
















Preview text:
Bệnh án I. Hành chính
● Họ và tên: Phạm Ngọc T. ● Giới: Nam
● Ngày sinh: 24/06/2024 (3 tháng)
● Địa chỉ: Huyện Krông Bông, tỉnh Đắk Lắk
● Ngày nhập viện: 4h45’ 19/09/2024 II.
Lý do nhập viện: Ho, khò khè III. Tiền căn a) Sản khoa - Con 2/2, sinh mổ,
ủ tháng thai 39w, sau sinh khóc
ngay, cân nặng lúc sinh 4,2 kg, không nằm dưỡng nhi,
hồi sức sơ sinh. Chưa ghi nhân dị tật bẩm sinh.
- Mẹ: PARA 2002, trong thai kỳ i khám thai ầy ủ
và không ghi nhận bất thường (Không ái tháo
ường thai kỳ) b) Phát triển tâm vận
- Vận ộng thô: Em nâng vai chưa nằm sấp, giữ cổ chưa vững.
- Vận ộng tinh: Em biết với tới bóng bay
- Tương tác xã hội + Nhận thức: Em chơi với ồ chơi ược.
- Ngôn ngữ: Em nhìn theo hướng có âm thanh. => Phát
triển tâm vận phù hợp tuổi. d) Dinh dưỡng ● Mới sinh:
+Em bú mẹ sau sinh 1 giờ, bú mẹ hoàn toàn, sáng êm
(# 5-6 cử/buổi), mỗi lần bú không rõ lượng, mỗi cử bú
kéo dài …, sau bú em ngủ ngon.
+ Em bú sữa mẹ vắt (# 20 ml/ lần - không rõ cử, TB là
200 ml/ngày, max: 300 ml/1 ngày). Không ọc, trớ sưa.
● Từ lúc khởi phát bệnh:
+Em bú ít, bú sữa mẹ vắt, 1 cử bú khoảng 2-3 phút, bú ược, TB 100 ml/ngày. ● Cân nặng:
+(9/8) 5kg -> 23/8 (4.3kg) -> 19/09 4.2 kg. + Chiều dài: 58 cm
+ CN/Tuổi: -2.13 Z, CC/tuổi: -0.98 Z, CN/CC: -3.24
=> Suy dinh dưỡng cấp mức ộ nặng.
e) Chủng ngừa: Lao- Viêm gan B
f) Dị ứng: chưa ghi nhận g) Bệnh lý
+ (04/08) 1 tháng 5 ngày, em ang nằm ột ngột tím môi
+ tím hết mặt khoảng 5-7 giây, trong cơn em lim dim, mẹ
cho nằm nghiêng, vỗ lưng, ọc sữa thì hết tím kèm khò
khè, thở mệt ->Nhập bệnh viện Tây Nguyên - Siêu âm tim, chụp XQ: Chẩn
oán Thông Liên Thất – Viêm phổi - >
ược tiêm kháng sinh viêm phổi, iều trị 5ngày.
+ (09/08) 1 tháng 10 ngày, em khám khoa Tim Mạch Nhi
Đồng 2 - còn ho àm, khò khè kéo dài, thở nhanh, co lõm ngực -> Chẩn
oán Thông Liên Thất -> Điều trị (Không( rõ) 7 ngày.
+ (23/08), em ược tái khám Tim mạch. Điều trị: Captoril
25mg x 2, Furosemid 40 mg x 1, Spinolacton 25 mg x 1, Fe
(III) Hydroxyd Polymaltose – 50 mg/ml 1 lọ 15 ml x 1 lần (5 giọt).
