



















Preview text:
lOMoAR cPSD| 22014077 Phan Tùng Bách Mảng màng phổi (pleural plaque)
Các mảng màng phổi (pleural plaque) thường gặp nhất trong bệnh phổi liên quan đến amiăng (asbestos-related
disease) và có thể chẩn đoán xác định bằng CT với độ đặc hiệu rất cao. 1. Dịch tễ học:
Các mảng màng phổi thường liên quan mật thiết với sự phơi nhiễm với amiăng do hít vào, trong một khoảng
thời gian phơi nhiễm khá dài (điển hình từ 20 – 30 năm). Vì amiăng chủ yếu được sử dụng trong môi trường xây
dựng và máy móc, do đó bệnh phổi liên quan đến amiăng nói chung và các mảng màng phổi nói riêng, chủ yếu gặp ở nam giới.
2. Triệu chứng lâm sàng:
Các mảng màng phổi không biểu hiện triệu chứng lâm sàng và thường được phát hiện tình cờ trên X quang ngực. 3. Bệnh học:
- Các sợi amiăng xâm nhập vào khoang màng phổi thông qua đường bạch huyết.
- Về đại thể, các mảng màng phổi biểu hiện là những vùng màu xám-trắng của dày màng phổi, thường dày nhất ở
bờ, tạo nên hình ảnh lá nhựa ruồi.
- Về vi thể, các mảng màng phổi được tạo thành từ những sợi collagen hyalin hoá dày đặc và không có tế bào. Các
sợi collagen thường được sắp xếp theo mô hình đan rổ lỏng lẻo.
4. Đặc điểm điện quang:
- Các mảng màng phổi điển hình thường phát sinh từ màng phổi thành, hầu như thường gặp ở phần dưới của lồng
ngực, hiếm khi gặp ở vùng đỉnh và góc sườn hoành. Các mảng màng phổi cũng thường phát sinh từ màng phổi
trung thất. Các mảng màng phổi hiếm khi phát sinh từ màng phổi tạng (thường liên quan đến các bất thường nhu
mô kế cận và bệnh lý màng phổi lan toả).
- Các mảng màng phổi có thể bị vôi hoá, tuy nhiên chỉ gặp 5 – 15% số trường hợp. 4.1. X quang ngực thẳng:
Các màng mảng phổi thường biểu hiện dấu hiệu bờ không hoàn toàn (incomplete border
sign) trên X quang ngực. Bờ trong thường rõ ràng vì tiếp tuyến với tia X và nhu mô phổi là môi trường đối quang
tốt. Bờ ngoài không rõ ràng vì đối diện với tia X và thành ngực không phải là môi trường đối quang tốt. Các mảng
màng phổi vôi hoá (calcified pleural plaque) thường hiện diện rõ ràng hơn so với các mảng màng phổi không vôi
hoá. Các vị trí thường gặp nhất bao gồm màng phổi sau-ngoài, màng phổi trung thất và màng phổi hoành. Các
mảng màng phổi thường dày nhất ở bờ, tạo nên dấu hiệu lá nhựa ruồi (holly leaf sign). 4.2. CT:
- CT có vai trò chẩn đoán xác định các mảng màng phổi vì CT có thể phát hiện được các mảng màng phổi ở bất kỳ
vị trí nào trong lồng ngực, bị vôi hoá hay không bị vôi hoá. Độ nhạy và độ đặc hiệu rất cao, lần lượt là 95% và 100%. lOMoAR cPSD| 22014077 Phan Tùng Bách
- Các mảng màng phổi tạng thường gặp ở các rãnh liên thuỳ và thường liên quan đến các bất thường nhu mô kế cận.
Một số trường hợp xuất hiện các tổn thương dạng đường ngắn (bản chất là xơ), kéo dài đến mảng màng phổi, được
gọi là mảng màng phổi dạng tóc (hairy pleural plaque). Chú thích:
▪ Normal (bình thường); parietal pleura (màng phổi thành); visceral pleura (màng phổi tạng).
▪ Pleural plaques (các mảng màng phổi).
▪ Calcified pleural plaques (các mảng màng phổi vôi hoá).
▪ Hairy pleural plaques (các mảng màng phổi dạng tóc).
5. Điều trị và tiên lượng:
Các mảng màng phổi đều lành tính và không cần điều trị hay theo dõi. lOMoAR cPSD| 22014077 Phan Tùng Bách
6. Chẩn đoán phân biệt:
- Trên X quang thường quy, cần xem xét:
+ Dày màng phổi lan toả liên quan đến amiăng.
+ Mỡ ngoài màng phổi (extrapleural fat). + Gãy xương sườn. + Các u màng phổi:
▪ Di căn màng phổi (pleural metastase).
▪ U trung mô màng phổi (mesothelioma).
▪ U trung mô trung thất ác tính khu trú.
+ Giả mảng màng phổi (pleural pseudoplaque). - Trên CT, cần xem xét:
+ Hiện tượng sau khi gây dính màng phổi bằng bột talc.
