


















Preview text:
lOMoAR cPSD| 58490434
CHẨN ĐOÁN SIÊU ÂM GAN VÀ ĐƯỜNG MẬT
1. CÁC PHƯƠNG PHÁP SIÊU ÂM
1.1. Siêu âm qua đường bụng
Kỹ thuật thăm khám siêu âm.
Chuẩn bị: bệnh nhân phải nhịn đói. Nếu bệnh nhân nhiều hơi cần phải chuẩn
bệnh nhân kỹ hơn để tránh hơi (chế độ ăn, thuốc).Tuy nhiên, trong những trường
hợp cấp cứu không nhất thiết bệnh nhân phải nhịn đói. Cần thăm khám lâm sàng trước khi khám siêu âm.
Máy siêu âm: Nên có nhiều đầu dò với tần số khác nhau, nhưng nói chung
thường dùng đầu dò tần số 3,5MHz cho người lớn và tần số 5MHz cho trẻ em, và
nên dùng đầu dò cong lồi. Nếu cần phát hiện những tổn thương nông trên bề mặt
gan đôi khi cần sử dụng đầu dò với tần số 6.5-7,5MHz.
Kỹ thuật thăm khám (phần này sẽ được trình bày chi tiết ở phần định khu
giải phẫu gan). Bệnh nhân nằm ngửa, hít vào sâu và nín thở để hạ thấp gan xuống
và tránh hơi trong đại tràng. Khi cần bộc lộ cuống gan hoặc thuỳ sau gan phải nên
cho bệnh nhân nằm nghiêng trái. Thăm khám được thực hiện bằng các lát cắt dọc,
cắt ngang một cách liên tục. Các lớp cắt chéo theo trục của rốn gan và theo vị trí của
túi mật được thực hiện khi muốn bộc lộ các thành phần này. Các lát cắt qua các
khoảng liên sườn, cắt qua đường nách rất có ý nghĩa để thăm khám những vùng cao
của gan (hạ phân thuỳ VII, VIII) và phân thuỳ sau (gồm hạ phân thuỳ VI,VII) đồng
thời để tránh hơi của ống tiêu hoá. Khi muốn định khu các vùng của gan cần thiết
phải thực hiện các lát cắt cơ bản. Một điều không thể thiếu trong siêu âm gan-mật
đó là cần phải kết hợp thăm khám siêu âm toàn bộ ổ bụng.
Ngoài kỹ thuật siêu âm qua đường bụng có thể siêu âm qua nội soi, siêu âm trong
mổ, siêu âm mổ nội soi ổ bụng.
2. HÌNH ẢNH GAN, ĐƯỜNG MẬT BÌNH THƯỜNG
2.1. Hình ảnh siêu âm gan, đường mật bình thường
2.1.1.Cấu trúc đường viền của gan: thường rõ nét và đều đặn, nhưng đôi khi có
một số chỗ gồ lên. Theo Weill đường viền của gan có thể có 5 chỗ gồ lên: Trên lát
cắt ngang có 3 chổ lối đó là chỗ lồi dưới bờ sườn, chỗ lồi của thuỳ đuôi và thuỳ
vuông. trên lát cát dọc có chỗ lồi lên dưới thận và chỗ lồi lên ở vùng vòm gan.
2.1.2. Cấu trúc nhu mô gan: Cấu trúc siêu âm gan mịn, đều, bảo hoà âm một cách
dễ dàng. Đậm độ âm nhu mô gan thường thấp hơn nhu mô tuỵ và cao hơn nhu mô thận và lách.
2.1.3. Cấu trúc hình ống trong nhu mô gan: bao gồm các mạch máu và đường mật.
Hệ thống tĩnh mạch cửa có cấu trúc hình ống rỗng âm với thành nét và đậm
âm. Chúng phân nhánh từ rốn gan vào các thuỳ và hạ phân thuỳ.
Các tĩnh mạch gan là cấu trục ống đổ vào tĩnh mạch chủ dưới, lòng rỗng âm,
không có đường viền của thành, đường kính thay đổi theo nhịp thở nhưng ở vùng
hợp lưu đường kính không vượt quá 1cm . lOMoAR cPSD| 58490434
Đường mật trong gan đi kèm song song phía trước các nhánh của hệ thống
tĩnh mạch cửa, nhưng ở trạng thái bình thường đường mật trong gan không nhìn
thấy được trên siêu âm. Có thể nhìn thấy nhánh đường mật trái và phải ngay trước
hợp lưu với đường kính 4mm.
Động mạch gan và các nhánh của nó phân chia theo hệ thống tĩnh mạch cửa
nhưng ít được nhìn thấy.
2.1.4. Các cấu trúc cuống gan
Tĩnh mạch cửa được tạo thành từ hợp lưu tĩnh mạch lách và tĩnh mạch mạc
treo tràng trên, là cấu trúc tuỳ hành để tìm đường mật ngoài gan. Đường kính tĩnh
mạch cửa ngay sau hợp lưu không vượt quá 14mm.
Đường mật ngoài gan bao gồm đoạn hợp lưu của nhánh đường mật gan phải
và trái, ống gan chung và ống mật chủ (đường mật chính). Đường mật chính nằm
trước tĩnh mạch cửa với đường kính 7mm. Tuy nhiên, ở người già đường kính
ống mật chủ có thể tới 10mm .
Có thể thấy được động mạch gan đi cùng với tĩnh mạch cửa và đường mật chính.
Túi mật: nằm trong hố túi mật giữa hạ phân thuỳ V bên phải và phân thuỳ IV
bên trái, thường có hình thoi đôi khi có hình cầu. Túi mật bao gồm đáy, thân và cổ
đổ vào ống túi mật. Thành túi mật bình thường là một viền tăng âm đều, nét, độ dày
không quá 3mm. Kích thước túi mật rất thay đổi, trung bình chiều dọc từ 810cm và
chiều ngang 3cm, khi chiều ngang vượt quá 4cm được coi là bất thường. Dịch mật
trong túi mật không có âm.
