



















Preview text:
lOMoAR cPSD| 22014077
Thảo Thảo & Bé Nghìn Dặm
Giải phẫu cắt lớp vi tính nhu mô não ▪ Số 1: Lỗ lớn ▪ Số 2: Hành não
▪ Số 3: Động mạch đốt sống
▪ Số 4: Hạnh nhân tiểu não lOMoAR cPSD| 22014077
Thảo Thảo & Bé Nghìn Dặm
▪ Số 5: Bể trước hành não
▪ Số 6: Tĩnh mạch cảnh trong 7: Động mạch thân nền 8: Xoang xích-ma lOMoAR cPSD| 22014077
Thảo Thảo & Bé Nghìn Dặm
▪ Số 9: Động mạch cảnh trong đoạn trong xương đá nằm trong ống động mạch cảnh
▪ Số 10: Bán cầu tiểu não 11: Ống tai ngoài 12: Lỗ Magendie lOMoAR cPSD| 22014077
Thảo Thảo & Bé Nghìn Dặm
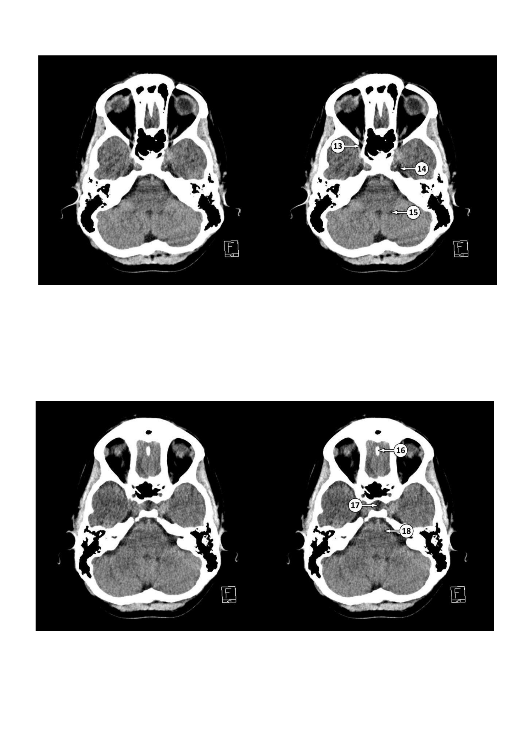
▪ Số 13: Khe trên ổ mắt ▪ Số 14: Hang Meckel ▪ Số 15: Lỗ Luschka 16: Mào gà 17: Hố yên 18: Cầu não lOMoAR cPSD| 22014077
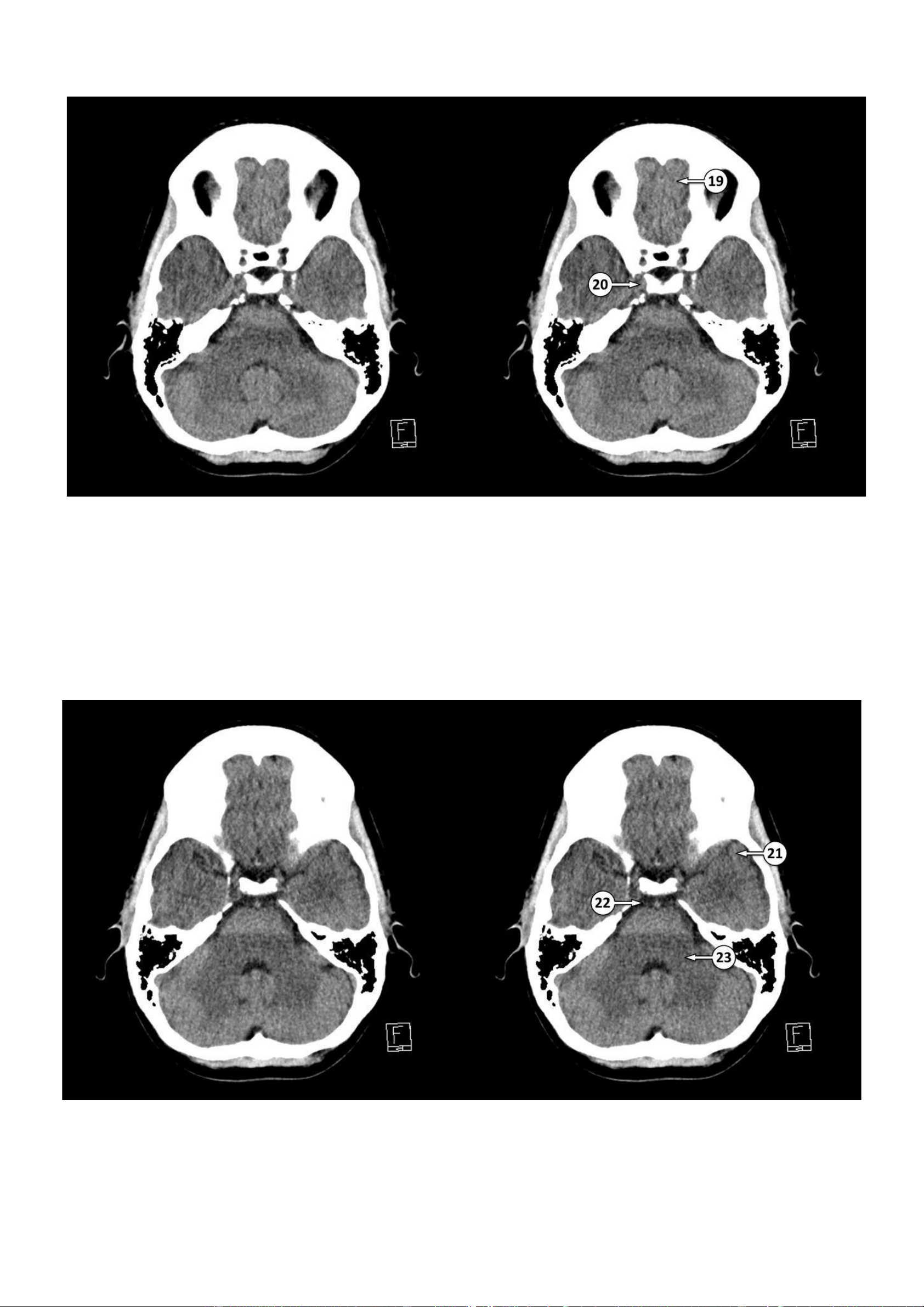
