau đầu, nôn mửa, cứng cổ…)
nếu đột quỵ do chảy máu dưới nhện
- Các dấi hiệu khác: động kinh, rối loạn cơ tr n,…
Vì tính chất cấp thiết của phát hiện kịp thời đột quỵ, cần giáo dục
cộng đồng các dấu hiệu phát hiện sớm FAST:
- F (Face drooping): liệt, xệ mặt
- A (Arm weakness): Yếu, rũ tay chân
- S (Speech difficulty): Nói khó, nói ú ớ, thậm chí không nói được
- T(Time): Xảy ra đột ngột; Gọi cấp cứu ngay.
2.2. Diễn tiến của đột quỵ và Mẫu co cứng điển hình: lOMoAR cPSD| 45470709 -
Diễn tiến của đột quỵ có thể được chia thành các giai đoạn khác nhau như sau:
- Tối cấp (0-24 giờ đầu): có thể nặng lên, cần vào viện để
chẩn đoán và can thiệp sớm
- Cấp (24 giờ- 7 ngày) (có thể dài hơn): chưa ổn định, cần
theo dõi, can thiệp nội khoa
- Bán cấp (7 ngày– 6 tháng): hồi phục dần về các khiếm
khuyết và chức năng. Có thể chia quá trình hồi phục thành
2 giai đoạn nhỏ hơn như sau:
+ Bán cấp sớm (3 tháng đầu sau đột quỵ): giải thích cho
sự hồi phục tự phát sớm sau đột quỵ (giải quyết các yếu
tố độc hại tại chổ; cải thiện tuần hoàn tại chỗ; sự hồi phục
của các neuron bị tổn thương một phần).
+ Bán cấp muộn (3-6 tháng, và có thể kéo dài đến 1-2
năm): liên quan đến tính mềm dẻo của thần kinh
(Neuroplasticity, brain plasticity).
- Mạn tính (>6 tháng): di chứng, thích nghi với tình trạng chức năng c n lại
Thông thường sau đột quỵ, người bệnh biểu hiện một tình trạng
liệt mềm, trương lực cơ giảm. Sau một vài ngày đến một vài tuần,
cùng với sự phục hồi dần của cơ lực là tình trạng gia tăng trương
lực cơ (liệt cứng). Điển hình, người bệnh ở giai đoạn này sẽ có mẫu co cứng như sau:
- Đầu: đầu nghiêng về bên liệt, mặt quay sang bên lành. lOMoAR cPSD| 45470709
- Tay liệt: co cứng gập:
- Bả vai bị kéo ra sau, khớp vai khép, xoay trong. Khớp khuỷu gấp. - Cẳng tay quay sấp.
- Khớp cổ tay gập về phía l ng, bàn tay nghiêng về phía trụ.
- Các ngón tay gấp, khép.
- Thân mình bên liệt: co ngắn và kéo dài ra sau.
- Chân liệt: co cứng duỗi:
- Hông bị kéo ra sau, lên trên, khớp háng duỗi, khép, và xoay trong. - Khớp gối duỗi.
- Cổ chân gập mặt l ng, các ngón chân gập, khép. lOMoAR cPSD| 45470709 -
Hình 2: Mẫu co cứng điển hình
2.3. Hậu quả, biến chứng của đột quỵ:
- Sự phục hồi ở bệnh nhân đột quỵ có thể hoàn toàn hoặc
để lại một số di chứng, biến chứng cho người bệnh.
- Liệt nửa người, rối loạn thăng bằng, điều hợp… làm giảm
các khả năng vận động di chuyển, sinh hoạt, lao động...
- Rối loạn về miệng họng -ngôn ngữ: bệnh nhân khó khăn
giao tiếp, khó ăn uống…
- Rối loạn tâm lý, nhận thức: khả năng hoạt động trí tuệ
giảm, khó tính, khả năng thích nghi xã hội kém, khó khăn hoà nhập cộng đồng.
