








Preview text:
lOMoAR cPSD| 22014077
BỆNH HỌC DẠ DÀY - RUỘT
I. MỤC TIÊU BÀI HỌC
1. Trình bày ược các tổn thương giải phẫu bệnh của một số bệnh dạ dày
2. Trình bày ược các tổn thương giải phẫu bệnh của một số bệnh ruột
II. NỘI DUNG BÀI HỌC 1. BỆNH DẠ DÀY 1.1. Loét dạ dày
1.1.1. Loét cấp
- Đại thể:
+ Vị trí: gặp ở các vị trí khác nhau của dạ dày.
+ Số lượng: có thể chỉ gặp một ổ, nhưng thường là nhiều ổ nhất là trong tổn thương do stress.
+ Kích thước: thường < 1cm.
+ Hình thái: ổ loét thường có hình tròn, áy ổ loét có màu nâu xám do sự giáng hóa
của máu chảy ra. Niêm mạc xung quanh ổ loét a số bình thường, vùng rìa và áy ổ loét mềm mại. - Vi thể:
+ Đáy loét: thường phủ chất hoại tử có máu lẫn chất nhầy. Phía dưới là tổ chức
phù nề, sung huyết và mô hạt mỏng.
+ Bờ ổ loét: phù nề, sung huyết và xâm nhập tế bào viêm cấp tính. Tế bào biểu
mô phủ và tuyến có thể tăng chế tiết nhưng không có hiện tượng quá sản hay teo ét.
+ Tổn thương viêm loét làm cơ niêm ứt oạn.
1.1.2. Loét mạn
- Đại thể:
+ Vị trí: thường gặp ở bờ cong nhỏ, ranh giới giữa thân vị và hang vị.
+ Số lượng: thường chỉ gặp một ổ, hiếm gặp nhiều ổ
+ Kích thước: ổ tổn thương ường kính < 2cm gặp khoảng 50% số trường hợp loét
dạ dày, < 3cm gặp 75%, > 4cm gặp 10%.
+ Hình thái: chia làm 2 loại:
* Loét chưa có biến chứng. * Loét cũ và xơ trai. lOMoAR cPSD| 22014077 Đặc iểm
Loét chưa có biến chứng
Loét cũ và xơ trai
Miệng ổ loét Tròn hoặc bầu dục Méo mó, nhiều góc cạnh Bờ Chưa cao, màu hồng Cao rõ, màu trắng Thành Mềm mại, thoai thoải Cứng, thẳng ứng Ranh giới Khá rõ
Không rõ ràng, dễ ung thư hóa Đáy
Nông, bẩn, có chất hoại tử, tơ Sâu, sạch, gồ ghề, có khi có mạch huyết, nhầy máu
máu bị nghẽn lại và lộ ra Niêm mạc
Hơi nề, sung huyết do viêm, Loét cũ: nếp nhăn niêm mạc có xu xung quanh
chưa xuất hiện những nếp hướng quy tụ về phía ổ loét
gấp quy tụ hướng về phía ổ Loét xơ trai: có tổn thương rõ, loét
niêm mạc mỏng, nhăn nhúm, nếp
gấp thô cao, quy tụ về phía ổ loét * Vi thể
Tổn thương hình thành rõ rệt ở áy và bờ ổ loét với các mức ộ tùy theo tiến
triển của bệnh. Với ổ loét ang hoạt ộng thấy:
- Đáy ổ loét:
+ Lớp hoại tử: mảnh vụn tế bào thoái hóa, bạch cầu a nhân, sợi tơ huyết.
+ Lớp phù dạng tơ huyết: là tổn thương ặc trưng do acid HCl tác dụng với thuốc
nhuộm làm các sợi tạo keo bắt màu da cam giống như sợi tơ huyết, xâm nhập nhiều bạch cầu a nhân.
+ Lớp mô hạt: gồm các tế bào xơ non, sợi tạo keo, huyết quản tân tạo và các tế
bào viêm chủ yếu là bạch cầu ơn nhân.
+ Lớp xơ hóa: gồm mô tạo keo và huyết quản xơ hóa.
- Bờ, thành ổ loét và vùng kế cận: a số các trường hợp ều có viêm mạn tính.