Thảo Thảo & Bé Nghìn Dặm ▪ Số 19: Hồi thẳng
▪ Số 20: Động mạch cảnh trong đoạn xoang hang nằm trong xoang hang 21: Cực thái dương 22: Bể trước cầu não
23: Cuống tiểu não giữa lOMoAR cPSD| 22014077
Thảo Thảo & Bé Nghìn Dặm
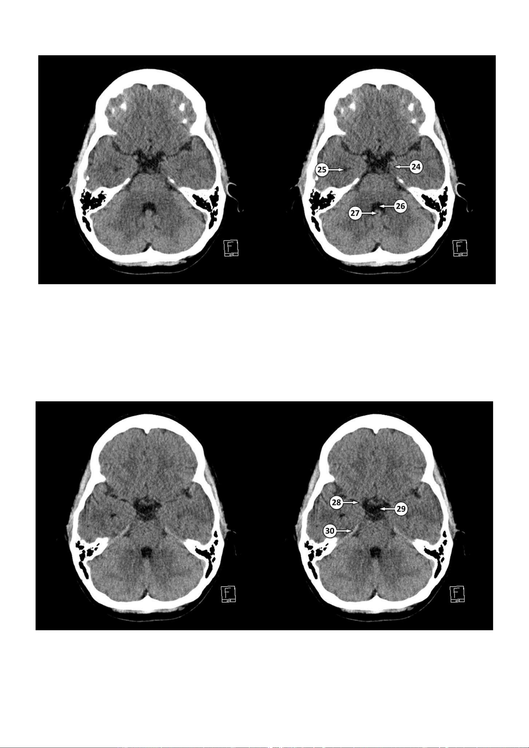
▪ Số 24: Móc hồi hải mã
▪ Số 25: Sừng thái dương của não thất bên ▪ Số 26: Não thất IV
▪ Số 27: Nốt của tiểu não
28: Đoạn M1 của động mạch não giữa 29: Bể trên yên 30: Lều tiểu não lOMoAR cPSD| 22014077
Thảo Thảo & Bé Nghìn Dặm
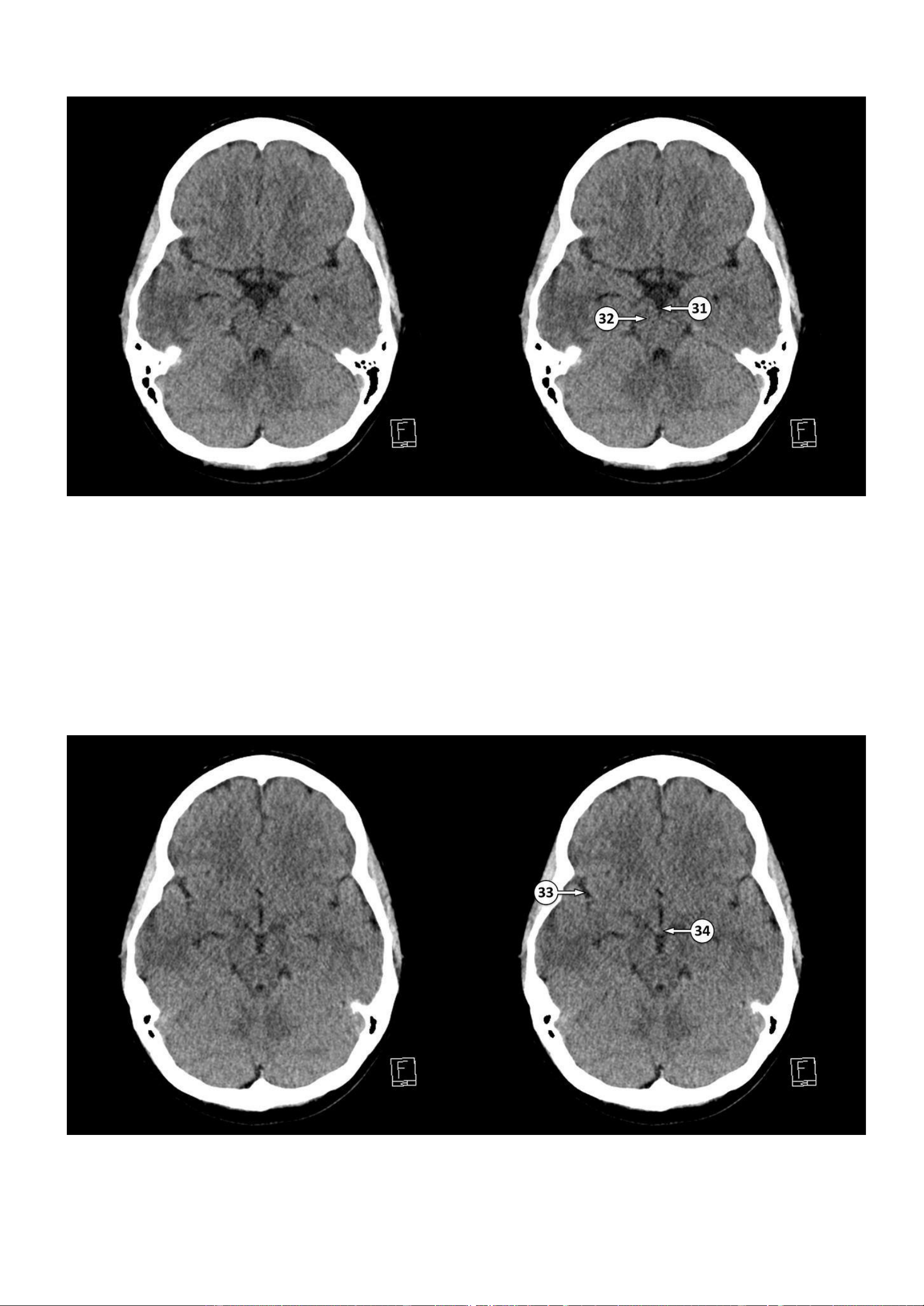
▪ Số 31: Bể gian cuống não ▪ Số 32: Cuống não 33: Rãnh Sylvius 34: Thể vú lOMoAR cPSD| 22014077
Thảo Thảo & Bé Nghìn Dặm
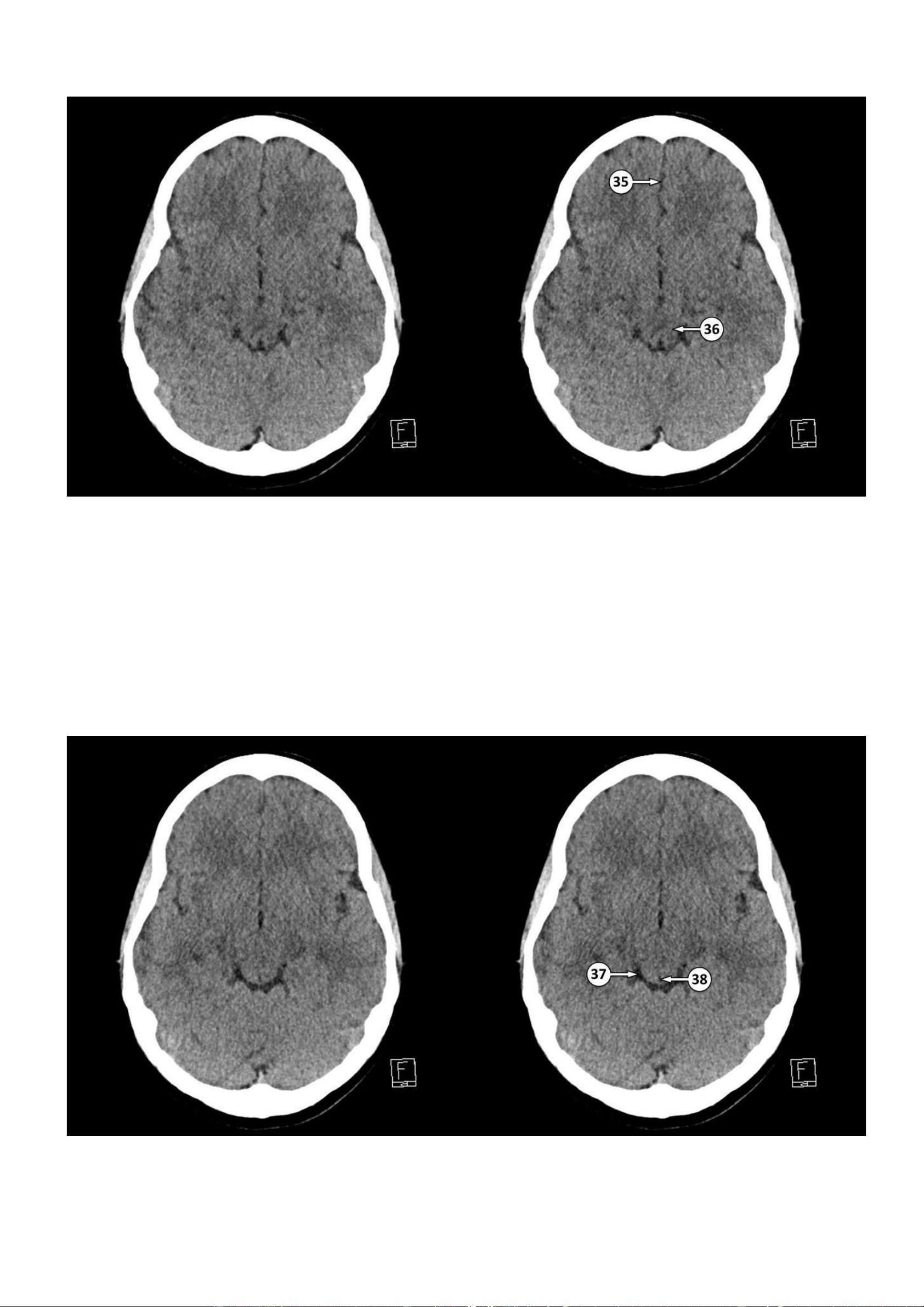
▪ Số 35: Khe gian bán cầu ▪ Số 36: Não giữa 37: Bể xung quanh 38: Cống não lOMoAR cPSD| 22014077