2.1.5. Một số cấu trúc khác
Dây chằng liềm là một dải tăng âm giữa thuỳ phải và thuỳ trái ít khi được
nhìn thấy, trừ khi lát cắt đi đúng mặt phẳng của nó. Ngược lại, dây chằng tròn rất
hay thấy trên lát cắt ngang dưới dạng một cấu trúc tròn, rất tăng âm nằm giữa thuỳ phải và thuỳ trái.
3. CÁC KHỐI U GAN LÀNH TÍNH 3.1.Nang gan
Chẩn đoán xác định
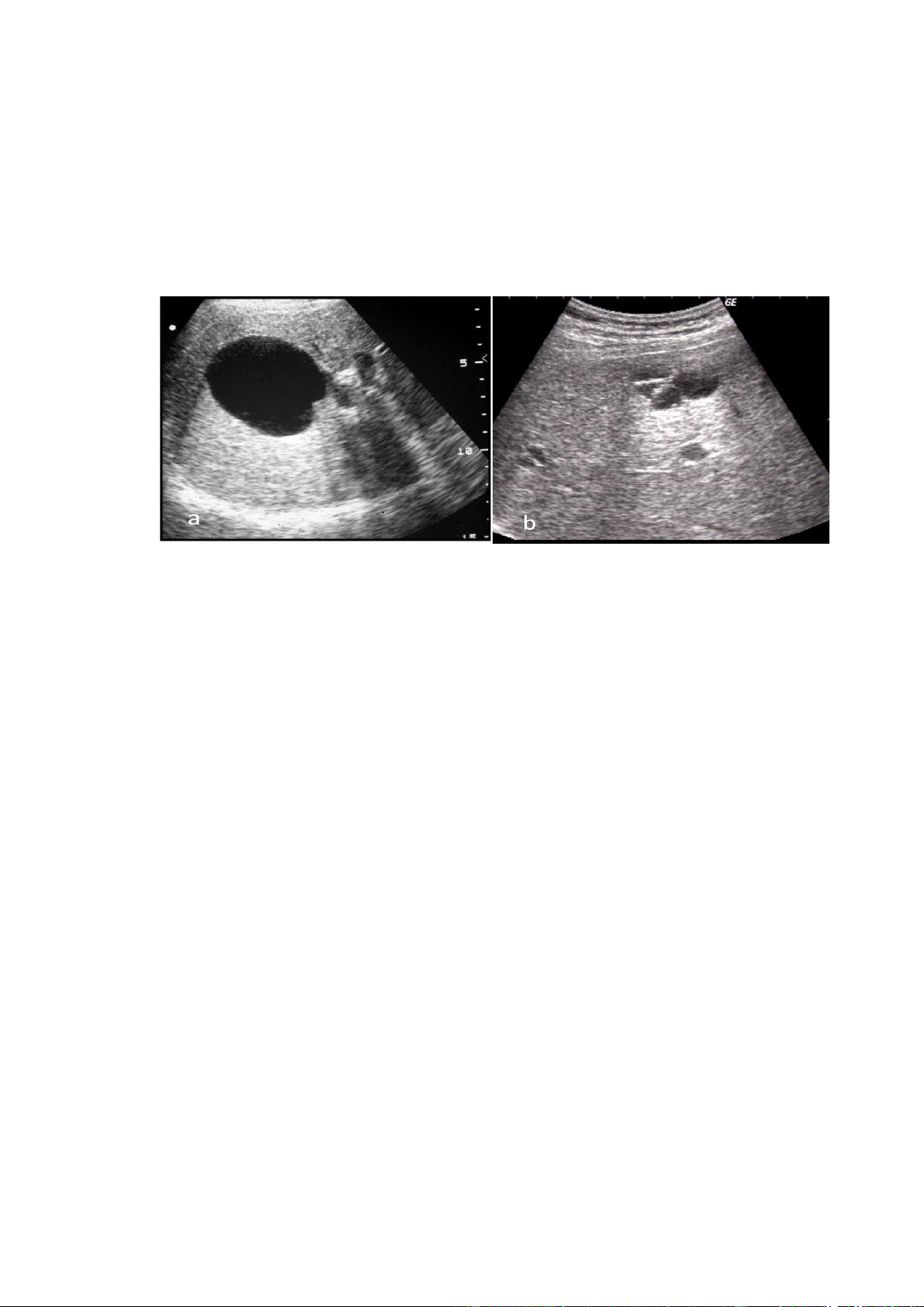
Nang gan biểu hiện bằng vùng rỗng âm tròn hoặc bầu dục với hình tăng âm
phía sau. Thành nang mảnh và rõ nét. Nhu mô gan xung quanh nang hoàn toàn bình thường.
Thường có một hoặc hai nang. Trong trường hợp nhiều nang thì hình ảnh
siêu âm của mỗi nang không thay đổi. Một số các trường hợp gan đa nang thường
kèm theo thận đa nang gọi là bệnh gan-thận đa nang, đôi khi kèm theo tụy đa nang.
Bệnh gan-thận đa nang thường có tính chất gia đình.
Chẩn đoán phân biệt
Nang gan có thể nhầm với: lOMoAR cPSD| 58490434
- Khối u đặc hoại tử nhiều hoặc áp xe gan. Trong những trường hợp này trên
siêu âm thấy thành khối tổn thương thường dày, bờ nham nhở, không rõ nét, vùng
dịch không hoàn toàn rỗng âm.
-Khối u đặc ít âm như u bạch huyết (lymphome) thường không kèm theo dấu
hiệu tăng âm phía sau, đồng thời sự bảo hoà âm của khối đặc thường nhanh hơn.
Trong trường hợp gan đa nang chẩn đoán phân biệt có thể phải đặt ra với
những bệnh lý giãn đường mật nhất là giãn đường mật trong gan bẩm sinh trong bệnh Caroli.
Hình.3.1. a. Nang gan điền hình không có vách với hình rỗng âm và tăng âm phía
sau; b. Nang gan có vách ngăn. 3.2.U máu gan
U máu gan rất hay gặp, chiếm khoảng 4-7% dân cư, có thể gặp ở mọi lứa tuổi
nhưng thường được phát hiện ở lứa tuổi 30-50, chiếm ưu thế ở nữ giới
Về mặt giải phẫu bệnh, u máu có hai loại: u máu thể hang (hémangiome
caverneux) bao gồm các hồ máu mà thành được lát bởi một lớp tế bào biểu mô dẹt
và u mao mạch (hémangiome capillaires) gồm các cuộn mao mạch nhỏ.