g) Gia ình: chưa ghi nhận bệnh lý di truyền. IV. Bệnh sử -
Ngày 8->13/9: bé ho khan ít, bỏ bú, thở co lõm ngực kèm lừ
ừ 1 ngày, mẹ cho uống thuốc tim nhưng không giảm ->nhập cấp cứu BV Tây Nguyên
ược chẩn oán Viêm phổi- Thông
liên thất, iều trị kháng sinh 6 ngày (không rõ loại), sau xuất viện
bé còn ho ít, còn thở mệt, bú ít 200ml/ngày -
Ngày 15-> 18/9: Bé ho àm trắng trong tăng dần kèm sổ mũi
nhiều, khò khè, bú ít 100ml/ ngày => Đến khám và nhập viện BV Nhi ồng 2
Trong quá trình bệnh bé không sốt, không nôn ói, tiêu lỏng 3 lần/
ngày, tiểu vàng trong. Em thường xuyên thở nhanh, co lõm ngực
từ lúc 1 tháng tuổi, vã mồ hôi
ầu. Khám 5 lần vì viêm phổi, mỗi
lần kéo dài từ 5-10 ngày, iều trị kháng sinh. Không ghi nhận
thêm cơn tím nào từ lúc 1 tháng 5 ngày.
● Tình trạng lúc nhập viện:
Tình trạng lúc nhập viện: ● Bé tỉnh
● Sinh hiệu: M: 140 l/p HA: ■ NT: 50 l/p t: 37oC SpO2: 98%
● Môi hồng/ khí trời ● Chi ấm, CRT<2s Mạch ều rõ 140l/p
● Tim ều, T1 T2 rõ, âm thổi tâm thu 3/6 ( nghe rõ nhất ở
khoang liên sườn IV bờ trái xương ức)
● Thở co lõm hõm ức 50l/p ● Phổi không ran
● Bụng mềm, không chứng. V.
Khám (20h30, 24/09) 1/ Tổng trạng: + Em quấy, khóc. + Sinh hiệu: Mạch rõ, 140 lần/phút Nhiệt ộ: 37 ộ C SpO2 tay P - chân P: 97%
Môi hồng, chi mát, CRT <2s. Không phù Không sang thương da. 2/ Đầu mặt cổ: - Cân ói, ối xứng
- Tai sach, không xuất tiết - Mũi sạch, họng sạch 3/ Lồng ngực
+ Đối xứng, di ộng theo nhịp thở, co lõm ngực. 3.1/ Tim
+ Mỏm tim KLS 5 lệch trung òn trái ra ngoài 1cm, T1, T2 ều rõ.
+ Nhịp tim: 140 lần/phút, âm thổi tâm thu 3/6 vùng KLS III-IV dạng
tràn, lan nan hoa. Harzer (-).
+ Dấu nảy trước ngực (+). 3.2/ Phổi:
+ Thở co lõm ngực, 52 lần/phút. + Phổi ít rale ngáy ẩm. 4/ Bụng:
- Nhìn: cân ối, di ộng ều theo nhịp thở, không tuần hoàn bàng hệ.
- Sờ: Bụng mềm, gan lách không sờ chạm.
5/ Tứ chi -cột sống: Vận ộng khớp không giới hạn. 6/ Thần kinh: - Thóp phẳng. VI. Tóm tắt bệnh án
Bé nam, 3 tháng, nhập viện vì ho + khò khè, bệnh 10 ngày, qua
hỏi bệnh và thăm khám ghi nhận: TCCN ● Ho àm ● Khò khè ● Thở mệt ● Bú ít ● Sổ mũi TCTT: ● Sinh hiệu: ○ M: 140 l/p ○ NT: 50 l/p T: 37oC SpO2: 98%.
● Tim ều, T1 T2 rõ, âm thổi tâm thu 3/6 (Nghe rõ nhất ở
khoang liên sườn III-IV bờ trái xương ức).
● Thở co lõm hõm ức 52l/p. Tiền căn:
● Thông liên thất ược chẩn oán lúc 1 tháng 5 ngày tuổi
● Viêm phổi tái phát nhiều lần VII. Đặt vấn ề
1/ Nhiễm trùng hô hấp dưới 2/ Thông liên thất 3/ Suy tim
4/ Suy dinh dưỡng cấp nặng VIII. Biện luận
1/ Nhiễm trùng hô hấp dưới: BN ho
àm, khò khè, thở mệt, bú ít, sổ mũi, khám phổi có ran ẩm, ang
iều trị viêm phổi ở tuyến trước chưa ỡ -> nghĩ viêm phổi Mức ộ:
BN có các triệu chứng của viêm phổi kèm bú kém -> phân loại viêm phổi rất nặng Biến chứng:
Chưa ghi nhận suy hô hấp, tràn dịch màng phổi, nhiễm khuẩn huyết, viêm não - màng não Tác nhân:
BN nhập viện tuyến trước iều trị dài ngày chưa áp ứng -> khả năng nhiễm khuẩn bệnh viện 2/ Tim bẩm sinh: - Tím: TBS không tím.
