



















Preview text:
PGS.TS. LÊ TRUNG THỌ - HMU MỤC TIÊU
1. Nêu được khái niệm, nguồn gốc, đặc điểm của u.
2. Nêu được cấu tạo mô u, tiến triển của u.
3. Nêu được các phân loại u và cho thí dụ minh hoạ.
4. Nêu nguyên nhân sinh u, bệnh sinh, cho thí dụ minh hoạ.
5.Mô tả được các đặc điểm đại thể, vi thể của u.
7. Nêu được tiến triển của u. KHÁI NIỆM
- U (tân sản) về ngôn ngữ có nghĩa là “phát triển mới”.
- Điểm cơ bản về nguồn gốc của tất cả các khối u là mất khả
năng đáp ứng với sự kiểm soát phát triển bình thường.
- Là mô PT mạnh gồm những TB sinh ra từ một dòng đã trở
thành bất thường, sinh sản thừa, vượt quá yêu cầu của cơ thể,
không tuân theo quy luật đồng tồn của cơ thể đó, thể hiện một
sự mất thăng bằng liên tục, không hồi phục được.
-Những TB u được gọi là TB chuyển dạng vì chúng tiếp tục
phân chia, bỏ qua các điều hòa kiểm soát sự phát triển của tế bào bình thường. KHÁI NIỆM
- U có sự sinh sản TB bất thường, không phù hợp với yêu
cầu cơ thể. Sự sinh sản này thay đổi cả số lượng và chất
lượng trên 1 loại TB nhất định và hầu như không ngừng.
- U biểu hiện dưới dạng khối sưng to (trừ bệnh UT máu),
tiến triển nhanh hoặc chậm, có thể nhầm với viêm.
- Từ khi có kính HV, có bằng chứng phân định viêm và u.
- Việc phân định lành tính và ác tính là quan trọng. THUẬT NGỮ 1 2 3 Tumor: u Neoplasia: Tân sản Neoplasm: Mô u/Mô tân sản NGUỒN GỐC U
Bất kỳ vị trí nào
U biểu mô >5-10 lần u liên kết
Mô hay gặp: Tiêu hóa, MÔ BIỆT HÓA CAO
hô hấp và tạo máu HiẾM GẶP U u
Đa số u sinh ra từ 1 nguồn
Tần suất u phụ thuộc vào
tb, số ít từ cả biểu mô và lk
địa dư, môi trường, chủng tộc
U phát sinh từ những TB biến đổi của bản
thân cơ thể trừ u nguyên bào nuôi ĐẶC ĐIỂM CỦA U
1. U tồn tại mãi mãi
- Mô BT chỉ sinh sản khi bị mất chất, bị kích thích, khi
nguyên nhân hết, sự sinh sản ngừng lại.
- Khi u đã xuất hiện, dù nguyên nhân gây bệnh đã
hết, u vẫn tiếp tục phát triển 2. U sinh sản thừa
- Trong cơ thể BT, tế bào và mô phát triển theo
chương trình hung đã quy định đảm bảo sự hợp đồng
giữa chúng, phục vụ cho sự tồn tại của cơ thể đó
- U sinh ra, dòng TB nào đó sẽ lấn át các dòng khác. ĐẶC ĐIỂM CỦA U
3. U kí sinh trên cơ thể
- Tế bào u là các tế bào đã bị biến đổi, không còn là thành phần hữu cơ
của cơ thể, chúng cướp chất dinh dưỡng nhưng vẫn được dung thứ. U
càng phát triển, cơ thể càng suy kiệt.
4. U biểu hiện một sự mất thăng bằng liên tục
- U là hiện tượng bất thường làm rối loạn tính đồng tồn của cơ
thể, hầu như không tự chấm dứt, muốn hết phải phẫu thuật, xạ trị
hay hoá trị. Viêm, quá sản, loạn sản cũng có những sinh sản đột
xuất, có thể kéo dài nhưng bản chất khác u hoàn toàn. SO SÁNH VIÊM VÀ U U VIÊM
-U TẠO RA MỘT MÔ MỚI: MÔ NÀY BẤT
- VIÊM LÀM THAY ĐỔI MỘT MÔ SẴN
THƯỜNG VỀ SỐ LƯỢNG VÀ CHẤT LƯỢNG CÓ, HUY ĐỘNG RẤT NHIỀU LOẠI TẾ
BÀO NHƯNG CÙNG ĐẢM NHẬN CHỨC NĂNG VỆ CƠ THỂ
- U LÀ MÔ THỪA, KÝ SINH TRÊN CƠ
- VIÊM CHỊU SỰ CHỈ HUY CỦA CƠ THỂ,
THỂ, KHI TỒN TẠI CHỈ GÂY HẠI.