- Giảm, mất khả năng làm việc dẫn đến khó khăn về việc làm, thu nhập kinh tế
- Khả năng độc lập giảm, sống phụ thuộc vào người khác.
- Một số biến chứng thường gặp:
- Loét đè ép: Do nằm lâu, giảm cảm giác, ít vận động.
- Huyết khối tĩnh mạch sâu chi dưới và biến chứng tắc mạch phổi
- Co rút các cơ do liệt, do co cứng làm khó khăn vận động
(đặc biệt các khớp cổ bàn ngón tay, khớp háng, cổ bàn chân).
- Đau vai, bán trật khớp vai.
- Nhiễm trùng (viêm phổi do hít, nhiễm trùng đường tiểu…) lOMoAR cPSD| 45470709
Ngã và chấn thương do ngã (đặc biệt nghiêm trọng là gãy cổ xương đùi)
Những đặc điểm lâm sàng cụ thể của một bệnh nhân đột quỵ có
thể được tóm tắt đầy đủ nhất bằng cách sử dụng Khung Phân loại
Quốc tế về Khuyết tật (ICF), từ đó cho ta thấy rõ bức tranh toàn
cảnh về sức khoẻ của người bệnh, từ đó đề ra các mục tiêu và
giải pháp can thiệp phù hợp.
III. PHỤC HỒI CHỨC NĂNG BỆNH NHÂN ĐỘT QUỴ
3.1. Mục đích của PHCN đột quỵ:
Mục đích cuối cùng của PHCN đột quỵ là giúp người bệnh (1)
đạt được mức độ độc lập chức năng tối đa, (2) giảm đến mức thấp
nhất sự suy giảm chức năng, (3) tái h a nhập thành công vào gia
đình, cộng đồng, và (4) thiết lập trở lại một cuộc sống có ý nghĩa.
Mục đích cụ thể sẽ thay đổi tuỳ theo mức độ khiếm khuyết hoặc
giới hạn hoạt động, hạn chế tham gia ở người bệnh có tính đến
các đặc điểm của tình trạng sức khoẻ (giai đoạn bệnh, bệnh
kèm…), các yếu tố cá nhân (lứa tuổi, động lực, mong muốn…),
và các yếu tố môi trường liên quan (xem Khung ICF).
3.2. Những nguyên tắc chính của PHCN đột quỵ:
Có một số nguyên tắc chính nhằm đảo bảo sự hiệu quả của can
thiệp PHCN cho bệnh nhân đột quỵ, bao gồm:
- Điều trị theo từng cá nhân: mỗi bệnh nhân với những hoàn cảnh
riêng (tuổi tác, trình độ, nghề nghiệp, yếu tố nguy cơ, bệnh lý lOMoAR cPSD| 45470709 -
kèm theo…) và mức độ khiếm khuyết, giảm chức năng khác
nhau đ i hỏi phải có phương pháp can thiệp riêng biệt phù hợp.
- Chăm sóc toàn diện: cả về xã hội, nghề nghiệp, chú ý cả thể
chất, tình cảm, kinh tế-xã hội.
- Điều trị theo nhóm: thành phần của nhóm phục hồi thay đổi tuỳ
theo bệnh nhân và nguồn lực.
- Điều trị hướng đến mục tiêu chức năng và kỹ năng cụ thể: bao
gồm những mục tiêu ngắn hạn và dài hạn.
- Chú trọng vào học hỏi và thích ứng.
- Môi trường điều trị tạo điều kiện thuận lợi cho quá trình học hỏi, phục hồi.
- Đảm bảo đủ thời gian điều trị: ít nhất tham gia hoạt động chức năng một lần/ngày.
- Chú ý vào các vấn đề tâm lý xã hội.
- Trọng tâm vào gia đình: gia đình là thành viên quan trọng của
nhóm phục hồi. Có chương trình giáo dục cụ thể cho bệnh nhân và gia đình.