- Tăng lưu lượng máu lên phổi:
+ Em viêm phổi tái i tái lại
+ Thở nhanh, co lõm ngực thường xuyên.
- Tim ảnh hưởng: ảnh hưởng 2 buồng tim
+ Mỏm tim nằm KLS 5 ngoài ường trung òn (T) 1cm -> Dãn thất T
+ Dấu nảy trước ngực dọc bờ trái xương ức -> Dãn thất P - Tăng áp ĐMP:
+ Dấu nảy trước ngực bờ T xương ức - Tật tim nằm ở âu:
+ Không tím - Lớn thất trái, phải
=> Thông liên thất, PDA, Kênh nhĩ thất. Ca này ã ược chẩn oán
thông liên thất (1 tháng 5 ngày) . 3/ Suy tim: 1. Có suy tim? Ross IX. Chẩn oán X.
Đề nghị CLS 1.Chẩn oán: - CT máu, CRP - ECG - X quang ngực thẳng - Siêu âm tim -Cấy àm 2.Biến chứng:
- ĐMTB, Fibrinogen - Sắt HT, Ferritin HT 3.Hỗ trợ: - TPTNT - ĐHMM - Ion ồ - BUN, creatinine - AST, ALT XI. Kết quả CLS
1. Siêu âm tim doppler (trước nhập viện lần này) 05/08/2024 23/08/2024 Situs solitus levocardia Situs solitus levocardia
Hồi lưu TMP và hệ thống bình thường
Hồi lưu TMP và hệ thống bình thường
Tương hợp nhĩ thất, thất ại ĐM bình
Tương hợp nhĩ thất, thất ại ĐM bình thường thường
Hở 2 lá nhẹ, VC = 1,6mm, nghĩ do
Hở 2 lá 1.4 do dãn vòng van
dãn vòng van Hở 3 lá nhẹ Hở 3 lá nhẹ ĐMP dãn
Hở phổi nhẹ, PAPm = 55mmHg
PFO nhỏ d = 2mm, shunt T-P VSD ĐMP dãn
phần màng d = 7mm, shunt hai PFO nhỏ d = 2mm, shunt T-P
chiều, Gd = 24mmHg Tim co bóp
VSD pm d = 9mm, shunt chủ yếu T-P, tốt, EF = 77% Gd = 20mmHg
Dãn nhẹ tim trái, LVd = 26,5mm Tim co bóp tốt, EF = 73%
Cung ĐMC quay trái, không hẹp Dãn tim trái, LVd = 28,5mm
Không tràn dịch màng ngoài tim
Cung ĐMC quay trái, không hẹp
Kết luận: Thông liên thất - PFO
Không tràn dịch màng ngoài tim Kết
luận: Thông liên thất - PFO - Cao áp phổi 2. Công thức máu: 19/09/2024 WBC 6.89 %NEU 22.5 %LYM 64.0 %MONO 13.2 %EOS 0.0 %BASO 0.3 #NEU 1.55 #LYM 4.41 #MONO 0.91 #EOS 0.0 #BASO 0.02 RBC 3.75 HGB 8.1 HCT 24.6 MCV 65.6 MCH 21.6 MCHC 32.9 PLT 613
