



















Preview text:
TRIỆU CHỨNG HỌC CƠ XƯƠNG KHỚP PGS.TS. Nguyễn Thanh Thảo
Bộ môn Chẩn đoán hình ảnh Trường ĐH Y Dược Huế Mục tiêu
1. Cấu trúc giải phẫu xương bình thường trên hình ảnh Xquang
2. Phân tích hình ảnh bất thường của
xương trên Xquang thường quy 31-Jan-23 CĐHA Cơ-Xương-Khớp Giải phẫu xương Đầu xương Hành xương Thân xương 31-Jan-23 CĐHA Cơ-Xương-Khớp Mô xương Mô xương đặc •Cột xương •Ống Havers •Ống Volkmann Mô xương xốp •Bè xương •Hồ huyết 31-Jan-23 CĐHA Cơ-Xương-Khớp Trẻ em Người trưởng thành 31-Jan-23 CĐHA Cơ-Xương-Khớp 31-Jan-23 CĐHA Cơ-Xương-Khớp
CÁC DẤU HIỆU CƠ BẢN CỦA TỔN THƯƠNG XƯƠNG
• Bất thường về hình thái
• Bất thường về độ cản quang – Giảm độ cản quang – Tăng độ cản quang – Khu trú hay lan toả
• Bất thường về cấu trúc – Huỷ xương – Tạo xương 31-Jan-23 CĐHA Cơ-Xương-Khớp
CÁC DẤU HIỆU CƠ BẢN CỦA TỔN THƯƠNG XƯƠNG
Bất thường về độ cản quang:
Giảm độ cản quang: giảm >30% calci
•Lan toả: bệnh lý tổng quát
•Khu trú: nhiễm khuẩn, u…
Tăng độ cản quang: tăng lượng calci trong xương
•Lan toả: bệnh máu, di căn
xương, rối loạn hoạt động tuyến giáp…
•Khu trú: phản ứng của xương đối với tổn thương. 31-Jan-23 CĐHA Cơ-Xương-Khớp
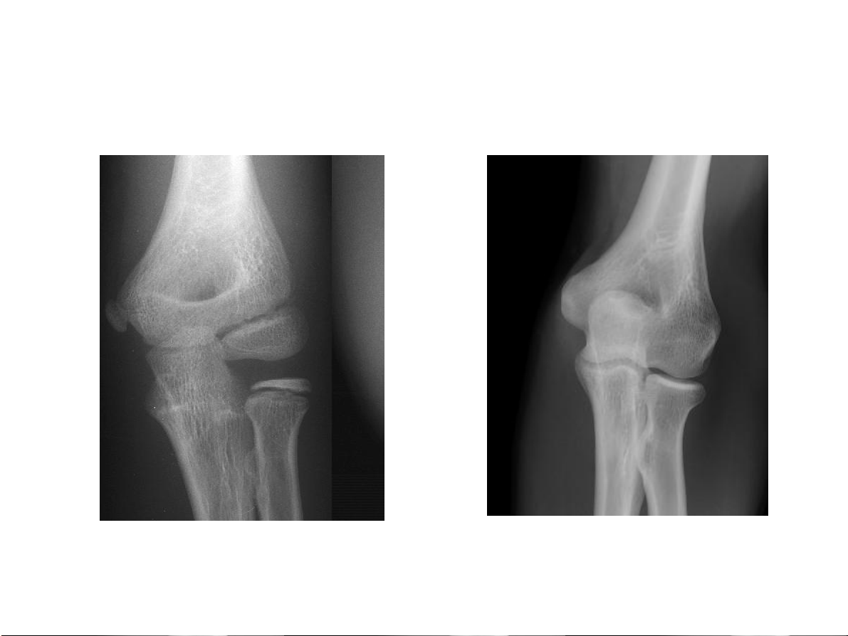
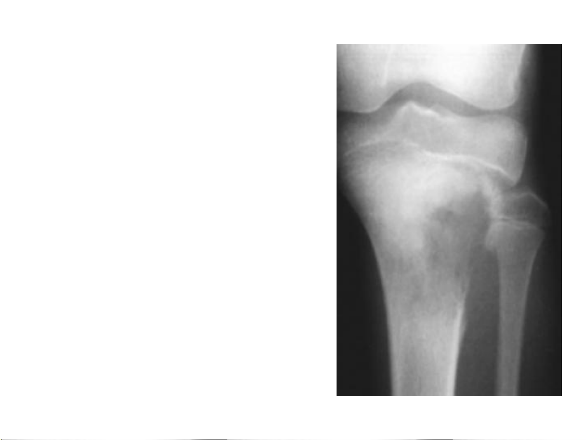