+ Bệnh lý u hạt, ví dụ như lao màng phổi (pleural tuberculosis). lOMoAR cPSD| 22014077 Phan Tùng Bách
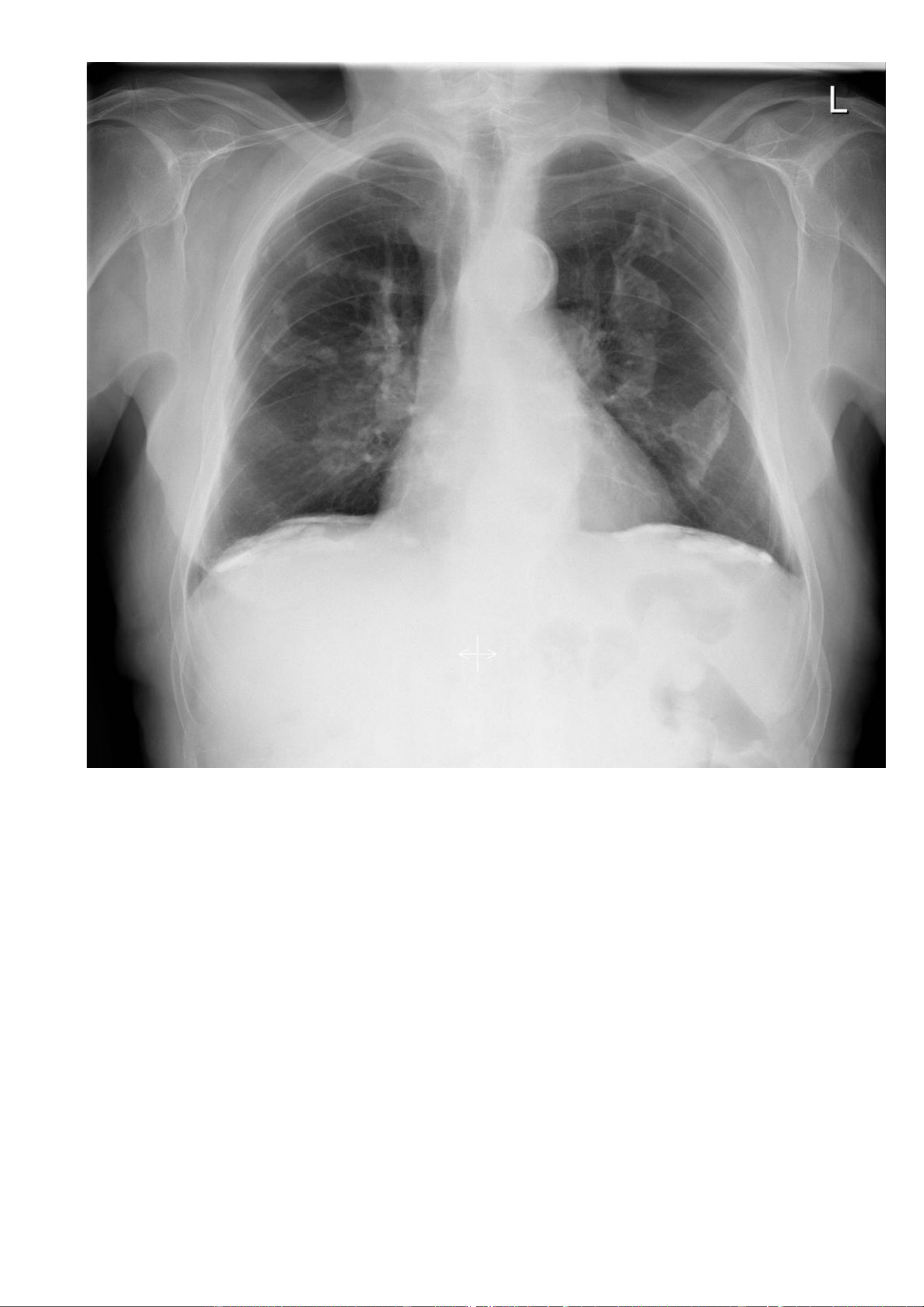
7. Một số trường hợp về mảng màng phổi: 7.1. Trường hợp 1: -
Nguồn link: https://radiopaedia.org/cases/calcified-pleural-plaques - Thông tin bệnh nhân: Không có. - Hình ảnh X quang:
Các hình mờ ranh giới không rõ ở vùng giữa và vùng dưới hai phổi. Vôi hoá dạng đường ở vị trí nửa cơ hoành 2 bên. -
Hình ảnh CT (cửa sổ xương): lOMoAR cPSD| 22014077 Phan Tùng Bách
Các hình ảnh CT được lựa chọn cho thấy sự hiện diện của các màng màng phổi vôi hoá, đặc biệt là ở phần