3.3. Các phương pháp PHCN:
Các phương pháp PHCN cho bệnh nhân đột quỵ rất đa dạng và
phong phú. Tùy theo loại và mức độ khiếm khuyết và giảm chức
năng, người bệnh thường cần phải được lượng giá, chăm sóc và lOMoAR cPSD| 45470709
điều trị bởi tiếp cận đa ngành với sự tham gia của nhiều thành
viên tạo thành nhóm phục hồi.
Các phương pháp chính của PHCN cho bệnh nhân đột quỵ là: lOMoAR cPSD| 45470709
- Vận động trị liệu: phục hồi về vận động thô của thân mình, chân,
khả năng di chuyển, đi lại
- Hoạt động trị liệu: phục hồi hoạt động tinh của tay, khả năng
nhận thức, sinh hoạt hàng ngày
- Âm ngữ trị liệu: điều trị các trường hợp rối loạn ngôn ngữ, rối loạn nuốt…
- Tâm lý trị liệu: nâng đỡ về tâm lý và lượng giá và can thiệp nhận thức
- Chăm sóc điều dưỡng: trợ giúp trong đặt tư thế và vận động tại
giường, chăm sóc bàng quang và đường ruột, chăm sóc da, giáo dục bệnh nhân
- Các phương thức điều trị vật lý: kích thích điện chức năng
- Cung cấp các dụng cụ chỉnh hình, trợ giúp - Giáo dục hướng nghiệp.
3.4. PHCN các giai đoạn:
3.4.1. Giai đoạn cấp (sau 24 giờ).
Mục tiêu là ph ng ngừa các biến chứng sớm, giảm thiểu các khiếm
khuyết và cải thiện chức năng a. Đặt tư thế đúng:
Cần đặt người bệnh sao cho bên liệt quay ra phía mặt giường để
khuyến khích người bệnh sử dụng phần cơ thể liệt càng nhiều
càng tốt. Nhằm ph ng tránh các biến chứng co rút của mẫu co
cứng điển hình, nên đặt bệnh nhân ở tư thế nằm đúng như sau:
- Tư thế nằm ngữa: đầu thẳng trục, kê gối không quá cao. Vai bên
liệt có gối đỡ dưới bả vai, dạng, khuỷu duỗi, cẳng tay xoay ngữa, lOMoAR cPSD| 45470709
cổ tay duỗi, các ngón tránh co rút gập bằng cách đặt một vật
mềm vào l ng bàn tay. Chân liệt có gối đỡ không để xoay ngoài,
bàn chân vuông góc với cẳng chân bằng gối đỡ.
- Nằm nghiêng sang bên liệt: Đầu có gối đỡ, cổ hơi gập. Thân
mình nửa ngửa, có gối đỡ ở lưng. Tay liệt tạo với thân một góc
900, khuỷu và cổ tay duỗi. Chân liệt khớp háng duỗi, gối hơi
gấp, bàn chân vuông góc với cẳng chân. Chân lành có gối đỡ ở
mức ngang với thân, háng và gối gấp.
- Nằm nghiêng sang bên lành: đầu có gối đỡ. Tay liệt có gối đỡ
ngang thân tạo với thân một góc 900, tay lành ở vị trí thoải mái.
Chân liệt có gối đỡ ở phía trước, khớp háng và gối gấp, bàn chân
vuông góc với cẳng chân. Chân lành ở tư thế duỗi háng và hơi gấp gối.
Nằm ngữa Nghiêng bên liệt Nghiêng bên lành
Hình 3: Các tư thế nằm đúng b. Vận động sớm:
Vận động sớm được định nghĩa là “quá trình giúp bệnh nhân vận
động trên giường, ngồi dậy, đứng và cuối cùng là đi”. Tất cả bệnh lOMoAR cPSD| 45470709
nhân nhập viện vì đột quỵ cấp nên được bắt đầu vận động sớm
(trong v ng 24-48 giờ sau khi khởi phát đột quỵ) nếu không có chống chỉ định.