Bất thường về cấu trúc Huỷ xương 1.Giới hạn tổn thương
• Không rõ, vùng chuyển tiếp
rộng tổn thương tiến triển nhanh
• Rõ, vùng chuyển tiếp hẹp lành tính 31-Jan-23 CĐHA Cơ-Xương-Khớp
Bất thường về cấu trúc Huỷ xương 1.Giới hạn tổn thương
• Không rõ, vùng chuyển
tiếp rộng tổn thương tiến triển nhanh
• Rõ, vùng chuyển tiếp hẹp lành tính. 31-Jan-23 CĐHA Cơ-Xương-Khớp Huỷ xương 31-Jan-23 CĐHA Cơ-Xương-Khớp Huỷ xương 31-Jan-23 CĐHA Cơ-Xương-Khớp 31-Jan-23 CĐHA Cơ-Xương-Khớp
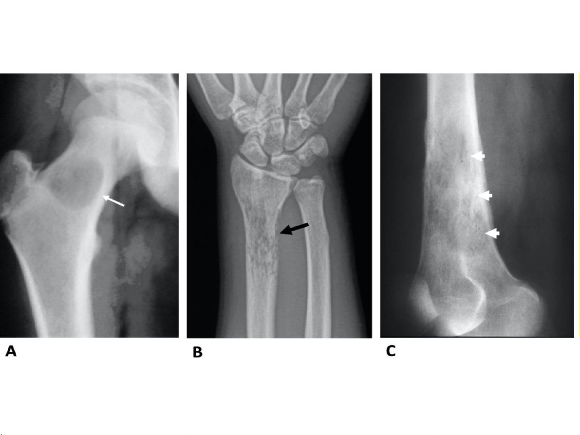
Bất thường về cấu trúc Huỷ xương 1.Giới hạn tổn thương 2.Phá huỷ vỏ xương: tổn thương ác tính? 31-Jan-23 CĐHA Cơ-Xương-Khớp
Vỏ xương: liên tục? Bị phá huỷ? Huỷ xương 1.Giới hạn tổn thương
1.Phá huỷ vỏ xương ác tính? 31-Jan-23 CĐHA Cơ-Xương-Khớp 31-Jan-23 CĐHA Cơ-Xương-Khớp 31-Jan-23 CĐHA Cơ-Xương-Khớp
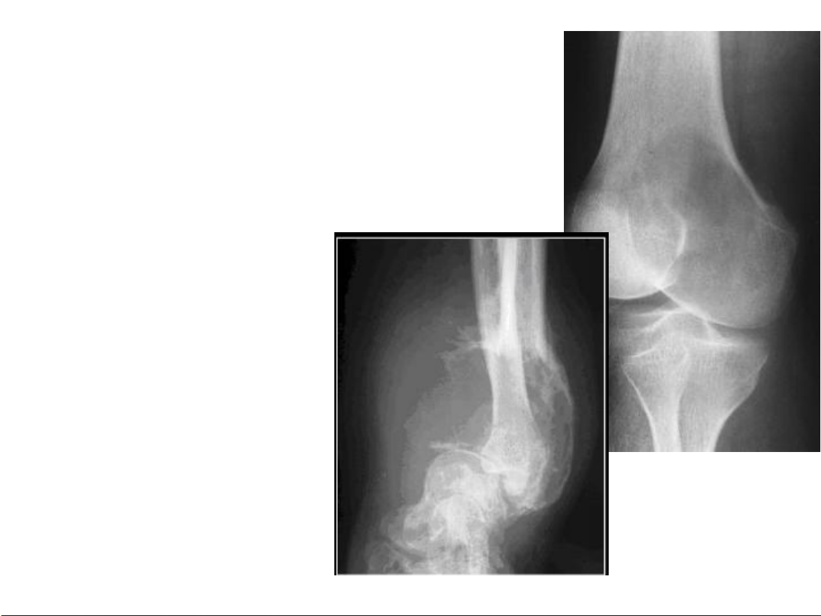
Bất thường về cấu trúc Tạo xương: phản ứng tân tạo xương 31-Jan-23 CĐHA Cơ-Xương-Khớp
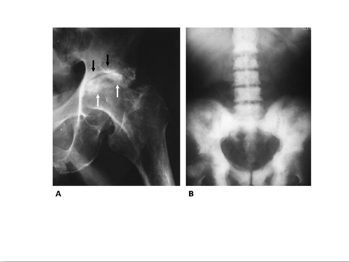
Hai ví dụ của quá trình tân tạo xương. Phản ứng đặc xương ở chỏm
xương đùi và mái ổ cối trong thoái hóa khớp háng (hình A). Đặc xương
lan toả ở cột sống thắt lưng, xương cùng và xương chậu hai bên trong di
căn xương từ ung thư tiền liệt tuyến (hình B). 31-Jan-23 CĐHA Cơ-Xương-Khớp