Chẩn đoán siêu âm
Thể điển hình
Chẩn đoán siêu âm u máu gan thường dễ đối với các khối u có kích thước
nhỏ (dưới 3cm đường kính). Khoảng 70-80% các trường hợp u máu có dấu hiệu siêu
âm điển hình biều hiện bằng một khối tăng âm đồng nhất hoặc lấm chấm, giới hạn
rõ với đường bờ tròn hoặc có nhiều vòng cung, thường nằm ở vùng dưới bao hoặc
tiếp giáp với một tĩnh mạch gan, không bao giờ có viền giảm âm bao quanh khối u
và đôi khi kèm theo dấu hiệu tăng âm phía sau. Tuy nhiên, Tăng âm phía sau khối
u không phải là dấu hiệu đặc trưng của u máu gan. Nhu mô gan xung quanh khối lOMoAR cPSD| 58490434 bình thường.
Hình. a và b. U máu điển hình
Hình. U máu không điển hình
a. U máu ít âm trên gan nhiễm mỡ
b. U máu không điển hình với những vùng giảm âm ở trung tâm
c. U máu lan toả giống như bản đồ d. U máu thể hang
Thể không điển hình
Thể không điển hình bao gồm các thể giảm âm, đồng âm và âm không đều.
U máu gan có thể giảm âm so với nhu mô gan xung quanh trong trường hợp gan
nhiễm mỡ nhiều. Cấu trúc âm không đều thường thấy ở những u gan có kích thước
lớn. Nó biểu hiện bằng một tổn thương có vùng ngoại vi tăng âm dạng u máu điển
hình và vùng trung tâm giảm hoặc rỗng âm. Cấu trúc này tương ứng với các tổn
thương xơ hoá, huyết khối, hoặc chảy máu trong khối u, đôi khi có thể có vôi hoá
trong khối. U máu thể đồng âm thường rất hiếm và dễ bỏ sót trên siêu âm. U máu lOMoAR cPSD| 58490434
thể hang thường hiếm gặp hơn, biểu hiện bằng vùng tổn thương có vỏ với nhiều hồ
dịch nhỏ, thành dày tăng âm. Một số trường hợp u máu lan toả chiếm cả một thuỳ
gan hay như hình bản đồ, đôi khi khối u có hai phần một phần nằm trong gan và một
phần nhô lên khỏi bờ gan.
Nếu u máu có cấu trúc không điển hình thì nên cho bệnh nhân chụp cắt lớp
vi tính hoăc cộng hưởng từ để xác định thêm.
3.3. Tăng sản thể nốt khu trú (hyperplasie nodulaire focale- HNF)
Tăng sản thể nốt khu trú là một tổn thương tế bào gan lành tính, ít gặp, thường
được phát hiện tình cờ khi khám lâm sàng, soi ổ bụng hoặc siêu âm. Các xét nghiệm
sinh hoá gan đều bình thường.
Chẩn đoán siêu âm
Tăng sản thể nốt thường dễ bỏ sót trên siêu âm, đồng thời các dấu hiệu siêu
âm cũng không đặc hiệu, vì khối thường đồng âm hoặc chỉ hơi tăng âm nhẹ so với
nhu mô gan, khối thường có hình tròn hoặc có thuỳ, không có vỏ hoặc giả vỏ bao
quanh. Việc phát hiện khối thường dựa vào sự đè đẩy các mạch máu hoặc làm biến
dạng bờ gan của khối. Trung tâm khối có thể thấy các dải tăng âm hình sao tương
ứng với các dải xơ, dấu hiệu này gợi ý nhiều cho chẩn đoán tăng sản thể nốt.
Trên siêu âm doppler màu có thể thấy ở vùng trung tâm khối tín hiệu dạng động mạch.
Hình 4.3. a. Siêu âm 2D hình khối đồng
âm với dải tăng âm hình sao trung tâm \
4.4. U tuyến tế bào gan
U tuyến tế bào gan là khối u lành tính tiến triển chậm và có nguy cơ ung thư
hoá. Nguyên tắc điều trị đối với u tuyến là phẫu thuật để tránh nguy cơ này. lOMoAR cPSD| 58490434
Hình 4.4.. U tuyến chụp cắt lớp vi tính và siêu âm
Chẩn đoán siêu âm
Siêu âm cho thấy khối đặc tròn hoặc bầu dục, giới hạn rõ, cấu trúc âm thường
ít phân biệt với nhu mô gan: tăng âm, giảm âm hoặc đồng âm, đa số các trường hợp
cấu trúc âm đều, nhưng cũng có các trường hợp vùng trung tâm giảm âm hơn hoặc
rỗng âm do hoại tử hoặc do chảy máu. Vùng ngoại vi khối u có thể thấy một viền
giảm âm mỏng tương ứng với vỏ khối. Các mạch máu quanh khối u bị đè đẩy chứ
không bị xâm lấn. Chẩn đoán phân biệt u tuyến tế bào gan với ung thư nhiều khi khó khăn.
4. CÁC KHỐI U GAN ÁC TÍNH
4.1.Ung thư tế bào gan
Ung thư tế bào gan chiếm khoảng 95% các khối u gan ác tính, thường xuất
hiện trên một gan bệnh lý, nhất là xơ gan (khoảng 70%). Các yếu tố nguy cơ: Viêm
gan B và C, rượu, nhiễm sắc tố sắt.
Về mặt đại thể ung thư tế bào gan có 4 thể: thâm nhiễm đám, thể khối (hay
gặp) thể phối hợp và thể lan toả.
Về xét nghiệm: FP tăng trong khoảng 60-70% các trường hợp ung thư tế bào gan.
Chẩn đoán siêu âm
Thể hình khối biểu hiện là khối tròn thường tăng âm hơn vùng nhu mô gan
lành. Khoảng 25% khối ung thư tế bào gan giảm âm, những khối giảm âm thường
có kích thước bé. Cấu trúc âm tương đối đồng nhất. Quanh khối thường kèm theo
viền giảm âm. Những khối u lớn thường có cấu trúc âm không đều, trung tâm có thể
có vùng rỗng âm do hoại tử hoặc chảy máu trong khối và đôi khi có các nốt vôi hoá.