Hướng dẫn bệnh nhân/người nhà sử dụng bài tập vận động khớp
hàng ngày để ph ng ngừa biến chứng do bất động: tập chủ động
với những phần chi lành, tập thụ động hoặc trợ giúp với những
phần chi liệt. nếu có thể được, người bệnh sẽ dùng chi lành trợ giúp cho chi bệnh.
Các khớp cần đặc biệt lưu ý là khớp vai (dễ đau, cứng khớp vai
do nằm lâu, do tì đè..., bán trật khớp vai), khớp cổ chân (dễ biến
dạng gập l ng do co rút gân gót).
Một số bài tập có thể hướng dẫn bệnh nhân trong giai đoạn đầu là: - Tay:
- Bài tập vận động khớp vai: vận động vai liệt lên trên đầu
với sự trợ giúp của tay lành (hình 4).
- Bài tập vận động khớp khuỷu: gấp duỗi khuỷu với sự trợ giúp của tay lành.
- Bài tập vận động khớp cổ-bàn-ngón tay: vận động các
khớp cổ, bàn ngón tay với sự trợ giúp của tay lành. - Thân:
- Lăn sang bên liệt: nằm ngữa, nâng chân, tay lành, nâng
đầu, đưa sang bên liệt để lăn nghiêng về bên liệt. Lăn sang
bên lành: bệnh nhân lấy tay lành cài vào tay liệt, dùng tay
lành đỡ tay liệt và lăn nghiêng về phía bên lành. lOMoAR cPSD| 45470709
- Bài tập bắt cầu: bệnh nhân nằm ngữa, hai gối gập, sau đó
nâng mình lên khỏi mặt giường, ban đầu với sự hỗ trợ của
kỹ thuật viên/người nhà (hình 5).
Hình 4: Tập vận động vai liệt với tay lành
Hình 5: Bài tập bắt cầu - Chân:
- Bài tập vận động khớp háng, gối - Bài tập vận động khớp cổ chân.
- Trợ giúp bệnh nhân dịch chuyển sớm sang tư thế ngồi và
đứng (cần kiểm tra huyết áp và đảm bảo nguyên tắc an toàn):
- Dịch chuyển sớm từ nằm nghiêng sang ngồi dậy và tập
luyện ở tư thế ngồi (thăng bằng ngồi, vận động tay chân) lOMoAR cPSD| 45470709
- Tập chuyển từ tư thế ngồi sang tư thế đứng và tập luyện ở
tư thế đứng (thăng bằng đứng, chuyển trọng lượng sang chân liệt)
Trong PHCN bệnh nhân đột quỵ, tư thế nằm đúng và vận động
sớm đóng một vai tr hết sức quan trọng. Tư thế nằm đúng và các
bài tập nói trên không những cần được áp dụng càng sớm càng tốt
mà c n cần được thực hiện trong suốt quá trình phục hồi kể cả
trong chương trình tập luyện tại nhà.
c. Một số can thiệp khác cần lưu ý trong giai đoạn sớm:
- Lượng giá về nuốt và dinh dưỡng, can thiệp khó khăn về nuốt
và ph ng hít sặc (Âm ngữ trị liệu)
- Lượng giá về ngôn ngữ như mất ngôn ngữ, loạn vận ngôn và
điều trị (Âm ngữ trị liệu)
- Lượng giá về hô hấp và ph ng ngừa nhiễm trùng hô hấp: xem PHCN hô hấp
- Lượng giá về tiểu tiện và chăm sóc trong trường hợp đại tiểu tiện không tự chủ
- Ph ng ngừa các biến chứng do bất động, nằm lâu: loét đè ép,
huyết khối tĩnh mạch sâu chi dưới…
- Bảo vệ khớp vai và ph ng ngừa bán trật khớp vai, đau vai
3.4.2. Giai đoạn hồi phục. lOMoAR cPSD| 45470709
Sự hồi phục sau đột quỵ không phải là một đường thẳng, mà theo
một đường cong, và hầu hết hồi phục xảy ra trong những tháng đầu tiên.