+ Biểu mô phủ và các tuyến: có hiện tượng quá sản hoặc teo ét và xâm nhập viêm.
Đặc biệt có sự tái tạo mạn tính, sự tái tạo này dễ dẫn tới dị sản, loạn sản và tiến
triển thành ung thư. Ngoài ra còn gặp tế bào viêm ơn nhân và xoắn khuẩn H.P (Helicobacter Pylori)
+ Cơ niêm: tăng sinh và khuếch tán, ở vùng gần bờ ổ loét thường tách ra thành
những dải phát triển vào mô liên kết ở niêm mạc hoặc hạ niêm mạc nhưng có khi
sợi cơ teo ét và ược thay thế bằng tổ chức xơ tân tạo. lOMoAR cPSD| 22014077
+ Hạ niêm mạc: các sợi tạo keo tăng sinh cùng với tế bào xơ và tế bào viêm làm
cho hạ niêm mạc dầy lên. + Lớp cơ:
Loét chưa có biến chứng: tổ chức xơ phát triển chưa nhiều nên sự co kéo
lớp cơ ở áy và xung quanh ổ loét chưa xảy ra.
Loét cũ và xơ trai: tổ chức xơ tăng sinh rất mạnh, phát triển ở mọi lớp của
dạ dày và lan rộng nên sự co kéo lớp cơ rõ rệt về phía ổ loét.
Hình 1. Vi thể loét dạ dày (HEx100)
1.2. Ung thư dạ dày
1.2.1. Đại thể
1.2.1.1. Ung thư dạ dày giai oạn sớm
- Đặc iểm: u nhỏ hơn 3cm, xâm lấn chủ yếu lớp niêm mạc và dưới niêm mạc, chưa
xâm lấn vào lớp cơ, thường chưa di căn
- Phân loại:
+ Typ lồi: u phát triển lồi trên bề mặt niêm mạc dạ dày có dạng polyp, dạng cục
hay nhú nhung mao. Typ này gặp khoảng 20%. + Typ phẳng: *
Phẳng gồ: u phát triển ở niêm mạc, ranh giới rõ và chỉ cao hơn một
chút so với niêm mạc xung quanh. *
Phẳng dẹt: u phát triển ở niêm mạc tạo thành mảng nhỏ hơi chắc và
tương ối phẳng so với niêm mạc bình thường xung quanh. *
Phẳng lõm: vùng u hơi lõm thấp hơn niêm mạc dạ dày xung quanh,
ây là loại gặp nhiều nhất chiếm từ 30 - 50% trong tổng số ung thư dạ dày giai oạn sớm.
+ Typ loét: tổn thương loét có ộ sâu tương ối rõ, gặp khoảng 20 - 40% trong tổng
số các ung thư dạ dày giai oạn sớm. lOMoAR cPSD| 22014077
Nhìn chung, trên ại thể, ung thư dạ dày giai oạn sớm thường mềm nên khó
sờ nắn thấy và quan sát ược trên bệnh phẩm còn tươi. Nhưng sau khi ược cố ịnh
bằng formol, tổn thương hiện lên khá rõ rệt và nhận biết dễ dàng hơn.
1.2.1.2. Ung thư dạ dày giai oạn muộn
- Đặc iểm: khối u lớn hơn 3cm, ã xâm nhập vào lớp cơ và di căn.
- Phân loại:
+ Ung thư dạ dày thể sùi:
* Dạng polyp: có cuống, bề mặt nhiều nhú nhỏ, giàu huyết quản, dễ chảy
máu, có thể có chấm loét nhỏ.
* Dạng nấm: u khá lớn chân ế rộng tạo khối tròn hay hình nấm.
* Dạng súp lơ: khối sùi có nhiều thùy, nhiều múi, có khe rãnh lồi lõm, có
ổ hoại tử và chảy máu xen kẽ, mùi hôi thối.
+ Ung thư dạ dày thể loét:
* Ung thư loét hóa: u thường lớn, hình ĩa, ường kính từ 8 - 10cm, loét ở
trung tâm, bờ là tổ chức ung thư nổi gồ cao, chắc. Đáy loét mô ung thư
xâm nhập vào thành dạ dày, có thể tới thanh mạc, mật ộ chắc.