Kích thước khối rất thay đổi từ vài cm đến trên 10cm, chiếm hết cả một thuỳ hay toàn bộ gan.
Thể thâm nhiễm lan toả thể này chiếm khoảng 10-20%, nó thường biểu hiện
dưới dạng rất nhiều nốt nhỏ tăng âm rải rác khắp nhu mô gan tạo nên bệnh cảnh gan
to không đều. Nhưng một số tác giả đã phát hiện một số trường hợp ung thư tế bào lOMoAR cPSD| 58490434
gan thâm nhiễm lan toả không có nốt, chỉ biểu hiện dưới dạng gan to đồng nhất. Thể
này rất khó chẩn đoán trên siêu âm.
Ngoài những dấu hiệu trực tiếp của khối u như mô tả trên, ung thư gan có thể
có các dấu hiệu gián tiếp sau: huyết khối tĩnh mạch cửa, tĩnh mạch gan, hạch ổ bụng
hoặc sau phúc mạc, các dấu hieuẹ của xơ ganv.v.
Những yếu tố khó khăn trong chẩn đoán siêu âm ung thư tế bào gan -
Thể thâm nhiễm lan toả trong nhu mô gan.
-Thể khối đồng âm với nhu mô gan, phát hiện dựa vào viền giảm âm quanh
khối, biến dạng bờ gan, đè đẩy các cấu trúc đường ống trong gan (tĩnh mạch cửa,
tĩnh mạch gan, đường mật).
-Tổn thương nông hoặc nằm ở vùng vòm gan. Đối với loại tổn thương này
cần thay đổi tần số đầu dò, chọn cửa sổ siêu âm thích hợp.
- Những bệnh nhân béo, lực lưỡng hoặc những bệnh nhân có nhiều hơi trong ống tiêu hoá.
Tóm lại, siêu âm là phương pháp tốt để phát hiện ung thư tế bào gan, nhưng
độ đặc hiệu thấp cần phối hợp với các phương pháp chẩn đoán khác để chẩn đoán xác định.
4.2. Ung thư tế bào đường mật trong gan (Carcinome cholangiocellulaire
intrahéptique) là ung thư biểu mô đường mật các nhánh phân thuỳ nên biểu hiện
như một khối u của gan.
Hình ảnh siêu âm cho thấy khối giới hạn rõ, đường viền có nhiều vòng cung,
ít âm, quan sát kỹ có thể thấy cấu trúc hình ống trong khối u và đường mật trong
gan phía thượng có thể giãn. Ung thư tế bào đường mật trong gan dễ bị bỏ sót khi
khối u phát triển trên cơ sở bệnh lý đường mật cũ, nhất là sỏi mật. Những trường
hợp này khi siêu âm có dấu hiệu nghi ngờ cần chỉ định chụp cắt lớp vi tính hoặc tốt
nhất là chụp cộng hưởng từ.
Ngoài các khối u ác tính kể trên còn có thể gặp các khối u ác tính khác ở gan như:
ung thơ tế bào xơ dẹt, u máu ác tính, u tuyến dạng nang ác tính, định khu lymphome
ở gan, u nguyên bào gan ác tính (hay gặp ở trẻ nhỏ). lOMoAR cPSD| 58490434
Hình 4.1 . U tế bào gan ác tính
a. Khối u tăng âm với viềm giảm âm xung quanh và hoại tử trung tâm
b. Khối u đồng âm với viền giảm âm xung quanh khối
c. Huyết khối tĩnh mạch cửa d. Di căn hạch 4.3. Di căn gan
Khoảng 40% các khối u ác tính có thể di căn gan, trong đó 95% các khối
nguyên phát thuộc hệ thống vùng lấy máu của hệ thống cửa (dạ dày, ruột non, đại
tràng, tuỵ và đường mật). Ngoài ra các khối u nguyên phát có thể là vú, phổi, tuyến
giáp, các cơ quan sinh dục-tiết niệu. Tổn thương di căn thường có một vài khối nhỏ
trên nền gan lành. Đôi khi có nhiều khối hoặc một khối lớn. Các xét nghiệm sinh
học như định lượng ACE có độ nhạy cao trong việc phát hiện di căn nhưmg không đặc hiệu. u.
Hình 4.3.1. Ung thư đại tràng di căn gan lOMoAR cPSD| 58490434
a. Di căn thể nhiều nốt nhỏ rải rác trong nhu mô với các hình tăng âm nhẹ
và viền giảm tỷ trọng bao quanh; b. Di căn thể một khối lớn tăng âm nhẹ,
vôi hoá nhỏ và viền giảm âm rõ.
Hình 4.3.2.. a. Di căn của ung thư biểu mô vòm họng
b. Di căn của ung thư buồng trứng; c. Di căn của ung thư hạch
Hình ảnh siêu âm:
Hình ảnh siêu âm của di căn gan rất đa dạng, có hai thể chính: thể nốt đặc,
thể dạng nang và thể lan toả.
Thể khối đặc biểu hiện bằng khối tăng âm, ít âm hoặc đồng âm với một viền
giảm âm rõ nét và rộng Các khối này xuất hiện trên nền gan lành. Nếu khối nằm ở
phần nông có thể gây biến dạng bờ gan, có thể đè đẩy các mạch máu và đường mật
trong gan. Di căn thương có nhiều khối với kích thước khác nhau.
Di căn thể nang thường có thành nang dày và tăng âm. Nó có thể có lắng cặn
với mức dịch-dịch, dạng này hay gặp trong di căn của ung thư cơ trơn, ung thư hắc
tố, ung thư tuyến dạng nang, ung thư nhầy.
Di căn thể vôi hoá thường là vôi hoá nhỏ rải rác hay gặp ung thư dạng dịch
nhầy của đại tràng hoặc của buồng trứng.
Di căn giàu mạch máu thường thấy ở các khối u nội tiết ( u carcinoide, tuỵ,
vỏ thượng thận), ung thư tế bào rau thai, ung thư thận.