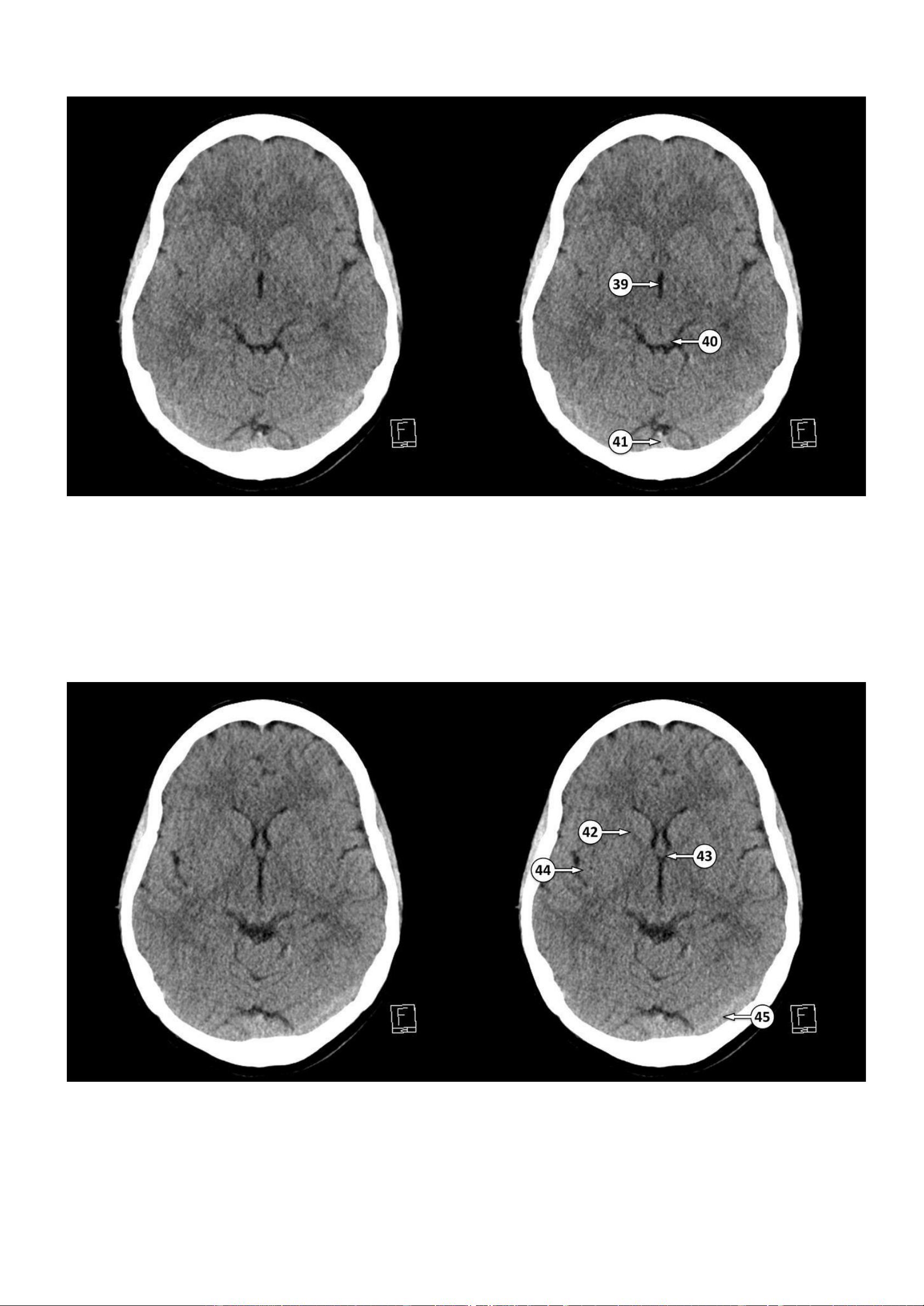
Thảo Thảo & Bé Nghìn Dặm ▪ Số 39: Não thất III
▪ Số 40: Củ não sinh tư dưới
▪ Số 41: Hợp lưu các xoang tĩnh mạch màng cứng
▪ Số 42: Cánh tay trước của bao trong
43: Lỗ gian não thất (lỗ Monro) 44: Vỏ não thuỳ đảo lOMoAR cPSD| 22014077
Thảo Thảo & Bé Nghìn Dặm 45: Xoang ngang lOMoAR cPSD| 22014077
Thảo Thảo & Bé Nghìn Dặm
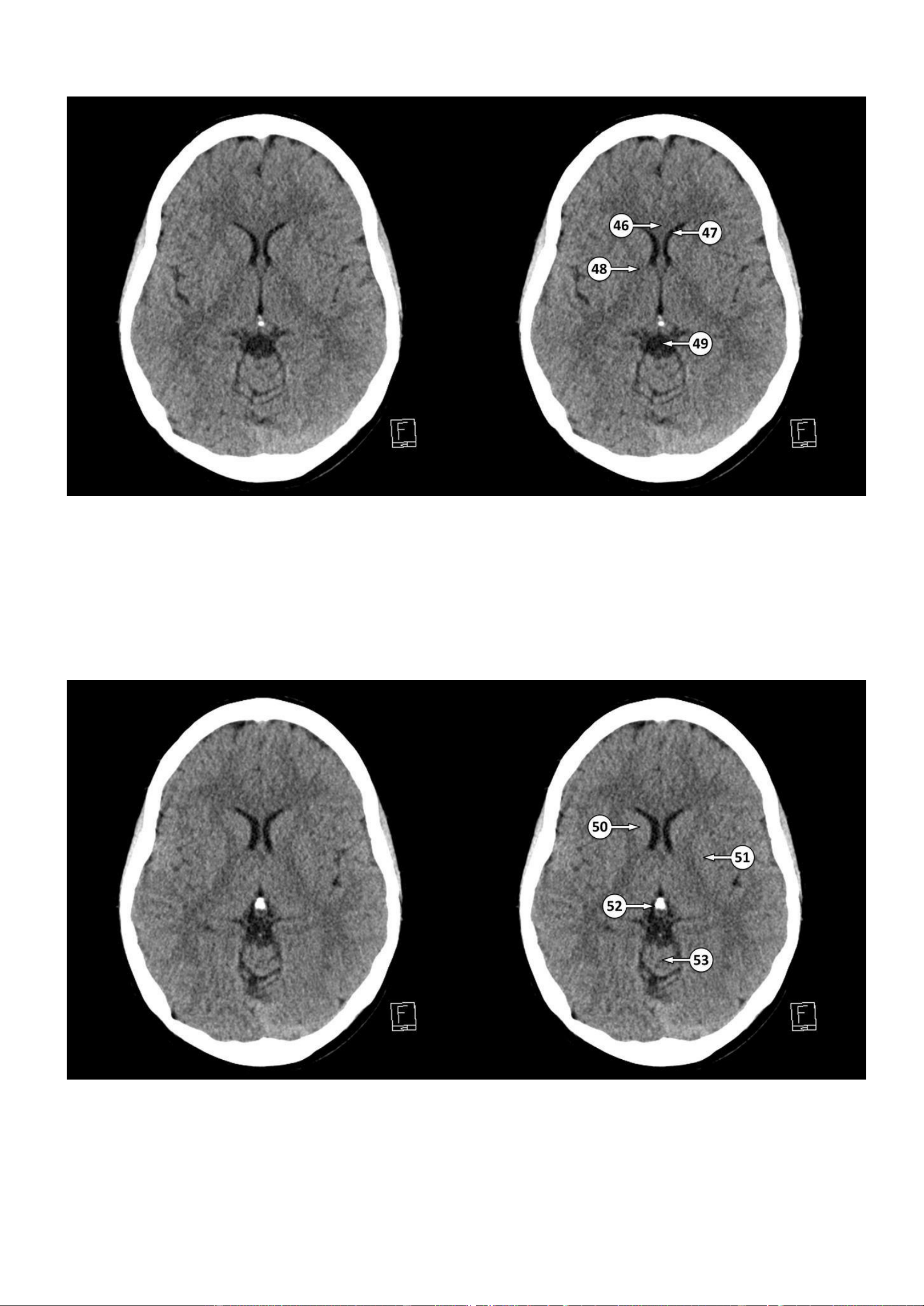
▪ Số 46: Gối của thể chai
▪ Số 47: Sừng trán của não thất bên
▪ Số 48: Gối của bao trong
▪ Số 49: Bể quanh củ não sinh tư
▪ Số 50: Đầu của nhân đuôi 51: Nhân đậu (nhân bèo) 52: Tuyến tùng lOMoAR cPSD| 22014077
Thảo Thảo & Bé Nghìn Dặm
53: Thuỳ giun trên của tiểu não
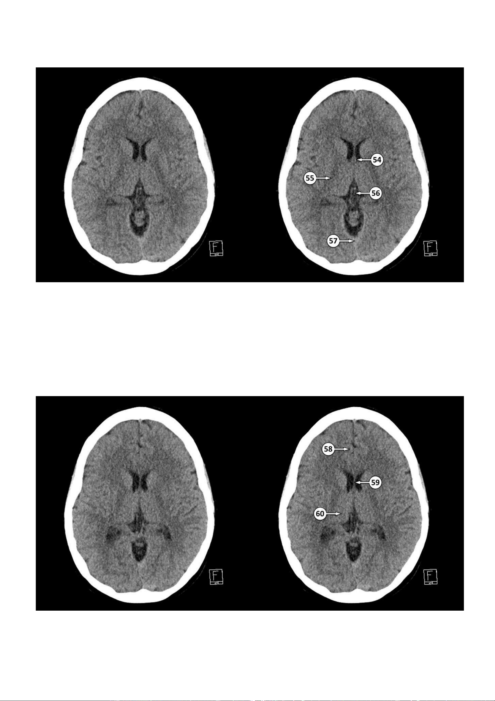
▪ Số 54: Cột của vòm não
▪ Số 55: Cánh tay sau của bao trong