trước-ngoài của màng phổi thành. Một vài mảng màng phổi không vôi hoá ở phần sau. Màng phổi trung thất và
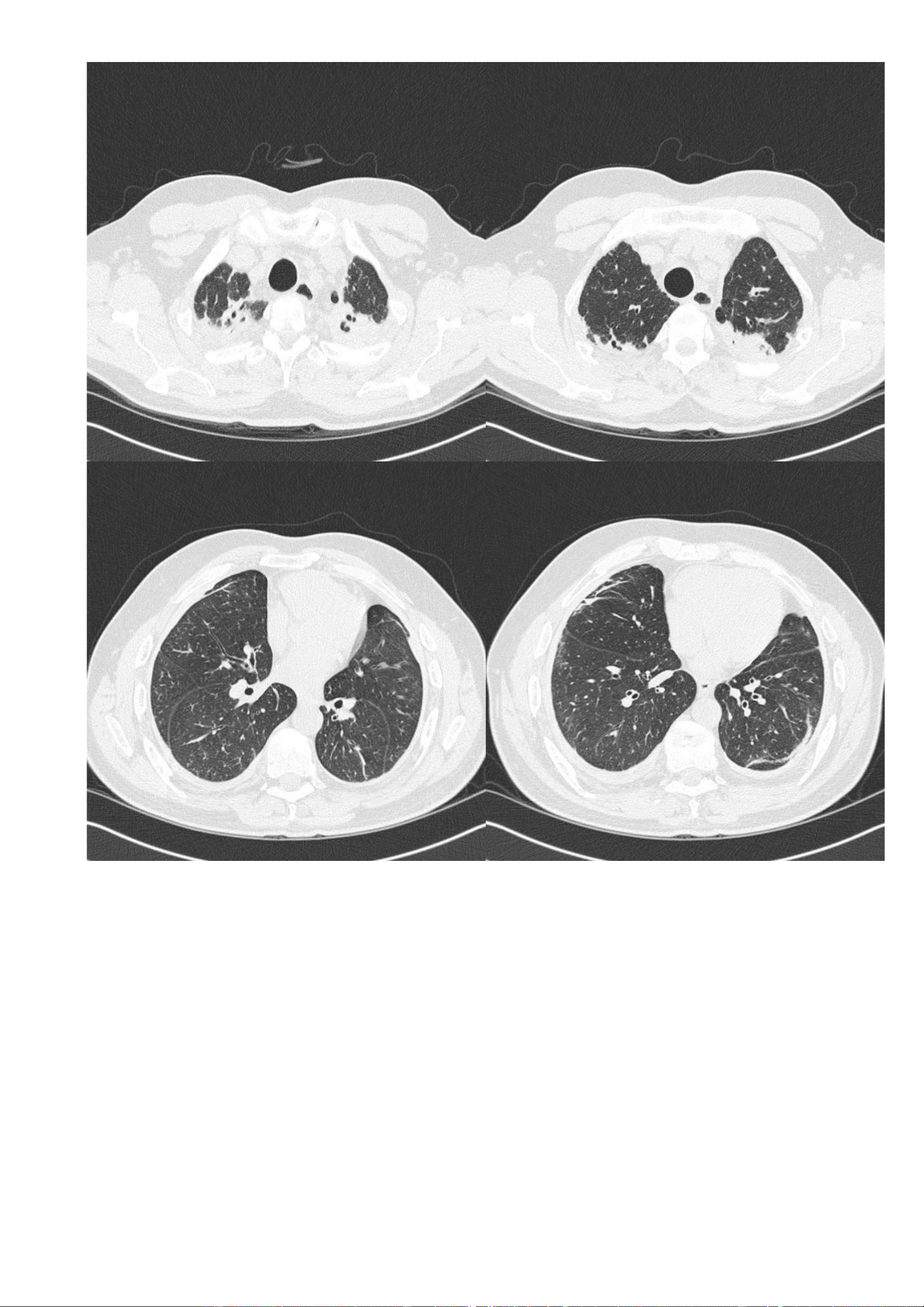
các góc sườn hoành bình thường. 7.2. Trường hợp 2: -
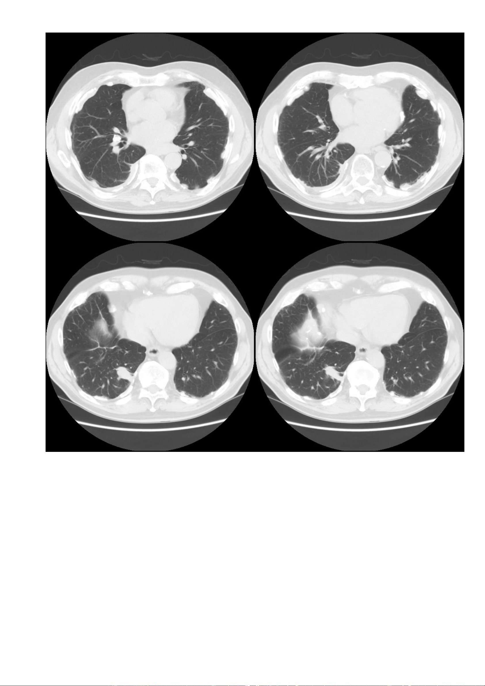
Nguồn link: https://radiopaedia.org/cases/asbestosis - Thông tin bệnh nhân: Không có. - Hình ảnh CT: + Cửa sổ nhu mô: lOMoAR cPSD| 22014077 Phan Tùng Bách
▪ Một vài dải nhu mô dưới màng phổi hai bên.
▪ Sẹo vùng đỉnh phổi hai bên.
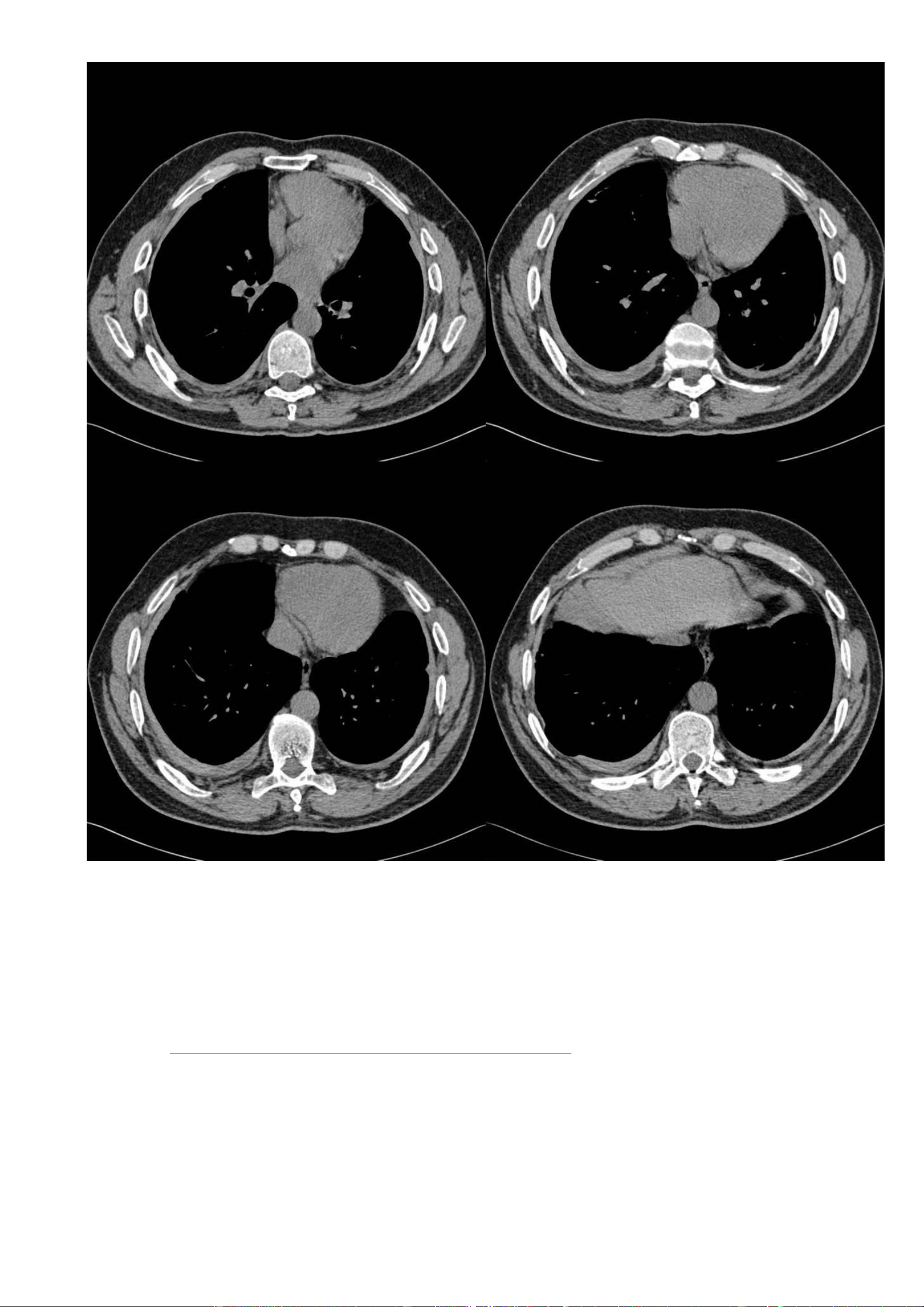
+ Cửa sổ trung thất – không tiêm thuốc cản quang: lOMoAR cPSD| 22014077 Phan Tùng Bách
▪ Ghi nhận các mảng màng phổi hai bên.