* Loét ung thư hóa: ung thư phát triển trên cơ sở một loét dạ dày mạn tính
nhất là những ổ loét lớn, loét xơ trai, do ó ngoài tổn thương u còn có
những ặc iểm của loét mạn tính. Bờ loét gồ ghề, sần sùi có những cục nhỏ
mật ộ chắc, màu trắng xám.
+ Ung thư dạ dày thể xâm nhập:
* Ung thư loét xâm nhập: khối u ồng thời vừa có loét vừa có xâm nhập.
Loét không có giới hạn, bờ loét lẫn với niêm mạc, áy loét xâm lấn thành
dạ dày làm cho cả một vùng rộng trở nên rắn chắc, mất khả năng nhu ộng.
* Ung thư xơ ét: áy loét xâm nhập vào thành dạ dày, thành dạ dày dầy lên
tới 2 - 3cm, dạ dày co lại hình chiếc chai hoặc bít tất ngắn. Niêm mạc
thẳng, thô và có loét nhỏ.
1.2.2. Vi thể
Năm 2000, Tổ chức Y tế thế giới (WHO) ã ưa ra phân loại ung thư dạ dày sửa ổi.
Theo phân loại này, ung thư biểu mô dạ dày gồm các typ sau:
1.2.2.1. Ung thư biểu mô tuyến nhú
Tế bào ung thư xếp thành hình tuyến có các nhú chia nhánh phát triển vào trong
lòng tuyến. Cấu trúc nhú chiếm ưu thế, ngoài ra có thể gặp hình tuyến ống.
1.2.2.2. Ung thư biểu mô tuyến ống
Tế bào ung thư xếp hình tuyến ống là chính, kích thước tuyến không ều, lòng
tuyến có thể giãn rộng thành nang. 1.2.2.3. Ung thư biểu mô tuyến nhầy lOMoAR cPSD| 22014077
Mô ung thư có một lượng lớn chất nhầy (>50%), cả trong lòng tuyến và mô ệm
làm cho tất cả như bơi trong bể chất nhầy.
1.2.2.4. Ung thư tế bào nhẫn
Tế bào ung thư tập trung thành ám, nhưng thường tách rời nhau và nằm lẫn
trong chất nhầy. Tế bào u căng tròn, sáng, nhân lệch về một phía như hình chiếc nhẫn.
1.2.2.5. Ung thư biểu mô tế bào nhỏ
Tế bào u có kích thước nhỏ, tương ối ồng dạng, tỷ lệ nhân/bào tương tăng. Loại
này có thể nhầm với u lympho, cần nhuộm hóa mô miễn dịch ể phân biệt.
1.2.2.6. Ung thư biểu mô tuyến vảy
Là thể u hiếm gặp, cấu trúc gồm mô tuyến và mô tế bào vảy. Tuyến do các tế bào
hình trụ hoặc vuông sắp xếp tạo thành. Mô tế bào vảy quây quanh các tuyến gồm nhiều hàng lớp.
1.2.2.7. Ung thư biểu mô tế bào vảy
Rất ít gặp, tế bào u tập trung thành ám giống biểu mô lát của thượng bì.
1.2.2.8. Ung thư biểu mô không biệt hóa
Tế bào ung thư không sắp xếp tạo thành hình tuyến, chúng tập trung thành ám lớn
hoặc thành ổ, thành bè hay phân tán rải rác trong mô ệm có tổ chức liên kết xơ rất
phát triển. Tế bào u không ều, nhiều nhân quái, nhân chia không iển hình.