TIẾN TRIỂN TUỲ THEO NHU CẦU ĐỂ
- TB SINH SẢN KHÔNG CÓ GIỚI HẠN VỀ
ĐÁP ỨNG VỚI TỪNG TÁC NHÂN, THAY
KHÔNG GIAN VÀ THỜI GIAN
ĐỔI TUỲ THEO CƠ THỂ.
- QUÁ SẢN KHÔNG NGỪNG KHI KÍCH
- TB SINH SẢN CÓ GIỚI HẠN VỀ KHÔNG GIAN THÍCH ĐÃ HẾT. VÀ THỜI GIAN
- NGUYÊN NHÂN CHƯA RÕ, CHƯA NGĂN
- VIÊM NGỪNG LẠI KHI KÍCH THÍCH ĐÃ HẾT
CHẶN ĐƯỢC TIẾN TRIỂN
- NGUYÊN NHÂN ĐÃ RÕ, NHIỀU TH NGĂN
CHẶN ĐƯỢC TIẾN TRIỂN CỦA VIÊM.
VIÊM VÀ UNG THƯ PHẾ QUẢN
MỘT SỐ ĐẶC ĐIỂM CỦA U
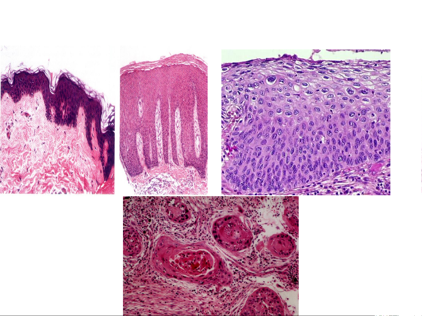
- Biệt hóa và mất biệt hóa:
+ Các u lành tính bao gồm những tế bào biệt hóa cao rất giống với
những tế bào bình thường của chúng.
+ Các u ác tính có đặc điểm bởi một giới hạn rộng của sự bịêt hóa
tế bào nhu mô từ biệt hóa cao như u lành tới hoàn toàn không biệt hóa.
- Tỷ lệ phát triển: Hầu hết các u lành tính phát triển chậm, và hầu hết
các ung thư phát triển nhanh hơn nhiều, thường lan tràn tại chỗ
và tới những vị trí ở xa (di căn) và gây tử vong.
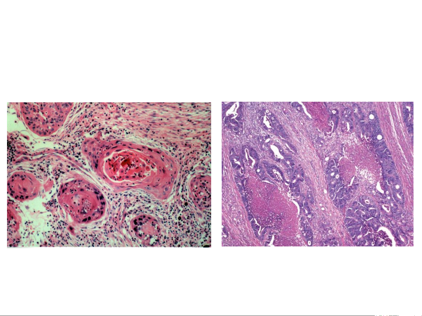
- Xâm nhập tại chỗ: Những u lành tính còn khư trú ở vị trí ban đầu
của chúng. Nó không có khả năng xâm nhập, xâm lấn hoặc di căn
tới các vị trí xa như ung thư.
- Di căn: Di căn có nghĩa là sự phát triển của một cấy ghép thứ phát
không liên tục với u nguyên phát, có thể trong các mô ở xa.
U KHÁC QUÁ SẢN VÀ LOẠN SẢN
• QUÁ SẢN CỦA U KHÁC QUÁ SẢN TÁI TẠO HOẶC QS CHỨC
NĂNG: KHÔNG HẠN CHẾ SỐ LƯỢNG, KHÔNG DỪNG LẠI
KHI NGUYÊN NHÂN GÂY QUÁ SẢN ĐÃ HẾT.