▪ Không có tràn dịch màng phổi (pleural effusion), không có hạch to. -
Các dấu hiệu trên cửa sổ nhu mô và cửa sổ trung thất, phù hợp với bệnh phổi-màng phổi liên quan đến amiăng. 7.3. Trường hợp 3: -
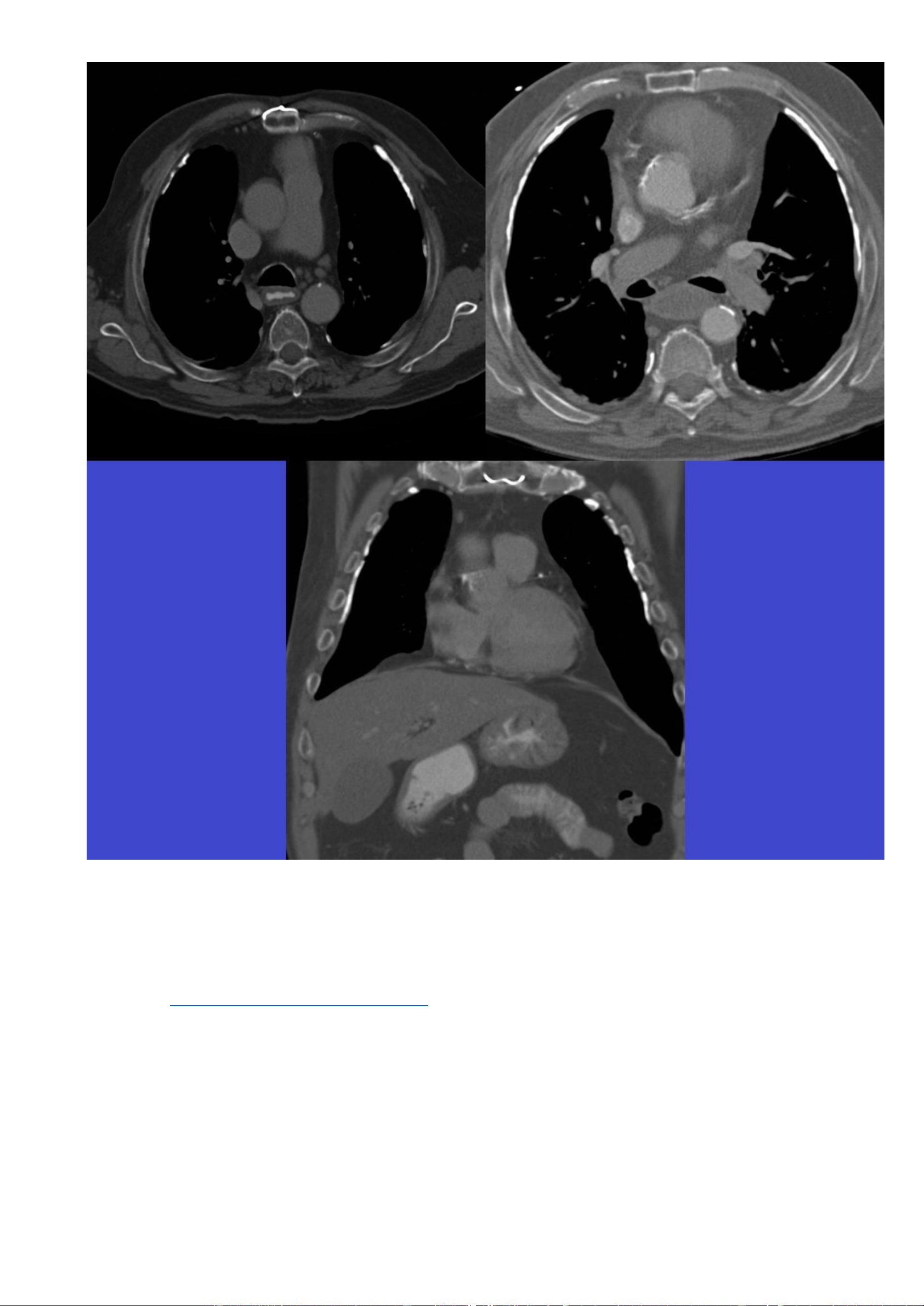
Nguồn link: https://radiopaedia.org/cases/asbestos-related-pleural-disease -
Thông tin bệnh nhân: Tiền sử phơi nhiễm với amiăng. -
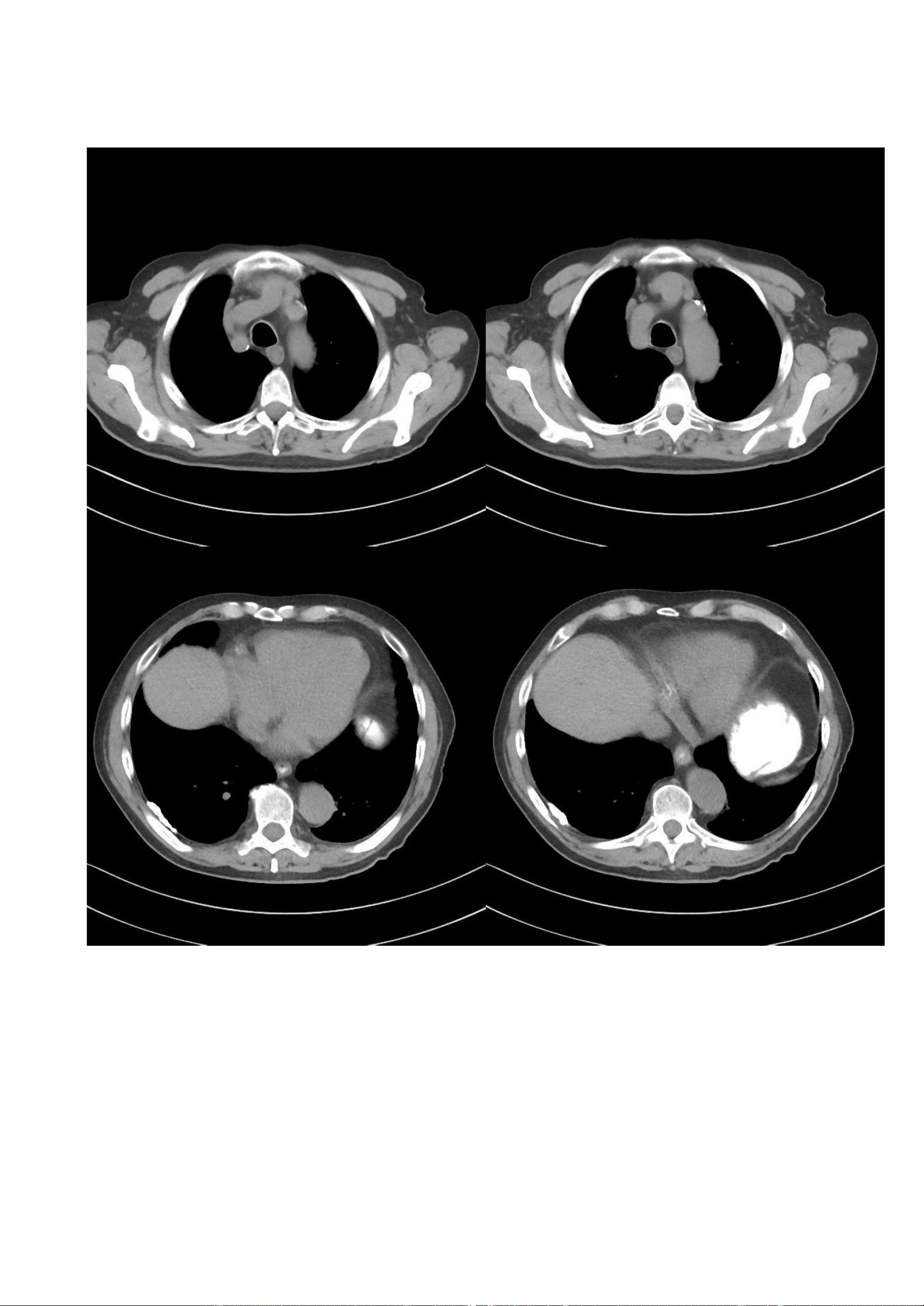
Hình ảnh CT (cửa sổ trung thất – thì tĩnh mạch cửa): lOMoAR cPSD| 22014077 Phan Tùng Bách