1.2.2.9. Ung thư không xếp loại
Tế bào u và cấu trúc u không giống với các dạng như ã mô tả. lOMoAR cPSD| 22014077
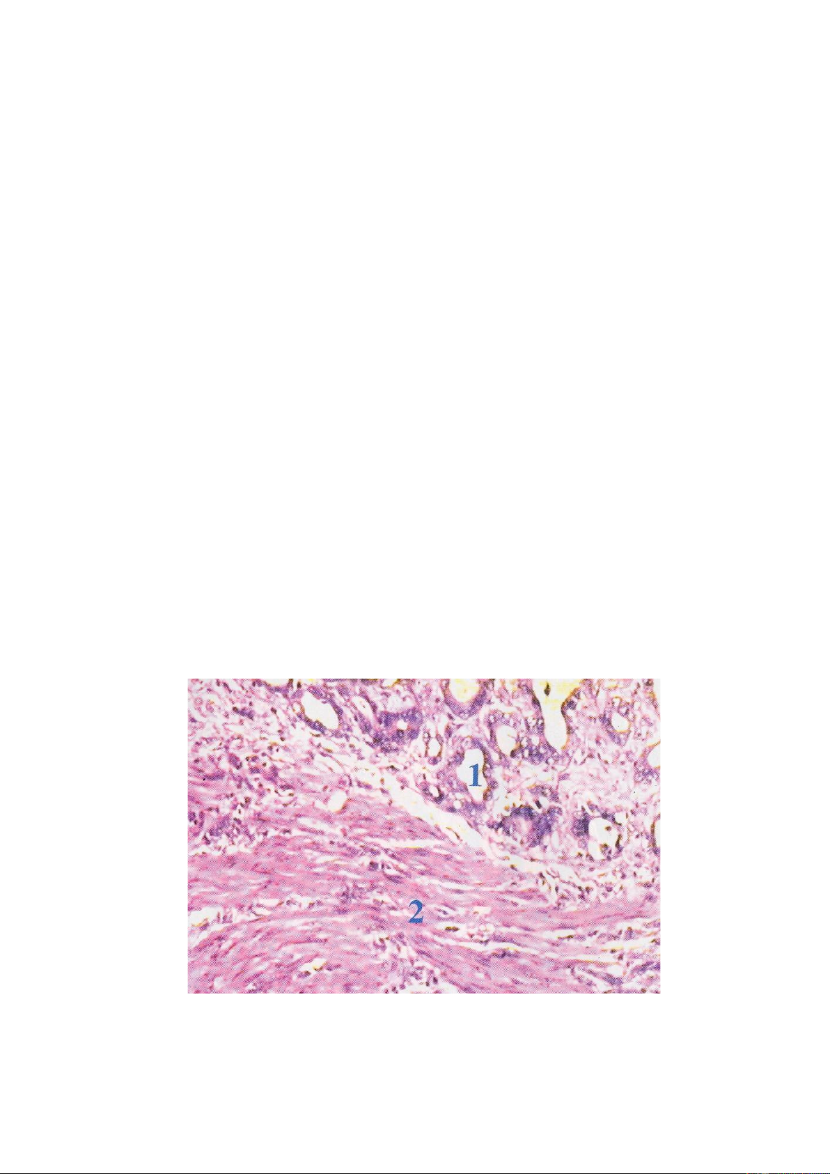
Hình 2. Vi thể ung thư dạ dày biệt hóa rõ (1) xâm lấn cơ (2)(HEx100)
* Tổn thương niêm mạc dạ dày ngoài vùng ung thư: có tổn thương viêm thông
thường, hay gặp hơn cả là viêm mạn tính teo và thường ở thể hoạt ộng. Các tuyến
có thể bị giãn, phì ại hoặc biến ổi dị sản ruột, loạn sản. Dị sản ruột có thể thấy ở
70 - 80% các trường hợp ung thư dạ dày, loạn sản cũng có một tỷ lệ tương tự. 2. BỆNH RUỘT
2.1. Viêm ruột thừa cấp
2.1.1. Giai oạn sớm (giai oạn huyết quản - huyết)
- Đại thể: ruột thừa sưng ỏ, to, dính nhiều hoặc ít với các bộ phận
xung quanh. Thanh mạc rải rác chấm ỏ xuất huyết. Cắt mở ruột
thừa thấy lòng hẹp, thành dầy màu ỏ tía, niêm mạc phù nề, có
nhiều chấm ỏ xuất huyết.
- Vi thể:
Niêm mạc ruột thừa phù nề, sung huyết, tăng chế tiết.
Mô ệm phù, xâm nhập nhiều bạch cầu a nhân. Các huyết quản sung huyết, giãn
rộng, lòng chứa ầy hồng cầu.
Các nang bạch huyết tăng sản, giãn rộng và xâm nhập nhiều bạch cầu a nhân.
Đôi khi có xâm nhập bạch cầu ở dưới
thanh mạc. 2.1.2. Giai oạn muộn (giai oạn viêm h漃Āa
m甃ऀ ) - Đại thể:
Ruột thừa sưng to, hình dùi ục dính vào mạc treo, hạch mạc treo cũng to.