• LOẠN SẢN: TỔN THƯƠNG LOẠN SẢN CÓ SỰ QUÁ SẢN ĐI
KÈM VỚI SỰ THAY ĐỔI PHẦN NÀO CHẤT LƯỢNG TẾ BÀO
NHƯNG LOẠN SẢN VẪN TRONG SỰ ĐIỀU CHỈNH CỦA CƠ
THỂ, CÁC TẾ BÀO SINH SẢN VẪN HẠN CHẾ, VẪN CÓ SỰ
BIỆT HÓA MẶC DÙ CÓ NHIỀU TẾ BÀO NON HƠN BÌNH THƯỜNG
CTC BÌNH THƯỜNG, QUÁ SẢN, LOẠN SẢN VÀ UT ĐẶC ĐIỂM U LÀNH U ÁC
Tốc độ tăng trưởng Chậm Khá nhanh
Tác động toàn thân trên vật chủ Không
Gây hậu quả sâu sắc Tính độc lập Không Có Gây chết người Hiếm Thường xuyên Di căn Không Có Bờ u Rõ
Không rõ, không có vỏ bọc Xâm nhập Không Phá hủy mô lành Chèn ép mô lành Có thể Luôn chèn ép Hoại tử Hiếm Phổ biến Loét Hiếm Phổ biến Hướng phát triển Hướng ra ngoài Xâm nhập vào trong Hình thái tế bào Giống mô gốc
Không giống hay chỉ gợi lại Nhân tế bào Giống mô lành
Chu vi không đều, đa hình Chất chromatin Đều, đồng nhất Tăng Bội thể Bình thường
Đa bội hoặc lệch bội lẻ Hạt nhân Lớn Nhân chia Gần bình thường
Nhiều, có thể bất thường Cực tính Có Mất cực tính CẤU TẠO MÔ U - CƠ BẢN U - ĐỆM U: + Mô liên kết
+ Mạch máu và mạch lympho + Các nhánh thần kinh
+ Các tế bào phản ứng: lympho, đại thực bào, bạch cầu đa nhân.
ĐỆM U VÀ CƠ BẢN U
DANH PHÁP VÀ PHÂN LOẠI 1.DANH PHÁP
+ GỌI TÊN VÀ XẾP LOẠI THEO HÌNH THÁI, CẤU TRÚC CỦA TẾ BÀO
U: U MỠ, U CƠ TRƠN TỬ CUNG…
+ GỌI THEO QUÁ TRÌNH TẠO PHÔI, TẠO MÔ: U BUỒNG TRỨNG
ĐƯỢC TẠO BỞI THÀNH PHẦN CỦA 3 LÁ THAI GỌI LÀ U QUÁI, U DÂY SỐNG
+ THEO TIẾN TRIỂN LÂM SÀNG: U LÀNH, U ÁC, U GIÁP BIÊN.
+ TRONG DANH PHÁP QUỐC TẾ
- U LÀNH ĐẶT TÊN BẰNG CÁCH GHÉP TÊN TIỀN TỐ (BIỂU THỊ
CẤU TRÚC TẾ BÀO VÀ MÔ U) + TIẾP TỐ “OMA”: FIBRE (TIỀN TỐ =
MÔ XƠ) + OMA = FIBROMA (U XƠ).
CHONDRO (TIỀN TỐ = MÔ SỤN) + OMA = CHONDROMA (U SỤN)
- U ÁC: CARCINOMA (UT BIỂU MÔ), SARCOMA: UT LIÊN KẾT PHÂN LOẠI U Mô bình thường U lành U ác Biểu mô phủ Carcinoma Biểu mô vảy U nhú
Ung thư tế bào vảy Tế bào đáy U lồi
Ung thư tế bào đáy Biểu mô tuyến U tuyến
Ung thư biểu mô tuyến Nguyên bào nuôi
Chửa trứng lành tính
Ung thư biểu mô màng đệm U LIÊN KẾT Mô bình thường U lành U ác Mô xơ U xơ (Fibroma)
Sacôm xơ (Fbrosarcoma) Mô mỡ U mỡ (Lipoma)
Sacôm mỡ (Liposarcoma) Mô cơ trơn Leiomyoma Leiomyosarcoma Mô cơ vân Rhabdomyoma Rhabdomyosarcoma Mô xơng Osteoma Osteosarcoma Mô sụn Chondroma Chondrosarcoma Trung biểu mô Benign Mesothelioma Malignant Mesothelioma Trung mô Benign Mensenchymoma Malignant Malignant Mô tạo huyết
Bệnh bạch cầu (Leukemia)
U thần kinh ngoại bì phôi Mô bình thường U lành U ác
Mô thần kinh đệm
U thần kinh đệm (glioma) U nguyên bào TK đệm (glioblastoma) Dây TK ngoại vi U dây TK (neurinoma) U dây TK ác (malignant neurinoma) Hạch thần kinh U hạch thần
kinh U nguyên bào hạch giao cảm (Ganglioneuroma) (Sympathoblastoma) Bao Schwann Schwannoma Malignant Schwannoma Mô sắc tố
Nêvi sắc tố (pigmented U hắc tố ác (Malignant melanoma) nevus)