- Dòng bạch cầu: chưa ghi nhận bất thường
- Dòng hồng cầu: thiếu máu mức ộ trung bình, hồng cầu nhỏ, nhược sắt -> ề
nghị làm thêm Ferritin, tuy nhiên BN có thể ang trong bệnh cảnh viêm,
Ferritin có thể không chính xác 3. Sinh hoá 19/09/2024 23/09/2024
Trị số bình thường CRP < 1.0 (<5) mg/L AST 44 (<45) U/L ALT 32 (<40) U/L Ure 6.1 (1.67 - 7.49) mmol/L Creatinine 34 (20.33 - 88.4) umol/L Na+ 140 (135 - 145) mmol/L K+ 4.3 (3.5 - 5.1) mmol/L Cl- 108 (95 - 110) mmol/L Ca total 2.61 (2.15 - 2.55) mmol/L Ferritin 670 (15-120) ug/L
- Chưa ghi nhận bất thường - Ca total 2.61
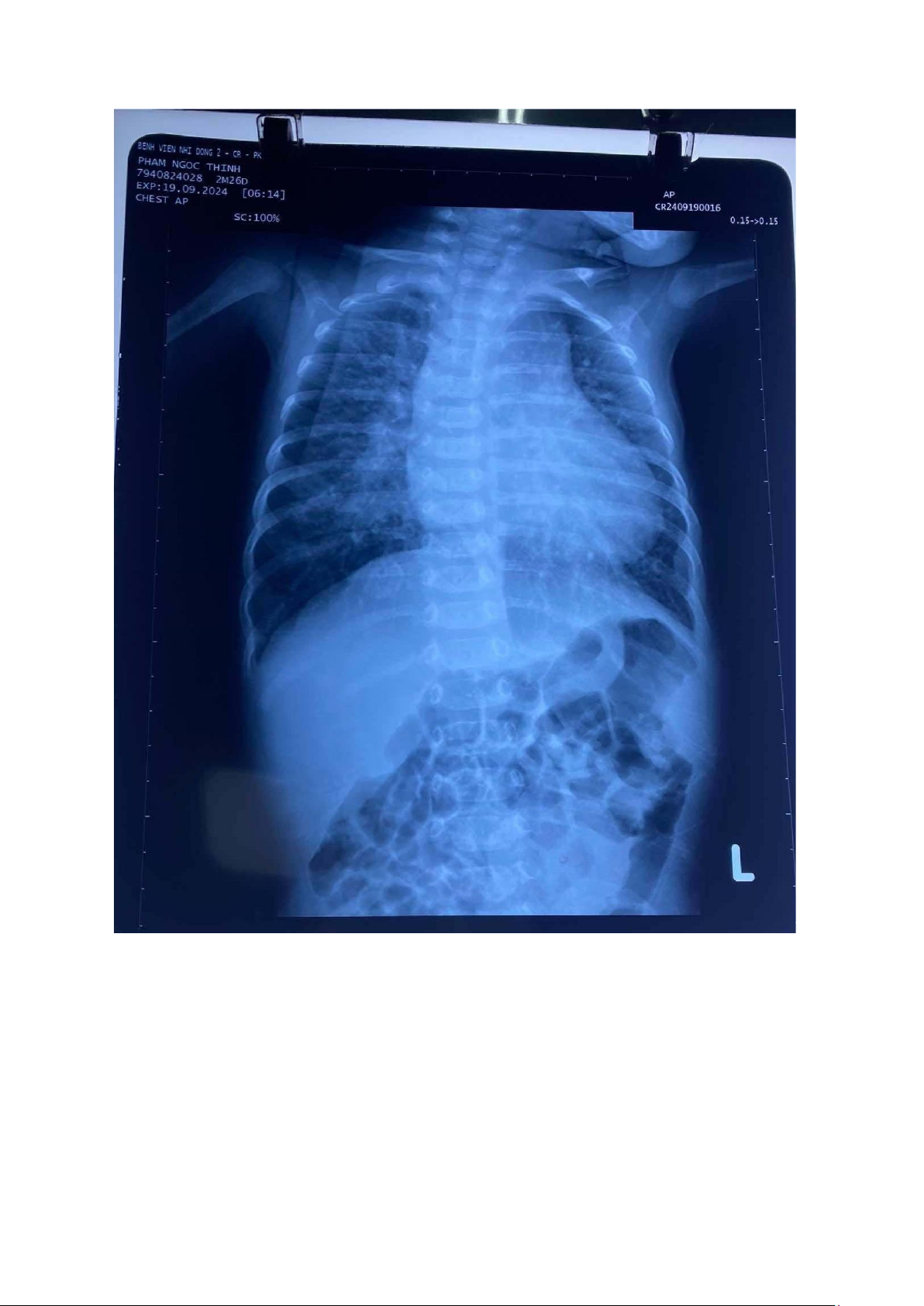
- Ferritin tăng 670 ug/L -> ề nghị thêm iện di Hb. 4. X-quang 19/9: 1. vị trí tim:
+ Situs solitus + Levocardia2. tuần hoàn phổi:+ rốn phổi ậm, tuần hoàn
phổi ra ⅓ ngoài 2 bên phế trường
→ tăng tuần hoàn phổi chủ ộng
2. kích thước tim và các cung tim 3. hình dạng bóng tim 4. 23/9: 5. Cấy àm: âm tính XII. Chẩn oán xác ịnh XIII. Điều trị 1. Maxapin 1g 210mg x 3 (TMC)
2. Spinolact 25mg ⅙ viên (u)
3. Agifuros 40mg 1/10 viên (u) 4. Captopril 25mg ⅛ viên x2 (u) — Bệnh sử:
● Triệu chứng theo thời gian ● Tri u chứng m t nh
— Tiển căn theo thời gian: ● Sản khoa ● Bệnh l ● Chủng ngừa
● Dinh dưỡng: 648kcal/ ng y, CNLT b n y 5,4kg
— qa bệnh sử tiền căn gợi ý hệ cq n o: tim mạch, hh, ti u ho
— Kh m tim: c rung mi u ko ● Nh n: ● Sờ:
● Nghe: nhịp tim, tiếng tim b nh thường T1, T2, T3, T4, nghe m thổi, rung mi u — Kh m phổi:
● Nh n: co l m ngực, tần số
● Nghe: m phế b o hai b n, ran bệnh l — Bụng: ● Nh n ● Sờ
— Vi m phổi k o d i l tr n 14 ng y
— Vi m phổi t i ph t: 2 lần trong 6 th ng hoặc 3 lần trở l n trong thời điểm bất kỳ — Ðặt vấn đề
● Nhiễm tr ng h hấp dưới
● Tim bẩm sinh (đợt n y c thể c tật kh c k m theo, nguy n tắc tr nh bỏ s t c thể l đơn thuần hoặc kết hợp bệnh l kh c) ● Theo d i suy tim mạn ● SDD cấp nặng