Di căn thể thâm nhiễm lan toả: Tổn thương lan toả thành bè, cấu trúc khó xác
định thường thấy trong ung thư thận.
Di căn bạch huyết: Tổn thương thành dải phân nhánh theo tĩnh mạch cửa. lOMoAR cPSD| 58490434
5. MỘT SỐ BỆNH LÝ GAN LAN TOẢ, TĂNG ÁP LỰC TĨNH MẠCH CỬA 5.1. Xơ gan
Chẩn đoán hình ảnh chẩn đoán xơ gan dựa trên những thay đổi về hình thái của gan Hình ảnh siêu âm
Giai đoạn sớm gan có thể to toàn bộ, tăng âm và giảm âm vùng sâu, các mạch
máu vùng ngoại vi của gan khó nhìn thấy hơn.
Giai đoạn muộn hình dáng của gan thay đổi nhiều:
-Bờ gan mấp mô, dấu hiệu này dễ thấy hơn ở thể xơ gan nốt lớn, nhất là khi
đã có dịch cổ chướng và nên dùng đầu dò với tần số cao (5MHz) khi tìm dấu hiệu này. - Phì đại phân thuỳ I:
+Theo Seitz tỷ lệ phân thuỳ I/ gan trái trên lớp cắt dọc qua tĩnh mạch chủ dưới < 0,35 (hình 1) -Teo nhỏ thuỳ gan phải
-Hình ảnh tăng áp lực tĩnh mạch cửa -
Thay đổi ở túi mật:thành túi mật dày, trong trường hợp này có nhiều nguyên
nhân(giảm proteine máu, giãn tĩnh mạch thành túi mật do tăng áp lực tĩnh mạc cửa) -
Siêu âm Doppler: cho thấy những thay đổi mạch máu trong gan theo
hướngngoằn ngoèo và mảnh hơn. Đồng thời siêu âm Doppler cho phép đánh giá có
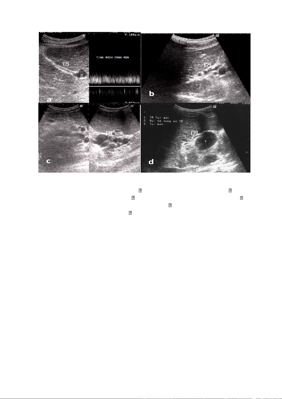
tăng áp lực tĩnh mạch của hay không. TMC\
Hinh 5.1. Hình ảnh siêua âm xơ gan:
a. Bờ gan mấp mô () và nhu mô gan
không đều, b. Cách đo để đáng giá tỷ lệ
phân thuỳ I trên gan trái: Nhánh trái
tĩnh mạch cửa (V) tĩnh mạch chủ
( TMC), c. Gan phải teo nhỏ, dịch cổ
chướng và bờ gan mấp mô lOMoAR cPSD| 58490434 5.2. Gan nhiễm mỡ
Gan nhiễm mỡ là tình trạng quá tải mỡ trong tế bào gan. Hiện nay theo thuật ngữ
chuyển hoá người ta gọi là rối loạn chuyển hoá mỡ của tế bào gan. Nguyên nhân có
nhiều: do rượu, béo phì, đái đường, nuôi dưỡng ngoài đường tiêu hoá, liệu pháp điều
trị corticoite, điều trị hoá chất, hội chứng gan tim, gan nhiễm độc .v.v. Chẩn đoán
hình ảnh: Cần phân thành gan nhiễm mỡ lan toả đồng nhất và gan nhiễu mỡ khu trú không đông nhất
5.2.1. Gan nhiễm mỡ lan toả đồng nhất
Nhu mô gan tăng âm và bảo hoà âm vùng sâu nhanh làm cho gan sáng hơn bình
thường. Đôi khi cần so sánh đậm độ gan- thận, trong trường hợp gan nhiễm mỡ sự
chênh đậm độ gan-thận tăng. Sự tăng đậm độ nhu mô gan làm cho khó nhìn thấy
các mạch máu trong gan (gan mịn hơn), đồng thời cũng làm cho một số tổn thương
tăng âm hơn nhu mô gan bình thường trở thành giảm âm hơn trong gan nhiễm mỡ.
Gan nhiễm mỡ thường lan toả toàn bộ gan, nhưng cũng có trường hợp chỉ
nhiễm mỡ khu trú ở một thuỳ hoặc một phân thuỳ. Trong trường hợp này thuỳ bị
nhiễm mở tăng đậm độ một cách đồng nhất và chiếm một thuỳ hay phân thuỳ ,
nhưng cấu trúc của mạch máu không thay đổi.
5.2.2. Gan nhiễm mỡ lan toả không đồng nhất: có 2 loại
Gan nhiễm mỡ thành bè tăng âm lan toả trong nhu mô gan lành ít âm hơn (dạng
bản đồ địa chất). Hai tiêu chuẩn để chẩn đoán phân biệt với các tổn thương khác:
- Không có sự đè đẩy các cấu trúc mạch máu và bờ gan ở cả hai vùng tăng âmvà giảm âm
- Các cấu trúc mạch máu đi vào các vùng tăng hoặc giảm âm không thay đổi
vềđường đi cũng như khẩu kính.
Những đảo tổ chức gan bình thường trên nền gan nhiễm mỡ lan toả tạo nên hình
ảnh gan không đồng nhất. Những đảo tổ chức gan lành sẽ ít âm hơn trên nền gan
tăng âm do nhiễm mỡ.Các đảo tổ chức gan lành hay gặp ở vùng phân thuỳ IV gần
rốn gan và dễ chẩn đoán nhầm với u gan. Chẩn đoán phân biệt cũng dựa vào hai tiêu chuẩn nêu trên. lOMoAR cPSD| 58490434
Hình 5 2 : a. Gan nhiễm mỡ lan toả tăng
âm so với thận; b. Gan nhiễm mỡ lan toả
với phân thuỳ sau gan phải không nhiễm
mỡ ( ) , c. đảo gan không nhiễn mỡ trên
nền gan nhiễm mỡ lan toả ( )
5.3. Tăng áp lực tĩnh mạch cửa
5. 3.1.Định nghĩa
Tăng áp lực tĩnh mạch cửa được xác định khi áp lực tĩnh mạch cửa trênb
15mmHg và chênh áp cửa chủ trên 5mmHg. Ba vị trí tắc gây tăng áp lực tĩnh mạch
cửa: Sau gan (tĩnh mạch gan, tĩnh mạch chủ dưới), tại gan và trước gan (tĩnh mạch
cửa).Tăng áp lực tĩnh mạch cửa gây nên giãn tĩnh mạch ở vùng thượng lưu vùng tắc
và/hoặc phát triển các hệ thống tuần hoàn bàng hệ hệ thống tĩnh mạch chủ hoặc hệ
thống tĩnh mạch cửa vùng hạ lưu chổ tắc. Biến chứng tăng áp lực tĩnh mạch cửa :
dịch cổ chướng, chảy máu tiêu hoá, hôn mê gan.