Các mảng màng phổi vôi hoá. lOMoAR cPSD| 22014077 Phan Tùng Bách ờng hợ n link: Thông tin bệ nh X quang: 7.4. Trư p 4: -
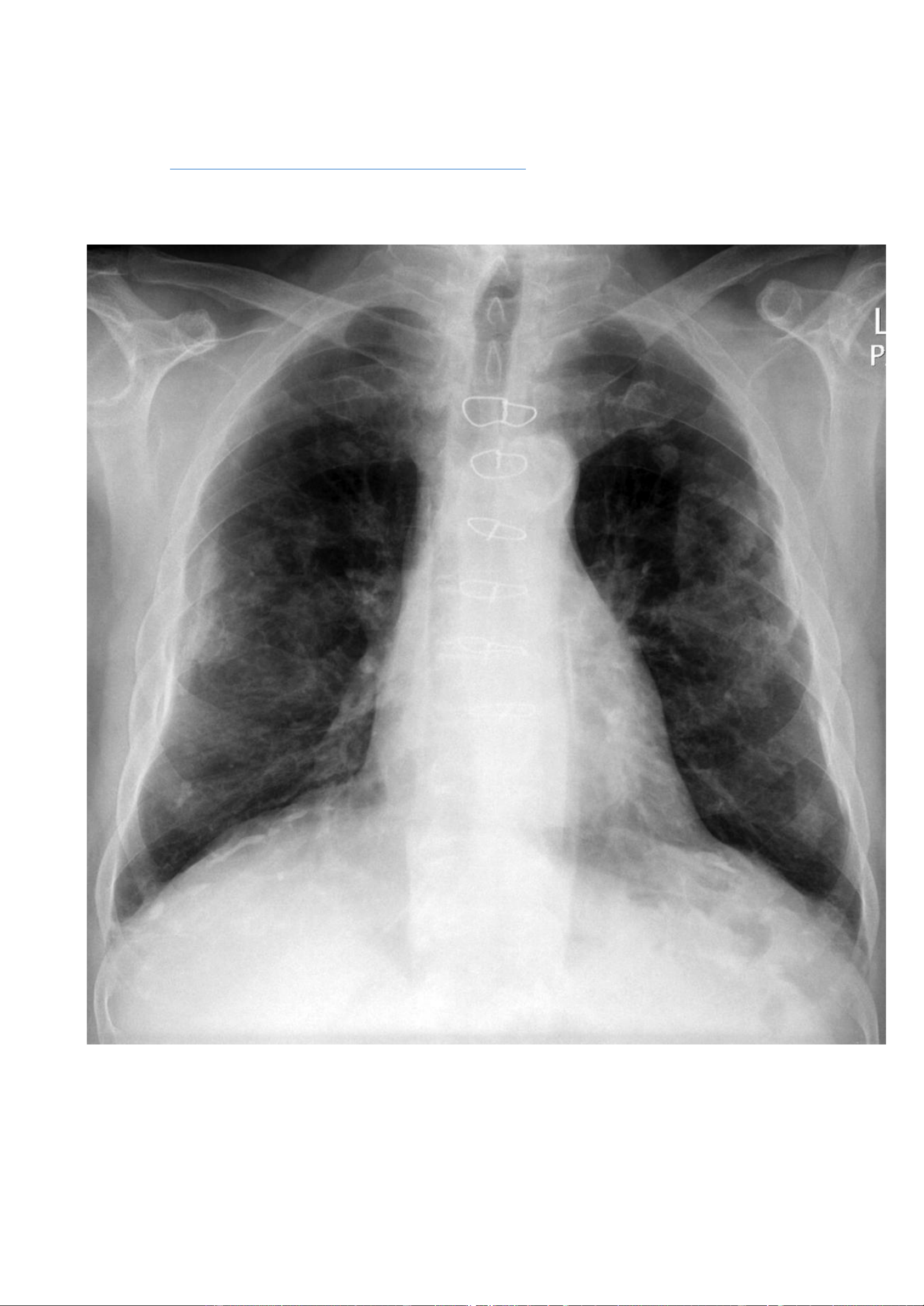
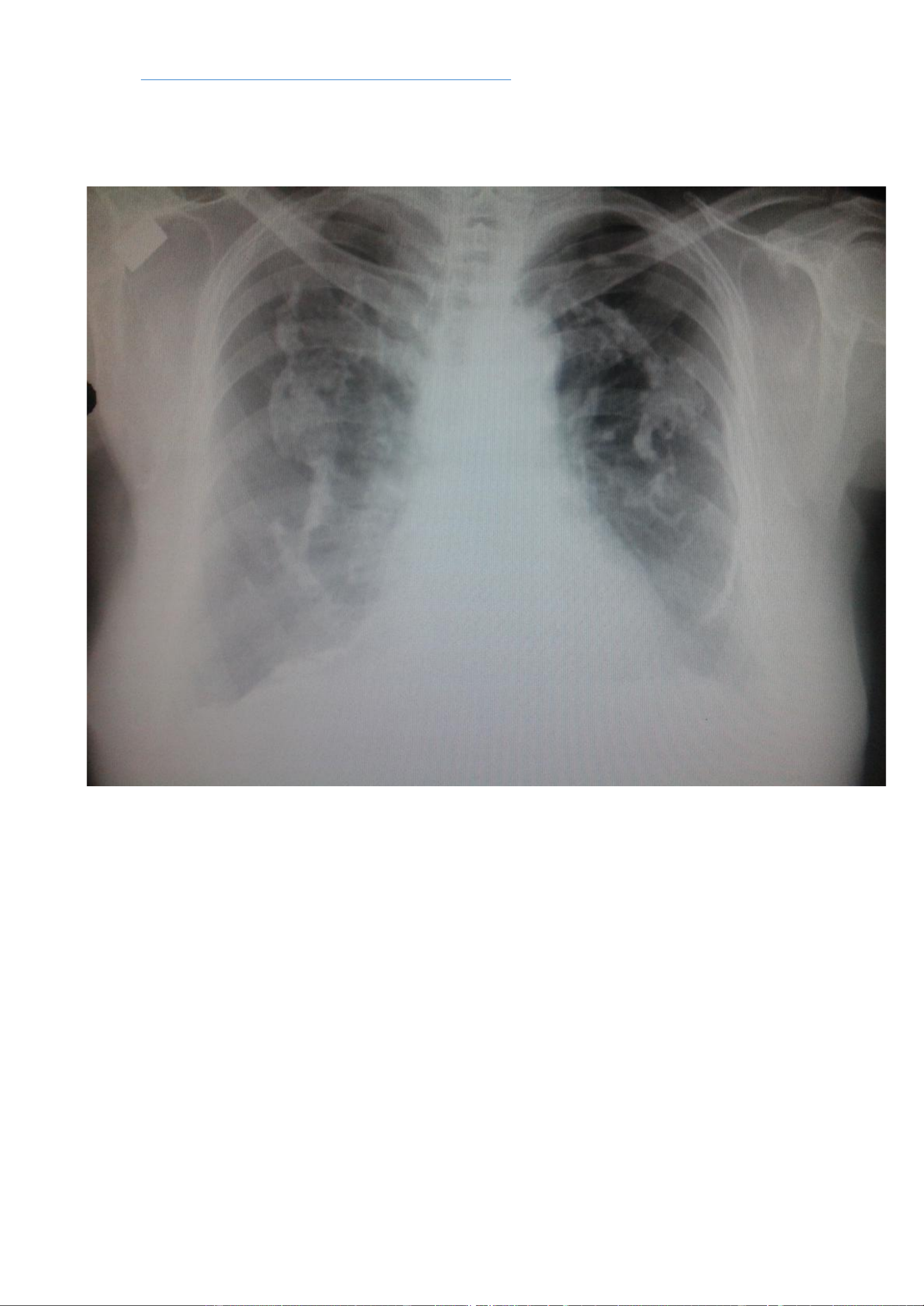
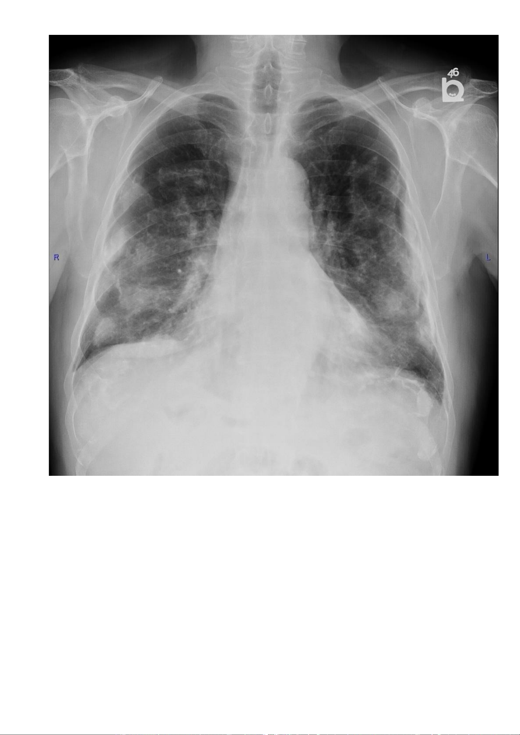
Nguồ https://radiopaedia.org/cases/pleural-plaques -
nh nhân: Bệnh nhân nam, 65 tuổi, khó thở và ho có đờm. - Hình ả lOMoAR cPSD| 22014077 Phan Tùng Bách
Vôi hoá màng phổi hai bên dạng bản đồ, bao gồm cả bề mặt nửa cơ hoành hai bên. lOMoAR cPSD| 22014077 Phan Tùng Bách ờng hợ n link: Thông tin bệ nh X quang:
Các mảng màng phổi vôi hoá (các đường nét đứt màu vàng). 7.5. Trư p 5: lOMoAR cPSD| 22014077 Phan Tùng Bách -
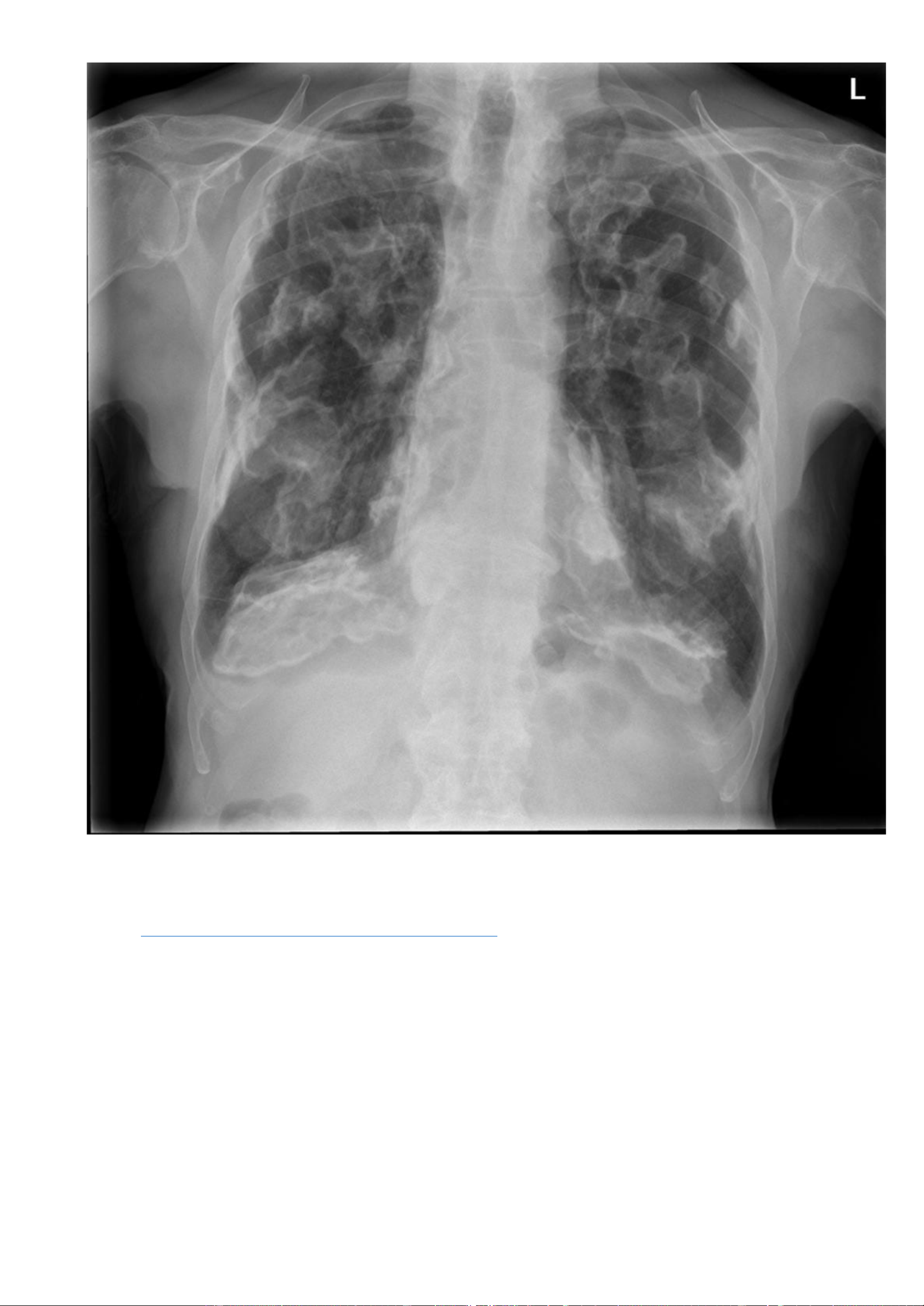
Nguồ https://radiopaedia.org/cases/calcified-pleural-plaques-1 -
nh nhân: Bệnh nhân nam, 45 tuổi, tiền sử bệnh phổi nghề nghiệp. - Hỉnh ả
Vôi hoá màng phổi sườn hai bên. lOMoAR cPSD| 22014077 Phan Tùng Bách ờng hợ n link: Thông tin bệ nh X quang: 7.6. Trư p 6: -
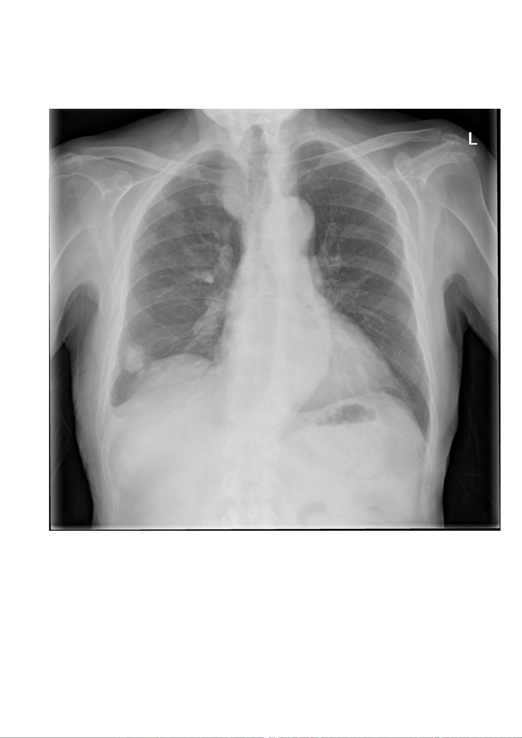
Nguồ https://radiopaedia.org/cases/calcified-pleural-plaques-4 -
nh nhân: Bệnh nhân nam, 75 tuổi, giảm chức năng phổi, tiền sử nghề nghiệp có liên quan đến amiăng. - Hình ả lOMoAR cPSD| 22014077 Phan Tùng Bách
Các mảng màng phổi vôi hoá hai bên. 7.7. Trư p 7: -
Nguồ https://radiopaedia.org/cases/solitary-pleural-plaque-1 -
nh nhân: Bệnh nhân nam, 90 tuổi, ho. - Hình ả lOMoAR cPSD| 22014077 Phan Tùng Bách ờng hợ n link: Thông tin bệ nh X quang:
▪ Nốt vôi hoá vùng dưới phổi phải.