Mục tiêu ở giai đoạn này là tiếp tục cải thiện và ph ng ngừa các
khiếm khuyết, cải thiện hoặc bù trừ các giới hạn hoạt động và hạn chế tham gia.
a. PHCN vận động: tập vận động tăng tiến, chú trọng đến chức
năng (đi lại, sinh hoạt hàng ngày).
- Tập luyện các vận động thô:
+ Tiếp tục tập dịch chuyển trên giường, ngồi dậy, đứng lên với sự trợ giúp giảm dần
+ Ở tư thế ngồi: Tập tăng cường khả năng thăng bằng, tập mạnh
hai chân, tập chuyển từ tư thế ngồi sang tư thế đứng.
+ Ở tư thế đứng: tập đứng thăng bằng, dồn trọng lượng sang đều
hai chân, dồn trọng lượng lần lượt sang từng chân, chú trọng dồn
trọng lượng sang chân liệt.
+ Tập đi tăng tiến: đi có trợ giúp của người khác, đi với dụng cụ
trợ giúp. Tập đi trên đường phẳng, đi trên đường gồ ghề, tập lên
xuống cầu thang (bước lên bậc cấp với chân lành trước, bước
xuống với chân liệt trước). lOMoAR cPSD| 45470709
Hình 6: Trợ giúp người bệnh đứng dậy và đi lại
+ Một số kỹ thuật mới cho tập dáng đi: Tập đi với máy đi bộ có
nâng đỡ một phần trọng lượng, tập đi với robot, Thuỷ trị liệu, …
- Tập các vận động tinh:
Cần trợ giúp, hướng dẫn bệnh nhân tự thực hiện các hoạt động sinh hoạt hàng ngày:
+ Vận động vai, khuỷu, cổ bàn tay, các động tác cầm, nắm, thả đồ
vật với các hình dạng, kích thước khác nhau.
+ Tự chăm sóc: chải đầu, đánh răng, tắm rửa, ăn uống, mặc, cởi
quần áo, mang giày vớ, ...
+ Hoạt động khác của bàn tay như tắt mở đèn, viết, vẽ ...
- Một số kỹ thuật mới cho tập chức năng chi trên: Trị liệu vận
động đồng cưỡng bức (CIMT), Tập luyện với hai tay (Bilateral
upper extremity training), Thực tế ảo (Virtual Reality), Trị liệu
với Gương (Mirror therapy)… A. Mặc áo lOMoAR cPSD| 45470709 B. Mặc quần
Hình 7. Hướng dẫn người bệnh liệt nửa người mặc áo/quần
bên liệt trước, bên lành sau
b. Cung cấp dụng cụ hoặc điều chỉnh các vật dụng sinh hoạt hàng ngày nếu cần thiết: - Xe lăn, gậy chống
- Đai nâng bàn chân, nẹp chỉnh hình cổ bàn chân trong trường hợp bàn chân rũ
- Đai nâng đỡ vai trong trường hợp bán trật khớp vai lOMoAR cPSD| 45470709 - Các dụng cụ trợ giúp sinh hoạt hàng ngày, chăm sóc vệ sinh… A B Hình 8: Một số dụng cụ chỉnh hình cho bệnh nhân đột quỵ: A: Đai đỡ vai; B:
Nẹp cổ bàn chân (AFO)
c. Chăm sóc phục hồi cảm giác:
- Bảo vệ vùng da giảm hay mất cảm giác
- Thường xuyên thăm khám để phát hiện những tổn thương.
- Tăng cường sờ vào bệnh nhân khi chăm sóc.
- Tạo cho bệnh nhân cơ hội cầm nắm các vật có trọng lượng,
hình dạng, kích thước, bề mặt khác nhau (như các loại vải