5.3.2. Hình ảnh siêu âm bao gồm các dấu hiệu sau: -
Tĩnh mạch cửa giản với đường kính trên 13mm. Đường kính này ít thay đổi
khihít vào sâu và đồng thời cũng ít thay đổi trước và sau bữa ăn. lOMoAR cPSD| 58490434
Hình 5.3.. Các đường đổi dòng cửa-chủ:
a. Tái lập tĩnh mạch cạnh rốn ( ) bắt đầu từ nhánh trái tĩnh mạch cửa ( )
b. Tĩnh mạch vành vị giãn ( ): hợp lưu tĩnh mạch lách-mạc treo tràng trên ( );
c. Tĩnh mạch vùng rốn lách giãn thành búi ( )
d. Tĩnh mạch túi mật giãn ) -
Các đường đổi dòng cửa-chủ biểu hiện các dấu hiệu sau:
+Tái lập tĩnh mạch cạnh rốn
+ Đổi dòng sang tĩnh mạch vành vị làm tĩnh mạch này giãn
+Đổi dòng qua các tĩnh mạch lách-thận. Trong trường hợp này tĩnh mạch
thận trái thường giãn. Sự đổi dòng này gặp trong khoảng 48% các trường hợp tăng
áp lực tĩnh mạch cửa. Trên siêu âm thường thấy tĩnh mạch vùng rốn lách giãn thành
búi ngoăn ngoèo, có thể thấy tĩnh mạch quanh thận trái và tĩnh mạch thận trái giãn.
+ Ngoài ra, tăng áp lực tĩnh mạch cửa có thể có các đổi dòng sang tĩnh mạch
mạc treo tràng dưới nối với tĩnh mạch chủ dưới qua hệ thống tĩnh mạch trực tràng,
qua phúc mạc nối hệ thống cửa và tĩnh mạch chủ dưới, vòng nối xuyên qua gan,
qua bao gan để nối với các tĩnh mạch phúc mạc. Các tĩnh mach cửa phụ của các dây
chằng treo gan có thể phát triển, chúng là những vòng nối liên gan và cơ hoành. -
Giãn tĩnh mạch túi mật. -
Các dấu hiệu khác có thể thấy lách to, dịch cổ chướng, động mạch hoá gan -
Siêu âm Doppler xung và màu có vai trò đánh giá lưu lượng dòng chảy cũng
nhưchiều dòng chảy và giúp tìm kiếm tuần hoàn bàng hệ dễ dàng hơn. lOMoAR cPSD| 58490434
6. MỘT SỐ BỆNH LÝ ĐƯỜNG MẬT 6.1. Sỏi đường mật
6.1.1...Sỏi đường mật chính hay sỏi đường mật ngoài gan có thể được hình thành
tại chỗ hoặc được di trú từ trong gan hoặc đôi khi từ trong túi mật.
Chẩn đoán siêu âm Chẩn đoán xác định
-Dấu trực tiếp của sỏi là hình đậm âm kèm bóng cản âm phía sau nằm trong
đường mật. Tuy nhiên, sỏi bùn chỉ biểu hiện bằng hình đậm âm không kèm theo bóng cản âm.
- Dấu hiệu gián tiếp là đường mật phía trên giãn, tuy nhiên dấu hiệu giãn
đường mật không thực sự đặc hiệu và mức độ giãn nhiều khi không tương xứng với
kích thước và số lượng sỏi. Đôi khi, sỏi được hình thành trên một mảnh xác giun,
siêu âm thấy mảnh xác giun hình đường ray và hình đậm âm bao quanh kèm bóng
cản. Dịch mật phía trên sỏi có thể không trong mà kèm theo bùn mật hoặc mủ.