▪ Số 56: Tĩnh mạch não trong ▪ Số 57: Xoang thẳng 58: Hồi đai lOMoAR cPSD| 22014077
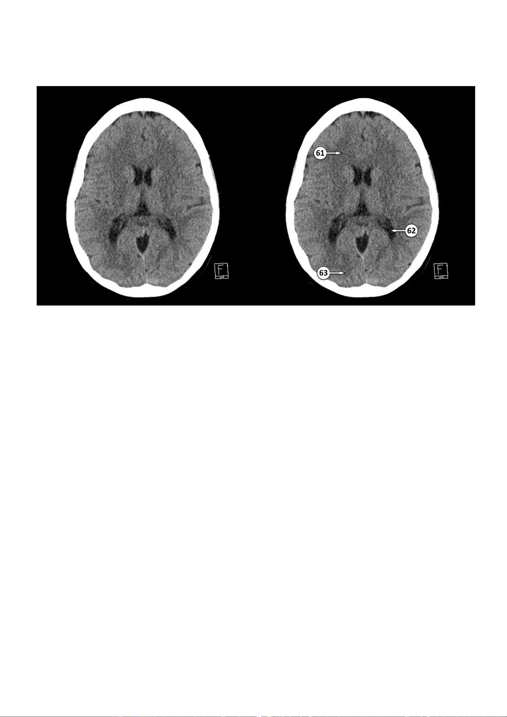
Thảo Thảo & Bé Nghìn Dặm 59: Vách trong suốt 60: Đồi thị ▪ Số 61: Bó nhỏ
▪ Số 62: Hợp lưu sừng chẩm và sừng thái dương của não thất bên ▪ Số 63: Thuỳ chẩm lOMoAR cPSD| 22014077
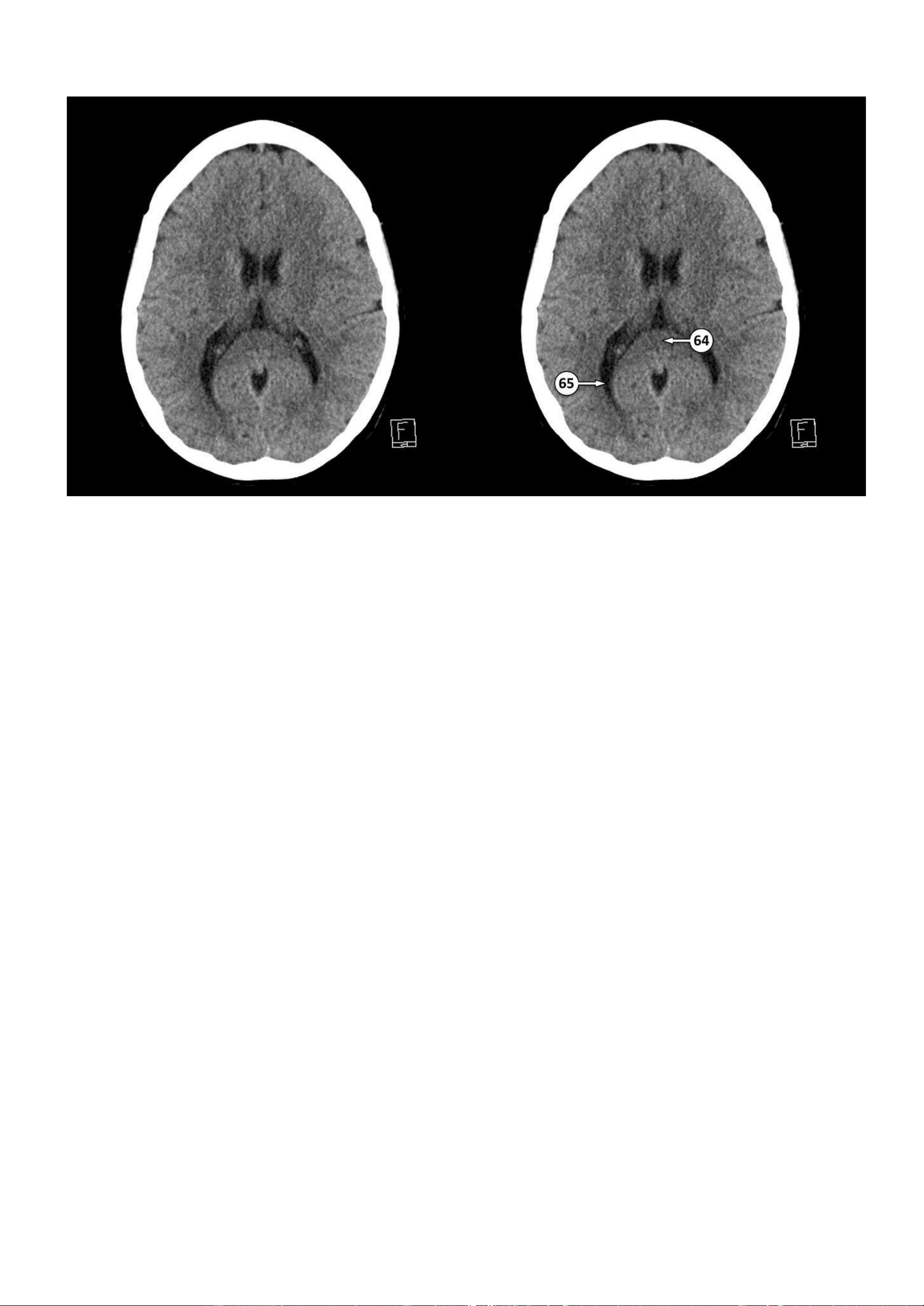
Thảo Thảo & Bé Nghìn Dặm 64: Lồi của thể chai
65: Sừng chẩm của não thất bên lOMoAR cPSD| 22014077
Thảo Thảo & Bé Nghìn Dặm
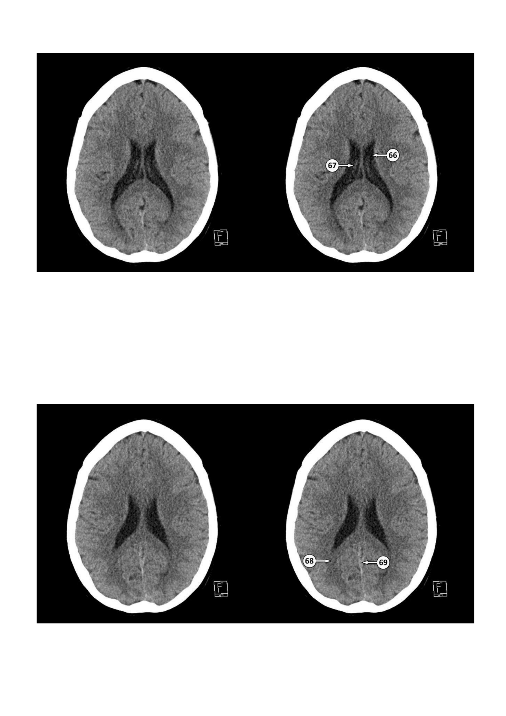
▪ Số 66: Thân của não thất bên
▪ Số 67: Đám rối mạch mạc 68: Bó lớn 69: Xoang dọc dưới lOMoAR cPSD| 22014077
Thảo Thảo & Bé Nghìn Dặm
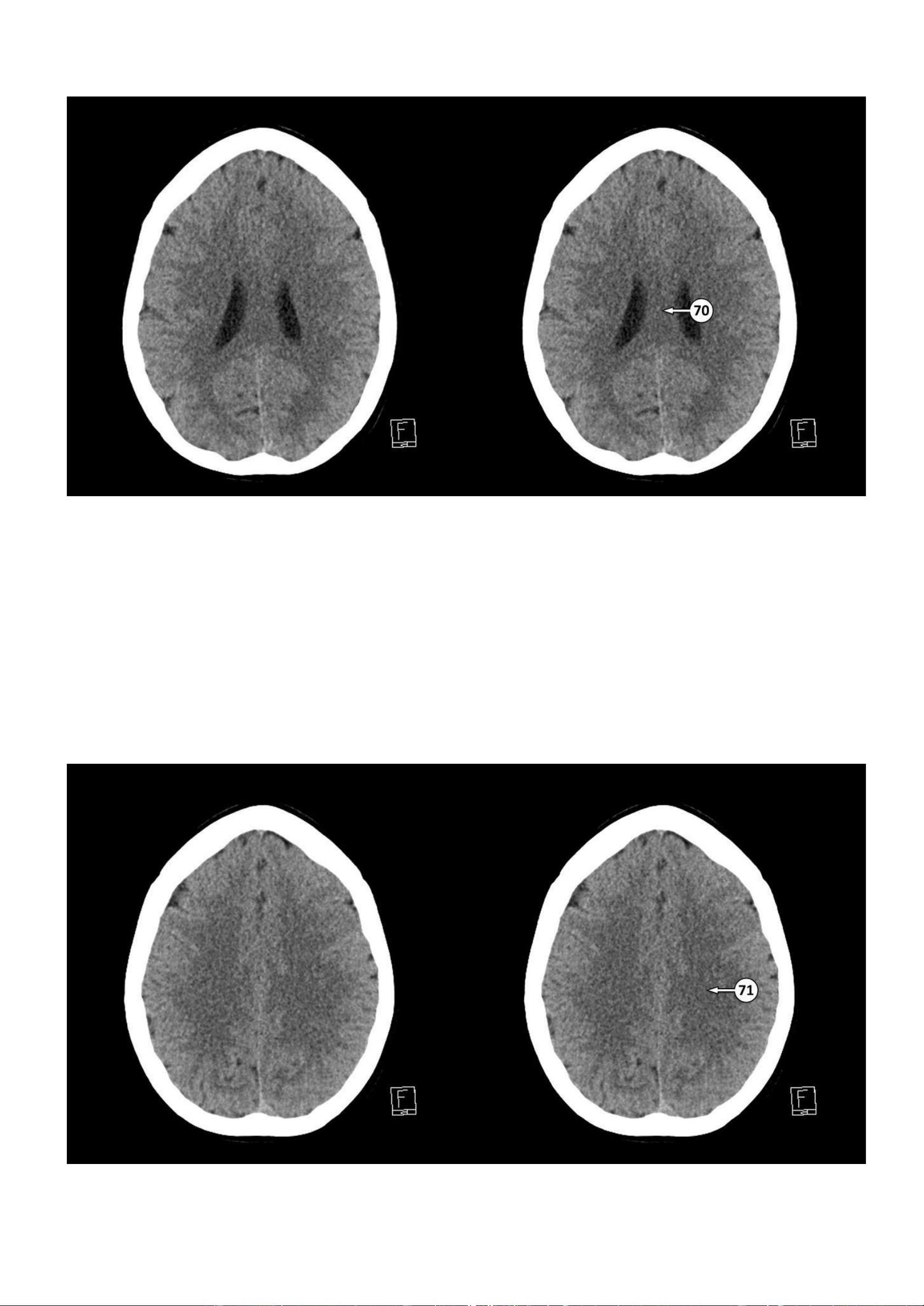
▪ Số 70: Thân của thể chai
71: Trung tâm bán bầu dục lOMoAR cPSD| 22014077
Thảo Thảo & Bé Nghìn Dặm
▪ Số 72: Rãnh trung tâm (rãnh Rolando)