▪ Khối cạnh phải khí quản.
▪ Kích thước tim bình thường. Không có đông đặc (consolidation) khu trú. Tràn dịch màng phổi phải lượng nhỏ. lOMoAR cPSD| 22014077 Phan Tùng Bách -
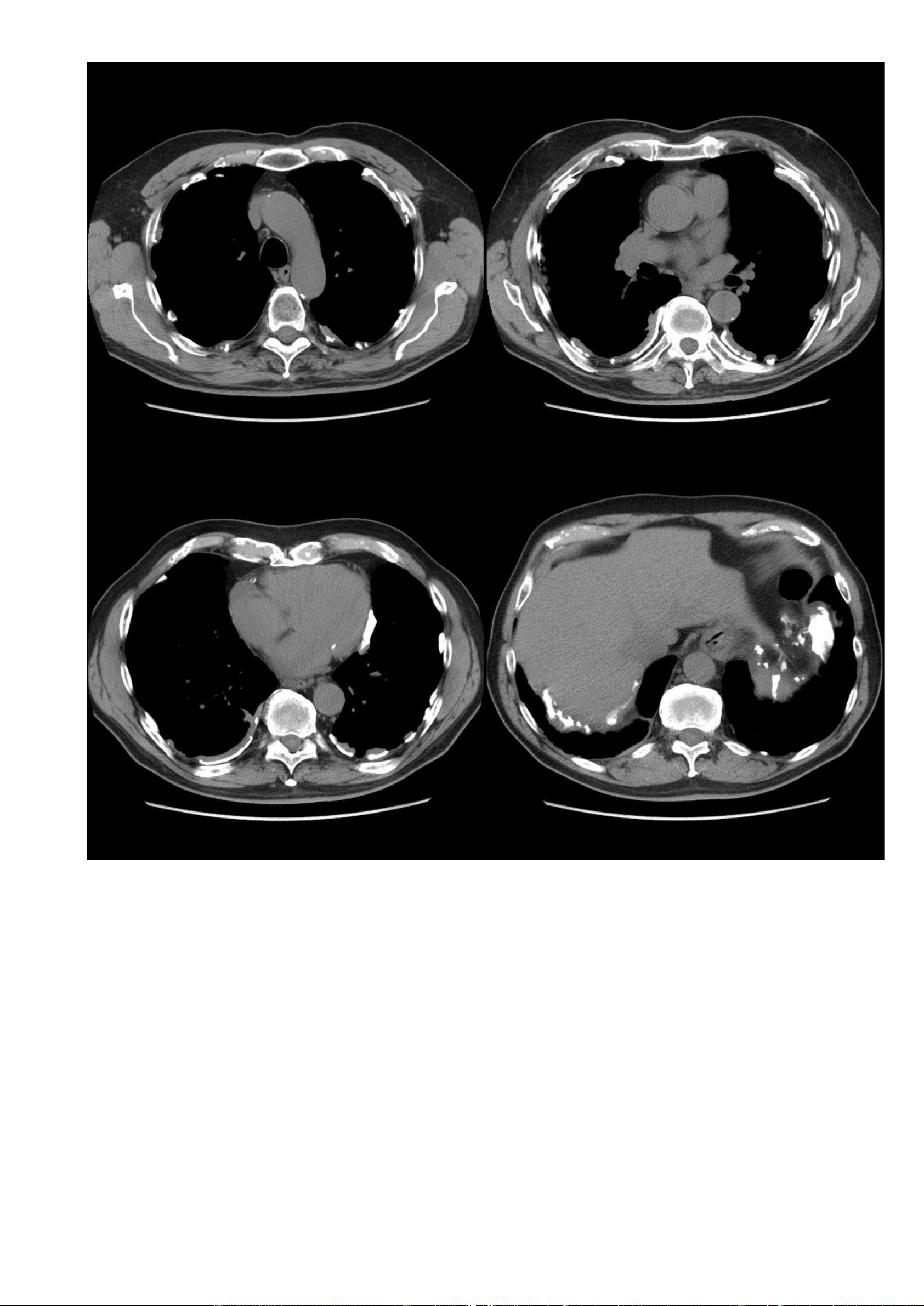
Hình ảnh CT (cửa sổ trung thất – không tiêm thuốc cản quang):
▪ Nốt vôi hoá vùng dưới phổi phải trên X quang ngực thẳng, tương ứng với mảng màng phổi vôi hoá.
▪ Khối cạnh phải khí quản trên X quang ngực thẳng, tương ứng với thân động mạch cánh tay đầu và động mạch dưới đòn phải. lOMoAR cPSD| 22014077 Phan Tùng Bách ờng hợ n link: Thông tin bệ nh X quang: 7.8. Trư p 8: -
Nguồ https://radiopaedia.org/cases/asbestos-related-pleural-plaques-2 -
nh nhân: Bệnh nhân nam, 75 tuổi, tiền sử phơi nhiễm với amiăng. - Hình ả lOMoAR cPSD| 22014077 Phan Tùng Bách
Các mảng màng phổi vôi hoá hai bên. - Hình ảnh CT: + Cửa sổ nhu mô: lOMoAR cPSD| 22014077 Phan Tùng Bách
▪ Một vài dải nhu mô dưới màng phổi hai bên.
▪ Xẹp phổi tròn (round atelectasis)thuỳ dưới phổi phải.
+ Cửa sổ trung thất – không tiêm thuốc cản quang: lOMoAR cPSD| 22014077 Phan Tùng Bách
Các mảng màng phổi hai bên, một số bị vôi hoá.