Chẩn đoán phân biệt: Sỏi đường mật ngoài gan có thể nhầm với: u đường mật
ngoài gan, u tuỵ (nhất là đối với sỏi bùn), sỏi đầu tuỵ trong viêm tuỵ mãn. Ngoài ra
sỏi nằm ở vị trí thấp nhiều khi khó phát hiện do do nằm ở vị trí sâu, do vứơng hơi trong tá tràng . lOMoAR cPSD| 58490434
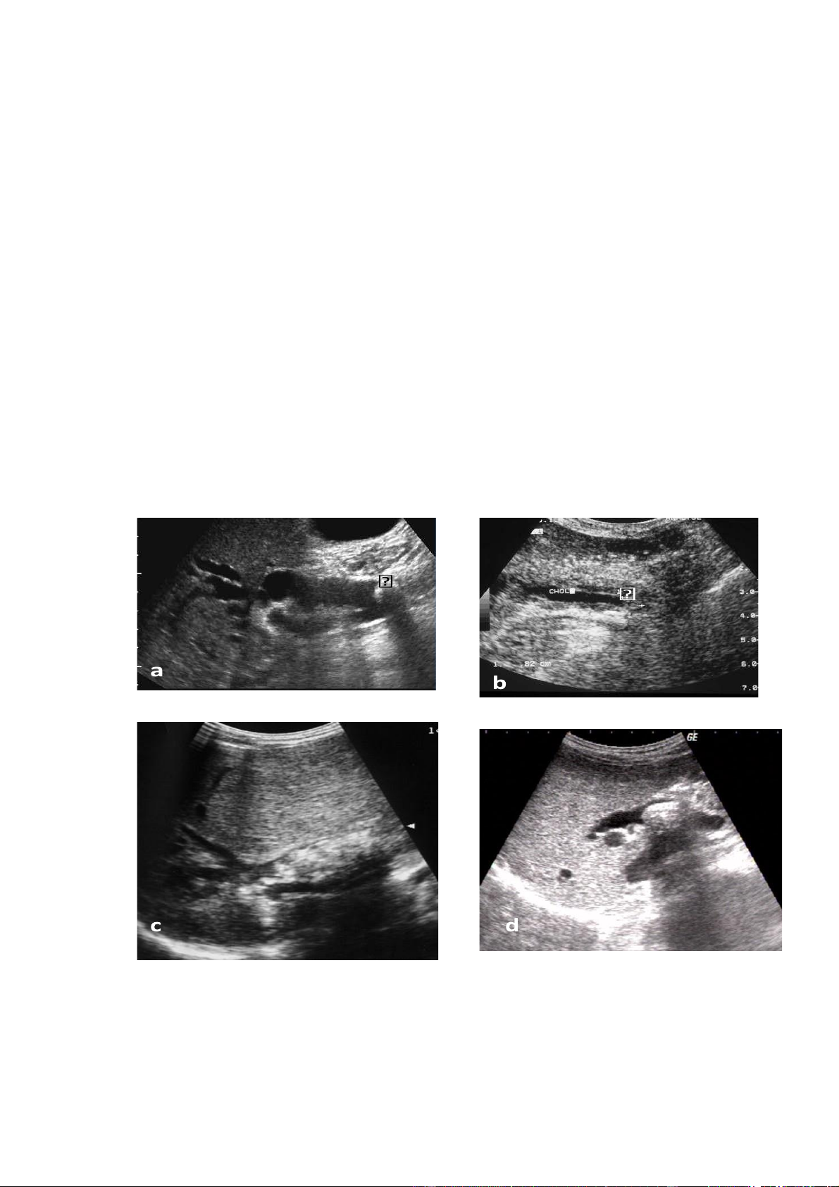
Hình 9. 1.1 Sỏi đường mật ngoài gan a: một
viên với hình đậm âm kèm bóng cản âm b.
Sỏi OMC đoạn thấp và kích thước
nhỏ:Hình đậm âm và bóng cản âm kém rõ( ).
c. Sỏi chất đầy đường mật ngoài gan d.
Sỏi có nhân là xác giun với hình đường ray ở trung tâm
e. Sỏi bùn OMC: Hình đậm âm không kèm bóng cản âm
6.1.2. Sỏi đường mật trong gan gặp nhiều ở Việt nam, sỏi được hình thành tại chỗ
do nhiễm trùng hoặc ký sinh trùng, đôi khi sỏi hình thành do những dị dạng đường
mật. Siêu âm là phương pháp chẩn đoán hữu hiệu nhất.
Chẩn đoán siêu âm: Chẩn đoán xác đinh.
Dấu hiệu trực tiếp và gián tiếp của sỏi trong gan cũng giống như sỏi đường
mật ngoài gan. Siêu âm cần chẩn đoán cụ thể vị trí của sỏi ở ống gan phải, ống gan
trái, ống thuỳ, phân thuỳ và hạ phận thuỳ và ảnh hưởng của nó tới đường mật phía
trên giúp định hướng phương pháp phẫu thuật điều trị. b a
Hình 6.1. 2 . Sỏi đường mật trong gan và chẩn đoán phân biệt
Sỏi nhánh phân thuỳ sau gan phải: Hình đậm âm kèm bóng cản âm và đường mật
thượng lưu giãn (mũi tên)
Vôi hoá nhu mô gan: Hình đậm âm (mũi tên) kèm bóng cản âm ( ) nằm vuông góc
với nhánh tĩnh mạch cửa và đường mật phía thượng lưu không giãn
Hơi trong đường mật: Hình đậm âm (mũi tên) dẹt và loé sàng hơn kèm theo hình
vệt tăng sáng phía sau, xen kẽ với hình bóng cản âm (mũi tên). 14
Dây chằng liềm: Cắt vuông góc với dây chằng liêm tạo nên hình đậm âm kèm bóng
cDownloaded by hoa lý (hoaly019283@gmail.com)ản ( ) cắt theo chiều dọc ( ) tạo nên hình
Chẩn đoán phân biệt sỏi trong gan cần đặt ra với: đậ ả lOMoAR cPSD| 58490434
Hơi trong đường mật thường có hình băng dẹt, sáng hơn, thường nằm vùng
ngoại vi hơn và nếu đường mật giãn to thì hơi thường nằm ở chổ cao, trong một số
trường hợp hơi có thể thay đổi vị trí khi thay đổi tư thế bệnh nhân.
Các nốt vôi hoá nhu mô gan thường năm vuông góc với nhánh tĩnh mạch cửa và
không giãn đường mật thượngl ưu.
6.1.3. Sỏi túi mật
Chẩn đoán siêu âm
Siêu âm túi mật tốt nhất nên được thực hiện khi bệnh nhân nhịn đói và không
dùng các thuốc lợi mật. Tuy nhiên, trong cấp cứu có thể siêu âm khi chưa chuẩn bị bệnh nhân.
Hình ảnh điển hình: -
Sỏi là hình đậm âm tròn hoặc bầu dục, đôi khi có hình vòng cung,
kèmbóng cản, di động dễ theo tư thế bệnh nhân. Bóng cản âm phía sau luôn có đối
với sỏi trên 3mm, tuỵ nhiên một tỷ lệ nhỏ sỏi bùn không kèm theo bóng cản.
Hình ảnh không điển hình: -
Túi mật chất đầy sỏi và co nhỏ tạo nên hai hình vòng cung một vòng
cungcủa thành túi mật và vòng cung thứ hai của sỏi kèm bóng cản, hoặc tạo nên
một hình vòng cung kèm bóng cản. Trong những trường hợp này, để tránh bỏ sót
tổn thương, cần lưu ý tìm cách lý giải nguyên nhân không thấy túi mật khi khám siêu âm. -
Bùn túi mật: một phần hoặc toàn bộ dung tích túi mật chất đầy bùn
mật,đôi khi bùn mật kèm theo nhiều sỏi rất nhỏ không kèm bóng cản.