Trong lòng ruột thừa có nước ục hay ỏ. Lớp niêm mạc ngoài những chấm ỏ còn
có những chỗ loét rộng hoặc hẹp tùy từng trường hợp. Thanh mạc ược phủ bởi màng mủ fibrin - Vi thể:
Biểu mô phủ bị hoại tử, ứt thành từng oạn, long ra rơi vào lòng ruột thừa lẫn với
bạch cầu a nhân thoái hóa, ại thực bào, hồng cầu… các thành phần này có thể lấp kín lòng ruột thừa.
Các tuyến tăng sinh, tăng chế tiết, chỗ còn, chỗ mất, lòng tuyến xâm nhập nhiều
bạch cầu a nhân trung tính...
Các nang bạch huyết tiếp tục nở to, mất cấu trúc nang hoặc không rõ hình nang,
khuếch tán những tế bào lympho ra xung quanh và xâm nhập nhiều bạch cầu a nhân trung tính.
Trong mô ệm và ặc biệt là trong lớp cơ thấy xâm nhập nhiều bạch cầu a nhân
trung tính. Đôi khi ở thành ruột thừa có những nơi tập trung nhiều bạch cầu a lOMoAR cPSD| 22014077
nhân thoái hóa lẫn với tổ chức hoại tử tạo thành những ổ mủ lớn hoặc nhỏ. Các
ổ mủ này có khi lan rộng tới thanh mạc khi vỡ có thể gây viêm phúc mạc hoặc
abces quanh ruột thừa(viêm ruột thừa cấp tính có mủ).
Viêm ruột thừa cấp rất hiếm khi có thể tự phục hồi. Cũng có khi chuyển sang
viêm mạn tính kèm theo có lỗ rò.
2.2. Viêm ruột do trực khuẩn
2.2.1. Đại thể
- Vị trí: thường ở niêm mạc ruột già từ van Bauhin ến trực tràng nhưng hay
gặp ở oạn ại tràng xuống, ại tràng sigma và trực tràng. - Hình thái:
+ Giai oạn khởi phát: trên niêm mạc ruột gồm những tổn thương sưng ỏ. Thành
ruột dầy có thể tới 1cm. Khi rạch thành ruột thấy ứ nhiều dịch phù và máu. Có thể
thấy những vết loét nông, nhiều chấm xuất huyết nhỏ. Ở giai oạn này các tổn
thương ít, nông và không lan rộng.
+ Giai oạn toàn phát: toàn bộ ruột sưng to, thành dầy, niêm mạc chảy máu,
ồng thời thấy có những vết loét rộng, trên phủ lớp màng giả dầy. Bờ ổ loét ngoằn
ngoèo và tương ối rõ rệt. Những ổ loét này không bị ục ngầm phía dưới như trong
bệnh viêm ruột do amip. Đáy ổ loét không ều, nhiều khe hốc, có chỗ nông chỉ ở
ngay dưới niêm mạc, chỗ sâu tới lớp cơ, lớp thanh mạc và có thể thủng ruột gây viêm phúc mạc.
Đoạn hồi tràng ôi khi cũng bị tổn thương sưng ỏ, các mảng Payer dầy, cao.
- Tổn thương ngoài ruột:
+ Hạch mạc treo cũng to hơn và sung huyết. Các huyết quản có biểu
hiện viêm (viêm tĩnh mạch).
+ Trực khuẩn ngoài gây tổn thương ở ruột còn tiết ra nội ộc tố thả vào máu
gây nhiễm ộc nhiều nơi nhất là nhiễm ộc thần kinh, làm tê liệt thần kinh. 2.2.2. Vi thể
Chia làm 3 giai oạn:
- Giai oạn phản ứng huyết quản huyết
Lớp niêm mạc biểu mô phủ có nơi long tróc, lớp ệm phù nề sung huyết
làm cho các tế bào xa nhau, có nhiều iểm xuất huyết nhỏ và xâm nhập nhiều bạch cầu a nhân.