▪ Số 73: Vỏ não vận động nguyên phát ▪ Số 74: Rãnh viền 75: Xoang dọc trên lOMoAR cPSD| 22014077
Thảo Thảo & Bé Nghìn Dặm
▪ Số 76: Liềm đại não lOMoAR cPSD| 22014077
Thảo Thảo & Bé Nghìn Dặm STT Thuật ngữ Tạm dịch 1 foramen magnum lỗ lớn 2 medulla oblongata hành não 3 vertebral artery động mạch đốt sống 4 cerebellar tonsil hạnh nhân tiểu não 5 premedullary cistern bể trước hành não 6 internal jugular vein tĩnh mạch cảnh trong 7 basilar artery động mạch thân nền 8 sigmoid sinus xoang xích-ma
động mạch cảnh trong đoạn xương đá nằm trong ống 9
petrous internal carotid artery in the carotid canal động mạch cảnh 10 cerebellar hemisphere bán cầu tiểu não 11 external auditory canal ống tai ngoài 12 foramen of Magendie lỗ Magendie 13 superior orbital fissure khe trên ổ mắt 14 Meckel's cave hang Meckel 15 foramen of Luschka lỗ Luschka 16 crista galli mào gà 17 pituitary fossa hố yên 18 pons cầu não 19 gyrus rectus hồi thẳng