Một số hình ảnh có thể nhầm sỏi túi mật: -
Hơi ống tiêu hoá (tá tràng hoặc đại tràng) Hình ảnh thay đổi trong
quátrình thăm khám. Polype túi mật: không thay đổi vị trí, không bóng cản.Nếp gấp
của túi mật: có thể thấy hình đậm âm kèm bóng cản ở một hướng cắt nào đó thẳng
góc với nếp gấp này. Chẩn đoán phân biệt dễ bằng cách thay đổi hướng cắt thì hình
bóng cản sẽ không còn. Hơi trong túi mật: bờ không nét, nằm ở vị trí cao và hình
bóng cản không thường xuyên. Sán lá gan trong túi mật: hình tròn. không bóng cản. Kẹp phẫu thuật.
Hạn chế của siêu âm trong chẩn đoán sỏi túi mât: sỏi nhỏ không kèm bóng cản,sỏi
nằm ở cổ hoặc ống túi mật, bệnh nhân béo, sẹo mổ ổ bụng hoặc hơi ống tiêu hoá nhiều. lOMoAR cPSD| 58490434
bHình. 6,1.3. sỏi túi mật a. Nhiều sỏi túi mật b.
sỏi phểu túi mật + viêm túi mật cấp c.
sỏi kẹt phểu và túi mật chất đầy bùn mât
6.1.4. Biến chứng của sỏi túi mật
6.14.1.Ứ nước túi mật cấp là tình trạng túi mật căng đau (chiều ngang túi mật trên
4cm), thành túi mật vẫn mỏng và sỏi nằm ở phễu hoặc ống túi mật.
6.1.4.2..Viêm túi mật cấp: có 2 thể
Viêm túi mật cấp hay gặp hay viêm túi mật thể nhẹ
Chẩn đoấn siêu âm : gồm các dấu hiệu sau
-Dày thành túi mật (trên 4mm) và rất gợi ý nếu thành dày kèm theo hình ảnh
2 bờ đều hoặc không đều. Tuy nhiên không có sự tương ứng giữa mức độ dày
thành và độ nặng của viêm túi mật. Tuy nhiên, cần phân biệt dày thành túi matạ do
viênm và doc ác nguyên nhân sau: sau khi ăn, dịch tự do ổ bụng, giảm albumin máu
viêm gan siêu vi trùng, suy tim, một số thể ung thư túi mật -
Sỏi và bùn mật: sỏi có thể có một hoặc nhiều, có thể kẹt ở cổ túi hoặc
ốngtúi mật hoặc nằm lẩn trong bùn mật. Một số trờng hợp viêm túi mật cấp không kèm theo sỏi
-Đau khi ấn đầu dò vào túi mật (dấu hiệu murphy échographique dương tính) là
một dấu hiệu khá đặc hiệu. -
Dịch quanh túi mật có khi chỉ khu trú ở giường túi mật với một lớp
mỏng- Túi mật căng (chiều ngang trên 4cm), dấu hiệu này không đặc hiệu.
Thể nặng của viêm túi mật cấp
Viêm túi mật sinh hơi (cholécystite emphysémateuse) liên quan đến thiếu
máu động mạch thường thấy ở bệnh nhân đái đường. Biểu hiện bằng xuất hiện hơi
trong túi mật hoặc trong thành túi mật trên một bệnh cảnh của viêm túi mật.
Viêm túi mật hoại tử (cholécystite ganggreneuse) thường xuất hiện ở người
già yếu, bệnh nhân suy giảm miễn dịch. Trên bệnh cảnh viêm túi mật và tiến triển
thành hoại tử thành túi mật, thành túi mật dày, cấu trúc âm không đều có thể thấy
các ổ áp xe nhỏ và có thể thấy hơi trong thành túi mật. Viêm túi mật hoại tử sẽ nhanh
chóng chuyển thành thủng túi mật và viêm phúc mạc mật.
Thủng túi mật: túi mật có thể thủng vào trong ổ phúc mạc hoặc vào trong ống
tiêu hoá hoặc tạo thành các ổ áp xe cạnh túi mật. lOMoAR cPSD| 58490434
Hình 6.1.4 . Viêm túi mật cấp
a.Viêm túi mật cấp thể nhẹ: thành
túi mật dày, dịch quanh túi mật, sỏi túi mật.
b, c. Viêm túi mật cấp hoại tử:
thành túi mật dày, gián đoạn, áp xe quanh túi mật
Hình 6.1.5 . Viêm túi mật mạn
a. Viêm teo túi mật: túi mật teo nhỏ, thành
dày, chất đầy sỏi, không còn dịch mật
b. Viêm túi mật mạn: túi mật vẫn còn dịch
mật, có sỏi, thành dày tăng âm và có
lắng đọng cholesterole trong thành.
c. Thành túi mật vôi hoá: hình trên phim
chụp khu trú vùng gan mật
d. Thành túi mật vôi hoá: hình siêu âm
6.1.4.3 . Viêm túi mật mạn
Là biến chứng muộn của sỏi túi mật. Thành túi mật dày đôi khi có hình ảnh
giả u và tiến triển theo hướng viêm xơ teo túi mật.Trên siêu âm thấy thành túi mật
dày, tăng âm, lòng chứa sỏi, quanh túi mật không có dịch, dấu hiệu Murphy siêu âm
âm tính, khi túi mật viêm teo thì không còn dịch mật và lúc này rất dễ nhầm với
bóng hơi trong ống tiêu hoá..
Túi mật sứ (vésicule porcelaine).Thành túi mật bị vôi hoá và hầu như luôn đi kèm
sỏi mật. Đây là một thể đặc biệt của viêm túi mật mãn. Chụp gan mật không chuẩn
bị thấy hình túi mật cản quang.Siêu âm túi mật biểu hiện bằng một vòng cung kèm
bóng cản, cần phân biệt với hai vòng cung trong viêm xơ teo túi mật có sỏi. Có lOMoAR cPSD| 58490434
khoảng 20% túi mật sứ có ung thư túi mật đi kèm vì vậy nên chụp cắt lớp vi tính để
đánh giá nội dung bên trong túi mật chi tiết hơn.