- Giai oạn trước loét
Do trực khuẩn lỵ tiết ra ngoại ộc tố làm cho lớp niêm mạc có các ổ hoại tử với
nhiều bạch cầu a nhân trung tính thoái hoá và mảnh tổ chức hoại tử. Ở xung quanh
có phản ứng tổ chức với các loại tế bào viêm ơn và a nhân. lOMoAR cPSD| 22014077
- Giai oạn loét
Thành ruột phù và dầy lên rất nhiều. Các tổ chức hoại tử mở vào lòng ruột và
tạo ra những ổ loét. Ổ loét có thể nông hoặc sâu nhưng thường không sâu xuống
ến lớp cơ. Bờ ổ loét tương ối rõ. Đáy loét và tổ chức ệm xâm nhập nhiều tế bào
viêm như bạch cầu ơn và a nhân.
Tổn thương ngoài ruột: hạch mạc treo có vỏ phù nề, nang bạch huyết quá sản mạnh.
2.3. Polyp ại tràng
2.3.1. Polyp tăng sản (giả u)
- Đại thể: polyp thường có kích thước nhỏ ường kính dưới 5mm, bề mặt nhẵn, số
lượng có thể một hoặc nhiều, hơn một nửa có vị trí ở ại tràng sigma - trực tràng. - Vi thể:
+ Phía ngoài polyp ược phủ bởi biểu mô tuyến ại tràng.
+ Phía trong là mô liên kết xen lẫn cấu trúc tuyến, phần lớn các tuyến có hình
tròn hoặc bầu dục ồng ều nhau. Biểu mô phủ các tuyến có hình ài xen lẫn tế bào
hấp thu có nhân nhỏ ều nhau. Bào tương rộng và sáng (biểu hiện hoạt ộng chế
tiết mạnh). Một số nơi thấy tế bào tuyến quá sản nhưng cấu trúc tuyến vẫn giữ nguyên.
2.3.2. Polyp tuyến
Thường xuất hiện chủ yếu ở ại tràng với tần xuất tăng dần theo tuổi, nam nữ mắc
bệnh như nhau. Tùy theo ặc iểm cấu trúc thành phần biểu mô mà chia ra làm 3 loại sau: - Polyp tuyến ống
+ Đại thể: số lượng có thể một hoặc nhiều, kích thước polyp thường nhỏ (ít khi
trên 2,5cm), bề mặt tương ối nhẵn và có cuống.
+ Vi thể: cuống ược phủ bởi lớp niêm mạc ại tràng bình thường, bên trong là
mô ệm xuất phát từ lớp dưới niêm mạc. Phần ầu polyp ược tạo bởi biểu mô ruột
tăng sản hoặc loạn sản tạo thành các ống tuyến méo mó, chen chúc nhau. - Polyp tuyến nhú
+ Đại thể: polyp thường có kích thước lớn (có thể ạt tới 10cm), bề
mặt sần sùi như bông cải và không có cuống. lOMoAR cPSD| 22014077
+ Vi thể: polyp tuyến nhú ược tạo bởi biểu mô ruột tăng sản và loạn sản, tạo
thành các cấu trúc dạng nhú giống nhung mao ruột. Tại ây có thể thấy tổn thương
loạn sản mọi mức ộ và kể cả carcinoma còn trong giai oạn tại chỗ hoặc xâm nhập xuống hạ niêm mạc.... - Polyp tuyến ống - nhú
+ Đại thể: số lượng có thể một hoặc nhiều, kích thước a dạng, có thể có cuống hoặc không.
+ Vi thể: polyp ược tạo bởi biểu mô ruột tăng sản và loạn sản, tạo thành các ống
tuyến và các nhú, với thành phần chiếm tỷ lệ vào khoảng 25 - 50%.
Nhìn chung, sự hình thành polyp tuyến là kết quả hoạt ộng tăng sản và loạn
sản của biểu mô ruột, loạn sản có thể xảy ra ở mọi mức ộ từ nhẹ ến nặng và có
thể tìm thấy cả ổ carcinoma tại chỗ. Vì vậy có thể xem polyp tuyến là một tổn
thương tiền ung thư. Nguy cơ ác hóa của polyp tuyến phụ thuộc vào 3 yếu tố sau:
+ Kích thước polyp: kích thước càng lớn thì nguy cơ càng tăng.
+ Loại polyp tuyến: polyp tuyến nhú có nguy cơ ác tính cao hơn polyp tuyến ống.
+ Mức ộ loạn sản: loạn sản càng nặng, nguy cơ càng cao.