cavernous internal carotid artery in the cavernous
động mạch cảnh trong đoạn xoang hang nằm trong 20 sinus xoang hang 21 temporal pole cực thái dương 22 prepontine cistern bể trước cầu não 23 middle cerebellar peduncle cuống tiểu não giữa 24 uncus móc hồi hải mã 25
temporal horn of the lateral ventricle
sừng thái dương của não thất bên 26 fourth ventricle não thất IV 27 nodule of the cerebellum nốt của tiểu não 28
middle cerebral artery M1 segment
đoạn M1 của động mạch não giữa 29 suprasellar cistern bể trên yên 30 tentorium cerebelli lều tiểu não 31 interpeduncular cistern bể gian cuống não 32
cerebral crus (cerebral peduncle) cuống não 33 Sylvian fissure rãnh Sylvius lOMoAR cPSD| 22014077
Thảo Thảo & Bé Nghìn Dặm 34 mammillary body thể vú 35 interhemispheric fissure khe gian bán cầu STT Thuật ngữ Tạm dịch 36 midbrain não giữa 37 ambient cistern bể xung quanh 38 cerebral aqueduct cống não 39 third ventricle não thất III 40 inferior colliculus củ não sinh tư dưới 41 torcula herophili
hợp lưu các xoang tĩnh mạch màng cứng 42
anterior limb of the internal capsule
cánh tay trước của bao trong 43
interventricular foramen (foramen of Monro)
lỗ gian não thất (lỗ Monro) 44 insular cortex vỏ não thuỳ đảo 45 transverse sinus xoang ngang 46 genu of the corpus callosum gối của thể chai 47
frontal horn of the lateral ventricle
sừng trán của não thất bên 48 genu of the internal capsule gối của bao trong 49 quadrigeminal cistern bể quanh củ não sinh tư 50 head of the caudate nucleus đầu của nhân đuôi 51 lentiform nucleus nhân đậu (nhân bèo) 52 pineal gland tuyến tùng 53
superior vermis of the cerebellum
thuỳ giun trên của tiểu não 54 column of the fornix cột của vòm não 55
posterior limb of the internal capsule cánh tay sau của bao trong 56 internal cerebral vein tĩnh mạch não trong 57 straight sinus xoang thẳng 58 cingulate gyrus hồi đai 59 septum pellucidum vách trong suốt 60 thalamus đồi thị 61 forceps minor bó nhỏ
hợp lưu sừng chẩm và sừng thái dương của não thất 62
trigone of the lateral ventricle bên 63 occipital lobe thuỳ chẩm 64
splenium of the corpus callosum lồi của thể chai 65
occipital horn of the lateral ventricle
sừng chẩm của não thất bên 66 body of the lateral ventricle thân của não thất bên 67 choroid plexus đám rối mạch mạc