● Tiền căn TLT- vi m phổi t i ph t Biện luận TBS:
● Cho Xquang v o bước 2, b c SDD cx c thể g y vi m phổi t i đi t i lại,
● Bước 3: cho th m ECG v o v nếu d y đồng t m tr n Xquang cũng ko thấy, tay c thể sờ ko ch nh x c
● Bước 4: cho th m si u m tim v o để tăng mức chẩn đo n tăng p phổi l n (v T2= A2 + P2, b n y nhỏ kh pb kh c
nhau giữa c c vị tr , lỡ A2 lớn th sao) — Xquang:
● Double check: LS, CLS: t m hay ko t m: da ni m hồng spo2 97 => ko t m, tăng tuần ho n phổi: vi m phổi t i
ph t, thở nhanh co l m, xquang b n y phổi mờ c thể vi m phổi + tăng tuần ho n phổi lun, tim: xquang mỏm
tim ở KLS V --> lớn thất T, harzer m, nhĩ P, T ko lớn, g c ho nh nhọn, +- lớn thất P ,l m s ng mỏm tim ksl V,
harzer dương, c tăng p phổi ko:
l m s ng T2 tbhg, cls si u m, P= Q x R, ● Bước 5: tật tim ở đu:
● > ko t m: ko c shunt P-T, tăng tuần ho n phổi: shunt T-P, hậu quả lớn hai thất, +- tăng p phổi, kết hợp si u m
tim: PFO + VSD. VSD thg gặp nhiều nhất. K nh nhĩ thất thường gặp ở BN c HC Down
Tim chiều dọc: 6 tầng: Tầng TM, tầng nhĩ, tầng van, tầng thất, tầng van ÐM, tầng ÐM lOMoAR cPSD| 59981978 —
— Ko t m:biến chứng: chậm ph t triển, sdd, vi m nội t m mạc nhiễm khuẩn, suy tim, tăng p phổi, vi m phổi
Suy tim cấp : c bệnh cảnh Sốc tim, ph phổi cấp, đột tử (ph n biệt suy tim cấp v suy tim mạn dựa v o ls — bệnh cảnh)
Bảng cross xem c suy tim ko, bảng 2 để ph n độ —
CÐXÐ: Th ng li n thất + PFO - biến chứng SDD cấp mđ nặng - vi m phổi - suy tim mạn độ III theo Cross (YT th c đẩy
thiếu m u, rl điện giải, vi m phổi, nhiễm tr ng)- biến chứng tăng p phổi giai đoạn I > xem huyết đồ, ion đồ, xquang, crp
— Cơ chế suy tim: tim c chức năng bơm m u (t m thu), nhận m u (t m trương), c i g l m cơ tim bẹt (tiền tải v
hậu tải), thất l nơi chịu nh u p lực nhất, nhĩ th t li n quan ● Suy tim t m thu (thất P hay thất T)
Tim b p ko được: thất T dựa v o EF (b nh thường EF tr n 54)/ thất P dựa v o cung lg tim , CO= HR x SVR (SVR
phụ thuộc v o tiền tải, hậu tải v sức co b p cơ tim) --> dựa v o dấu hiệu gi n tiếp --> thất P b p đc sẽ đưa m u l
n phổi --> dựa v o tuần ho n phổi --> Xquang v nhịp tim) (b n y c tăng tuần ho n phổi --> m u l n phổi đc, nhịp
tim 140 bthg --> chứng tỏ sức co b p tốt --> cung lg tim thất P ổn
=> Dựa v o Xquang v nhịp tim để đ nh gi cung lg tim thất P
● Suy tim t m trương (Thất P hay thất T) (dựa v o si u m): nghĩa l thất ko d n ra đc, trong bệnh cơ tim ph đại, ph
đại đồng t m th ko d n ra đc (b n y si u m ko d y thất, suy t m trương khi thất d y) => Dựa v o si u m
● hậu tải g y tăng g nh t m thu (thất P hay T), thất P RVOT (-), thất T LVOT:
Hậu tải li n quan tới hẹp, hẹp LVOT thất T, hẹp RVOT thất P --> li n quan đến bệnh l hẹp dưới van, tại van, tr n
van => si u m thấy ÐMP bthg ko hẹp
● tiền tải g y tăng g nh t m trương (thất P hay T), thất T (+)
Tiền tải về nhiều dẫn tới d n, b n y c d n thất T, ko c d n thất P
=> cơ chế suy tim b n y l tăng g nh t m trương thất T, chưa suy chức năng t m thu
=> Cơ chế suy tim dựa v o si u m, chỉ cần Xquang để đnh gi cung lượng tim thất P thoi
— Yếu tố th c đẩy suy tim nặng hơn dựa v o Xquang, huyết đồ, CRP, ion đồ xem c thiếu m u, vi m phổi, rl điện giải — EF bthg tr n 54
— Mục ti u Hb tr n 9g/dL ở tăng p phổi. Tr n 6 th ng mới điện di được
— Ðiều trị: mục ti u điều trị nội khoa v điều trị biến chứng
● Vi m phổi: theo hướng vi m phổi bệnh viện (80% gram m, 10% gram dương, 10% nấm v kị kh ) => đnh tập trung Gram m => cepha 4
● Tăng p phổi do tăng lưu lg trong suy tim: lợi tiểu + UCMC
● B n y suy tim do tăng g nh t m trương, chưa suy chức năng t m thu chưa cần d ng digoxin tăng co b p
● Ðiều trị hỗ trợ: CNLT 5,4kg, 120kcal/kg/ng y, sữa f67, nhu cầu 648kcal, 140kcal /cử x7 cử